Week 5 Flashcards

(160 cards)

1
Q

Name a common glucocorticoid & mineralocorticoid (steroids)

A

Glucocorticoids:
- Cortisol

Mineralocorticoids:
- Aldosterone

How well did you know this?
1
Not at all
2
3
4
5
Perfectly
2
Q

What are some therapeutic effects of glucocorticoids (corticosteroids)

A

Anti-inflammatory

Anti-allergy

Immunosuppression

Replacement

Shock (massive one-off doses)

CNS swelling

Metabolic – (Ketosis)

Reproductive

Anti-neoplastic

How well did you know this?
1
Not at all
2
3
4
5
Perfectly
3
Q

What is the half life of cortisol

A

60 minutes

How well did you know this?
1
Not at all
2
3
4
5
Perfectly
4
Q

What are the adverse effects of glucocorticoids

A

Short term effects:
- PU/PD, hunger, liver enzyme induction

Risk of too much anti-inflammatory action or immunosuppression
- infections, sepsis etc
- failed wound healing/breakdown
- GI haemorrhage

Risk of too much multi-system metabolic cortisol effect
- Iatrogenic hyperadrenocorticism (“Cushingoid”)
- diabetes mellitus

Risk of too much negative feedback on HPA axis
- when GC withdrawn, temporarily can’t make ACTH so can’t cope with stress

How well did you know this?
1
Not at all
2
3
4
5
Perfectly
5
Q

Describe corticosteroid withdrawal syndrome

A

Depression

Anorexia

Vomiting

Vague illness

Abdominal discomfort

Similar to primary hypoadrenocorticism but normal Na/K

But in a stressful situation:
- Collapse, vascular collapse, GI haemorrhage & shock

How well did you know this?
1
Not at all
2
3
4
5
Perfectly
6
Q

How can you minimise the risk of corticosteroid withdrawal syndrome

A

Minimum doses for clinical effect

Least potent steroid for needs

Short acting so can control

Intermittent dosing (alternate day) so HPA keeps working

Tapered therapy
- withdraw/reduce slowly over time

How well did you know this?
1
Not at all
2
3
4
5
Perfectly
7
Q

How can we tell if signs of HAC are due to exogenous steroid?

A

There are 3 main causes for clinical signs of hyperadrenocorticism (HAC):
- Pituitary dependent hyperadrenocorticism (PDH)
- Adrenal dependent hyperadrenocorticism (ADH)
- Iatrogenic hyperadrenocorticism (exogenous steroids)
* Too much steroid

The tests for HAC include:
- ACTH stimulation
- Dexamethasone suppression
- Urinary corticoids

Only ACTH stimulation is useful for detecting Iatrogenic hyperadrenocorticism

How well did you know this?
1
Not at all
2
3
4
5
Perfectly
8
Q

Label the adrenal gland

A
How well did you know this?
1
Not at all
2
3
4
5
Perfectly
9
Q

Describe the adrenal medulla

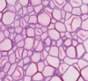
A

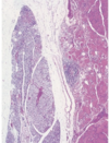
Only 10 to 20% of gland

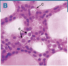
Neuroendocrine tissue

Embryology: autonomic nervous system

Sympathetic ganglion cells

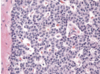
Secretes catecholamines
- Epinephrine (adrenaline)
- Norepinephrine (noradrenaline)

Axons extend into cortex (activation)

How well did you know this?
1
Not at all
2
3
4
5
Perfectly
10
Q

Describe the synthesis of epinephrine & norepinephrine

A
  1. Begins with the amino acid tyrosine
  2. Converted to dihydroxyphenylalanine
    - Catalyzed by tyrosine hydroxylase
  3. Dopamine
  4. Norepinephrine
  5. Epinephrine
How well did you know this?
1
Not at all
2
3
4
5
Perfectly
11
Q

Describe the secretion of epinephrine & norepinephrine

A

All epinephrine in blood comes from adrenal medulla

Norepinephrine comes from two sources:
- Adrenal medulla
- Postganglionic sympathetic neurons

Adrenal medulla is not essential for life

Adrenal secretion:
- 80% epinephrine
- 20% norepinephrine

How well did you know this?
1
Not at all
2
3
4
5
Perfectly
12
Q

How is the adrenal medulla involved in maintaining vascular tone

A

Large amount of catecholamines secreted (epinephrine & norepinephrine)

