Week 3 Flashcards

(164 cards)

1
Q

How does the epithelium differ between these 2 pictures

A

Presence of pericyte in A. These cells are crucial for the function of the blood-brain barrier (controls molecular transport between blood & CNS

How well did you know this?
1
Not at all
2
3
4
5
Perfectly
2
Q

Label the structures

A
How well did you know this?
1
Not at all
2
3
4
5
Perfectly
3
Q

Label the numbers and circles

A
How well did you know this?
1
Not at all
2
3
4
5
Perfectly
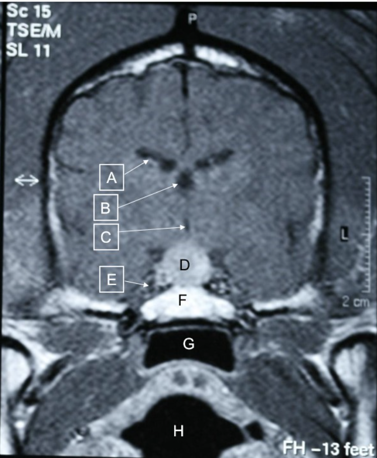
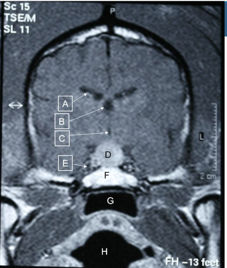
4
Q

Are there any pathological findings in this MRI of dogs head

A

pituitary mass at D

How well did you know this?
1
Not at all
2
3
4
5
Perfectly
5
Q

Label the structures

A
How well did you know this?
1
Not at all
2
3
4
5
Perfectly
6
Q

What are the types of cell communication

A

Autocrine
- Affects cell producing them e.g., growth factors

Paracrine
- Diffuse short distance to affect cells nearby e.g., neurotransmitters

Endocrine
- Acts on target cells distance from site of synthesis - hormones

How well did you know this?
1
Not at all
2
3
4
5
Perfectly
7
Q

compare lipid soluble to water soluble hormones

A

Lipid soluble
- Transported in blood by carrier proteins
- Diffuse through plasma membrane
- Alters expression of genes at level of nucleus
- e.g. steroid hormones, thyroid hormones, vit D

Water soluble
- Easily travel in blood
- Bind to receptors on surface of cell
- Results in series of intracellular events
- most signalling molecules

How well did you know this?
1
Not at all
2
3
4
5
Perfectly
8
Q

Where does the pineal gland develop from

A

From CNS

How well did you know this?
1
Not at all
2
3
4
5
Perfectly
9
Q

Where does the thyroid gland develop from

A

From floor of mouth

How well did you know this?
1
Not at all
2
3
4
5
Perfectly
10
Q

Where does the parathyroid gland develop from

A

From pharyngeal arches

How well did you know this?
1
Not at all
2
3
4
5
Perfectly
11
Q

Where does the adrenal gland develop from

A

Medulla from neuroectoderm

Cortex from mesoderm (mesonephros)

How well did you know this?
1
Not at all
2
3
4
5
Perfectly
12
Q

What is the function of nuclear receptors

A
How well did you know this?
1
Not at all
2
3
4
5
Perfectly
13
Q

What are the 3 components of membrane receptors

A

External domain (binds signal)

Transmembrane domain

Cytoplasmic/intracellular domain
- undergoes conformational change which activates signalling pathway

How well did you know this?
1
Not at all
2
3
4
5
Perfectly
14
Q

What is the function of growth factors and cytokines

A

Control fundamental processes

  • Cell division (ie cell proliferation)
  • Cell differentiation
  • Programmed cell death (apoptosis)

Aberrant function of growth factors & cytokines are therefore implicated in cancer

How well did you know this?
1
Not at all
2
3
4
5
Perfectly
15
Q

Describe some pathways of growth factors

A

Growth factor receptors have enzyme activity (specifically tyrosine kinase)

Ligand binding activates this enzyme & initiates signal that is propogated through cell by phosphorylation

Can occur in many ways (main one through small nucleotide binding protein Ras)

Other ways involve phospholipase C or phosphitidyl-inosital 3 kinase

Ultimately activates transcription factors & hence production of growth response genes

