a. Deformitas kosmetik
b. Perbaikan fungsi neurologis
c. Mengurangi risiko infeksi SSP
d. Mengurangi risiko kejang
Pilihan jawaban
A.Semua benar
B.a dan c benar
C.a, b dan c benar
D.Hanya d yang benar
E.Semua salah
B
Defek nasal midline sebagai akibat dari abnormalitas perkembangan embrionik biasanya dikaitkan dengan lesi sebagai berikut, KECUALI?
Pilihan jawaban
A.Semua benar
B.Ensefalokel anterior
C.Glioma nasal
D.Tumor dermoid
E.Aestesioneuroblastoma
E
Manakah yang merupakan penyebab utama dari peningkatan angka kejadian limfoma SSP primer?
Pilihan jawaban
A. Kemoterapi kanker
B. Peningkatan deteksi dengan menggunakan MRI
C. Penurunan angka kematian akibat penyakit vaskular
D. AIDS
E. Paparan radiasi nuklir
E
Pasien dengan homonimous hemianopsia akibat lesi parietal akan menujukkan defisiensi gerakan mata _______ dari lesi, mengakibatkan optikokinetik nistagmus. Optikokinetik nistagmus ini akan berkurang bila bola mata berputar _________ sisi dari lesi.
Pilihan jawaban
A. Berlawanan dari sisi, menjauh dari
B. Jawaban A, B, C dan D semuanya salah
C. Ke arah sisi tersebut, menjauh dari
D. Berlawanan dari sisi, ke arah
E. Ke arah sisi, ke arah
E
Seorang wanita berusia 25 tahun dengan epilepsi mengkonsumsi sodium divalproex selama trimester pertama. Pasien ini mempunyai resiko yang menigkat untuk punya anak dengan ?
Pilihan jawaban
A. Sindrom Kallmann
B. Defek penutupan neural tube
C. Agenesis korpus callosum
D. Holoprosencephaly
E. Medulloblastoma
B
Infus cepat fenitoin intravena tidak dianjurkan karena dapat menimbulkan?
Pilihan jawaban
A. Amaurosis fugax
B. Hipotensi postural
C. Reaksi alergi
D. Aritmia jantung
E. Depresi nafas
6
Manakah diantara tipe tumor otak dibawah ini yang mengalami peningkatan kejadian akibat penggunaan telepon selular?
Pilihan jawaban
A. Astrositoma
B. Semua jawaban benar
C. Neuroma akustik
D. Meningioma
E. Semua jawaban salah
E
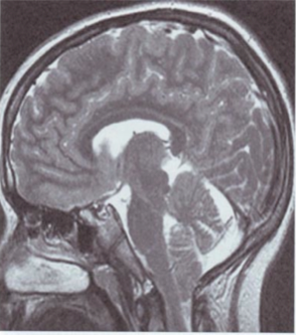
Perhatikan Gambar di bawah ini. Diagnosis manakah yang paling mungkin?
A. Sklerosis tuberus
B. Pakigiria
C. Invaginasi basilar
D. Malformasi Chiari I
E. Malformasi Chiari II

D
Ia telah mencoba menggunakan interferon B namun gagal, 2 bulan sebelum dirawat ia mengeluh lemah pada kedua kaki yang semakin memberat, kelelahan yang semakin meningkat, dan baal pada punggung bagian bawah, juga gangguan pendengaran pada kedua telinga saat bekerja. ia juga mengeluh agak “goyang “ ketika berjalan namun keluhan ini dirasa ringan.Manakah obat yang harus ditambahkan untuk terapi pasien ini?
A. Pemeriksaan CT SCAN bila ada perubahan status mental
B. Diet jantung sehat
C. Cekup neurologis setiap jam selama 48 jam
D. Ranitidin 150 mg
E. Pemasangan Central venous line
D
Neoplasma manakah yang dijelaskan pada fotomikrograf di bawah ini (Potongan H & E):
A. Limfoma
B. Medulloblastoma
C. Astrositoma Fibriler
D. Glioblastoma
E. Meningioma