Sufficient to almost maintain BP if nervous system lost

Dominant mechanism for maintaining vascular tone

How well did you know this?
1
Not at all
2
3
4
5
Perfectly
13
Q

Describe the kinetics of catecholamines

A

Catecholamines are stored in secretory vesicles

Released via exocytosis

Circulate freely in the blood

Metabolized by liver and kidneys

Very short plasma half-life: 1 to 3 minutes

Urinary excretion of unmetabolized epinephrine & norepinephrine

Water soluble

How well did you know this?
1
Not at all
2
3
4
5
Perfectly
14
Q

when are neurones classified as adrenergic vs cholinergic

A

Neurones are adrenergic if they secrete norepinephrine
- Postganglionic sympathetic neurons are adrenergic

Neurones are cholinergic if secrete acetylcholine
- Neurones with cell bodies in CNS are generally cholinergic

How well did you know this?
1
Not at all
2
3
4
5
Perfectly
15
Q

What are the effects of catecholamine binding to different adrenergic receptor types?

A
How well did you know this?
1
Not at all
2
3
4
5
Perfectly
16
Q

What are some clinical consequences of SNS activation

A

Dilation of the pupil

Reduced secretions (e.g. nasal, lacrimal)

Sweating

Metabolic

General vasoconstriction

Tachycardia

Increased cardiac output (HR and contractility)

Bronchodilation

Decreased gastrointestinal motility

Change in mental state
- Stimulation of the reticular formation in the brain stem
- Increases alertness

How well did you know this?
1
Not at all
2
3
4
5
Perfectly
17
Q

What is the effect of SNS activation

A

Sympathetic fight-or-flight response

Tissue response varies according to:
- Type and density of receptors
- Relative concentrations of epinephrine & norepinephrine locally

How well did you know this?
1
Not at all
2
3
4
5
Perfectly
18
Q

What are the metabolic effects of catecholamines

A

Mechanisms for increasing amount of readily available energy substrate
- Mobilise glucose
- Mobilise fatty acids

Thus brain functions optimally & muscles can carry animal away from danger

How well did you know this?
1
Not at all
2
3
4
5
Perfectly
19
Q

Compare norepinephrine to epinephrine

A

Norepinephrine has a more profound effect on blood vessels
- Increases total peripheral resistance
- Raises blood pressure

Epinephrine has more profound effect on the heart
- Increases heart rate and contractility
- Raises cardiac output

How well did you know this?
1
Not at all
2
3
4
5
Perfectly
20
Q

What is the embryological origin of the adrenal gland

A

medulla: neuroectoderm
cortex: mesoderm

How well did you know this?
1
Not at all
2
3
4
5
Perfectly
21
Q

Identify regions A-D of the adrenal gland & list the hormones produced by these regions