How well did you know this?
1
Not at all
2
3
4
5
Perfectly
16
Q

What is half-life

A

Time taken for concentration of signalling molecule to fall by half

Transient signals may have long lasting effects

Many intracellular proteins have short half lives - determined by:
- Rate of synthesis
- Modifications of proteins e.g., + and - phosphate groups

How well did you know this?
1
Not at all
2
3
4
5
Perfectly
17
Q

What are the main classes of cell surface receptors

A

Ion-channel-linked receptors
- Rapid synaptic signalling

G-Protein linked receptor
- Act indirectly to activate separate plasma membrane bound protein

Tyrosine kinase-linked receptor
- Directly associated with enzyme they activate

Receptors with intrinsic enzymatic activity
- Functions directly as enzyme

How well did you know this?
1
Not at all
2
3
4
5
Perfectly
18
Q

Describe ion channel linked receptors

A
  1. Signal molecule (neurotransmitter) binds to receptor
  2. This opens (or closes) ion channel
  3. Ions move into cell passively by diffusion
  4. Excitability of post-synaptic cell altered

Examples of ion-channel-linked receptors:
- post-synaptic membranes
- Neuromuscular junction
- Nicotinic acetylcholine receptor
- GABA receptors

How well did you know this?
1
Not at all
2
3
4
5
Perfectly
19
Q

Describe G protein linked receptors

A

Receptor-protein interaction is mediated by a 3rd protein
- This is the G protein

The target protein may be an enzyme or ion channel

e.g. muscarinic acetylcholine receptor

How well did you know this?
1
Not at all
2
3
4
5
Perfectly
20
Q

What are second messengers

A

Second messengers are small intracellular signalling molecules

Generated in large numbers by receptor activation: Amplification of signal

Rapidly diffuse away

Pass signal on by binding to & altering behaviour of other proteins

Exhibit different ways of passing signal on

How well did you know this?
1
Not at all
2
3
4
5
Perfectly
21
Q

Describe classical hormones

A

Secreted from endocrine cells

Diffuse into blood

Transported by transporters via blood to target tissue

Example: Cortisol

How well did you know this?
1
Not at all
2
3
4
5
Perfectly
22
Q

Describe neurohormones

A

Synthesized within neuroendocrine cells

Secreted from nerve terminals

Diffuse into blood vessels and transported

Eg: Corticotropin-releasing hormone (CRH)

How well did you know this?
1
Not at all
2
3
4
5
Perfectly
23
Q

Describe water vs lipid soluble hormones & give examples

A

Water-soluble hormones
- Example: Catecholamines (epinephrine)
- Freely transported

Lipid-soluble hormones
- Examples: Cortisol and thyroid hormones
- Bound to transport proteins
- (cortisol-binding globulin [CBG])

