TP6 Flashcards

(11 cards)

1
Q
A

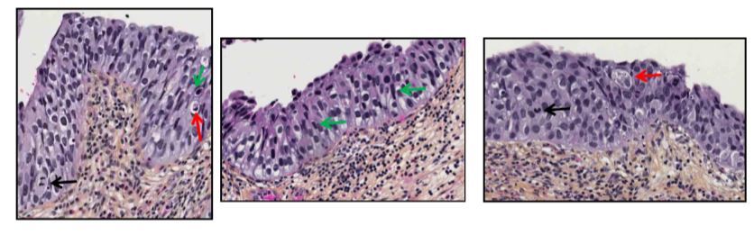
carcinome in situ de la vessie (n’envahit pas le chorion), juste une prolifération trop grande de l’épithélium

How well did you know this?
1
Not at all
2
3
4
5
Perfectly
2
Q
A

carcinome in situ de la vessie

variation dans l’epaisseur de l’épithelium urinaire

à certains endroits, desquamation de l’épithélium qui dénude le chorion

chorion inflammatoire (lymphocytes++) et hyper vascularisé

How well did you know this?
1
Not at all
2
3
4
5
Perfectly
3
Q
A

Carcinome in situ de la vessie

fleche rouge: atypie cellulaire
fleche verte: atypie nucléaire
fleche noir: mitose ++

How well did you know this?
1
Not at all
2
3
4
5
Perfectly
4
Q
A

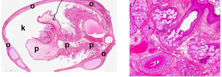
tératome bénin de l’ovaire

fleche = polype
on voit des kystes dans l’ovaire

How well did you know this?
1
Not at all
2
3
4
5
Perfectly
5
Q
A

Tératome bénin de l’ovaire
o=ovaire
k=intra kystique
p= polype

interieur d’un polype avec follicule pileux et vrai peau

How well did you know this?
1
Not at all
2
3
4
5
Perfectly
6
Q
A

Teratome bénin de l’ovaire

gauche: cellule de nevroglie dans le polype

droite: neurone

How well did you know this?
1
Not at all
2
3
4
5
Perfectly
7
Q
A

Dysplasie de haut grade du col utérin aussi carcinome in situ (ne dépasse pas la membrane basale de l’épithélium malpighien)

flèche =prolifération

How well did you know this?
1
Not at all
2
3
4
5
Perfectly
8
Q
A

Dysplasie de haut grade du col utérin

perte de polarité des cellules (pas la bonne orientation)

fleche rouge: noyau atypique
fleche noir: mitose atypique

How well did you know this?
1
Not at all
2
3
4
5
Perfectly
9
Q
A

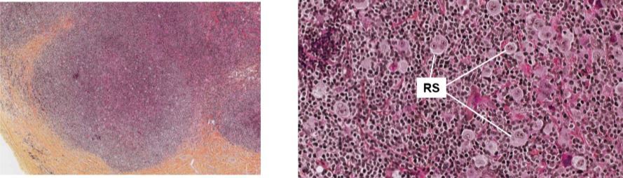
Lymphome de Hodgkin de type scléro-nodulaire avec cellules Reed-Sternburg

ce quon voit ici c’est un ganglion lymphatique

How well did you know this?
1
Not at all
2
3
4
5
Perfectly
10
Q
A

Lymphome de Hodgkin

gauche: nodule riche en cellule tumorale et lymphocyte qui est entouré de bcp de tissus conjonctif

droite: cytoplasme abondant, grosse cellules multinucléaire , volumineux nucléoles ce sont les cellules de Reed-Sternburg

How well did you know this?
1
Not at all
2
3
4
5
Perfectly
11
Q

quel diagnostique on fait avec l’immunohistochimie

A

Cellules cytoplasme brun= cellules de Reed-Sternburg du lymphme de Hodgkin

How well did you know this?
1
Not at all
2
3
4
5
Perfectly