A
How well did you know this?
1
Not at all
2
3
4
5
Perfectly
22
Q

What is a functional tumour

A

a tumour that has the ability to produce hormones

How well did you know this?
1
Not at all
2
3
4
5
Perfectly
23
Q

Label A-F

A
How well did you know this?
1
Not at all
2
3
4
5
Perfectly
24
Q

Which numbered spots represent position of adrenal glands

A

3 & 4

How well did you know this?
1
Not at all
2
3
4
5
Perfectly
25
which anatomical structures might be invaded by adrenal tumours
kidneys vena cava aorta renal vessels
26
27
What happens at a2 receptors
inhibition of catecholamine release
28
What are phaeochromocytomas & its symptoms
tumours in adrenal medulla which secrete excessive catecholamines cause: tachycardia hypertension panting diarrhoea PU/PD weight loss restlessness high blood glucose (insulin resistance)
29
Describe thyroid embryology
Downgrowth from pharyngeal endoderm of developing tongue
30
Describe the anatomy of the thyroid gland
Gland consists of thyroid follicles Follicles vary in size Single layer of epithelial cells: Follicular cells Lumen filled with protein-rich colloid Microvilli on surface next to colloid
31
Describe thyroid follicles
Microvilli increase surface area Dense capillary network Deliver nutrients and transport hormones
32
Describe parafollicular cells (in thyroid)
In connective tissue near follicles (parafollicular) Secrete calcitonin (calcium regulation) Hormone that lowers blood calcium levels
33
Describe thyroid hormones
Follicular cells produce two hormones: - Triiodothyronine (T3) - 10% - Thyroxine (T4) - 90% Thyroid hormones are amino acid derivatives (from tyrosine)
34
Describe iodine uptake by thyroid gland
Circulating in the blood as iodide (I–) Into follicular cells by secondary active transport Na+/ I– symport in the basal membrane - stimulated by TSH Concentrates iodine within colloid at level 30x higher than blood “Iodide trapping” Excess iodide excreted via kidneys
35
Describe synthesis of thyroglobulin in thyroid gland
Follicular cells synthesize thyroglobulin Processed in Golgi apparatus Exocytosis to follicular lumen Glycoprotein stored within follicles (colloid) Each thyroglobulin contains 120 tyrosine molecules
36
Describe iodination in thyroid gland
Catalyzed by thyroperoxidase (TPO) Located in apical membrane Iodide (I−) oxidized to iodine (I2) as hydrogen peroxide (H2O2) is reduced I2 is added to tyrosine within thyroglobulin catalyzed by an iodinase enzyme Iodination occurs as thyroglobulin is secreted into follicle
37
Describe thyroid gland colloid
Colloid is stored within the follicles Primarily thyroglobulin Triiodothyronine (T3) & thyroxine (T4) are bound to thyroglobulin Colloid contains enough thyroid hormone to last for 2 to 3 months
38
Describe the secretion of thyroid hormones
Colloid uptake into follicular cells via endocytosis Intracellular vesicles fuse with lysosomes Lysosomal enzymes split thyroid hormones from thyroglobulin Hormones diffuse across basal plasma membrane into interstitium (lipid-soluble) Then from the interstitium into the blood
39
Describe thyroid hormone in blood
lipid-soluble so more than 99% bound to thyroid-binding globulin (TBG) - less than 1% free hormone 50x higher blood levels of T4 then T3
40
Describe metabolism of thyroid hormones
Most Thyroxine (T4) deiodinated to triiodothyronine (T£) - Within cells of many tissues - Liver and kidneys play major role Remaining T4 deiodinated to reverse T3 (rT3) (inactive)
41
What is the importance of thyroid hormones
Thyroid hormones increase BMR & maintain body temperature How do animals adapt to starvation or illness? - Lower BMR and conserve energy - Achieved by reducing thyroid hormone concentration or action * Lower TSH from pituitary gland * Alter deiodination: more rT3
42
what are the actions of thyroid hormone in cells
Majority of action via T3 Bind to DNA - Increase or decrease transcription
43
How are thyroid hormones regulated
1. Hypothalamus releases thyrotropin-releasing hormone (TRH) 2. Stimulates adenohypophysis (anterior pituitary gland) 3. Secretes thyroid-stimulating hormone (TSH); also called thyrotropin 4. Water-soluble hormone in blood 5. Acts on thyroid gland
44
What are the 5 actions of TSH (thyroid-stimulating hormone)
Increased endocytosis & proteolysis of thyroglobulin from colloid Increased activity of the Na+/ I– symport Increased iodination of tyrosine Increased size & secretory activity of thyroid follicular cells Increased number of follicular cells
45
Define euthyroid, hyperthyroidism and hypothyroidism
46
Describe primary hypothyroidism
Lack of functional thyroid tissue Most common form >95% Acquired - most common: - Lymphocytic thyroiditis ~50% - Idiopathic follicular atrophy - Secondary to neoplasia (least likely) Iatrogenic: - Surgery, radioactive iodine therapy, anti-thyroid medications Congenital – rare: - early death - Thyroid gland agenesis or dysgenesis - Thyroid peroxidase deficiency - Deficient dietary iodine, ingestion of goitrogens
