Week 1 Flashcards

(349 cards)

1
Q

Label the diagram

A
How well did you know this?
1
Not at all
2
3
4
5
Perfectly
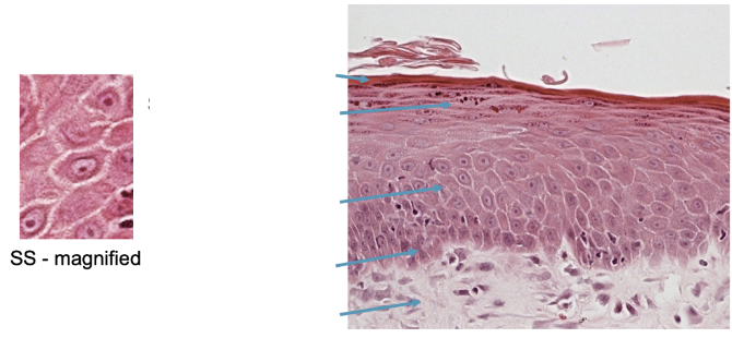
2
Q

Describe the layers of the skin

A

Epidermis – protection from dehydration

Dermis – tensile strength

Subcutis or hypodermis – energy storage as fat

How well did you know this?
1
Not at all
2
3
4
5
Perfectly
3
Q

Describe the early embryology of the skin

A
  1. Initially 1 layer of ectodermal cells (ectoderm) overlies dermis of loosely arranged mesenchymal cells (mesoderm)
  2. Ectoderm divides into 2 layers
    - Basal cell layer or stratum germinativum
    - Outer layer is periderm
  3. Stratum intermedium is infilling between 2 layers which results in 3 layers
  4. Further development leads to adult structure with addition of
    - Melanocytes (neural crest origin)
    - Langerhans cells (bone marrow origin)
How well did you know this?
1
Not at all
2
3
4
5
Perfectly
4
Q

Describe dermal & subcutis development

A

Dermal development:
1. Increase in thickness & number of fibres
- As mesenchymal cells transition to fibroblasts
- Collagen fibres precede elastin fibres
- Accompanied by ground substance (proteoglycans & hyaluonan)
2.Histocytes & dermal melanocytes are noted
3.Development of nerves & blood vessels

Subcutis development:
Lipocytes develop in 2nd half of gestation

How well did you know this?
1
Not at all
2
3
4
5
Perfectly
5
Q

Describe skin embryology mid pregnancy

A

Basal layers give rise to typical layers of stratified squamous epithelium

Periderm is lost

Cells of epithelium = keratinocytes

Mesodermal cells differentiate into connective tissue cells

How well did you know this?
1
Not at all
2
3
4
5
Perfectly
6
Q

Describe embryological development of hair

A

Epidermal basal cells proliferate into dermis –> hair bud

Aggregation of mesenchymal cells (dermal papilla) projects into tip of hair bud

Epidermal cells grow around papilla –> hair bulb from which hair grows

How well did you know this?
1
Not at all
2
3
4
5
Perfectly
7
Q

What are keratinocytes and what do they need

A

Skin cells are called keratinocytes

Building blocks for skin

Keratinocytes need:
- Strength
- Attachment to each other
- Attachment to underlying dermis

How well did you know this?
1
Not at all
2
3
4
5
Perfectly
8
Q

What are keratins

A

Keratins are intermediate filament forming proteins that provide mechanical support

Differentially expressed in different layers in skin & in different anatomical areas
- e.g. paw pads & hands vs normal haired skin

Link cells nuclear membrane to plasma membrane at desmosomes

How well did you know this?
1
Not at all
2
3
4
5
Perfectly
9
Q

What is palmopalmar hyperkeratosis

A
How well did you know this?
1
Not at all
2
3
4
5
Perfectly
10
Q

What are desmosomes

A

Desmosomes anchor keratinocytes to each other
- Strong link between KCs, linking keratin intermediate filaments
- Also provide intracytoplasmic signalling
- Some desmosomal proteins involved in congenital & autoimmune disease

How well did you know this?
1
Not at all
2
3
4
5
Perfectly
11
Q

What is Pemphigus foliaceus

A
How well did you know this?
1
Not at all
2
3
4
5
Perfectly
12
Q

What are hemidesmosomes

A

Hemidesmosomes anchor epidermis to dermis
- Strong link between keratin intermediate filaments & interstitial collagen in dermis
- Number & complexity of these molecules allows number of congenital & autoimmune diseases

How well did you know this?
1
Not at all
2
3
4
5
Perfectly
13
Q

Label the epidermal basement membrane ultrastructure

A
How well did you know this?
1
Not at all
2
3
4
5
Perfectly
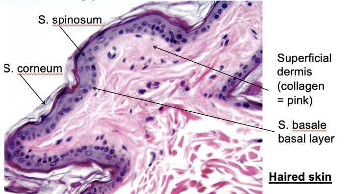
14
Q

Label the skin histology

A
How well did you know this?
1
Not at all
2
3
4
5
Perfectly
15
Q

Label the skin histology

A
How well did you know this?
1
Not at all
2
3
4
5
Perfectly
16
Q

What is the stratum basale

A

Single layer cuboidal cells
- Proliferative (1/3) & anchoring (2/3)
- Stem cell function (pluripotent)

How well did you know this?
1
Not at all
2
3
4
5
Perfectly
17
Q

What are anchoring cells

A

Structural role

Attached to dermis – hemidesmosomes

Keratinocyte to keratinocyte: desmosomes

How well did you know this?
1
Not at all
2
3
4
5
Perfectly
18
Q

What are proliferative cells

A

mitotically active - 1 cell remains as germinative cell & other differentiates

How well did you know this?
1
Not at all
2
3
4
5
Perfectly
19
Q

What influences the stratum basale

A

Growth factors & hormones
- e.g epidermal growth factor (GF), insulin-like GF, keratinocyte GF, cortisol, thyroid hormones

Inflammatory mediators
- e.g., Interleukin- (IL-) 1, IL-6, Transforming growth factor alpha

Drugs and vitamins
- e.g., Vitamin D, retinoids (vitamin A analogues)

How well did you know this?
1
Not at all
2
3
4
5
Perfectly
20
Q

What is the stratum spinosum

A

1 to 20 cells thick (thickest part of skin)

polyhedral cells

prominent intercellular bridges

upper layer produces involucrin (part of cornified layer)

How well did you know this?
1
Not at all
2
3
4
5
Perfectly
21
Q

Label the skin histology

A
How well did you know this?
1
Not at all
2
3
4
5
Perfectly
22
Q

What is the stratum granulosum

A

variably present in haired skin

slightly flattened cells, shrunken nuclei with intracellular keratohyaline granules containing profilaggrin (biologic glue), loricrin

various lipids and enzymes-secreted extracellularly (watertight seal)

Desmosomes express corneodesmosin

How well did you know this?
1
Not at all
2
3
4
5
Perfectly
23
Q

Label the skin histology

A
How well did you know this?
1
Not at all
2
3
4
5
Perfectly
24
Q

What is the stratum lucidum

A

not present in haired skin

slightly flattened cells, shrunken nuclei

poor staining (H&E)

