TP4 Flashcards

(12 cards)

1
Q
A

à gauche : atheroclérose parce quon voit les cristaux lipidiques

à droite: thrombus parce que très rouge

How well did you know this?
1
Not at all
2
3
4
5
Perfectly
2
Q
A

Athérosclérose
occupe entièrement l’intima et une partie de la média (m)
on voit cristaux de cholesterol avec des lipophages (macrophages qui ont mangés du calcium)

How well did you know this?
1
Not at all
2
3
4
5
Perfectly
3
Q
A
  1. thrombus fait d’hématie et plaquettes combinés dans un reseau de fibrine
  2. plaque atherosclérotique avec hemorragie dans le coin droit et vasavasorum ++ conjestifs
How well did you know this?
1
Not at all
2
3
4
5
Perfectly
4
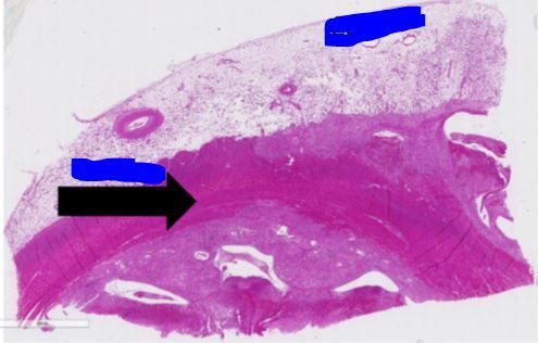
Q
A

Infarctus récent du myocarde
flèche=nécrose (très rose)
en haut = épicarde

pas de fibrose ou peu, c’est pour ca que c’est récent

How well did you know this?
1
Not at all
2
3
4
5
Perfectly
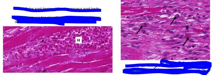
5
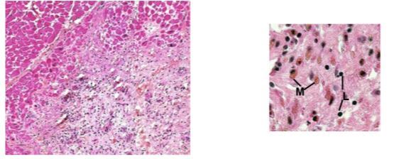
Q
A

infarctus récent du myocarde
1. myocytes nécrotiques , entre eux on peut voir une hémorragie , les cellules sont éosinophiles et lesées

  1. tissus de granulation autour de la zone nécrotique, nombreux macrophages avec lipofuscine et hémosidérine, fibroblastes et neocapillaires
    c’est le début de la réparation
How well did you know this?
1
Not at all
2
3
4
5
Perfectly
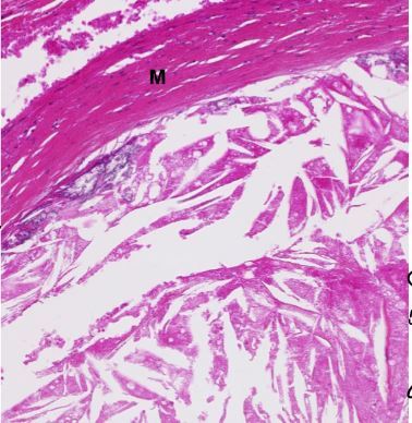
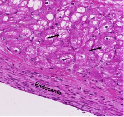
6
Q
A

Infarctus récent du myocarde
sous la couche endocardique, cellules entrain de mourir par hypoxie (mort vacuolisé)

How well did you know this?
1
Not at all
2
3
4
5
Perfectly
7
Q
A

infarctus ancien du myocarde parce qu’on voit de la fibrose(collagène)

How well did you know this?
1
Not at all
2
3
4
5
Perfectly
8
Q
A

infarctus ancien du myocarde
myocytes remplacés par collagene
peu de fibroblaste et de vaisseau sanguin
on retrouve macrophage et lymphocyte

How well did you know this?
1
Not at all
2
3
4
5
Perfectly
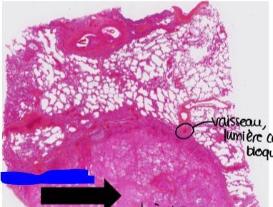
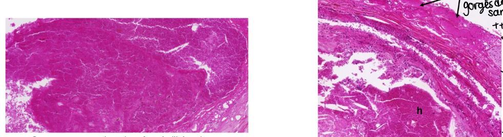
9
Q
A

Infarctus pulmonaire
flèche =zone infarcie
on sait parceque très hémorragique et très rose (nécrose)

How well did you know this?
1
Not at all
2
3
4
5
Perfectly
10
Q
A

infarctus pulmonaire
1. embole grossit qui montre pleins de vs congestif, fibres de collagène et fibroblastes

2.alvéoles nécrosés (pas de noyau) on retrouve a l’int débris cellulaires, leucocyte et fibrine

How well did you know this?
1
Not at all
2
3
4
5
Perfectly
11
Q
A

régions infarcies d’un infarctus rénal (nécrose de coag)

How well did you know this?
1
Not at all
2
3
4
5
Perfectly
12
Q
A

infarctus rénal
1. on voit très bien délimitation entre zone infarcie et non-infarcie avec les vaisseaux très très conjestifs entre les deux zones

  1. à gauche normal/à droite infarcie
    cellule fantome, ne possèdent plus de noyau
How well did you know this?
1
Not at all
2
3
4
5
Perfectly