47
describe secondary hypothyroidism
Impaired secretion of TSH from the pituitary Uncommon Acquired: - Neoplasia - Pituitary suppression, e.g. glucocorticoid administration - Illness, malnutrition Congenital – rare: - Cystic Rathke’s pouch - Accompanied by other pituitary hormone deficiencies, e.g. ADH
48
Describe tertiary hypothyroidism
Lack of TRH in hypothalamic supraoptic & paraventricular nuclei Rarely documented in the dog
49
What dog breeds are predisposed to hypothyroidism
Doberman Pinschers, Golden Retrievers, Cocker spaniels, Irish setters, terriers
50
what are the clinical signs of hypothyroidism
Vague, diffuse, gradual onset Most common: Dermatology and metabolic signs General appearance - Dullness - Lethargy - Exercise intolerance - Obesity without history of polyphagia - Cold intolerance (“heat seekers”) - Skin changes
51
How does hypothyroidism effect development
Reduced development & maturation of brain cells (permanent) in fetus & young Cretinism
52
How does hypothyroidism effect growth
Growth retardation Smaller Shorter bones Delayed closure of physes
53
Compare normal carbohydrate metabolism to carbohydrate metabolism in hypothyroidism
Thyroid hormone stimulates glucose metabolism (energy burning) - Increases glucose uptake - Insulin sensitivity - Insulin secretion - Glycolysis - Gluconeogenesis Hypothyroidism slows carbohydrate metabolism ---> weight gain
54
How does hypothyroidism & hyperthyroidism effect musculoskeletal system
Hypothyroidism – reduced muscle tone & changes in fiber type Hyperthyroidism – protein depletion; amino acids used for gluconeogenesisis Muscle tremors with hyperthyroidism
55
Compare normal cardiovascular system to cardiovascular system in hypo & hyperthyroidism
Normal physiological effects of T3 and T4: - Increase blood flow and cardiac output - Increase heart rate - Increase contractility Extremes: - Hypothyroidism: Bradycardia, weak apex beat - Hyperthyroidism: Tachycardia
56
Compare normal nervous system to nervous system in hypothyroidism
Thyroid hormones needed for - Normal development - Enhances sympathetic nervous system (increase in epinephrine receptors) - Optimal nerve conduction Hypothyroidism: neurological abnormalities: - Peripheral neuropathy (2%) * Knuckling and paresis * Hearing impairment * Slower reflexes - Myopathy * Paresis * Slow gait
57
How do hypothyroidism & hyperthyroidism effect CNS
Hypothyroidism - Mentally slower (humans) - Lethargic and require more sleep Hyperthyroidism - Hyperexcitable - Tired due to increased nervous & muscular activity, but difficulty sleeping
58
How does hypothyroidism effect reproductive system
Thyroid hormones required for reproductive function Hypothyroidism: Female - Infertility - shortened oestrus - prolonged oestrual bleeding - prolonged anoestrus Male - Infertility - testicular atrophy - reduced sperm production
59
Compare normal fat metabolism to fat metabolism in hypothyroidism
Thyroid hormone enhances fat metabolism (energy burning) Mobilizes lipids from adipose stores Accelerates oxidation of lipids to produce energy - Occurs within mitochondria (beta oxidation) - Increase in size & no. of mitochondria Hypothyroidism slows fat metabolism ---> weight gain
60
Compare normal basal metabolic rate to BMR in hypothyroidism & hyperthyroidism
Thyroid hormones increase BMR in all tissues, except brain, gonads & spleen Increases heat production Increases oxygen consumption Hypothyroidism – lower BMR to 50% of normal level ---> Weight gain Hyperthyroidism – raise BMR to twice normal level ---> Weight loss
61
How do hypothyroidism & hyperthyroidism effect GI system
Thyroid hormone increases appetite & feed intake Increases secretion of pancreatic enzymes Increases motility Hypothyroidism: Constipation Hyperthyroidism in cats: Diarrhoea
62
How does hypothyroidism effect integument
Thyroid hormone initiates & maintains anagen (growth) phase Hypothyroidism: - Arrests hair growth, hair is retained in telogen (resting) phase - Alopecia or failure to regrow hair after clipping
63
Describe the skin changes in canine hypothyroidism
>85% of dogs Bilateral symmetrical alopecia - Areas of wear/pressure points - Non-pruritic (unless pyoderma) Seborrhea, lichenification (thickened), comedones Hyperpigmentation on alopecic areas Recurrent infections - Otitis externa - Pyoderma
64
Describe myxedema in canine hypothyroidism
Excess mucopolysaccharides + hyaluronic acid in dermis “Tragic facial expression”
65
Describe the clinical pathology of canine hypothyroidism
Complete blood count - Normocytic, normochromic anemia (< 50%) - Leukocytosis if there is infection Biochemistry profile - Increased parameters of lipid metabolism * cholesterol (75%), lipids, triglycerides - Mild–moderately increased hepatic enzymes