How well did you know this?
1
Not at all
2
3
4
5
Perfectly
25
What is the stratum corneum
composed of anucleate flattened cells (squames) of variable thickness - locations and species Plasma membrane replaced by cornified envelope comprising of intracellular proteins Hydrophilic bonding of lipids forms organised ‘mortar’ between squames (lipids from lamella bodies) Desmosomes now called ‘corneodesmosomes’ – due to addition of corneodesmosin
26
Label the skin histology
27
How is the cornified envelope formed
1. in lipid bilayer of S. basal & S. spinulosum 2. In the upper granular layer, envoplakin and periplakin are laid on the cell membrane 3. Involucrin and TGM1 (transglutaminase 1) are added. 4. Ceramides are incorporated into the wall and fatty acids and cholesterol are released into intracellular space. 5. The cell membrane is replaced by a ceramide and fatty acid complex.
28
What is desquamation
The final part of terminal development homeostatic process - continual loss of cells In part mediated by proteinases & glycosidases in which variety of intracellular & intercellular macromolecules are degraded Destruction of corneodesmosome Invisible rafts of attached corneocytes fall off
29
What are the properties of the dermis
Connective tissue of mesenchymal origin Insoluble fibres - collagen & elastin - give tensile strength Soluble polymers - proteoglycans & hyaluronan - resist & absorb compressive forces Thickness of dermis determines thickness of skin Divided – deep & superficial dermis Contains epidermal appendages, arrector pili muscles, blood, lymph vessels & nerves Cells present include perivascular lymphocytes, dermal dendritic cells, mast cells & fibroblasts
30
What are the nerves in the dermis
Sensory nerves - Respond to touch, pressure, temperature, nociception, pruritus (itch often mediated by cytokines & chemokines e.g. IL-31 and TSLP) - Receptors (mechanoreceptors) *Free nerve endings (also in epidermis) *Rapid adapting – Meissener’s & Pacinian corpuscles & tylotrich hairs *Slow adapting – Merkel cells, Ruffini corpuscles, sinus hairs & tylotrich pad Motor nerves - Adrenergic & cholinergic fibres - Arterioles, atrichial & epitrichial sweat glands
31
What are the blood vessels of the dermis
1. Deep dermal vascular plexus Interface of dermis and subcutis Suppy lower hair follicle and epitrichial sweat glands 2. Mid-dermal vascular plexus Level of the sebaceous glands Supply arrector pili muscles, mid hair follicle & sebaceous glands 3. Superficial dermal vascular plexus Just below epidermis Capillary loops supply epidermis & upper hair follicle
32
What are sebaceous glands
Basal layer of germinative cells divide & differentiate to form large polygonal cells with abundant vacuolated cytoplasm
33
What are holocrine secretions
produces sebum containing triglycerides, other lipids (e.g. linoleic acid), transferrin, IgA, IgG
34
What are the functions of sebum & how is it excreted
Lubricates hair, and skin (gloss) Required for normal hair shaft separation Excreted via squamous duct to the hair follicle
35
Label the skin histology
36
Name some specialised sebaceous glands
Meibomian gland (eyelid) Circumanal (hepatoid) gland Supracaudal gland of dogs and cats Submental glands in cats Preputial glands in horses infraorbital, inguinal and interdigital glands (in close association with sweat glands) in sheep
37
What are the 2 types of sweat glands
38
Label the skin histology
39
Where can you find specialised atrichial glands
These have apocrine secretion Mammary glands Interdigital glands of small ruminants External ear canal Nasolacrimal glands Aqueous component of tear film Apocrine glands of anal sac
40
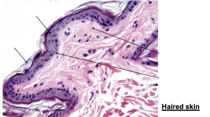
Describe hair follicles in omnivores, herbivores & carnivores
Omnivores and herbivores simple follicles - each infundibulum contains single hair shaft of approx same size (but compound follicles in most sheep) Carnivores Compound follicles (multiple hairs per follicle)
41
What is the density of hair follicles in pigs, cows, sheep, dog, cat
42
Label the hair
43
Which hair is growing and which is resting
44
What are anagen, catagen and telogen hairs
Anagen – actively growing Catagen – period of rapid change in which lower portion undergoes apoptosis (short time period) Telogen – resting hair
45
What are primary & secondary hairs
Primary (large hairs) bulb in the deep dermis have associated sebaceous glands, sweat glands, arrector pili muscles Secondary (smaller hairs) smaller, not as deep in the dermis may have associated sebaceous gland, but no sweat glands or arrector pili muscles
46
Are these hairs primary or secondary?
47
Describe the hair cycle
1. Anagen - Growth phase - New hair produced under previous hair in deep dermis - Distinctive hair bulb containing follicular dermal papilla 2. Catagen - Transitional phase & rarely seen in normal skin – feature of some skin diseases (e.g. alopecia X) 3. Telogen - Resting phase 4. Exogen - The process of the hair being lost
48
What regulates the hair cycle
49
Label the hair follicles
50
What are the 6 layers of anagen hair
51
Label the hair
52
Describe anagen hairs
In deep dermis dermal papilla provides blood supply, target of tropic hormones hair bulb epithelium undergoes mitosis, melanocytes provide pigment
53
Describe catagen hairs
In the mid dermis involution of the hair bulb and dermal papilla upward migration of the follicle and papilla loss of the internal root sheath develops thick glassy membrane (analogous to basement membrane of epidermis) above bulb of follicle Usually, a fast process mediated by apoptosis
54
Describe telogen hairs
In mid to upper dermis Conical bulb at level of attachment of arrector pili muscle (1/3 of original length) hair surrounded by external root sheath hair bulb separated from dermal papilla by thick basement membrane original bulb is dormant new bulb & papilla form beneath old follicle when stimulated, new bulb forms new hair & old hair is lost
55
In what phase is this hair
telogen
56
In what phase is this hair
anagen
57
Describe the specialised hairs
Vibrissae (sinus hairs) - simple follicles with blood-filled sinus between inner & outer layers of dermal sheath - nose, above eyes, lips etc. - mechanoreceptors (touch) Tylotrich hairs - simple follicles in amongst body hairs - Mechanoreceptors (fast adapting) - Associated with Tylotrich pads (slow adapting)
58
What are the functions of the skin
59
What are the types os skin mechanoreceptors and what are their functions
60
Describe the skins function in photoprotection
Urocanic acid & Melanin absorb UVA and UVB Nuclear capping by melanin Skin thickness But need UVB for Vitamin D production - mammals, reptiles and birds
61
Describe the skins immunosurveillance function
Keratinocytes – immunologically active (e.g. Interleukin-1, thymic stromal lymphopoetin) Langerhans cells provide immunosurveilance & direct type of immune-response / inflammation) T-cells and mast cells in the dermis Antimicrobial proteins from KCs & in sweat (e.g. Beta-defensin, cathelicidins) - Key in relationships with commensal bacteria
62
Describe the subcutis (hypodermis)
Connective tissue of mesenchymal origin deepest and thickest layer Variably present Projects into dermis (papillae adiposae) to protect hair follicles, sweat glands & vessels Predominant cell type – lipocyte (90%) - Energy reserve - Thermogenesis & insulation - Protective padding & support - Maintaining surface contour/shape Small blood supply --> susceptible to disease
63
What are melanocytes