How well did you know this?
1
Not at all
2
3
4
5
Perfectly
24
Q

What are free hormones

A

active

How well did you know this?
1
Not at all
2
3
4
5
Perfectly
25
What are the functions of transport proteins
Serve as a hormone reservoir Act as hormone buffers Reduce hormone loss via the kidneys
26
How can hormones be eliminated
Enzymatic degradation Within target cells after binding receptor Via liver and kidneys
27
How are fast action hormones (e.g. epinephrine) eliminated
Fight and Flight hormone Rapid release from the adrenal medulla Immediate action on tissues (heart) Fast return to normal (few seconds) Water-soluble hormone binds receptors Enzymatically degraded within cell
28
How are slow action hormones (e.g. T4) eliminated
Circulates as bound (99.7%) or free (0.03%) hormone (lipid-soluble) Bound hormone resistant to degradation Either converted into T3, which enters cells & alters gene expression Or converted into water-soluble compounds by liver & excreted in urine
29
What factors affect hormone responses
Variation by tissue Variation by time - age, species Variation by dose Status of target tissue
30
Describe how hormone response is affected by tissue variation (use thyroxine as example)
Tissues respond differently to the same hormone Example: Thyroxine Increases cellular metabolism Measured as oxygen consumption When measured 48 hours after injection Most stimulated tissues: Heart, gastric mucosa Least stimulated tissues : Skeletal muscle Not stimulated tissues : Spleen and brain
31
Describe how hormone response is affected by status of target tissue
With overstimulation, target tissues hypertrophy - More functional tissue - Leads to exaggerated responses With understimulation, target tissues atrophy - Less functional tissue - Inadequate responses
32
What are negative feedback loops in endocrinology
Negative feedback regulation - If hormone level exceeding need - High level sensed by hypothalamus &/or pituitary gland - Hormone synthesis decreases It is the free hormone that is monitored Adapt to changes in binding protein
33
What are the 9 endocrine glands
34
What are the regions of the pituitary gland
anterior pituitary = adenohyphysis/pars distalis Posterior pituitary = neurohyphysis/pars nervosa
35
Where does the pituitary gland develop from
adenohypophysis/anterior = ectoderm from roof of mouth (Rathke’s pouch) neurohypophysis/posterior = downgrowth of ectoderm of forebrain
36
What is the embryological origin of the brain
Neural folds move together and fuse => neural tube Neural tube gives rise to tissues of CNS - brain and spinal cord
37
What is the cause of pituitary dwarfism
Rathke’s pouch doesn’t differentiate into glandular tissue of adenohypophysis (anterior pituitary) => no growth hormone
38
What is the infundibulum of the pituitary gland
connection between brain and neurohypophysis/posterior pit.
39
Label the brain
40
Describe the sections and functions of the adenohypophysis/anterior pit.
Pars tuberalis – monitors melatonin levels Pars intermedia – Rathke’s pouch remnant. Produces melanocyte stimulating hormone in foetus Pars distalis – main secretory region. Collection of cells, each secrete different hormone
41
Describe the sections of the neurohypophysis/posterior pit
42
Give examples of water soluble hormones
insulin, adrenaline, noradrenaline, glucagon, cortisol, FSH, LH, ADH
43
Which hormones exclusively use the adenyl cyclase pathway
ACTH calcitonin
44
Which hormones exclusively use the phospholipase C pathway
ADH epinephrine
45
Which hormones exclusively use the tyrosine kinase pathway
insulin
46
Provide a detailed description of the tyrosine kinase receptor signalling pathway using insulin receptor as an example
1. insulin binds to specific transmembrane protein 2. upon binding, receptor undergoes conformational change that allows 2 insulin receptor molecules to come together to form an active complex 3. activated receptor adds phosphate group to specific tyrosine residues on itself 4. phosphotyrosine residues on activated receptor act as docking site for other proteins 5. Docked proteins activate intracellular signalling pathways - PI3K = activates glucose uptake & glycogen synthesis - MAPK = stimulates cell growth, differentiation and proliferation
47
Give examples of lipid soluble hormones
oestrogen progesterone testosterone cortisol aldosterone thyroid hormones
48
lipid soluble hormones pass through cell membrane & interact directly with hormone receptors. Describe how cortisol affects the cell upon arrival
