TP3 Flashcards

(16 cards)

1
Q

C’est quoi

A

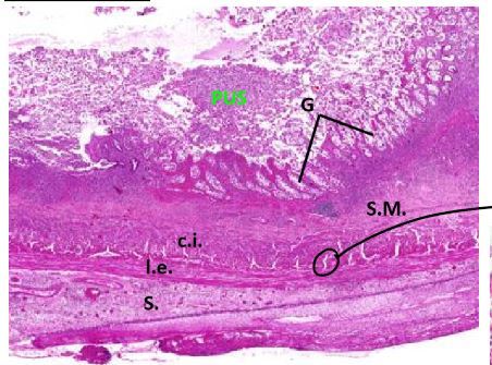
Appendicite aigue
++ polynucléaires neutrophiles nécrosés = pus dans la lumière de l’appendice
couche musculaire avec fibres distanciées à cause oedème
vestiges de glande =G

How well did you know this?
1
Not at all
2
3
4
5
Perfectly
2
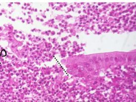
Q

Dans lLappendicite aigue, explique c’est quoi qu’on voit

A

ulcération de l’épithélium de la lumière appendicitaire, exsudat purulent (neutrophile nécrosé ++) vers la lumière

How well did you know this?
1
Not at all
2
3
4
5
Perfectly
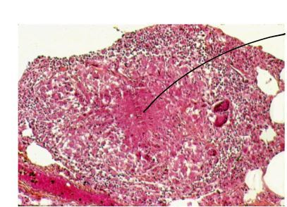
3
Q

Explique les manifestations anormales de ces lames et c’est quoi

A

Appendicite aigue
conjestion des vaisseaux sanguins
leucocytes ++ sur les parois internes des VS (diapédese)
Fibrine par dessus la séreuse

How well did you know this?
1
Not at all
2
3
4
5
Perfectly
4
Q
A

Tuberculose ganglionnaire, la flèche = granulome
ceux-ci envahissent presque tout le parenchyme ganglionnaire
beaucoup de nécrose (plus rose)
pu de différenciation cortex/médulla :(

How well did you know this?
1
Not at all
2
3
4
5
Perfectly
5
Q

Décrit ce que c’Est et les types différents

A
  1. granulome jeune composé de macrophage et cellules epithelioides, pas de nécrose, lymphocytes autour ++
  2. milieu=nécrose ++ (rose) surtout éosinophile, c’est de la nécrose caséeuse
  3. macrophages ont fusionnés (deviennent cellules géantes plurinucléées), aucune nécrose
How well did you know this?
1
Not at all
2
3
4
5
Perfectly
6
Q

c’est quoi et c’est quoi la fleche

A

fleche = granulome
on est dans les poumons (très aéré)
tuberculose pulmonaire

How well did you know this?
1
Not at all
2
3
4
5
Perfectly
7
Q
A

granulomes pulmonaires de la tuberculose pulmonaire
1. granulome jeune fait de macrophage, cellule epithelioide et lymphocytes autour, pas de nécrose

  1. granulome pulmonaire ou on voit des macrophages fusionnés (multinucléé), pas de nécrose
How well did you know this?
1
Not at all
2
3
4
5
Perfectly
8
Q
A

Tuberculose pulmonaire (on voit les alvéoles)
le centre du granulome est nécrotique (++ rouge à l’intérieur) elle résulte de la nécrose des cellules géantes polynucléaires et des tissus sous-adjacents

Nécrose caséeuse

How well did you know this?
1
Not at all
2
3
4
5
Perfectly
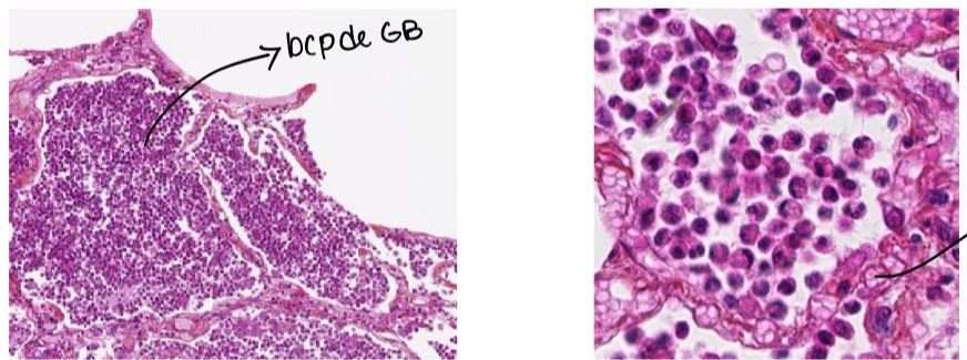
9
Q
A