Derived from the neural crest Cell immersed in epidermis with close contact with defined no. of keratinocytes (via dendritic processes) – epidermal melanin unit (EMU) Melanin is composed of two types (various forms of each type) - eumelanin black – brown - phaeomelanin reddish yellow Melanocytes produce pigment in melanosomes which are membrane bound structures derived from golgi involved in transfer of pigment to keratinocytes Melanocytes have photoprotection & immune functions
64
What is skin color influenced by
Carotenoids – yellow pigments from plants - SQ fat and stratum corneum Oxyhaemoglobin Deoxyhaemoglobin Melanin (tyrosine dependent – Cu co-enzyme)
65
Label the diagram
66
What controls skin pigmentation
Genetic UV light hormones / inflammatory mediators - melanocyte stimulating hormone (MSH) - e.g. Leukotrienes ➡ post-inflammatory hyperpigmentation
67
What are Langerhans cells
‘Professional’ antigen-presenting cells Seen as clear cells on H&E histopathology Distinctive tennis racket-shaped or rod-shaped cytoplasmic organelle on electron microscopy Migrate to dermis & regional lymph nodes on activation --> T-lymphocyte activation Markedly reduced in UV light - Increased infection on white legs of horses - Increased melanoma / squamous cell carcinoma in pale skin
68
What is the hoof
Keratinised epidermis arranged as - Wall (unguis) - Sole (subunguis) Attached to bone by a highly-folded dermis (corium)
69
Label the hoof
70
Label the claw
71
Label the feather
72
What are feathers
Highly specialised epidermal structures
73
What are scales
Overlapping plates of heavily keratinised epidermis
74
Label the beak histology
75
What are some primary nutritional skin diseases
76
What are some secondary nutritional skin diseases
77
What are the endocrine influences on hair growth
78
What is atrophic dermatosis
79
What are some atrophic dermatopathies
80
Define iatrogenic
disease caused by treatment
81
What is hitsuitism
increase length of coat
82
What is chronic dermatitis
83
How does the skin regulate temperature
84
Describe cells of immune-system that act together to form skin-associated lymphoid tissue (SALT)
Keratinocytes (epidermis) - very immunologically active. Produce AMPs to control microorganisms on skin Langerhans cells (epidermis) - professional antigen presenting cells in epidermis. When activated they migrate to present antigen to T-cells Melanocytes (epidermis and dermis) - have secondary immunological functions (phagocytosis of pathogens, antigen presentation, & produce IL-1β, IL6 & TNF-α as well as chemokines) Dermal dendritic cells (dermis) - professional antigen presenting cells in dermis (aided in some diseases by macrophages) Mast cells (dermis) - Found in dermis. When activated, histamine, preformed & newly synthesised mediators are released Lymphocytes (dermis [occasionally epidermis]) - B-cells, T-cells (T-helper, T-cytotoxic and T-regulatory) are found in dermis Other effector cells – depending on disease (dermis & epidermis) - Neutrophils, eosinophils and macrophages
85
Label the cells involved in SALT
86
Give examples of skin allergies
Allergies (common) – external antigens called allergens Flea allergic dermatitis – allergy to flea saliva Atopic dermatitis – allergy to dust mites, pollens and moulds
87
Give examples of immune-mediated hypersensitivities
Immune-mediated (less common) – self-antigens Pemphigus foliaceus – destruction of desmosomal proteins Discoid lupus – damage to epidermal cells Sebaceous adenitis – destruction of sebaceous glands
88
What are hypersensitivity diseases
Immune responses to innocuous antigens that lead to symptomatic reactions upon re-exposure
89
What are the 4 types of hypersensitivity reactions
Type I: immediate hypersensitivity-mediated by IgE activating mast cells Type II: IgG antibodies against cell surface /matrix antigens. Type III: antigen: antibody complex mediated Type IV: T cell mediated
90
What is sensitisation
Before any specific immune reaction, body must have encountered organism before. Type of allergen, dose & timing of exposure influence type of immune-response that will result. In vaccination, 2 doses of antigen are often given few weeks apart to generate long-lasting beneficial immune response. In hypersensitivity, animal may be intermittently or chronically exposed to antigen resulting in long-lasting & detrimental immune response.
91
Describe type 1 hypersensitivity
IgE-mediated hypersensitivity Sensitisation to the allergen occurs in the past 1. On subsequent exposure, IgE bound to mast cell by high affinity IgE receptor FceR1 is crosslinked by soluble antigens 2. Causes release of mast cell mediators - e.g. histamine, proteases, prostaglandins, leukotrienes & cytokines e.g. IL-31. Immediate response within 30 min Results in: increased vascular permeability peripheral vasodilation smooth muscle contraction Swelling and oedema Pruritus
92
Describe type 2 hypersensitivity
IgG antibody recognises cell surface or matrix antigens (can be self-antigens or infectious agent proteins on cell membranes) Reactions occur with 5-10 hours and result in: - Complement lysis of the cell - Removal by the reticuloendothelial system (e.g. RBC) - Destruction of the target by effector cells *Antibody allows macrophages, natural killer, eosinophils or neutrophils to be directed to specific target *Called antibody-dependent cellular cytotoxicity (ADCC) - If receptors are the target – may block or activate the receptor
93
What are the 2 types of type 2 hypersensitivities
a = complement dependent cytotoxicity b = antibody dependent cell mediated cytotoxicity
94
Describe type 3 hypersensitivity
IgG &/or IgM bind to soluble antigens & carried to areas where become entrapped in vessel. Common sites in skin are small vessels in tail, ears & feet. Antigen/antibody complex is not cleared by reticuloendothelial system. Reactions occur maximally at 4-8 hours and result in: - Complement damage to the vessel wall (vasculitis) - Macrophages, neutrophils & mast cells (binding via FcgRIII) may be activated by complexes & cause addition damage - Variable locally (called Arthus reaction in skin) to more generalized patterns of disease - Swelling (esp with mast cell involvement), partial ischaemia & tissue necrosis.
95
Describe type 4 hypersensitivity
In sensitized animals, antigen processed by local dendritic cells & antigen-specific (primed) T-cells. Reactions occur maximally at 24-72 hours and result in: - T-cells recruitment & activation other cells (monocytes & tissues macrophages) to produce local inflammatory response (soluble antigens) - Cytotoxicity (cell-associated antigens)
96
What are the 4 types of type 4 hypersensitivity
Allergic, contact, tuberculin, granuloma
97
Fill in the type 4 hypersensitivity table
98
Describe cytotoxic type 4 hypersensitivity (erythema multiforme)
99
describe Th-1 like type 4 hypersensitivity (Mycobacteria microti)
100
describe Th-2 like type 4 hypersensitivity (canine atopic dermatitis)
101
What are the roles of the skin in immune system
Reduced surveillance & collaboration with commensal organisms Recognition & elimination of non-commensal organisms/pathogens Unhelpful immune responses in allergy & immune-mediated disease
102
What is Malassezia hypersensitivity
103
Fill in the hypersensitivity type summary table
104
What is the pathology of bovine TB
mycobacterium bovis
105
What form of hypersensitivity reaction is measured in SICCT (single ID comparative cervical tuberculin test)
Delayed hypersensitivity
106