66
Describe total T4 as a test for hypothyroidism
Normal T4 = 15-50nmol/L Measures protein-bound + free T4 75 – 85% accuracy in diagnosing hypothyroidism Good screening test - Sensitive Hypothyroid dogs - Low (>95%) or low-normal total T4 - tT4 <6 nmol/l - very likely - tT4 >20 nmol/l - very unlikely Normal total T4 can exclude hypothyroidism - Positive result not enough to confirm hypothyroidism
67
Why is total T4 not good for diagnosing hypothyroidism
Poor specificity Other reasons for a low tT4 result: - Daily fluctuations within individuals - Non-thyroidal illness/ euthyroid sick syndrome - Drugs – glucocorticoids, antibiotics
68
What is Euthyroid sick syndrome/non-thyroidal illness
Non-thyroidal illnesses suppress T4 & T3, but patient is not truly hypothyroid Mechanisms: - ↓ protein binding of T4 + T3 - ↓ T4 to T3 conversion - ↓ TSH release Euthyroid sick: Low tT4 with low-normal TSH Hypothyroidism: Low tT4 with high TSH
69
describe free T4 as a test for hypothyroidism
Only free/unbound T4 which enters cell is measured Concentration fT4 reflects thyroid status at tissue level Less affected by external factors 90% accurate in diagnosing hypothyroidism
70
Describe baseline TSH as a test for hypothyroidism
Dogs with primary hypothyroidism have low T4 & high TSH levels 90% specificity - If interpreted with total T4 or free T4 results Lower sensitivity - 20-40% hypothyroid dogs have TSH levels within reference range
71
What are the 4 steps to diagnosing hypothyroidism
72
What is hyperthyroidism
Excessive production of thyroxine (T4) Adenomatous hyperplasia of thyroid gland(s) Majority of cats have bilateral disease Very small no. have thyroid carcinoma
73
What is the signalment of hyperthyroidism
Older cats (> 10 years) No gender difference Rarer in himalyans/siamese
74
What are the clinical signs of hyperthyroidism
owner may think its due to ageing
75
What behavioural changes are often seen in cats with hyperthyroidism
Hyperactivity Vocalisaton Agitation and restlessness Obsessive grooming - Thermoregulation - Interaction with CNS (increased sympathetic drive)
76
What cardiac abnormalities can be seen in cats with hyperthyroidism
Hypertrophic cardiomyopathy - Direct effect of thyroid hormones on myocytes - Indirect effect of adrenergic nervous system - Indirect compensatory changes for altered peripheral perfusion Tachycardia > 240 bpm Systolic murmur Dysrhythmias - Atrial premature contractions (APCs) - Ventricular premature contractions (VPCs)
77
What are routine laboratory results of cats with hyperthyroidism
Alkaline phosphatase ALT – some liver compromise due to metabolic effects Sometimes mild increases in Calcium & Phosphate Markers of concurrent illness in aged cat - Kidney markers (urea, creatinine, phosphate) - May get worse after hyperthyroid treatment
78
What are the steps in diagnosing hyperthyroidism
1. In most cats, single serum total T4 is diagnostic for hyperthyroidism 2. Repeat T4 3. Maybe a free T4 by equilibrium dialysis 4. T3 suppression test 5. TRH response test 6. Scintigraphy
79
what are the limitations of using total T4 to diagnose hyperthyroidism
Daily/hourly fluctuations May be normal in early or mild hyperthyroidism Depressed by non-thyroidal illness - Addition of free T4 may be helpful - FT4 less affected by non-thyroidal illness
80
Describe the T3 suppression test in diagnosing hyperthyroidism
In normal cats, administration of exogenous T3 causes decrease in TSH & T4 Minimal decrease in T4 with hyperthyroid cats Used to rule out hyperthyroidism
81
Describe thyroid scintigraphy in diagnosing hyperthyroidism
Radioactive marker identifies functional thyroid tissue IV administration of 123Iodine isotope Specific counts via gamma camera to determine thyroid/salivary gland ratio You need special facilities Confirms diagnosis of hyperthyroidism Localises tissue (unilateral, bilateral) Determines benign versus malignant disease Identifies ectopic tissue Identifies metastatic disease
82
What are the treatment options for hyperthyroidism
Medical – inhibitors of thyroid hormone synthesis - For rest of cat’s life Surgical – remove the enlarged thyroid gland(s) - Care to not damage/remove all parathyroids – hypocalcaemia Radiotherapy - Single dose of radioactive iodine131 - Concentrated in thyroid gland & destroys tissue very locally Dietary control - Feed exclusively diet deficient in iodine & selenium
83
What is a major disadvantage of using radioimmunoassays (RIA) to assess hormone concentrations
substances used are radioactive which comes with high costs and safety implications of disposing & handling
84
What does ELISA stand for
enzyme-linked immunosorbent assay
85
Give examples of drugs that interfere with thyroid testing & explain how it affects assay result
86
