Tracheal Hypoplasia
Tracheal hypoplasia is a congenital narrowing of the trachea by at least 50% of the cross-sectional lumen, affecting the entire length of the trachea. The tracheal rings are almost complete with a negligible dorsal muscle.
There is an increased incidence of the condition in English Bulldogs and English Mastiffs, but tracheal hypoplasia has also been described in the Labrador Retriever, German Shepherd Dog, Weimaraner and Basset Hound.
The condition is rarely seen in the cat.
Tracheal hypoplasia is one component of the canine brachycephalic airway obstruction complex, which includes stenotic nares, elongated soft palate and everted laryngeal saccules.
Concurrent congenital abnormalities, such as megaoesophagus and pulmonic and aortic stenosis, have also been identified.
The condition can be diagnosed at an early age, and affected animals may present with stridor, dyspnoea, reduced exercise tolerance and coughing. Excitement exacerbates the condition, which is often progressive during the day. Recurrent respiratory infections may lead to bronchopneumonia .
Dogs and cats with mucopolysaccharidosis VII, a rare genetic lysosomal storage disease causing dysfunctional bone and cartilage formation, can have a similar narrowing of the internal tracheal diameter with thickened misshapen tracheal cartilages.
Imaging findings:
The smallest ratio of trachea:thoracic inlet in Bulldogs with no clinical signs of respiratory disease has been established as 0.09.
Oslerus osleri infection

This parasitic infection (previously known as Filaroides osleri) is relatively rare nowadays and is usually identified in dogs less than 2 years old, in particular in kennelled dogs, such as Greyhounds.
Direct transmission from dog to dog is possible, including from dam to pup through faeces and saliva.
Clinical signs include a mild to paroxysmal, hacking and often unproductive cough, which may end in retching, and is unresponsive to antibiotics.
The trachea is sensitive to palpation and, unless a secondary infection is present, a normal body temperature is found.
Wheezing , dyspnoea and weight loss may be seen in more advanced cases, although there may be no clinical signs.
Bronchoscopy is the method of choice for diagnosis, where granulomas, papules or nodules may be identified.
Imaging findings:

Ventral Tracheal Deviation

Neuroendocrine cells are characterized by their ability to produce and secrete a neuromodulator, transmitter, or hormone. Examples of NETs include carcinoids, gastroenterohepatic tumors (gastrinoma, insulinoma, glucagonoma), pheochromocytoma of the adrenal gland, medullary carcinoma of the thyroid gland, some pituitary tumors, small-cell lung cancer, multiple endocrine neoplasia (MEN types 1 and 2), and tumors of the chemoreceptor organs.

Anatomy of the Bronchial Tree

The bronchial tree begins at the termination of the trachea with its division into the right and left principal (or mainstem) bronchi. The principal bronchi are short and each divides into lobar bronchi (also known as secondary bronchi); these supply the various lobes of the lung and are named according to the lobe they supply (Figures 11 .1 and 11 .2).
The right principal bronchus divides into four lobar bronchi. one for each lobe of the right lung:
The left principal bronchus divides into two lobar bronchi:
Within each lobe the lobar bronchi subdivide further into segmental bronchi (sometimes referred to as tertiary bronchi). The segmental bronchi with the lung tissue they ventilate are called bronchopulmonary segments. Each bronchopulmonary segment is independent. Adjacent bronchopulmonary segments normally communicate with each other in the dog through the interalveolar pores of Kohn and channels of Lambert (see also Chapter 12). The segmental bronchi branch into smaller generations of bronchi until the formation of the respiratory bronchioles, alveolar ducts, alveolar sacs and pulmonary alveoli. The number of generations depends on the size of the animal and is difficult to measure.
The bronchial walls are formed by hyaline cartilage rings and spiral bands of smooth muscle. Bronchioles are commonly less than 1 mm in diameter and have no cartilaginous support.
Bronchi and the surrounding tissue, up to the level of the respiratory bronchioles, receive their blood supply from the bronchial artery, which, although variable in origin, is commonly a continuation of the bronchoesophageal artery. Venous return is via the pulmonary circulation.
The space between the paired pulmonary artery and vein on a radiograph does not necessarily represent the bronchial lumen. Bronchi should gradually taper towards the periphery

Bronchial Obstruction
(causes)

Bronchial obstruction can be produced by a variety of mechanisms. The same classification system can be applied to tracheal obstruction.
The radiographic features of bronchial obstruction depend on the location and degree of the obstruction, the effectiveness of collateral ventilation and the chronicity of the condition.