Why are 2 antigens used in SICCT
To better differentiate between infected animals and animals that have been exposed to other types of mycobacterium that don’t cause TB
107
Why is the gamma-interferon test useful in TB testing
Cattle in the terminal stages of TB can have a depressed immune response that prevents them from reacting to the skin test so the supplementary interferon-gamma blood test can be useful in detecting some of these anergic animals as it is more sensitive than the skin test
108
What is canine atopic dermatitis
109
What is the immune response in atopic dermatitis
1. initial Th2 response 2. followed by Th1 cytokines in later lesions tissue inflammation results in: - skin thickening through hyperplasia - increased numbers of Langerhans cells - reduced cutaneous barrier function - increased bacterial numbers on/in skin
110
What is flea allergic dermatitis
111
Ruling out of other skin conditions with clinical signs resembling, or overlapping with canine AD. Detailed interpretation of the historical and clinical features of patients affected by canine AD. Allergy testing by intradermal versus allergen-specific IgE serum testing.
112
What are the phases of canine atopic dermatitis
1. sensitisation phase - if dogs are genetically predisposed & subject to appropriate allergen exposure, they develop disease 2. provocation phase - once allergic, Langerhans cells are coated with antigen-specific IgE & can induce T-cell proliferation readily - Th2 bias results in cytokine environment that favours production of IgE - T cells produce IL-31 causing itch & other cytokines causing inflammation
113
What would you stain and what would you not stain in dermatology
114
What are the consequences of pruritus
--> self inflicted damage Welfare issues - Distress & discomfort - Effects on appetite & quality of life Economic considerations - Loss of body condition - Damage to hide/fleece
115
Define prutitus
Unpleasant sensation that elicits desire/reflex to scratch, rub, lick or chew Can be acute or chronic (persists >6 weeks)
116
Manifestation of pruritus in dogs
Scratch Rub Nibble Lick – often not perceived as pruritus by owners Temperament changes
117
Manifestation of pruritus in cats
Often secretive & not noticed by owners Overgrooming Hair plucking Vomit hairballs Tufts of hair round house Hair in faeces
118
Manifestation of pruritus in horses
Rub Stamp Biting Scratch Buck/kick Temperament changes
119
What are manifestations of pruritus in other species
Rubbing often primary sign in livestock Feather plucking Birds – feathers on head usually in tact in case of pruritus as they cant reach Scratching/ barbering ‘small furries’
120
What are the classifications of pruritus
Pruriceptive pruritus – due to stimulation of peripheral receptors in skin (in presence of healthy nervous system). Usually due to skin disease - Itch originates in skin Neuropathic pruritus – generated in CNS in response to: - anatomical lesion of PNS/CNS, eg syringomyelia in CKCS - circulating pruritogens (eg cholestasis in man) - pharmacological mediators (eg intraspinal morphine) Psychogenic pruritus recognised in animals/man - Uncommon & must rule out dermatological causes of pruritus before diagnosing! – overly diagnosed
121
What are itch receptors
nociceptors - itch & pain Pruritogens stimulate nerves
122
Describe itch receptors in skin
Skin well-supplied with network of sensory nerves & receptors sensory nerves to: - hair follicles & specialised encapsulated structures - but also terminate as network of free nerve endings * at dermo-epidermal junctions * within epidermis Contain itch-associated receptors - epidermis with free C-neuron receptors as main skin itch receptor
123
What chemical mediators are involved in cutaneous itch
124
Where do chemical mediators of itch originate from
Keratinocytes: - leukotriene B4 (LTB-4) - endogenous cannabinoids - thymic stromal lymphopoietin (TSLP) Mast cells e.g.: - (histamine) - LTB-4 - IL-2 - Nerve growth factor (NGF) Skin leucocytes e.g.: - T cells --> e.g. IL-31 - Eosinophils --> e.g. NGF
125
How do itch mediators act
126
What is the neural pathway for itch
1. Sensory afferent from C-neurones in skin 2. Dorsal nerve root to spinal cord 3. Dorsal horn - synapse with spinal interneurones 4. Cross and ascend in lateral spinothalamic tract 5. Thalamus -> internal capsule 6. Sensory cortex
127
What are the neuronal regulatory mechanisms of pruritus
Multiple factors on/in skin can also suppress/ exacerbate pruritus e.g.: Physical factors - Painful heat/cold --> suppress - Moderate cold --> exacerbate Mechanical factors - Rubbing/scratching (ie pain) --> brief suppression Distraction
128
Describe scratching as a neuronal regulatory mechanism of pruritus
129
Describe distraction as a neuronal regulatory mechanism of pruritus
130
What is summation effect
Effects summate & may take pruritus over pruritic threshold --> clinical pruritus. Threshold: - Varies between animals - May be altered by other factors e.g. stress, heat Identification & elimination of as many factors as possible is important --> return below threshold where able
131
Describe the use of antihistamines in controlling prutitus
Antihistamines in dogs: of much less therapeutic value than in man most likely only of value at the onset of allergic pruritus
132
How is IL31 involved in itch
Produced by activated T cells in allergic skin disease Binds to receptors on surface of neurons in skin --> activation of Janus kinase (JAK) enzymes --> stimulate pruritic nerve impulse to brain Is important focus of therapy for allergic skin disease in dogs
133
What are the therapeutic interventions for pruritus
Reduction of skin inflammation e.g. - corticosteroids - Ciclosporin Blocking of peripheral inflammatory mediators e.g. - lokivetmab blocks IL31 - antihistamines block H1 histamine receptors of C neurons (but also central sedative effect..) Moisturisers – dry skin itches… Topical cooling preparations (eg calamine, menthol) - (act via transient afferent receptor nociceptor channels)
134
What are some important clinical implications of pruritus
Pathogenesis of pruritus involves variety of cells/ mediators/ neurological pathways which vary between species & individuals so: - A single drug is unlikely to be uniformly effective in all cases - Narrowly targeted treatments (e.g. lokivetmab) give less side effects than those with broader action (e.g. corticosteroids) but will be effective in lower % of patients - Treatments that affect target that is only present for short time (e.g. histamine) less likely to be effective than those in which target is present long term (e.g. IL-31)
135
What are some skin responses to damage
136
What is hyperkeratosis
137
What is scaling
Production of abnormal or excessive scale indicated abnormality of keratinisation
138
What is follicular hyperkeratosis
Keratinaceous plugs in hair follicle infundibula = comedo/comedones (man: blackheads) particular feature of, e.g.: Demodicosis endocrinopathies Keratinaceous collar around emerging hair = follicular cast Non-specific finding seen when follicular keratinisation is altered eg endocrinopathies But also particular feature of sebaceous adenitis
139
What is acanthosis
increased depth of epidermis
140
What is Lichenification
Lesion resulting from thickening/hardening of epidermis & characterised by exaggeration of superficial skin markings Non-specific finding of many diseases with chronic inflammation or friction
141
What does an elbow callus involve
142
What are vesicles usually associated with
