O QUE É TUBERCULOSE PULMONAR?
É UMA ENFERMIDADE PULMONAR INFECTO-CONTAGIOSA
QUAL O AGENTE ETIOLÓGICO DA TUBERCULOSE?
MYCOBATERIUM TUBERCULOSIS ou BACILO DE KOCH
COMO SE CLASSIFICA A TUBERCULOSE DE ACORCO COM A SUA LOCALIZAÇÃO?
1) TUBERCULOSE PULMONAR
2) TUBERCULOSE EXTRAPULMONAR
COMO SE CLASSIFICA A TUBERCULOSE PULMONAR?
1) PRIMÁRIA ou PRIMOINFECÇÃO: primeiro contato (apenas 5% desenvolvem a doença). Presença de nódulo de Gohn (nódulo calcificado) e Complexo de Ranke (nódulo calcificado + linfonodo ao lado também calcificado)
2) SECUNDÁRIA ou REATIVAÇÃO: quando ocorre uma reinfecção ou reativação do bacilo no complexo de Ranke

QUAL A CLINICA DA TUBERCULOSE PULMONAR?
- TOSSE POR MAIS DE 15 DIAS
- SUDORAÇÃO NOTURNA
- FEBRE VESPERTINA
- PERDA DE PESO
- HEMOPTISE
EM UM PACIENTE COM TUBERCULOSE PULMONAR, O QUE PODEMOS OBSERVAR NA AUSCULTA?
ESTERTORES CREPITANTES
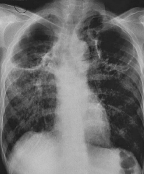
EM UM PACIENTE COM TUBERCULOSE PULMONAR, O QUE PODEMOS EVIDENCIAR EM UM RAIO-X DE PULMÃO?
- CAVITAÇÕES EM ÁPICE COM PRESENÇA DE AR
- CALCIFICAÇÕES
- DERRAME PLEURAL
- INFILTRADOS podem estar presentes

COMO É FEITO O DIAGNÓSTICO DA TUBERCULOSE?
2 BACILOSCOPIAS POSITIVAS
OU
1 BACILOSCOPIA POSITIVA + RAIO-X COMPATÍVEL
OU
1 CULTIVO + RAIO-X COMPATÍVEL

QUAIS SÃO OS ESQUEMAS DE TRATAMENTO PARA TUBERCULOSE?
ESQUEMA 1 (CASOS NOVOS)
ESQUEMA 2 (FALHA TERAPÊUTICA OU ABANDONO)
ESQUEMA 3 (PEDIATRICO, GRÁVIDA e HIV)
COMO É FEITO O ESQUEMA 1 DE TRATAMENTO DA TUBERCULOSE?
2 RIPE + 4 RI

Obs: não toma medicamentos nos domingos
COMO É FEITO O ESQUEMA 2 DE TRATAMENTO DA TUBERCULOSE?
2 RIPES + 1 RIPE + 5 REI

Obs: não toma medicamentos nos domingos
COMO É FEITO O ESQUEMA 3 DE TRATAMENTO DA TUBERCULOSE?
2 PRI + 4 RI

Obs: não toma medicamentos nos domingos
EXPLIQUE O NOVO TRATAMENTO DA TUBERCULOSE

QUAIS AS DOSES DOS MEDICAMENTOS ANTITUBERCULÍNICOS?
PEERI (25, 20, 15, 10, 5)

QUAIS SÁO AS REAÇÕES ADVERSAS DOS FÁRMACOS ANTITUBERCULÍNICOS?

O QUE É O PPD?
Derivado Proteico Purificado é um teste feito em pessoas que tiveram contato com pacientes com tuberculose ou para investigar a doença na forma latente.
Se aplica 0,1ml intradermico na cara anterior do antebraço e espera 72h
Valores:
0-4mm NÃO REATOR
5-9mm REATOR FRACO
> 10mm REATOR FORTE

QUAIS PESSOAS DEVEM FAZER A PROFILAXIA PARA TUBERCULOSE E QUAL MEDICAMENTO UTILIZAR?
“ISONIAZIDA por 6 meses”
QUAL VACINA É UTILIZADA PARA PREVENÇÃO DA FORMA GRAVE DA TUBERCULOSE?
“BCG”
NA TUBERCULOSE ÓSSEA QUAIS OSSOS FREQUENTEMENTE SÃO OS MAIS AFETADOS?
FÊMUR e COLUNA VERTEBRAL
EXPLIQUE A ESCALA DE TOLEDO
PARA DIAGNÓSTICO DE TUBERCULOSE