1. cortisol easily dissolves through cell membrane 2. Inside the cell, cortisol binds to specific intracellular receptor (glucocorticoid receptor) which becomes activated upon binding 3. GR undergoes conformational change allowing it to act as a transcription factor 4. this exposes nuclear localisation signal enabling receptor-hormone complex to enter cell's nucleus 5. in nucleus it interacts with specific regulatory regions of DNA (GREs) 6. This interaction can stimulate/inhibit expressions of genes (through transcription) biological effects: - regulation of blood glucose levels suppression of immune response - suppression of inflammatory response - modulation of metabolism
49
Are water-soluble or lipid soluble hormones faster at exerting their actions on target cells? why?
Water soluble Act on cell surface receptor (instead of intracellular) mediated by cAMP which rapidly propagates signals inside cells Cause rapid, short lived effects
50
Label the kidney
51
label the nephron
52
Where in nephron are: Bowmans capsule Glomerulus Loop of Henle PCT DCT collecting ducts
Cortex: - PCT - Bowmans capsule - Glomerulus - DCT Medulla: - Loop of Henle - Collecting ducts
53
Describe filtration in kidney
Ultrafiltration occurs between capillaries of glomerulus & Bowman’s capsule Is filtration under pressure, pressure increase caused by having narrower efferent arteriole Filtration depends on molecule size & charge. E.g., glucose, electrolytes, waste products allowed through large proteins are not How much plasma gets filtered is Glomerular Filtration Rate (GFR) which depends on renal blood flow/pressure & no. of available nephrons.
54
Where does most reabsorption occur in kidney
proximal convoluted tubule
55
What gets reabsorbed in the proximal convoluted tubules
Glucose Sodium Water Amino acids Salt Urea
56
Fill in the glomerular ultrafiltrate table
57
What hormones influence water resorption
ADH pituitary (vasopressin)- water channels & urea (for medullary concentration gradient) – helps reabsorb water Aldosterone (RAAS) – preserves water by absorbing Na+ in exchange for K+ and H+
58
What do you lose in the ascending and descending loop of henle
Lose water in descending loop & solutes in ascending loop
59
What is normal blood glucose concentration
“Normal”: 3.5 to 5.5 mmol/L (dog) >14mmol/L – usually diabetes mellitus Glycosuria usually starts to occur at ~approx. double normal blood glucose concentration (10-12mmol/L)
60
What is transport maximum in kidneys
Transport maximum is point at which all glucose transporters in proximal convoluted tubule are saturated & thus all remainder glucose stays in tubule/urine… Lowers concentration gradient so more water is lost – reason why patients w diabetes pee loads
61
What is osmotic diuresis
increased urination due to presence of certain substances in kidney ultrafiltrate
62
What can cause osmotic diuresis
Glucose in tubule acts as an osmolyte - Draws water into tubule by osmosis - Greater urine production Can be due to salts rather than glucose Therapeutic osmotic diuresis (Mannitol) – increase osmolarity to attract water
63
What is azotaemia
64
What is Urine specific gravity
65
What is diabetes insipidus
66
Describe how the adenohypophysis/anterior pituitary is controlled by the hypothalamus
releasing factors from hypothalamus circulate via hypothalamo-hypophyseal portal system to adenohypophysis and act on specific target cells (BBB absent in this area) Specific target cells release stimulating hormones which circulate to target organs
67
Describe how the posterior pituitary/neurohypophysis is controlled by the hypothalamus
Axons from supraoptic and paraventricular nuclei in hypothalamus form supraopticohypophyseal & paraventriculohypophyseal tracts These tracts descend into the neural lobe via the infundibulum
68
What is the function of the pineal gland
controls circadian rhythms controls breeding seasons mediates courtship/breeding behaviours linked with seasonal hair/feather colour changes
69
what is the function of melatonin from the pineal gland?
modulates sleep patterns inhibits or stimulates repro cycles in seasonal breeders - affects release of LH & FSH
70
What cells are found in the thyroid gland
Follicular cells: - secrete thyroid hormones T3 and T4 by proteolysis - metabolic effects Parafollicular/C-cells: - secrete calcitonin - lowers blood calcium
71
How is thyroid hormones stored in thyroid gland
stored extracellularly bound to thyroglobulin Follicular cells surround and contain the thyroglobulin
72
What are the cells found in the parathyroids and what do they secrete
Chief/principal cells Produce parathyroid hormone (PTH) => raises blood calcium
73
Label the layers and secretions of adrenal gland
74
Describe the effects of the corticoids produced from the adrenal cortex
mineralocortioids - targets kidney to control Na and water reabsorption - alter blood pressure glucocorticoids - effect metabolism androgens (oestrogen, testosterone etc.) - effects metabolism
75