viruses eg Foot and mouth disease Feline orthopoxvirus (feline cowpox) Orf autoimmune diseases – autoantibodies attack inter-cellular proteins --> separation of keratinocytes
143
What are pustules usually associated with
infection
144
In what conditions in hyperpigmentation seen
Non-specific Post-inflammatory Endocrine skin disorders
145
In what conditions is hypopigmentation seen
146
Define leukoderma
white skin
147
Define leucotrichia
white hair
148
What is crusting
Crusts form when dried exudate, serum, pus, blood, cells, scales or medications adhere to skin surface - variable cellularity, variably coloured - may contain organisms - always secondary Caused by multiple exudative and ulcerative diseases
149
How does erythema happen
Damage --> release of pro-inflammatory mediators (incl. histamine) --> vasodilation of dermal vessels --> erythema Common in infectious and allergic processes… And in some neoplastic processes
150
How does oedema happen
Mediated by histamine & other cytokines --> increased vascular permeability --> leakage of tissue fluid --> urticarial lesions (e.g. wheals) = raised oedematous areas that 'pit' on pressure – painless Classically Type I hypersensitivity but occasional other causes
151
What is dermal thickening associated with
Longer-standing allergic reactions - Late-phase reaction --> cellular infiltrate Chronic inflammatory conditions - Increased collagen/other connective tissue components
152
What are causes of alopecia
failure to grow properly - Endocrinopathies - Hair follicle dysplasias damage to hair follicles/shafts - Trauma - Follicular infections - Follicular parasites - Neoplasia - Immune-mediated/autoimmune disease - Nutritional deficiency
153
What is this?
Papule primary small, solid skin elevation less than 1cm in diameter
154
What is this?
Nodule Primary a solid elevation of the skin, greater than 1cm in diameter - usually extends into the deeper skin layers
155
What is this?
Plaque Primary large flat elevation of the skin, sometimes formed by papules coalescing
156
What is this?
Vesicle Primary a small circumscribed elevation of the epidermis containing clear fluid, less than 1cm
157
What is this?
Bulla Primary the same as the vesicle but more than 1cm diameter
158
What is this?
Postule Primary a small circumscribed elevation of the epidermis containing pus
159
What is this? M
Macule Primary a circumscribed flat area that has changed colour, less than 1cm in diameter
160
What is this? P
Patch Primary circumscribed flat area that has changed colour, bigger than 1cm in diameter
161
What is this?
Scale Secondary an accumulation of loose cornified fragments of the epidermis
162
What is this?
Crust Both a dried exudate on the skin surface, either serum, blood or pus, or a combination
163
What is this?
Hypopigmentation Secondary skin pigmentation decreased beyond what is normal
163
What is this?
Hyperpigmentation Secondary skin pigmentation increased beyond what is normal
164
What is this?
Erosion Both a break in the continuity of the epidermis that does not penetrate the basement membrane
165
What is this?
Ulcer Both a break in the continuity of the epidermis that penetrates the basement membrane
166
What is this?
Tumour Primary a large mass involving skin structures, often referred to in terms of neoplasia
167
What is this?
Cyst Primary a cavity with an epithelial lining
168
What is this?
Wheal Both circumscribed, raised lesion, consisting of dermal oedema
169
What is this?
Erythema Both redness of the skin
170
What is this?
Epidermal collarette Primary a circular lesion with a circular rim of scale and/or a peeling edge
171
What is this?
Follicular cast Primary accumulation of keratinous debris around the hair shaft
172
What is this?
Comedone Secondary a dilated hair follicle devoid of hair and plugged with keratinous debris
173
What is this?
Sinus/fistula Secondary small hole or tunnel in the skin, may fill with fluid/pus
174
What is this?
Exocriation Secondary erosion or ulceration caused by scratching, biting or rubbing
175
What is this?
Lichenification Secondary an accentuation of the skin markings giving an elephant skin line appearance
176
What is this?
Fissure Secondary linear split through the epidermis into the underlying dermis
177
What is staphylococcal super antigen hypersensitivity
178
Define resident pathogen
Can replicate on skin & persist
179
Define opportunistic pathogen
Organisms that would normally be a commensal but in certain conditions can cause disease
180
Define nomad
organisms that can colonise and reproduce on skin for short times
181
Define transient
Cannot replicate so stay for a short time
182
Define pathogens
organisms that become established & can proliferate on skin surface & deeper that are deleterious to normal physiology of skin
183
Describe normal skin flora
Skin & hair not sterile - have resident flora Resident flora can aid in exclusion of pathogens but can also contribute to disease when skin is disrupted Skin flora varies depending on site
184
Define dysbiosis
changes from balanced (normal) to unbalanced flora
185
What are some resident & transient bacteria on canine skin
Resident: - Staphylococci - S. epidermidis Transient: - Staphylococcus pseudintermedius - S. aureus - Proteus mirabilis - Pseudomonas spp.
186
What are some resident & transient bacteria on feline skin
Resident: - staphylococci - S. aureus - S. pseudintermedius Transient: - Proteus mirabilis - Pseudomonas spp.
187
What are some factors impacting on cutaneous environment (infection risk)
188
What would you expect to see and not see on a dog swab
189
What is this
Malassezia
190
What are Staphylococcal bacteria
191
Describe Staphylococcus sp. pathogenicity
192
What are some Staphylococcus species of clinical importance
193
What are Pseudomonas
194
What are biofilms
195
What is Proteus mirabilis
196
What lesions does dermatophilosis cause and how is it diagnosed
197
What do rods suggest
gram negative
198
What does cocci suggest
Possible staphs
199
What is an abscess
200
What is a surface infection + example
201
What is a superficial infection + example
202
What is a deep infection + example
203
Which one is yeast and which is bacteria
204
What are some common genera of ringworm
205
What are yeasts
Eucaryotic Have chitin cell walls Nutrition from excreting enzymes & reabsorbing material Unicellular Grow by budding
206
What are some common yeast infections
207
Describe malassezia sp.
Commensal present in low numbers in external ear canals & superficial muco-cutaneous sites Opportunistic Indication indicated by 100-10000 fold increase in numbers on skin May see staphylococci at same time Contributing factors to opportunistic infection: - hypersensitivity disorders - keratinisation defects - humid weather Levels higher in: - Basset - Dachshund - Cocker spaniels - West highland white terriers
208
What is feline cryptococcosis
209
Describe dermatophytosis (ringworm)
210
Describe ringworm pathology
211
Describe cattle ringworm
212
Describe equine ringworm
213
Describe cats & dogs ringworm
214
Describe pig ringworm
215
Describe the different dermatophytes
216
What are some common targets for antifungals
217
What are some diagnostic techniques used in dermatology
218
What is Wood's Lamp used for and what are the advantages & disadvantages
219
What is a tape lift/strip from skin used for
220
How to perform a trichogram (hair pluck)
221
What is lactophenol cotton blue
Common stain used for visualising hyphal & spore body structures
222
Label the skin histology