Poumon, flèche = pus, on a donc une bronchopneumonie

How well did you know this?
1
Not at all
2
3
4
5
Perfectly
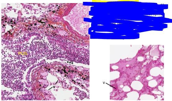
10
Q
A

Bronchopneumonie
1. Bronchiole avec plein de pus (leucocytes neutrophiles en grande partie dégénérés)
Muqueuse de la bronchiole est ulcéré et meme détruite complètement a certains endroits (***)
Amas noir = macrophages remplis de particule de charbon

  1. certains alvéoles contiennent liquide rosé (exsudat sereux)
    les vaisseaux sanguins sont dilatés et congestifs++ (v)
How well did you know this?
1
Not at all
2
3
4
5
Perfectly
11
Q
A

Bronchopneumonie
1. certaines alvéoles contiennent du pus
2. capillaires facilement identifiable dans les parois alvéolaires parce que tres conjestif aussi (habituellement un gb a la fois)

How well did you know this?
1
Not at all
2
3
4
5
Perfectly
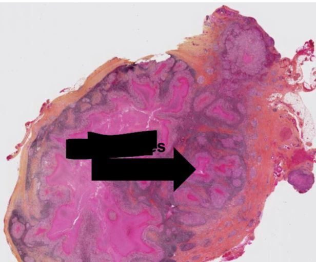
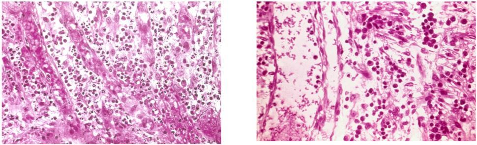
12
Q
A

Abcès mycotique du foie
fleche = mycélium
discrete stéatose dans le reste du foie et conjestion passive

How well did you know this?
1
Not at all
2
3
4
5
Perfectly
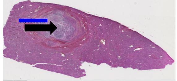
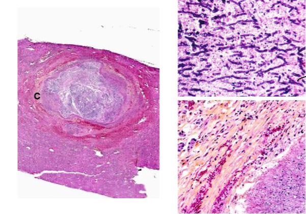
13
Q
A

Abscès mycotique du foie
1. centre de l’abcès est fait de matériel nécrotique et on voit une capsule fibreuse qui l’entoure (c)

  1. structure tubulaire radiaire et parallèle = candida albicans
    rose = matériel nécrosé granuleux avec débris cellulaire
  2. c’est la capsule: on retrouve des vaisseaux sanguins + fibre de collagene en jaune
How well did you know this?
1
Not at all
2
3
4
5
Perfectly
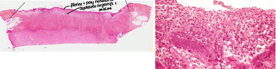
14
Q
A

Tissus de granulation de la peau suite à un ulcère
1. pointillé permettent de voir que c’est de la peau( peau normal sur les côtés)

  1. Couche alternative (la plus superficielle)
    flèche = fibrine
    les cellules = polynucléaires avec plusieurs ayant noyaux picnotiques
    en bas on commence aussi a voir la couche exsudative superficielle qui contient vaisseaux sanguins conjestifs
How well did you know this?
1
Not at all
2
3
4
5
Perfectly
15
Q
A

Tissus de granulation suite è une peau ulcérée
1. couche exsudative : oedème riche en polynucléaire et quelques cellules noyau simple et fibroblaste
nombreux vaisseaux conjestifs
2. Couche exsudativo-productive: vaisseaux hyperperméables avec oedème intersticiel contenant ++ mononucléés (monocyte, macrophage, lymphocyte, plasmocyte) et une bonne qté de fibroblaste

How well did you know this?
1
Not at all
2
3
4
5
Perfectly
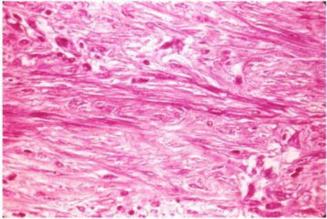
16
Q
A

Couche cicatricielle : la plus profonde du tissu de granulation de la peau suite à un ulcère

prédominance de collagène vs les fibroblastes