O QUE É UM TRAUMATISMO ENCEFALOCRANEAL (TEC)?
É A CONSEQUÊNCIA DE UM CHOQUE ABRUPTO NO CRÂNIO E NO SEU CONTEÚDO
COMO SE CLASSIFICA O TEC DE ACORDO COM O MECANISMO DE PRODUÇÃO?
QUAIS SÃO OS SIGNOS DE FRATURA DE BASE DE CRÂNIO?

QUAIS SÃO OS TIPOS DE HEMATOMAS EM UM TEC?
FALE SOBRE O HEMATOMA EPIDURAL

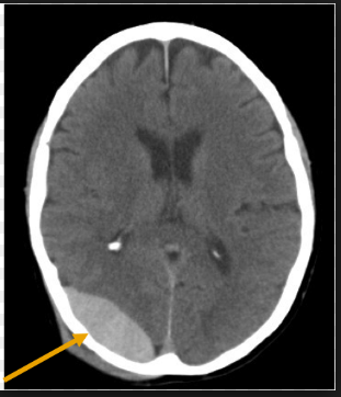
FALE SOBRE O HEMATOMA SUBDURAL

COMO SE CLASSIFICA O TEC DE ACORDO COM A GRAVIDADE?
TEC LEVE (GLASGOW 13-15)
TEC MODERADO (GLASGOW 9-12)
TEC GRAVE (GLASGOW 3-8)
EM UM PACIENTE COM TEC, QUAIS SÃO OS CRITÉRIOS DE INTERNAÇÃO E TRATAMENTO?
VAI DEPENDER DA GRAVIDADE DO TEC
TEC LEVE
TEC MODERADO E SEVERO (ALTO RISCO)