What is calcium important for
Bone Milk Muscle contraction Nerve conduction Blood clotting Enzymes Second messengers
87
Describe calcium storage
Majority (99%) of calcium is stored within bone as extracellular matrix 1% of body calcium in soluble form in extracellular fluids & cells
88
Describe composition of calcium in blood
40% bound to plasma proteins 10% in complexes (citrate, phosphate) 50% in an ionized (active) form
89
How are blood calcium levels maintained
Two lines of defense against fluctuations First line: Buffering - Exchangeable calcium in bone salts - Exchangeable calcium in mitochondria Second line: Hormonal control
90
Neme the hormones that control calcium level and where they originate from
Parathyroid hormone (PTH) - External & internal parathyroid glands - Principal cells (chief cells) Calcitonin - Parafollicular cells (C-cells) of thyroid Active vitamin D3 (calcitriol) - Activated in the kidney
91
Describe the hormones involved in fixing hypocalcaemia and hypercalcaemia
If hypocalcemic and need more calcium: - Increase parathyroid hormone (PTH) - Produce more activated vitamin D3 If hypercalcemic and need less calcium: - Decrease parathyroid hormone (PTH) - Severe hypercalcemia: Calcitonin
92
Describe parathyroid hormone
Secreted by principal (chief cells) of parathyroid glands which lie posterior to thyroid glands Stimulated by hypocalcemia (to raise blood calcium level)
93
Describe the synthesis of parathyroid hormone (PTH)
1. Preprohormone of 110 amino acids 2. Then into a prohormone of 90 amino acids 3. Finally into secretory vesicles as PTH, with length of 84 amino acids - First 34 amino acids (N-terminus) mediates the actions Short half-life of 10 minutes - Can react to calcium changes quickly Degraded in the liver
94
Describe the secretion of parathyroid hormone (PTH)
PTH secreted continuously, but increases as extracellular fluid iCa2+ level decreases & decreases when it increases (1.25 mmol/l) Direct negative feedback system Very responsive system
95
What are the 4 actions of PTH
Bone: Fast (min) phase gets calcium from bone fluid Bone: Slow (days) phase gets calcium from bone Kidney: Reabsorption within tubules recovers more calcium from urinary filtrate Intestine: Indirect effect through activation of vitamin D to get calcium from gut
96
Describe bone formation (turnover)
It is an ongoing process Osteoclasts erode bone & incorporate calcium into ECF Osteoblast initially forms bone matrix & then becomes osteocyte There is continuous layer of osteocytes & osteoblasts that covers bone surface (osteocytic-osteoblastic membrane) - provides physical barrier between bone & extracellular fluid of body
97
Describe PTH in the fast phase of bone formation (turnover)
PTH interacts with membrane receptors on osteocytes & osteoblasts Increases permeability to calcium on bone fluid side of membrane Increased calcium uptake from bone fluid (ATP powered pump) Bone fluid calcium level drops Nearby calcium phosphate crystals replace calcium in bone fluid (osteolysis)
98
Describe the action of PTH in the kidney
Increases calcium reabsorption in late distal tubules & collecting tubules Results in retention of Ca and Mg Decreases phosphorous reabsorption in renal proximal tubule Results in rapid loss of phosphorous
99
Describe the action of PTH on vitamin D
Vitamin D from the skin or diet First conversion from Vitamin D to 25-hydroxyvitamin D in liver Final conversion to active vitamin D (calcitriol) occurs in renal tubules Catalyzed by the enzyme: 1-alpha-hydroxylase This enzyme is activated by PTH Rise in PTH = Increase in calcitriol
100
How does calcitriol affect intestinal calcium uptake
Calcitriol (active vitamin D) increases active transport of calcium Enters intestinal epithelial cells Increases the synthesis of calcium-transport proteins Takes approximately 48 hours (slow) - Calcium uptake via facilitated diffusion - Calcium channel proteins on luminal surface - Calcium-binding protein (calbindin) ferries calcium from apical region to pumps - accelerated by calcitriol-activated calcium ATPase pumps on basolateral membranes (secondary active transport)
101
How does calcitriol affect calcium excretion by kidneys
Increase calcium (& phosphorous) reabsorption from urine WEAK effect in comparison with PTH
102
What cells secrete calcitonin (lowers blood calcium)
Parafollicular/C-cells
103
How is calcitonin secretion regulated
Mainly by Concentration of iCa2+ in plasma Gastrointestinal hormones such as gastrin, secretin also stimulate secretion
104
How would your interpretation of plasma total calcium concentrations change is animal suffers from hypoproteinemia
total would be lower but ionised unchanged wouldn't interpret low total calcium as necessarily hypocalcaemia
105
Describe the effects of PTH on phosphorous homeostasis
106
