TP5 Flashcards

(6 cards)

1
Q
A

Verrue vulgaire
flèche = zone épaissie

How well did you know this?
1
Not at all
2
3
4
5
Perfectly
2
Q
A

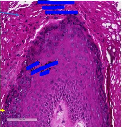
Verrue vulgaire
épaississemnt de la couche cornée et épineuse à cause de trop grosse prolifération de cellule épithéliale

fleche bleu : noyaux dans les keratinocytes

fleche jaune :cellule vacuolisé avec noyau pychnotique et ++ grain de keratohyaline

How well did you know this?
1
Not at all
2
3
4
5
Perfectly
3
Q
A

fibroadénome du sein
pas malin

How well did you know this?
1
Not at all
2
3
4
5
Perfectly
4
Q
A

Fibroadénome du sein
en haut: capsule fibreuse qui entoure le nodule, on voit un peu de tissu de sein normal

en bas gauche: multiples formation de canaux ou de fausse glande
tcd: tissus conjonctif dense
tcl: tissus conjonctif lache

en bas à droite:
absence d’atypie des cellules de l’épithélium des fausses glandes, on voit plusieurs ouches de cellules cubique ou prismatique

How well did you know this?
1
Not at all
2
3
4
5
Perfectly
5
Q
A

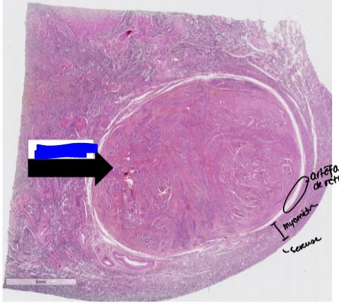
léiomyome utérin
tumeur bénigne très ronde

How well did you know this?
1
Not at all
2
3
4
5
Perfectly
6
Q
A

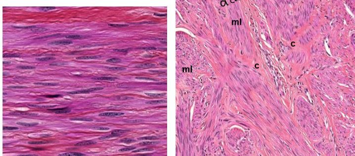
léiomyome utérin
1. on ne voit pas d’atypie des cellules et absence de mitose
2. cellules musculaires lisses coupées dans tous les sens avec faisceau de collagène associé

How well did you know this?
1
Not at all
2
3
4
5
Perfectly