Describe the blood supply to the hypophysis/pituitary gland
Sits in Circle of Willis - arterial supply to whole brain
76
Describe the blood supply to the thyroid gland
Arteries: - cranial and caudal thyroid arteries Veins: - thyroid veins
77
Describe blood supply to the adrenal glands
Branches from aorta, renal, lumbar and cranial mesenteric arteries blood draining the cortex enters medullary sinusoids, mixes with blood in medullary cells, central medullary veins collect blood, drained into caudal vena cava
78
How do lipid soluble hormones affect cell at level of nucleus
hormone diffuses into cell across plasma membrane binds to receptor Complex diffuses into nucleus and alters DNA => protein synthesis => biological response
79
80
why might an animal that has dramatic polyuria end up with low blood urea concentration
81
Why do these conditions cause polyuria
82
83
How does hypoadrenocorticism result in a dangerously high blood potassium level
84
What is digestion
Process in alimentary canal by which food is broken up Physically by teeth Chemically by action of enzymes Converted into substance suitable for absorption & assimilation into body Co-ordinated process that extracts nutrients out of food & makes them available for absorption inside gut into blood stream & lymphatic circulation
85
describe carbohydrates
Chains made of single units called monosaccharaides Monosaccharaides are joined together to form carbohydrates or polysaccharides (via condensation reaction) Products of carbohydrate digestion are; glucose, fructose & galactose These are small enough to pass into the capillaries - and pass via the hepatic portal vein to the liver.
86
What is the fate of glucose, fructose and galactose
Glucose is readily available & usable by cells throughout body as substrate for energy production In liver, fructose & galactose are converted into glucose
87
What happens to excess glucose
In liver, excess glucose is converted (anabolised) into glycogen Liver glycogen acts as storage which can be used to ‘top up’ circulating glucose levels when needed The liver has a limited capacity to store glycogen Glucose can also be stored as glycogen in muscle or combined with amino acids to make fats in body
88
What are proteins
Large molecules which can’t be absorbed without being broken down Made from monomers called amino acids Amino acids are joined in long chains by peptide bonds to make proteins Different proteins are created by no. & combination of amino acids in chain Around ten are essential - they cannot be manufactured by the body.
89
Why do animals need protein in diet
Protein essential in diet for growth & maintenance of body tissues can also be used for energy, although less efficient than fat or carbohydrate metabolism
90
What is the fate of amino acids (protein digestion)
Amino acids are absorbed into intestinal capillaries & transported to liver via hepatic portal vein In liver they may be modified to keto acids & plasma proteins (e.g. albumin/globulin) Most amino acids enter systemic circulation via caudal vena cava unaltered In cells, amino acids are synthesised into different proteins for intracellular function (eg intracellular membranes) or for export from cell (eg enzymes)
91
What are lipids
Fats which made up from small units called triglycerides Each triglyceride/ triacylglycerol (TAG) is made from molecule of glycerol & 3 fatty acid chains The fatty acid chains give the fat its properties - saturated or unsaturated Saturated fatty acids have less uses in body as they have less double bonds in structure which makes them less reactive.
92
Describe the fate of triglycerides
Triglycerides too large to be absorbed, broken down by digestion into monoglycerides & then into glycerol & free fatty acids First, bile salts emulsify lipid to then be hydrolysed by enzymes into monoglycerides which are dissolved into micelles Micelles freely enter intestinal cells where triglycerides are re-synthesised from glycerol & 3 fatty acids, together with cholesterol & packaged into lipoprotein particles (chylomicrons)
93
What controls the glucose supply
Liver is responsible for regulating blood glucose supply 2 hormones, insulin & glucagon, jointly regulate storage & recycling of blood sugar They are produced by Islets of Langerhans in pancreas: - ß cells secrete insulin - α cells secrete glucagon - δ cells secrete somatostatin Insulin & glucagon have opposing effects so work together to maintain balance
94
fill in the glucose regulation diagram
95
describe the fate of protein
Excess amino acids are disposed of via deamination Deamination releases ammonia which is highly toxic, immediately converted into urea by liver As glycogen levels deplete, skeletal muscle protein is broken down as substrate for gluconeogenesis Amino acids are deaminated to yield ammonium (NH4+) & carbon skeleton. After deamination, amino acids enter energy production pathway as pyruvate, acetyl CoA, or components of TCA cycle