If an animal developed a tumour of parathyroid gland & was secreting excess amounts of hormone how would bone be affected
increased bone resorption would lead to decreased bone density
107
What are the effects of hyperparathyroidism on calcium & phosphorous excretion in urine?
increased calcium reabsorption & decreased phosphorous reabsorption due to high PTH levels
108
What would happen to an animal if it were placed on a very high phosphorous diet containing little calcium
imbalanced calcium-phosphourous ratio leading to hyperparathyroidism weakened bones due to calcium being released rubber jaw & big head increased FGF-23
109
Where can phosphate be found
Bone (85%) Intracellular organic molecules (~14%) Extracellular fluid (<1%)
110
What is the relationship between calcium & phosphate
High concentrations (in extracellular tissue) of either or both in solution will form insoluble precipitates Leads to soft tissue mineralisation in renal disease Homeostasis aims to keep Ca & PO4 at levels suitable for mineralisation of bone but not soft tissue mineralisation
111
How is phosphate excreted
PTH promotes renal PO4 losses Salivary losses & recycling (cattle) (not clinically significant) FGF-23 - anti PTH
112
What are the consequences of phosphorus deficiency (diet)
E.g. herbivores grazing phosphorus deficient pasture without grain Bone mineralisation - rickets, osteomalacia Pica – causes you to eat things not usually considered food
113
What causes diet excess in phosphorous
Phosphorus excess associated with calcium deficiency - common in dogs that are fed meat diets High cereal diets
114
What factors control phosphorous
Dietary intake and absorption Calcitriol - Resorption from bone - Absorption from GI PTH - Resorption from bone - Absorption from GI (thru calcitriol) Renal tubular resorption - ↑ by tubular filtered load - ↓ by PTH Phosphatonins [FGF-23]
115
What are causes of hyperphosphataemia
Reduced GFR – reduced clearance (builds up in blood) Calcitriol promotes intestinal absorption - Vitamin D toxicity Hypoparathyoidism (parathyroid gets rid of phosphate through urine) Young & growing (increased phosphate in growing animals) Other increased bone turnover - E.g., Hyperadrenocorticism - E.g., Hyperthyroidism
116
What is the clinical presentation of hyperphosphataemia
FGF-23 mediated actions - Decreased calcitriol to contain phosphate levels - Secondary renal hyperparathyroidism (due to decreased calcium) - Osetopenia, osteomalacia, rubber jaw (calcium taken out of bone instead as FGF-23 is blocking calcitriol) Acute → hypocalcaemia - Tetany (neuromuscular issue – twitching, seizuring, stiff muscles)
117
What are some causes of hypophosphataemia
↑ PTH (PTHrP) promotes clearance Dietary deficiency (incl anorexia) Milk fever and eclampsia Lack of calcitriol due to lack of vit D in diet/sunlight (incl dietary defic) Insulin promotes uptake into cells (care in DKA Tx) Diuresis Fanconi syndrome (P C Tubular defect)
118
What is the clinical presentation of hypophosphataemia
Muscle - Weakness, pain haemolytic anaemia Dairy: - Poor growth, poor milk yields, low fertility
119
Describe diagnostic tests used to differentiate phosphorous disorders
Serum/plasma phosphorus Urea, creatinine - Evidence of renal dysfunction Total calcium, ionised calcium, albumin Fractional excretion of phosphorus - Ratio of serum and urine phosphorus and creatinine PTH, 25OH Vitamin D, Calcitriol FGF-23 – new early marker of renal dysfunction ?Radiography? (are bones still in good shape?)
120
What are some causes of hypercalcaemia
Increased PTH activity - Primary hyperparathyroidism (tumour that doesn’t respond to negative feedback) Activity of PTH-like substances Increased Vitamin D activity - Dietary/toxin - Granulomas (collection of macrophages) Osteolysis - Local destruction of bone (neoplasia) Other/unclear mechanism - Hypoadrenocorticism - Feline idiopathic hypercalcaemia - Raisin toxicity
121
What are the main causes of hypercalcaemia in dogs
122
What are the main causes of hypercalcaemia in cats
123
What are the main causes of hypercalcaemia in horses
124
Describe tCa vs iCa in renal disease
125
What are the clinical signs of hypercalcaemia
PU/PD - antagonism of ADH (secondary to renal damage) Weakness, depression, mental dullness - Depressed excitability of muscular & nervous tissue Anorexia, vomiting, constipation - Decrease in excitability of GI smooth muscle - Direct CNS effect Muscle twitching, shivering, seizures Bradycardia, cardiac arrhythmias - Increased contractility (CO = HR x SV) - Decreased myocardial excitability soft tissue mineralisation - only seen when phosphorous is also high * e.g. Vit D toxicity - doesn't occur if issue is PTH related
126
How would you diagnose hypercalcaemia
1. review history - diet * supplements? * unusual brand? * access to grapes? - access to Vit D - review signalment * middle age to old * breed predisposition (Keeshond) 2. clinical review - lymph nodes - anal sac masses - Angiostrongylus
