TP7 Flashcards

(13 cards)

1
Q
A

Adénocarcinome du sein
cellules néoplasiques forment sont séparées par travées de collagène

How well did you know this?
1
Not at all
2
3
4
5
Perfectly
2
Q
A

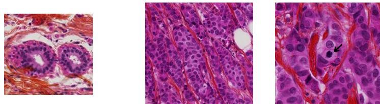
adénocarcinome du sein
1.quelques canaux excréteurs des glandes mammaires en périphérie
2. cellules néoplasiques séparées par travées de collagene
3.pas d’atypie cellulaire et noyaux normales mais quelques mitoses

How well did you know this?
1
Not at all
2
3
4
5
Perfectly
3
Q
A

Métastase dans les ganglions lymphatique
fleche pointe un nodule tumoral nécrotique

How well did you know this?
1
Not at all
2
3
4
5
Perfectly
4
Q
A

Métastase dans ganglion lymphatique
cellules tumorales néoplsiques forment des ébauches de glandes à l’int du ganglion

How well did you know this?
1
Not at all
2
3
4
5
Perfectly
5
Q
A

Ostéosarcome
très cellulaire, riche en tissus ostéoide (non-calcifié)

How well did you know this?
1
Not at all
2
3
4
5
Perfectly
6
Q
A

ostéosarcome
1. tres cellulaire, riche en tissus ostéoide (non-calcifié)
2.groupes d’ostéoblastes tumoraux séparés par tissu ostéoide néoformé (flèche) et mitoses et atypies cellulaires

How well did you know this?
1
Not at all
2
3
4
5
Perfectly
7
Q
A

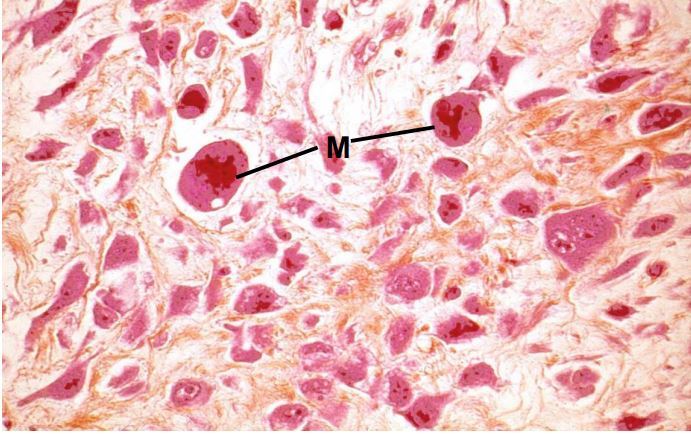
Métastase dans les poumons

Nodule tumoral avec cellules tumorales ostéoides avec foyers calcifiés

How well did you know this?
1
Not at all
2
3
4
5
Perfectly
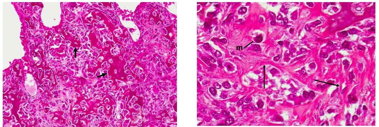
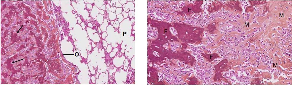
8
Q
A

Métastase dans les poumons

1.tissus tumoral osteoide avec foyers calcifiés
rangée d’ostéoblaste tumoraux adjacente au tissus pulmonaire normal

m=matrice osteoide
f=foyer de calcification
0=rangée d’ostéoblastes tumoraux

How well did you know this?
1
Not at all
2
3
4
5
Perfectly
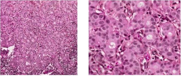
9
Q
A

Métastase des poumons
mitoses atypiques de cellules néoplasiques malignes
noyau forme et grosseur variable, pas uniforme

How well did you know this?
1
Not at all
2
3
4
5
Perfectly
10
Q
A

Lymphome de Burkitt (colon)
aspect de ciel étoilé
lymphocytes +++ =flèche

How well did you know this?
1
Not at all
2
3
4
5
Perfectly
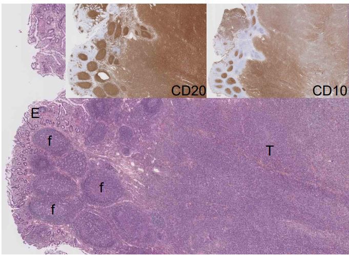
11
Q
A

Lymphome de Burkitt (colon)
on peut voir l’épithélium du colon (E) et présence de follicule lymphoide normaux (F)
la tumeur est plus en profondeur (t)

CD20 montre les LB
CD10 les LB des centres germinatifs clair

How well did you know this?
1
Not at all
2
3
4
5
Perfectly
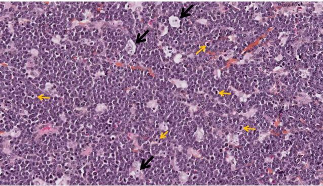
12
Q
A

Lymphome de Burkitt (colon)
ciel étoilé tellement de lymphocyte et étoiles = macrophages (fleche noir)
++ mitose (flèche jaune)

How well did you know this?
1
Not at all
2
3
4
5
Perfectly
13
Q

translocation chromosome 8 avec 14 donne quelle maladie et comment on le voit en fish

A

Lymphome de Burkitt (colon)
chromosome 8=vert et orange ou juste vert si translo
chromosome 14= orange si translo

How well did you know this?
1
Not at all
2
3
4
5
Perfectly