96
Describe the fate of lipids
Chylomicrons carried by lacteals into lymphatic system & bloodstream, to be stored in adipose tissue, without first going to liver Some chylomicrons circulate back to liver where they are stored, converted to other molecules or used as an energy substrate - Fats only stored in liver when there is overwhelming influx - Negative welfare state Fatty acids are stored primarily in adipocytes as triacylglycerol - Adipocytes found mostly in abdominal cavity & subcutaneous tissue If animal's energy intake exceeds body's requirements, fat is stored in fatty deposits around body
97
describe lipids as an energy source
In absence of glucose, fat is broken down into TAG which circulates to liver to be used as source of energy As by-product of fat metabolism ketone bodies are produced by liver Ketones are also source of energy but may accumulate in blood & pass into urine If very high concentrations of ketones are formed, clinical condition (ketosis) occurs Ketosis common in dairy animals as they need large energy intake but bad at tolerating ketones Ketone bodies are acidic and high levels can be fatal.
98
What are the 2 metabolic lipase enzymes
Hormone sensitive lipase (HSL) - Hydrolyses; either fatty acid from triacylglycerol molecule, freeing fatty acid & diglyceride - or fatty acid from diacylglycerol molecule, freeing fatty acid & monoglyceride - Mechanism of release of lipid from storage Lipoprotein lipase (LPL) - Degrades circulating triglycerides in bloodstream to be taken up by tissues - Facilitates storage of lipid into tissues
99
What is metabolic rate
Rate at which living organisms expend energy or convert energy into food
100
What regulates metabolic rate and how does it do it
Thyroid, under hypothalamus (& pituitary) influence, regulates basal metabolic rate It achieves this through: - Speeding up metabolism and development - Increasing metabolic use of energy - Increasing digestion rate in the intestine (esp. glucose) - Down-regulating insulin receptors - Increasing glycogenolysis and gluconeogenesis - Increasing lipogenesis in adipocytes.
101
define metabolism
102
What are ras-oncogenes?
group of cells whose normal function is to regulate cell growth and differentiation Can cause cancer when overactivated
103
Why do animals need to keep their blood sugar levels at a minimum level, even between meals?
energy source metabolic function regulation of hormones stable cellular function preventing hypoglycaemia muscle function
104
What is glycolysis
105
What influence does insulin have in absorptive phase on macronutrients in liver
glycogen synthesis (glycogenesis) - stimulates liver to take up glucose from blood & convert it into glycogen inhibition of gluconeogenesis - prevents liver from releasing glucose into liver
106
What influence does insulin have in absorptive phase on macronutrients in fat
lipogenesis - promotes synthesis of triglycerides from glucose inhibition of lipolysis - inhibits breakdown of stored fat into fatty acids which prevents their release into blood stream & favors fat storage
107
What influence does insulin have in absorptive phase on macronutrients in muscle
glucose uptake - allows them to use it for energy amino acid uptake - allows it to be used for protein synthesis and muscle repair
108
What influence does insulin have in inter-prandial (post-absorptive) phase on macronutrients in muscle
glucose uptake - allows glucose to be conserved for tissues with higher energy demands
109
What influence does insulin have in inter-prandial (post-absorptive) phase on macronutrients in liver
glycogenolysis - liver converts glycogen into glucose to release into bloodstream gluconeogenesis inhibition - prevents liver from producing excessive glucose
110
What influence does insulin have in inter-prandial (post-absorptive) phase on macronutrients in fat
lipolysis
111
What is the difference between glycogenolysis and gluconeogenesis as methods of creating glucose from stored resources
112
What are the hypothalamic inputs
Direct sensing by receptors Indirect humoral sensing (via blood) - Receptors for circulating hormones Indirect neural sensing (via nerves) - Visceral & somatic sensory nerves - detect pressure - Limbic system (emotions) – motion system - Reticular activating system – retina
113
describe thermoreceptors as a direct hypothalamic input
Neurons in anterior hypothalamus - Respond to heat...thermoregulation cooling center - Respond with peripheral vasodilation & sweating Neurons in posterior hypothalamus - Respond to cold...thermoregulation heating center - Respond with peripheral vasoconstriction, piloerection & shivering
114
describe osmoreceptors as a direct hypothalamic input
Respond to increase in blood osmolarity (haemoconcentration; dehydration) Response: - ADH release from supraoptic nucleus - Secreted via posterior pituitary - Kidneys concentrate urine (retain water) - Stimulate neurons within thirst centre in lateral hypothalamus
115
What are the satiety centre and appetite centre
Satiety centre - Responds to high glucose levels - Inhibits eating by releasing leptin Appetite centre - Responds to low glucose levels - Stimulates eating by releasing Ghrelin
116
What is the biological clock
Causes you to go to sleep or wake up Light sensed by retina Transmitted via nerve pathways Arrive at hypothalamus Specifically suprachiasmatic nucleus (SCN) (biological clock) Stimulates pineal gland (to make melatonin) & other pathways
117
Describe the secretory neurons of the hypothalamus
screte ADH and oxytocin Cell bodies in the nuclei of hypothalamus - Supraoptic nucleus (SON) - Paraventricular nucleus (PVN) Axons descend into the posterior pituitary Nerves terminate on blood vessels & release hormone directly into circulation Posterior pituitary is storage site, collection of nerves & not true endocrine gland
118
Name some hypothalamus releasing hormones
CRH TRH GHRH GnRH PRL-RH cause pituitary gland to release hormones which then cause target organ to release hormones into bloodstream
119
Name some hypothalamus inhibitory hormones
GHIH GnIH dopamine
120
What are the anterior pituitary hormones
Thyroid-stimulating hormone (TSH/thyrotropin) Adrenocorticotropin hormone (ACTH / corticotropin) Growth hormone (GH / somatotropin) Prolactin (PRL) Follicle-stimulating hormone (FSH) Luteinizing hormone (LH)
121
What are the 5 anterior pituitary cell types and the hormone they produce
122
What hormones regulate GH (somatotropin) secretion
GH-releasing hormone (GHRH) Somatostatin (also called GHIH) Ghrelin (hormone from the stomach)
123
What are the functions of growth hormone
Stimulates IGF-1 secretion from liver Growth Stimulates protein synthesis Stimulates lipolysis Inhibits glucose utilization
124
What regulates gonadotropes
GnRH from the hypothalamus Negative feedback loop
125
What are closed vs open feedback loops
Closed loop - Target cells secrete hormones that affect their own secretion - Feedback regulation (usually negative) Open loop - No direct feedback - Stopped by removal of stimulus or depletion of biochemicals - Example: Stimulation of milk let down
126
What are positive feedback loops
Positive feedback loops are rare When secretion of hormone increases in response to feedback from organ - An amplification process Example: - Oxytocin causes uterine contraction - Uterus stretched during delivery - Nervous impulses to the hypothalamus
127
What are negative feedback loops
The most common type of feedback Short feedback loop - Hormone from pituitary gland(ACTH) - Feedback to hypothalamus - Less CRH from hypothalamus Long feedback loop - Hormone from gland (cortisol) - Feedback to hypothalamus - Can also feedback on pituitary gland
128
What is the trigger for shedding (moulting) if winter hair coat in horses
increase in photoperiod triggers release of melatonin and prolactin which play role in hair growth cycles
129
Fill in the hypothalamic-pituitary-adrenal (HPA) axis
130
Fill in the hypothalamic-pituitary-gonadal (HPG) axis for females
131
Fill in the hypothalamic-pituitary-gonadal (HPG) axis for males
132
Fill in the hypothalamic-pituitary-thyroid axis
133
What hormones does the posterior pituitary gland produce
anti-diuretic hormone oxytocin
134
Describe the actions of ADH
Acts on distal tubule & collecting duct Increases permeability to water More water moves out of tubule, resorbed Urine volume decreases Urine concentration increases
135
What are aquaporins and where are they
Water channels in proximal tubule, present on all membranes In the distal tubule and collecting ducts: - Always present in baso-lateral membranes - Only present in apical membranes when ADH present
136
How does ADH affect aquaporin density on tubule surfaces
Increases aquaporin density Aquaporin-2 (AQP-2) is under ADH control 1. ADH binds to receptors 2. Activation of adenyl cyclase 3. Production of cAMP 4. Vesicles containing aquaporins move to cell surface Inserted via exocytosis Proportional to plasma ADH concentration Removed via endocytosis
137
What detects dehydration in the body
Osmoreceptors - Within the hypothalamus - Respond to increase in osmolarity of extracellular fluid (ECF) - More ADH released - More water conserved Stretch (or volume) receptors - Respond to large changes (10% decrease in blood) - Decrease in distension detected (caused by smaller blood volume) - Nervous impulses to the hypothalamus - More ADH released - Water conserved
138
What is osmolarity
Osmolarity = no. of dissolved particles per unit volume More concentrated = higher osmolarity
139
Describe the overall hydration regulatory system
Osmoreceptors are the most sensitive Thirst stimulation is major method of correcting dehydration Release of ADH helps to conserve water Volume receptors in veins & atria only triggered by large decrease in volume However, large amounts of ADH released when triggered (emergency response!)
140
What causes diabetes insipidus
ADH dysregulation
141
What are the 2 types of diabetes insipidus
Neurogenic diabetes insipidus - Inadequate ADH release from pituitary Nephrogenic diabetes insipidus - Inadequate response within the kidney
142
How is diabetes insipidus diagnosed
Injection of exogenous ADH - Concentrated urine: neurogenic * ie compensates for failure to produce ADH - Dilute urine: nephrogenic * ie kidney fails to respond to extra ADH
143
What is the role of oxytocin with respect to lactation
Oxytocin stimulates milk let down Acts on smooth muscle cells - Uterine muscle during parturition - induces contraction of alveoli of mammary glands Release regulated by neuronal reflexes
144
Describe the neuronal transmission of lactation
High density of sensory nerve fibers in teats detect suckling or preparation for milking Impulses transmitted via superficial sensory pathways & inguinal nerve Afferent sensory neurons enter lumbar segments of spinal cord Ascend the spinal cord sensory tracts To thalamus, influence cell bodies of neuroendocrine cells Secretion of oxytocin from nerve endings in posterior pituitary gland into circulation Sensory input: smell, sounds, sight of calf
145
What are the effects of oxytocin on the mammary gland
Increases pressure within alveoli Reduces resistance in excretory ducts Reduces resistance in teat canal Result: Increased milk outflow
146
Describe the role of oxytocin during pregnancy
Preparation for delivery Stimulate milk let down
147
What is the neuroendocrine reflex during parturition
Stimulate sensory nerve endings in cervix Afferent nerve impulses to hypothalamus Neuroendocrine cells of paraventricular & supraoptic nuclei depolarize Secrete oxytocin from pars nervosa (posterior pituitary gland) Enters blood circulation Act on oxytocin receptors of myometrium Strong uterine contractions
148
What is the clinical relevance of oxytocin in parturition
Oxytocin can be administered to induce parturition in horses Oxytocin will induce contractions & help expel retained placenta Used to clear fluid from the uterus (metritis)
149
What volume of fluid must dogs & cats consume to be considered polydipsic
150
What volume of urine must cats and dogs produce to be considered polyuric
50ml/kg/day
151
Name 2 stimuli that may cause ADH release
increased plasma osmolarity low blood volume
152
Name causes of central diabetes insipidus
trauma idiopathic brain tumour
153
Name 2 endocrinopathies that cause secondary neprhogenic diabetes insipidus
hypercalcaemia hypoadrenocorticism
154
Name non-endocrine diseases that cause secondary neprhogenic diabetes insipidus
infections with bacteria that produce toxins that interfere with ADH action e.g. pyelonephritis, pyometra
155
What would you expect to happen to urine specific gravity of a dog given synthetic ADH if it had central diabetes insipidus
increase - kidneys absorb more water so urine becomes less diluted
156
What would you expect to happen to urine specific gravity of a dog given synthetic ADH if it had primary nephrogenic diabetes insipidus
remain low - kidneys are unable to respond to ADH regardless of amount of hormone
157
What are the components of the diencephalon?
epithalmus thalmus hypothalamus
158
What are the nuclei of the hypothalamus and what are their functions?
Paraventricular (PVN) - oxytocin, ADH, TRH, CRH Supraoptic (SON) - oxytocin, ADH Suprachiasmatic (SCN) - circadian rhythm Lateral (LN) - arousal, hunger Arcuate (AN) - energy, GnRH Mammillary - wakefulness
159
how does the hypothalamus act as a biological clock?
light sensed by retina, nerve signal arrives at hypothalamus (suprachiasmatic nucleus) Stimulates pineal gland (melatonin)
160
What connects the hypothalamus and the anterior pituitary?
hypophyseal portal veins
161
What is tonic and episodic secretion?
tonic = constant secretion with increases and decreases Episodic = pulses/surges
162
what is the function of growth hormone?
Stimulates IGF-1 secretion from liver Growth Stimulates protein synthesis Stimulates lipolysis Inhibits glucose utilisation (inhibits insulin)
163
What causes gigantism/giantism?
pituitary hyperactivity or neoplasia before adolescence
164
What causes acromegaly?
pituitary disorders after adolescence