127
What pathology would you see in these different causes of hypercalcaemia
128
What are the clinical features of hypervitaminosis D
ncreased Ca x P product causes soft tissue mineralization Vomiting, anorexia, lethargy Acute PU/PD, acute renal failure Dysrhythmias Seizures Death
129
How do you know if renal dysfunction causes elevated total calcium or elevated calcium caused renal dysfunction?
130
What is the cause?
131
What is the cause?
132
What is the cause?
133
Are these major ions intracellular or extracellular
134
What are the mechanisms involved in contraction of skeletal muscle
135
What are the mechanisms involved in contraction of smooth muscle
136
What are the mechanisms involved in contraction of cardiac muscle
137
138
139
Why dont elderly cats just eat more to meet their increased needs?
dental issues compromised smell/taste impaired mobility
140
What are the advantages & disadvantages of the hypothyroid tests
141
Does this dog have hypothyroidism? if so which type?
142
Does this dog have hypothyroidism?
143
144
What clinical signs would you expect from a dog or cat that has undergone a thyroidectomy?
145
How is blood calcium maintained in cows
146
What can cause hypocalcaemia in cows
Older cows Incidence is higher in Jersey and Guernsey breeds Phosphorus in excess of calcium, inhibits absorption of calcium (ideal 2:1 Ca:P) High dietary cations (Na, K) or low Mg can inhibit calcium mobilisation
147
What is the incidence of hypocalcaemia in cows
Average annual incidence in UK dairy herds ~7-8 % Individual farms may have much higher prevalence esp. when calving at pasture Milk fever also occurs in sheep - Usually seen in ewes in late pregnancy but can occur in lactation - Can occur when ewes are brought down off hill grazing onto improved pastures prior to lambing Can occur 6 weeks before to 10 weeks after calving 90% cases occur 24 h before to 48 h after calving Can also be triggered by other stressful situations, e.g. handling, transporting or housing (or winter shearing in sheep) - Stress dampens body's ability to release calcium In v. high yielding cows; during oestrus or several weeks/months after calving
148
What are the effects of hypocalcaemia in cows
Increased neuromuscular irritability Decreased smooth muscle contraction - Affects GI tract (so constipation & bloat) - Teat wont close up nicely due to lack of SM contraction which increases opportunity for infection * Can lead to mastitis Decreased skeletal muscle contraction - Affects posture & gait Reduced cardiac muscle contractility - Affects function and circulation.
149
What are the clinical signs of hypocalcaemia in cows
Progress over 12 to 24 h. Early stages; teeth grinding, muscle tremors, stiff legs, straight hocks, "paddling" of feet when standing - Often missed at the early stage Progress to muscle weakness, cow lies down with characteristic kink (S-bend) in neck, later head held against chest. Gut stasis causes bloat & constipation Becomes comatose & lies on her side. Ruminal bloat &/or paralysis of respiratory muscles cause death over few days (untreated) Uterine inertia (leading to calving problems &/or stillbirth), prolapse of uterus, inhalation of rumen contents when cast causing pneumonia, & pressure damage to nerves & muscles
150
What kind of epithelium does thyroid gland have
simple cuboidal
151
What gland(s) does this show
Thyroid (right hand side) and parathyroid tissues (left hand side) with capsule between them
152
Label the cells (C) in the thyroid gland
cells labelled with C are thyroid c cells or parafollicular c cells, which secrete Calcitonin.
153
How can we find out whether the tumour derives from thyroid follicular cells or parafollicular c-cells?
154
positive or negative?
155
What gland is this
parathyroid gland
156
Label the pancreas
157
What types of diet are available to assess a food hypersensitivity? what are the pros and cons of each?
Hydrolysed diets – disrupts protein structure to reduce antigenicity of protein. Complete & balanced, high digestibility, appropriate for long term feeding but high cost and variable palatability Limited antigen diets – composed of novel protein & carbohydrate source. Complete and balanced, moderate cost, palatable but requires thorough diet history. Home cooked diets – novel protein and carbohydrate source. Good palatability, limited number of allergens but labour intensive, expensive and not nutritionally complete
158
What is a novel protein or carbohydrate?
protein & carbohydrate ingredients normally not found in commercial pet food
159
What nutrients are important for skin & coat health?
protein fatty acids vitamin A, B, D, E zinc copper
160
What key nutrient do cats use as their main source of energy?
protein