223
Label the epidermis
224
label the stratum granulosum
225
Label the dog pawpad
226
What are epitrichial vs atrichial sweat glands
Epitrichial is associated with a hair follicle Atrichial is not
227
Label the hair follicle
228
What condition is this histology of
pemphigus foliaceus
229
What condition is this histology of
cutaneous lymphoma
230
What term best described the epithelium forming the epidermis? A) simple B) stratified C) pseudostratified D) transitional
B
231
In which layer of the epidermis are you most likely to find keratohyalin bodies?
Stratum granulosum
232
What is the arrowed structure in the hair follicle
Dermal papillae
233
What is the brown stain showing us
melanin pigmentation
234
What are the cells in the blue oval
235
What kind of gland is shown
sebaceous
236
What kind of gland is in the pink circle
237
How does avian skin compare to mammal skin
Much thinner & effectively glandless (only uropygial gland, glands of ear canal & pericloacal glands) Contains feather follicles
238
Describe avian dermis
The dermis is divided into: Superficial layer which varies in thickness depending on position & age - Containing loosely arranged layers of collagen in interwoven bundles A deep layer - Containing fat, feather follicles, smooth muscles that control movement of feathers, blood vessels & nerves that supply dermis & epidermis
239
Describe avian subcutaneous layer
Formed mainly by loose connective tissue Contains fat as a layer and discrete fat bodies - These are readily observed as yellow deposits beneath skin - Areas of fat deposition vary from species to species (high in aquatic birds) & time of year (pre-migration deposition) - Common areas of deposition are lateral to pectoral muscles; in cloacal region; & on back
240
What is the skin of avian legs & feet called
Podotheca
241
What is the uropygial gland
Bilobed gland located dorsal to cloaca at end of pygostyle This holocrine gland is NOT present in all species of birds - Present in African Greys & most finches Involved in maintaining feather condition - Serves as a waterproofing function - Secretions contain a pro-vitamin D converted by U-V light to active vitamin D - Oil affects light absorption & feather colouring
242
What happens to keratinocytes in birds
Developing dermal cells (keratinocytes) undergo metamorphosis from cuboidal or squamous nature, lose organelles, produce lipids, fibrous proteins (keratin), dehydrate & lyse
243
What are patagania
Skin may be reflected into flat, membrane-like structures (patagia) in areas where wings, legs, neck & tail join body. These tend to be areas where movement of limbs occurs On wings they are responsible for wing stability & aid aerodynamics
244
What are the 4 wing patagania
245
Describe beak histology
Similar to the skin with modified epidermis Stratium corneum is very thick Contains cell bound calcium phosphate & layered crystals of hydroxyapatite Abundant keratin
246
What is an egg tooth
Recently hatched neonates have small pointed keratin eminence on dorsal surface of upper beak Used to initially penetrate air-space in egg & then break through eggshell. It falls of after a few days Some birds, notable Megapodes (bush turkeys & scrub-fowl), lack egg tooth; chicks kick way out of egg An egg tooth is also present in many reptiles
247
What is a cere
Situated at the base of the upper beak Composed of keratinised skin Nostrils are located here in many species The colour of the cere is influenced by diet and hormones - In (most colours of) budgies male has blue cere due to influence of testosterone; female brown - In raptors, high levels of carotenoids will colour cere more yellow
248
What are the functions of feathers
Flight Insulation Waterproofing Courtship displays Defence Aggressive territorial behaviour
249
What are pterylae vs apteria
pterylae = area that contain feather tracts apteria = areas that dont have feather tracts
250
Label
251
Describe feather growth
1.Feathers arise from feather follicles 2. Follicles are formed by invaginations of skin & closely fit calamus. 3. Analogous with hair & hair follicle in mammals 4. Follicle consists of epidermal and dermal cells 5. At umbilicus of calamus, dermis carries hump of pulp into tip of calamus 6. Follicle lined by epidermal cells (living & cornified) 7. Follicular wall has abundant supply of sensory nerve fibres, papillae, pulp & feather muscles also well innervated 8. Smooth muscles at base of follicles maintain body temperature by increasing/decreasing elevation of feathers from skin 9. Herbst’s corpuscles at base of feather follicles detect subtle ground vibrations & changes in air current
252
Label the feather follicle
253
Describe how biochromes affect feather color
Biochromes - Colour pigments that are deposited at time of feather development, can be: Naturally occurring: - Food derived carotenoids unaltered or modified (reds/yellows) - Intensity of colours often dictated by availability of free carotenoids in diet Synthetically produced: - Melanins (browns, greens and black) - Psittacofulvins – unique colour pigments of parrots
254
Describe how structural properties can affect feather color
Structural features of feather can be inherent in development of feather Or can be induced by materials placed on feathers after development that alter absorption or reflection of light If feather reflects all light it appears white; if it absorbs all wavelengths it appears black Capacity of barbs & barbules to scatter & reflect varying wavelengths of light causes iridescent glow of feathers Blue colours created by barbs reflecting blue light & allowing other wavelengths of light to be absorbed by darker melanin granules Green colours created by pigments or more commonly through combination of blue (from structural characteristics) & yellow pigment
255
What are the 2 basic types of feather color mutations
Genetic ability/inability to absorb, manufacture or deposit colour pigments Change in feather structure (at barbule level) creating different reflective/absorptive light pattern
256
What is moult
The process of moulting Soft keratin structures (e.g. scales, comb, wattle, cere) undergo constant moult & replacement similar way to mammalian skin Feathers moult by growth of NEW feather causing shedding of old one (similar to permanent tooth pushing out tooth from milk dentition)
257
What controls moult
- Complex, influenced by circannual rhythms of changing photoperiod & temp. Glands: Pineal, hypothalamus, pituitary - Hormonal influences identified include: *Oestrogens *Progestergens *Thyroid *Catacholamines *Prolactin Ultimate factors: Nutrition
258
What is the structure of the mammalian ear
External ear - Pinna & external ear canal (external auditory meatus) down to tympanic membrane Middle ear - Tympanic cavity in tympanic bulla - Contains auditory ossicles - Connected to nasopharynx Inner ear - Contained within petrous temporal bone
259
What is the vascular supply to the external ear
Auricular arteries (from internal carotid) Venous drainage to internal maxillary vein
260
What is the innervation of the exterbal ear
Motor nerves to auricular muscles - Auriculopalpebral branch of CN VII facial Sensory - Branch of CN V trigeminal - Cervical segmental C2
261
Describe the integumentary covering of the ear
External ear covered by skin - including lining of ear canal! Epidermis - Thin, stratified squamous keratinising epidermis (including over tympanic membrane) Dermis - Thin, contains adnexal structures - hair follicles * Variable density on concave pinna & down ear canal - Glands * sebaceous more prominent distally *apocrine (ceruminous) more prominent proximally
262
Label
263
What is this
external ear sebaceous gland
264
What is this
external ear apocrine gland
265
What is cerumen
Secretions in ear canal (ear wax) Exfoliated cells Sebaceous secretions - high lipid content - various classes of lipids Ceruminous gland secretions - more aqueous nature Immunoglobulins IgA, IgG, IgM - predominantly IgG Provide protective and antimicrobial layer
266
Describe how debris is removed using cerumen
267
Label
268
Label the tympanic membrane
269
Describe the middle ear
Tympanic cavity - Air-filled - inside bony bulla 3 compartments - Epitympanum *dorsal, smallest *contains auditory ossicles malleus &incus - Mesotympanum *Tympanic membrane laterally, bony promontory medially *3rd ossicle stapes attached to oval window *round window & opening to auditory tube - Hypotympanum or fundus
270
Label the ear
271
Label the auditory ossicles
272
Label the tympanic bulla
273
What are the nerves in the tympanic bulla
Facial nerve CN VII - in facial canal in petrous temporal bone, exposed in dorsal cavity, then exits stylomastoid foramen Branches of facial CN VII and vagus CN X - form tympanic nerve - traverses cavity --> lingual n. + pre-ganglionic parasympathetic fibres to salivary glands Post-ganglionic fibres of cervical sympathetic trunk - dorsomedial wall of tympanic cavity - in cat runs in dividing septum - join CN IV to eye
274
Describe the inner ear
Cochlea, vestibule, semicircular canals Encased in bony labyrinth of petrous temporal bone Responsible for functions of: Hearing Balance Position & rotation of head in relation to gravitational forces
275
Describe cytology of external ear
Extremely valuable diagnostic tool Samples taken with cotton bud Rolled onto slide +/- heat fixed Stained with DiffQuik or RapiStain Examine under x400-1000 magnification
276
Label the external ear cytology
277
What methods can be used to examine the ear
278
What nerves supply the inner ear
Facial (VII) & vagus (X)
279
Which nerves run in the vicinity of the inner & middle ear
Vestibulocochlear (VIII) & facial)
280
List the nerves which might be damaged by disease of the middle ear & what signs you would expect to see
281
What is this
stylomastoid foramen
282
What is this
Internal acoustic meatus
283
Describe the path of the facial nerve
Enters petrous temporal bone through internal acoustic meatus Runs inside facial canal Emerges through stylomastoid foramen
284
Define otitis
inflammation of the ear
285
Fill in the table with factors that contribute to otitis externa
286
What are the limitations of using bacterial culture
only 1% of microorganisms culturable
287
What are the limitations of using PCR
limited to panel of selected microbes
288
Much less diversity in affected dogs
289
Define keratinisation
process of differentiation of living epidermal cells characterised by high cellular metabolic activity
290
Define cornification
programmed death of living epidermal cells at end of their differentiation Dead epidermal cells become horn cells
291
Define horn
Final product of keratinisation & cornification build up by dead cells & intercellular material
292
Label the hoof
293
Label the hoof
294
What are the layers of the corium/dermis
1. coronary papillae 2. dermal papillae 3. solar papillae
295
What is this
296
What blood vessels run within the vascular channels in pedal bone
medullary arteries
297
Describe blood supply to equine foot
3 zones for blood supply 1. proximal dorsal via branches from digital arteries proximal to coronary band - supply coronary band 2. digital dorsal via palmar digital arteries - paired medial & lateral - unite in P3 as terminal arch - arterioles pierce P3 to get to dorsal & lateral aspects - creates circumflex artery at peripheral tip of P3 (can be compressed in laminitis) - supply distal dorsal lamellar corium 3. palmar supply via branches from palmar digital aa to heel bulbs
298
Why is second blood supply to heel relevant
ensures tissues have backup source of blood in case primary supply is compromised - crucial for preventing tissue damage & promoting healing
299
Why are the arterio-venous anastomoses in hoof important in laminitis
can potentially divert blood away from corium, exacerbating ischemia & tissue damage Impaired blood flow & oxygen supply to corium contribute to pain & progression of laminitis
300
Define ischemia
a condition in which blood flow (and thus oxygen) is restricted or reduced in a part of the body
301
There are many venous plexus within corium of coronet, lamellae, sole, frog & unugual arteries. Valves are absent here - why could this be a problem?
insufficient blood circulation venous stasis susceptibility to infections
302
What are the modifications of the hoof/horn
303
Label the hoof
304
Compare epidermal lamellae to dermal lamellae
305
What are the parts & role of dermis & epidermis in hoof
306
Label the segments of the claw
307
Label the dermal-epidermal junction
308
What is secondary lamellae & why do equidae need this extra support
Special to equidae Increases area of basement membrane Increases strength of dermal-epidermal bond ensures structural integrity, distributes weight, absorbs shock, stabilised coffin joint, facilitates blood flow & protects against potential injuries & infections
309
Label the hoof diagram
310
What is the stratum internum
311
What are matrix metalloproteinases
enzymes that play vital role in breakdown & remodelling of ECM in tisues
312
How are desmosomes, hemidesmosomes & matrix metllaproteinases linked with basement membrane
contribute to structural integrity & function of basement membrane
313
Describe hemidesmosomes in laminitis
break down because basement membrane degrades
314
What are TIMPs & how do they affect MMPs
Natural inhibitors that help control excessive degradation of extracellular matrix by MMPs
315
Describe ferret skin
Fur = soft, short undercoat + long coarse guard hairs Skin thick with numerous sebaceous glands = classic musky smell No skin sweat glands, thick coat – prone to overheating Double coat helps with rain resistance Seasonal moults = coat thins & lightens in spring
316
Describe rabbit skin
Fur = Long & short guard hairs, undercoat Seasonal moult = Spring & Autumn Feet covered in thick fur Large ears = thermoregulation Scent glands = submental, anal & inguinal Mature females have a dewlap - Pouch of fat
317
Describe guinea pig skin
Coat variations - E.g. “self” guinea pig – smooth coat, all one colour Thick foot pads = prone to urine scald/bumblefoot Hairless area behind ears = normal Sebaceous gland = 1cm dorsal to anus - Often matted & sticky in entire males Prone to pododermatitis
318
Describe chinchilla skin
Very dense, soft coat (up to 60 hairs per follicle) Need regular dust baths to maintain coat (IMPORTANT) - Without fur starts to fall out ‘Fur-slip’ = defence when handled roughly (CARE) - Painful Ears = Large and bald
319
Describe hamster skin
Skin very loose & stretches (CARE - traumatic exophthalmos if scuffing) Large flank +/- ventral scent glands - Infections & tumours common Glands more prominent in mature males
320
Describe rat skin
Zymbal’s Gland at base of ear Tail = large hairless surface area - Important for thermoregulation CARE ‘Tail-slip’ Extensive mammary tissue - Mammary tumours common - Tumours can be anywhere on abdomen, flanks or neck Only females have visible nipples
321
Describe sugar gliders skin
Marsupial so females have pouch with 4 teats Cloaca = single external orifice similar to birds & reptiles Patagium stretching between front & hind legs - Allows them to glide Scent glands = forehead (males), throat & paracloacal Males have pendulous scrotum ventral abdomen CARE ‘tail-slip’!
322
Describe hedgehog skin
Spines = modified hairs Hair & sebaceous glands absent in spiny skin Many sweat & sebaceous glands in haired skin & feet Get lots of tumours at young age
323
Describe reptile skin & its functions
Reptiles have dry skin with few glands Glandular tissue is confined to femoral & pre-cloacal pores in lot of lizards Reptile skin has numerous functions: - Display *Attract opposite sex, territorial, scare predators - Protection - Camouflage - Thermoregulation - Fluid homeostasis
324
What are the layers of reptile epidermis
Stratum germinatum = divides, produces keratin Intermediate layer = contains lipid Stratum corneum = forms scales & scutes
325
What are the 2 forms of reptile keratin
Alpha-keratin (α-keratin): - Flexible, delicate - Found between scales & scutes & in hinges (opening abdominal cavity during egg laying) - Often sites of infections & mites Beta-keratin (β-keratin): - Unique to reptiles - Hard - Form scutes, horns and scales
326
describe reptile dermis
Contains pigment cells, nerves & vessels (painful if damaged) Dermis contains bony plates (osteoderms – bony deposits that form scales/plates) in some species e.g. crocodile, tortoise, skink Chelonian shell formed from 60 osteoderms fused with ribs & parts of spine & covered by epidermal scutes or leathery skin
327
Describe reptile skin color (cell, influences, use, pigment)
Chromatophores - pigment containing cells - Lie between dermis & epidermis Influenced by autonomic nervous system, hormones, light & temperature Used in camouflage, display & thermoregulation Pigment: - Melanin – black, brown, grey - Carotenoid – yellow, orange, red - Guanine – reflects light - Blue reflected back most, combined with yellow of carotenoid = green
328
Label the snake scales
329
Describe amphibian skin
Integument is a very important organ Functions as protection, sensory organ & has thermoregulatory & fluid balance functions Skin is very permeable - Important for hydration - Can release toxins - Can medicate via water
330
Describe amphibian epidermis
Epidermis is considerably thinner compared to reptiles & mammals & is easily damaged Stratum corneum may only be 1 cell layer thick or may even be absent Many amphibians shed & eat skin on regular basis
331
Describe amphibian epidermis
Dermis consists of outer stratum spongiosum & inner stratum compactum Contains nerves, vessels, smooth muscle, chromatophores & specialised glands In salamanders stratum compactum is tightly adhered to underlying connective tissue In anurans (frogs & toads) stratum compactum is loosely adhered to underlying connective tissue = useful site for injection of fluids & medications
332
What are some amphibian skin adaptations
Many anurans have marked increased vascularity over area on ventral pelvis known as ‘drinking patch’ or ‘pelvic patch’ to enable water absorption (most amphibians don't drink) Glands in epidermis may produce mucous or waxy substances which may enhance cutaneous respiration & reduce evaporative water loss respectively Glands may also produce toxins & other chemicals which serve to protect against predators & infection
333
Describe amphibian toxin production
Poison arrow frogs possess potent toxins Toxins metabolised from their wild prey so captive bred & long-term captives contain little, if any, toxin Fire salamanders can spray toxin from dorsal glands
334
What are the implications of amphibian skin permeability
May be utilised to administer topical medications Soaking in shallow water aids rehydration via pelvic patch Even trace amounts of environmental toxins & pollutants can cause illness and/or death
335
Describe fish epidermis
Fish epidermal cells at all levels capable of cell division. During wound healing cells migrate to cover any defect & help restore waterproof integrity Accumulations of localised cornified cells occur during breeding season (breeding tubercles) in males Mucus-producing goblet cells Some species have club cells which secrete alarm substances Cuticle consists of mucus & contains antibodies & lysozymes
336
Describe fish dermis
Scales are embedded in dermis & covered by layer of epidermis; so loss of scales damage skin leading to osmotic balance problems Specialised derivatives of scales include spines, stings, bony plates & lateral line system Fins are modified structures of skin that aid locomotion & balance in water (and on land)
337
Label the fish skin diagram
338
What are some rabbit breed problems
Rex = short guard hairs, hock sores & pododermatitis Angora = longer undercoat, coat matting Giant breeds = skin fold dermatitis, pododermatitis - Overweight rabbits too! Lops = deformed ear canal, ear infections
339
What are some reptile skin adaptations
Parietal eye: "3rd eye" in many lizards connected to pineal gland (brain). responds to light Spectacles: clear scaled over eyes of some snakes & geckos - e.g. grass snake Heat-sensory pits: in boas, pythons & vipers. detects warm prey Crests, frills, horns, gular pouches & spines: display & defence Cloacal spurs: retained pelvic vestiges used in courtship. more pronounced in males Rattle: loosely fitting keratin used to warn predators Adhesive toe pads: in some geckos. enables them to grip surfaces including glass. composed of rows of overlapping scales called lamellae. each lamellae is covered by tiny branching hairs
340
What is ecdysis
Ecdysis = shedding of skin (under influence of thyroid gland) Snakes and geckos tend to shed whole skin Geckos eat skin after its shed, snakes dont Other lizards shed piece by piece slowly Terrestrial tortoises shed legs, tail & neck skin only Aquatic chelonia also shed individual scutes
341
What are the stages of ecdysis
1. Cells of stratum intermediate layer replicate to form new (3-layer) epidermis 2. Lymph & enzymes diffuse between old & new epidermis to form cleavage zone 3. Old skin is then shed 4. New skin hardens
342
Describe husbandry requirements during ecdysis
During ecdysis skin becomes more permeable & vulnerable to parasites & infection Absorption of topical medications may also be enhanced potentially causing toxicity In snakes & some geckos stage 2 easily identified clinically as blue-white discolouration of spectacle Snakes may become more skittish & aggressive at this time During ecdysis reptiles seek out areas of increased humidity to facilitate proper shedding Snakes especially may require rough object to rub up against in order to initiate final shedding Failure to provide adequate humidity &/or rough surface to rub against is common cause of dysecdysis in captive reptiles
343
Describe the chelonian shell
Shell consists of dome shaped carapace dorsally & flattened plastron ventrally Osteoderms are fused with ribs & parts of spine & covered by epidermal scutes Osteoderms & scutes don't overlap exactly which gives shell additional strength Scutes grow by addition of new keratin layers to base of each scute
344
label the diagram. Is it carapace or plastron
345
label the diagram. Is it carapace or plastron
346
What is pyramiding
Carapace pyramiding common abnormality in tortoises Multi-factorial disease that results from inadequate diet & husbandry - Calcium deficiency, XS calories & protein
347
Describe epitrichial sweat glands
348
Describe atrichial sweat glands