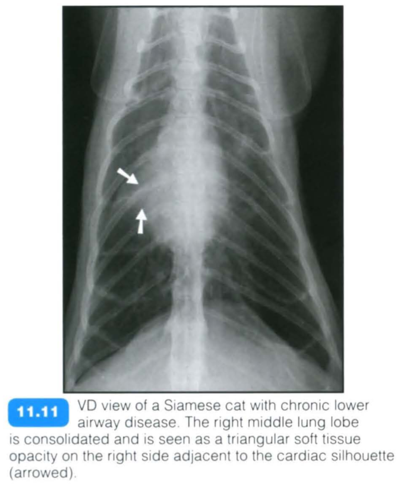
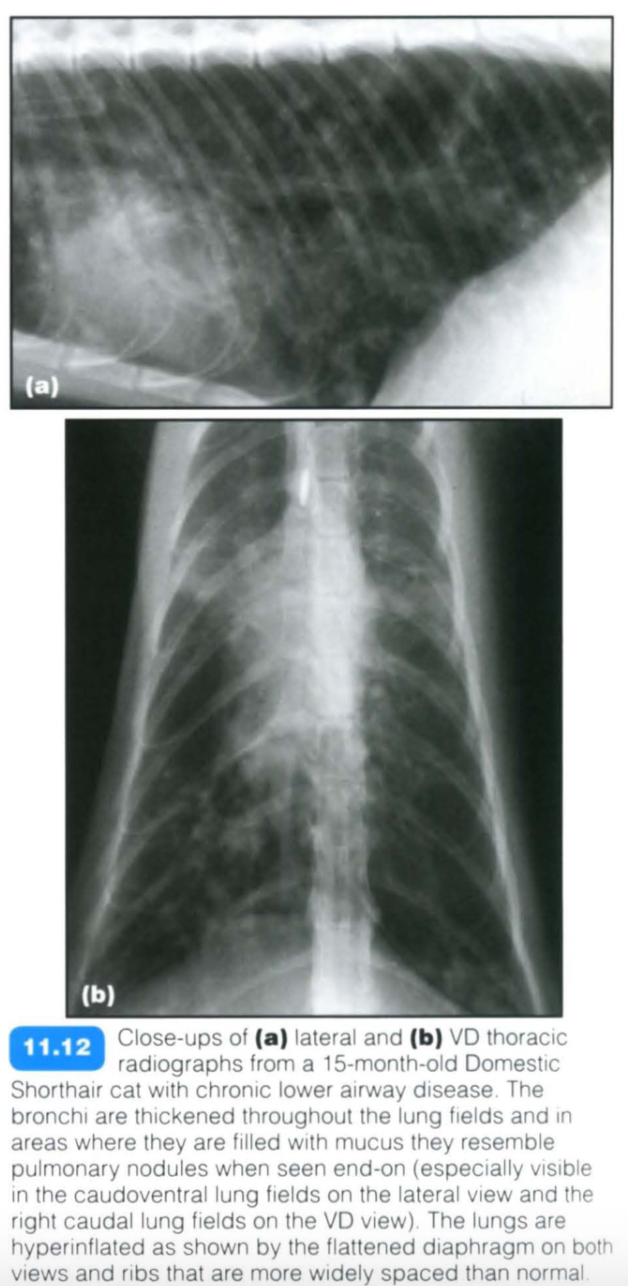
Feline Chronic Lower Airway Dz

Feline chronic lower airway disease
Feline chronic lower airway disease encompasses a multitude of small airway diseases in the cat including feline asthma. Inflammation of the airways leads to a reversible obstruction to airflow (functional obstruction) and hence air trapping. The obstruction is due to a combination of bronchoconstriction, bronchial wall oedema and submucosal gland hypertrophy.
Clinical signs vary from chronic coughing and wheezing to severe respiratory distress. The condition can affect cats of any age with Siamese appearing to have an increased incidence . Hyper-responsive airways and reversible airflow obstruction lead to a reduced airway diameter and increased airway resistance. The condition can be extremely severe in presentation and care should be taken when handling dyspnoeic cats.
Radiography:

Bronchiectasis

Bronchiectasis is irreversible bronchial dilatation often with accumulation of pulmonary secretions. It can be focal or disseminated and it is uncommon in dogs and rare in cats . In cats, a predisposition for older males has been described.
Causes include:
Bronchial secretions accumulate in the dilated bronchi and predispose the patient to recurrent airway and pulmonary infections.
Dogs with bronchiectasis are commonly presented with a history of chronic productive coughing and recurring pneumonia that initially responds to antibiotics.
Radiography:

Primary Ciliary Dyskenesia

Primary ciliary dyskinesia (PCD), also known as immotile cilia syndrome, is a diverse group of inherited structural and functional abnormalities of the respiratory and other cilia, which results in recurrent respiratory tract infections in the dog. More specifically, PCD is an inherited defect in microtubule formation, affecting cilia of the respiratory and urogenital tract and the auditory canal.
Typically PCD is diagnosed in young purebred animals with a reported higher incidence in the Bichon Frise. The condition may be seen in mixed breed dogs and also in cats.
There is a relatively high prevalence of a respiratory disease and the phenotype is almost identical to PCD in humans. The respiratory manifestations include chronic rhinitis , bronchitis and severe pneumonia with or without bronchiectasis. Affected animals are presented with recurrent chronic nasal discharge, productive cough, respiratory distress and exercise intolerance. Additional findings are infertility, hydrocephalus and loss of hearing.
Assessment of deficient mucociliary transport is initially performed with nuclear scintigraphy. Transmission electron microscopy of nasal or bronchial respiratory epithelium or seminal samples provides confirmation of the diagnosis.
Radiography:
Computed tomography:
Scintigraphy:
To perform a scintigraphic study (see Chapter 5) a droplet of 99mTc-MAA is deposited in the distal aspect of the trachea. The diagnosis is confirmed by the absence of movement of the radiopharmaceutical droplet throughout the scintigraphic study. It should be noted that droplet movement always indicates normal Ciliary function (Le. no false- negatives).

Species Differences


Obese Animals
Obese animals have large amounts of fat around and within the thoracic cavity, which leads to increased X-ray attenuation and generation of scatter radiation. The net result is an increased lung opacity with poor visibility of the bronchovascular structures. Intrathoracic fat restricts full lung expansion during inspiration, which also contributes to the more opaque appearance of the lungs in these animals. These changes should not be mistaken for pathologically increased lung opacity.
In lean dogs and cats, and in deep-chested dogs, the lungs tend to look very lucent. A close inspection with a highly luminescent light source should reveal normal bronchovascular structures and thereby differentiate this variation from a pneumothorax.
Lung Hyperinflation
Cuases & Radiographic Finidings

Causes:
General radiographic features include:

Pulmonary Metastatic Dz
Radiographic Patterns
Radiographic patterns have been described for several tumour types:
Lung Lobe Torsion

Lung lobe torsion is an uncommon condition in small animals, but it is potentially life-threatening and requires surgical intervention in most cases.
Rotation of a lung lobe occurs around its axis, usually close to the hilus or rarely also in the middle of a lobe:
Air can be trapped within the twisted lung lobe due to incomplete bronchial obstruction with a one-way valve effect. Pulmonary emphysema can develop as a consequence of increased alveolar pressure, alveolar or bronchial tears; pneumothorax or pneumo- mediastinum can result from bronchial tears.
Decreased lymphatic drainage, as well as increased interstitial and hydrostatic pressure within the affected lung lobe, leads to production of pleural effusion.
Large-breed dogs with deep and narrow chests, particularly Afghan hounds, are predisposed. Small chondrodystrophic dogs with round chests, such as Pugs, have also been described with spontaneous lung lobe torsion. Small dogs and cats are more commonly reported to have an underlying condition, leading to the lung lobe torsion.
Underlying diseases are characterized by collapse of a lung lobe, which is also suspended in either pleural fluid or air, leading to increased lung lobe mobility. Pleural effusion, pneumothorax, trauma with compression of the thoracic cavity and partial collapse of a lung lobe, but also pneumonia and surgical manipulation, are described as predisposing conditions .
The most commonly affected lung lobes are:
Radiography:
