Week 6 Flashcards

(86 cards)

1
Q

Why should Ca be given IV to a cow with milk fever rather than subcut?

A

much faster

Poor peripheral supply in milk fever so subcut would take a long time to take effect

How well did you know this?
1
Not at all
2
3
4
5
Perfectly
2
Q

Why is it important to auscultate heart of cow while administering Ca for milk fever?

A

if given too quickly can cause atrial fibrillation and general cardiac arythmias

How well did you know this?
1
Not at all
2
3
4
5
Perfectly
3
Q

What are the signs of successful milk fever treatment in cows?

A

Should be fast
Stand up
Burp/eructation
Feel for rumen turnover
Defecation
Heart slowing, no dysrhythmia

How well did you know this?
1
Not at all
2
3
4
5
Perfectly
4
Q

What are the early warning signs of milk fever?

A

teeth grinding
loss of appetite
stiff legs
constipation
increased resp rate
muscle tremors
hyperactivity

How well did you know this?
1
Not at all
2
3
4
5
Perfectly
5
Q

What is the source of growth hormone?

A

somatotropes in anterior pituitary

How well did you know this?
1
Not at all
2
3
4
5
Perfectly
6
Q

What are the short & long term effects of GH (growth hormone) & IGF-1 (insulin-like growth factor-1)

A
How well did you know this?
1
Not at all
2
3
4
5
Perfectly
7
Q

Why can GH not be given orally?

A

Would be digested

How well did you know this?
1
Not at all
2
3
4
5
Perfectly
8
Q

Describe the promotion of protein synthesis by GH and IGF-1 (growth response)

A

increased nuclear transcription

Increased translation

Increased AA transport
through cell membrane

Decreased catabolism of proteins and AAs

How well did you know this?
1
Not at all
2
3
4
5
Perfectly
9
Q

What is the stimulus for GH release? (starvation response)

A

Decreased blood glucose
Decreased blood free FAs
Decreased protein
Trauma, stress, excitement
Exercise

How well did you know this?
1
Not at all
2
3
4
5
Perfectly
10
Q

Describe the physiological effects of GH in the starvation response?

A

Rapid catabolic actions => hyperglycaemia

Increased rate of protein synthesis

Increased lipolysis

Promotes hyperglycaemia:
- decreased glucose transport across cell membranes
- increased insulin antagonism
- increased gluconeogenesis

How well did you know this?
1
Not at all
2
3
4
5
Perfectly
11
Q

Describe the features of IGF-1

A

Mimics effects of insulin on growth

Stimulated by GH

Produced mainly by liver

Bound to carrier proteins - increases half life

How well did you know this?
1
Not at all
2
3
4
5
Perfectly
12
Q

Describe the effect of IGF-1 on bone

A

increases chondrocytes and osteogenic cell replication

increase chondrocytes and osteogenic cell protein deposition to promote bone growth

converts chondrocytes to osteoblasts to form new bone

How well did you know this?
1
Not at all
2
3
4
5
Perfectly
13
Q

Describe bone growth

A

Open growth plates or epiphyseal cartilage

GH => increased cartilage deposition

GH => stimulates osteoblasts

Cartilage mineralises => increased bone length

Growth plates close

Epiphyseal cartilage fused to bone shaft (diaphysis)

How well did you know this?
1
Not at all
2
3
4
5
Perfectly
14
Q

What is the mechanism of pituitary dwarfism

A

Mutation of a gene coding for a transcription factor that regulates pituitary stem cell differentiation

Defect occurs after corticotrope differentiation (ACTH not affected)

Decreases GH, TSH, prolactin and gonadotropins

Can be accompanied by a cyst

How well did you know this?
1
Not at all
2
3
4
5
Perfectly
15
Q

What are the clinical features of pituitary dwarfism

A

proportionate growth retardation

Soft woolly hair coat:
- lack of primary hairs

Truncal alopecia

Lethargic

Decreased appetite

appear systemically ill

How well did you know this?
1
Not at all
2
3
4
5
Perfectly
16
Q

What can occur secondary to pituitary dwarfism

A

secondary hypothyroidism - thyroid hormones have a large impact on brain development

How well did you know this?
1
Not at all
2
3
4
5
Perfectly
17
Q

What is the effect of pituitary dwarfism on reproductive function

A

Decreased gonadotropins

Males:
- uni/bilateral cryptorchidism

Females:
- persistent oestrus
- failure to ovulate (low P4)

How well did you know this?
1
Not at all
2
3
4
5
Perfectly
18
Q

How is pituitary dwarfism diagnosed

A

Decreased IGF-1

Decreased GH (pulsatile so difficult to diagnose with this)

Dynamic pituitary stim test
- baseline blood sample
- inject GH stimulant
- healthy dogs: GH increase 2-4x
- pituitary dwarfism: no GH increase

How well did you know this?
1
Not at all
2
3
4
5
Perfectly
19
Q

What are the effects of GH excess

A

Giantism - develops in young patients before closure of epiphyses

Acromegaly - develops in adult patients after closure of epiphyses

How well did you know this?
1
Not at all
2
3
4
5
Perfectly
20
Q

What is the cause of pituitary dwarfism

A

congenital (spontaneous mutation)

hereditary in german shepherds

How well did you know this?
1
Not at all
2
3
4
5
Perfectly
21
Q

What is the effect of giantism

A

All tissue grow excessively

Hyperglycaemia (GH antagonises insulin)

Pancreatic failure due to overworking

Diabetes mellitus

Panhypopituitarism

How well did you know this?
1
Not at all
2
3
4
5
Perfectly
22
Q

Describe the effects of acromegaly

A

Long bones can no longer grow

Membranous bones continue to grow:
- broad coarsened facial feature
- prognathism (protrusion of mandible)
- nose
- feet (paw enlargement)

Increased facial soft tissues:
- increased soft tissue over eyes
- macroglossia (large tongue)
- increased interdental spaces

Internal organomegaly:
- heart
- liver
- kidneys

How well did you know this?
1
Not at all
2
3
4
5
Perfectly
23
Q

What is the most common cause of feline acromegaly

A

pituitary tumour secreting excess GH

How well did you know this?
1
Not at all
2
3
4
5
Perfectly
24
Q

why are cats with acromegaly usually diabetic

A

Acromegaly most common cause of insulin resistance in diabetic cats

Higher insulin doses required to treat diabetes due to GH causing insulin resistance

How well did you know this?
1
Not at all
2
3
4
5
Perfectly
25
What is the cause of acromegaly in dogs?
induction of GH gene in mammary glands (mammary GH identical to pituitary GH)
26
Describe the diagnosis of acromegaly
IGF-1 concentration - reflects GH over last 24 hrs GH concentration (pulsatile) Dogs - history of natural or exogenous progesterone exposure Cats - CT or MRI brain scan
27
What is lactogenesis & galactopoiesis
Lactogenesis = start of milk production Galactopoiesis = maintenance of milk production
28
Describe hormonal stimulation of lactogenesis
1. Towards end of gestation P4 levels decline and E2 levels rise 2. E2 stimulates prolactin release from anterior pit gland and increased number of prolactin receptors on mammary cells 3. surge in prolactin in hours before parturition 4. glucocorticoids (e.g., cortisol) levels rise prior to, and during parturition 5. cortisol binds to receptors on mammary cells and induces increase in RER 6. this allows increase secretion of a-lactalbumin and B-casein (major components of milk)
29
Describe the hormonal control of galactopoiesis
1. thyroid hormones ensure mammary gland is high priority for nutrient delivery by reduced conversion of T4 to T3 in liver and kidney but increasing it in mammary tissue 2. suckling induces increase in prolactin release 3. removal of milk from udder is necessary for continuation of galactopoiesis 4. GH partitions additional nutrients to mammary cells to increase synthesis of milk protein, lactose and milk fat 5. GH antagonises action of insulin to inhibit lipogenesis and stimulate HSL to mobilise FA stores to be converted into milk fat
30
What happens to milk production if milk is not removed from udder?
Reduction in density of prolactin receptors and down-regulation of milk synthesis
31
What is Posilac (bovine somatotropin) used for?
Given at peak lactation to extend and maintain peak production
32
Describe the dangers of using bovine somatotropin
bST may increase risk of metabolic disorders as increased milk production => increased energy demand => can lead to negative energy balance => can contribute to ketosis and hepatic lipidosis
33
Describe mechanism of endocrine & exocrine system secretions
Endocrine system: - Secretes into bloodstream to reach target cells which may be distant from secreting cells Exocrine system: - Secrete via duct on an epithelial surface
34
Describe the 3 types of exocrine secretions
A. Apocrine - Membrane bound vesicles fuse with apical cell membrane; extrusion of secretion by exocytosis - e.g. milk B. Merocrine - Secretion released within fragments of apical cells - e.g. pancreas C. Holocrine - Intracellular secretion released during apoptosis - e.g. sebum
35
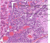
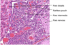
Label the pituitary gland
1 - pars distalis 2 - pars intermedia 3 - pars nervosa
36
What are the acidophils & basophils in the pituitary gland
Acidophils: - somatotrophs - mammotrophs Basophils: - corticotrophs
37
label the pituitary gland
38
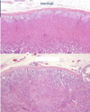
Label the adrenal gland
39
What adrenal gland pathology is present here?
Hyperplasia due to hyperadrenocorticism
40
Name the islet cells & secretions of the pancreas
alpha cells - glucagon Beta cells - insulin delta cells - somatostatin F-cells - pancreatic polypeptide
41
What hormone does the hypothalamus release when an animal encounters a stressor?
CRH (corticotrophin releasing hormone)
42
What is the main glucocorticoid release during the stress response in mammals?
cortisol
43
What is secreted instead of cortisol from the adrenal glands of reptiles, birds, amphibians and rodents?
Corticosterone
44
Why is calcium important in birds
Bone strength biochemical reactions Egg laying
45
Describe vitamin D sources in birds & reptiles
D3 form required (cannot use D2 like mammals) Sources: - Diet: plants have D2 - supplements - can convert D2=>D3 if sufficient UV-B light exposure
46
Describe calcium homeostasis in rabbits
Plasma Ca levels higher than mammals Need more calcium for constantly growing teeth Excess Ca precipitates as calcium carbonate in urine => cloudy urine (can cause urine to be sludgy if too much => UTI) All is passively absorbed in intestine Not vitamin D dependent
47
Describe ecdysis in reptiles & amphibians
= shedding of skin (epidermis) Lymph infiltrates between top and new underlying layers, forms cleavage zone, enzyme release, shed upper layer Controlled by thyroid hormones
48
Describe role of thyroid hormones in birds
Stimulate new feather growth (regulate moulting) Control metabolism Regulate heat and growth Regulate reproduction and egg production
49
Describe clinical relevance of thyroid hormone in birds
More susceptible to hypothyroidism and thyroid hyperplasia (goitre) Clinical signs: - skin and feather abnormalities - depression and lethargy - increased infection susceptibility - visible goitre - regurgitation and weight loss - respiratory abnormalities
50
Describe diagnosis of hypothyroidism in birds
T4 lower in birds - need bird-specific assays to detect T4 levels have diurnal rhythm (fluctuate over 24 hrs) TSH stim test used to assess T4
51
Describe pineal complex in reptiles
Pineal gland/organ: - endocrine gland in brain - produces melatonin - controls sleep/wake cycles (responds to light) Parietal eye: - photoreceptive structure - produces and secretes melatonin - response to light - controls sleep cycles, hormone production and thermoregulation
52
What is a homeotherm
Maintains constant internal body temperature e.g. mammals & birds
53
What is a poikilotherm
Rely on external environment to regulate body temperature e.g. lizards & snakes
54
What are the advantages & disadvantages of homeotherms
Advantages: - can regulate own body temp - stable activity levels as body temp is constant - diverse habitats as they dont rely on external temp for survival - high metabolic rate means they can process wide variety of food Disadvantages: - cannot survive in extreme temps - maintaining constant temp means high energy cost
55
What are the advantages & disadvantages of poikilotherms
Pros: - lower energy costs - can adapt to extreme environments Cons: - narrow habitat range - dietary constraints based on metabolic rates & temperature
56
Why is the normal body temperature of smaller animals higher than that of larger animals
They are smaller so have higher surface area:volume ratio allowing for more efficient heat exchange - also makes them more prone to heat stress they have a higher metabolic rate which requires more heat
57
How might you explain the color change?
Known as metachromatism
58
Which cells in lizards skin allows them to use metachromatism (color change)
chromatothropes (melanotrophes) containing melanin
59
Describe the physiological adaptations of frogs to prevent freezing in cold weather
produce cryoprotectants (e.g. glucose) which lower freezing point of bodily fluids to prevent ice crystal formation which damages cells They also hibernate in low temperatures & reduce metabolic rate to conserve energy
60
What strategies to birds use to lose heat in hot weather
Extending wings elevate scapula feather to expose skin at back of neck Shade seeking Bathing
61
Why do birds have poor tolerance for high temps?
no sweat glands
62
What is brown fat
type of adipose tissue that generates heat
63
What strategies are used by birds to conserve heat in cold weather
feathers are insulators tuck in legs & head seek shelter to reduce exposure to wind & cold temperatures shiver reduce activity through torpor basking in sunlight
64
Describe the cardiovascular adaptations of birds for thermoregulation
In heat: - can shunt blood away from left ventricle to legs to aid heat loss In cold: - countercurrent heat exchange in aquatic and wading birds: - cold blood flowing up from foot cools blood flowing towards foot - warm blood flowing down to feet warm up cold blood travelling up - decreases temp gradient between water and arriving blood so heat exchange is slower
65
Describe the respiratory strategies for thermoregulation in birds
Birds can lose heat by - evaporation and dissipation from oral mucosa by thermal panting and gular fluttering - dissipation of heat via air sacs when running and flying
66
Define shivering
involuntary rapid contraction/relaxation of muscles to generate heat
67
What is non-shivering thermogenesis
increase in metabolic heat production not association with muscle activity
68
What behavioural strategies do small mammals use to thermoregulate
burrowing nocturnal activity panting seeking shade huddling reduce feeding in hot weather to reduce heat produced by digestion
69
Describe cardiovascular adaptations of small mammals for thermoregulation
Vasoconstriction and vasodilation arteriovenous shunting countercurrent exchange In tails, ears, face, paws
70
What is torpor and what physiological changes occur during torpor
state of reduced metabolic activity & lowered body temperature changes: - reduced metabolic activity - slowed heart rate - lower temperature - decreased resp rate
71
How do you calculate RER - resting energy requirements
For animals 2-45kg: RER = 30 x bodyweight(KG) + 70(Kcal) For animals <2kg or >45kg: RER = 70(Kcal) x bodyweight(KG)^0.75
72
What nutrients are important for skin & coat health?
Zinc - fat and protein metabolism Essential fatty acids Vitamin A - growth and repair of skin Vitamin E - protects skin cells from oxidant damage Vitamin C - helps heal wounds Protein - hair is made up almost entirely of protein
73
What is the impact of lack of protein or fats on skin & hair
Hair is made up almost entirely of protein - lack of protein => hair may fall out or become dry, weak and brittle Skin cells have touch membranes made of proteins and fats - lack of these => cell membranes weaken, allows water to escape and pathogens can enter easily
74
Which essential fatty acids do cats have to obtain from their diet
Taurine Arachidonic acid
75
What are predisposing factors for urolithiasis in rabbits
High dietary Ca Obesity Inactivity Genetics Dehydration Infections Metabolic disorders
76
Describe treatment for urolithiasis in rabbits
Diuresis bladder flushing under GA correction of underlying causes
77
What are predisposing factors for urolithiasis in guinea pigs
78
What are causes of dysecdysis in snakes
inadequate humidity and hydration: - needed for lymph and formation of cleavage zone Inability to initiate shed: -need rough surface to rub against Snake mites Skin lesions Scars Burns Hyperthyroidism
79
Define dysecdysis
abnormality in shedding process
80
What 3 things do reptiles need for calcium metabolism
81
What triggers hibernation in reptiles
82
What are the clinical impacts of insulin deficiency and how do you diagnose it
83
What are the clinical impacts of insulin excess and how do you diagnose it
84
What is the clinical impact of a mineralocorticoid & glucocorticoid deficiency
85
What is the clinical impact of just a glucocorticoid deficiency
86
What are the tests to confirm pituitary dependent vs adrenal dependent vs iatrogenic HAC