D
Manakah yang akan menyebabkan hiperpolarisasi atas neuron yang istirahat (resting neuron) ?
A. Kenaikan konduktan Cl-
B. Kenaikan konduktan K+
C. Kenaikan konduktan Ca2+
D. Kenaikan konduktan Na+
E. Penurunan konduktan K+
B
Lesi yang ditunjukkan pada foto rontgen di bawah ini adalah
A. Myeloma multiple
B. Kista epidermoid
C. Fibrous displasia
D. Granuloma eosinofilik
E. Hemangioma

A
Di bawah ini adalah benar mengenai sel-sel Renshaw, KECUALI?
A. Sel-sel tersebut adalah bagian dari siklus umpan balik negatif ke neuron motorik
B. Sel-sel tersebut memfasilitasi interneuron inhibitory Ia yang bertindak sebagai antagonis neuron motorik
C. Sel-sel tersebut menerima masukkan dari jaras desenden
D. Sel-sel tersebut membuat hubungan divergen ke neuron motorik
E. Sel-sel tersebut menginhibisi neuron motorik yang mempersyarafi otot-otot sinergis
B
Unsur-unsur somato sensory evoked potencial (SSEP) atas saraf median meliputi semua unsur di bawah ini, KECUALI
A. Daerah Broadman 5 dan 7 (N24)
B. Substansi grisea dari spinal cord (B13)
C. Caudal medial lemniscus (P14)
D. Pleksus brakial (Titik Erb)
E. Otak tengah rostral (N18)
A
Multipel sklerosis merupakan penyakit demielinisasi terbanyak di US dan kira-kira mengenai 1 orang dalam.….
A. 5000
B. 10000
C. 100
D. 500
E. 1000
A
Apa yang tampak pada angiogram lateral di bawah ini ?
A. Arteri intersegmental proatlantal
B. Aneurism
C. Malformasi kavernus
D. Arteri hipoglosal persisten
E. Fistula arterial-Venus dural

B
Di manakah lesi yang dapat menyebabkan kelemahan anggota gerak badan atas ipsilateral; dan kelemahan kaki kontralateral paling sering terjadi?
A. Pons ventrolateral
B. Pons lateral ventral
C. Sambungan servikomedularis
D. Basis Pons
E. Kapsula interna bagian posterior
C
Seorang anak dengan deviasi cepat ke bawah pada kedua mata diikuti gerakan mata konyugat ke atas yang lambat kemungkinan menderita
A.Sklerosis multipel
B.Iskhemia “cervicomedullary junction”
C.Palsi serebral
D.“Subacute sclerosing panencephalitis”
E.Glioma pontin
E
Korea gravidarum hanya terjadi pada
A. Laki-laki pubertas
B. Pria depresi
C. Neonatus
D. Perempuan pubertas
E. Wanita hamil
E
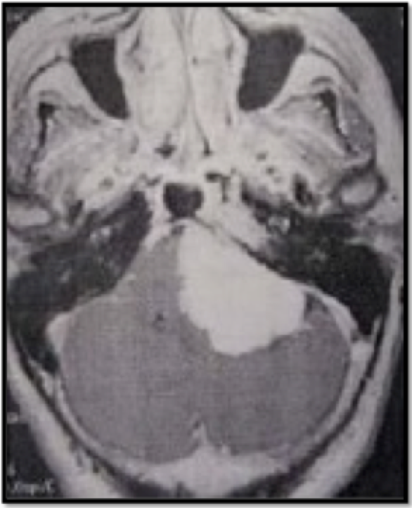
Apa yang tampak oleh MRI T1-weighted aksial dengan kontras di bawah ini ?
A. Schwannoma vestibular
B. Hemangioperisitoma
C. Astrositoma
D. Meningioma
E. Metastatis dural

D
Dua hari setelah kecelakaan kendaraan bermotor, seorang pria berumur 19 tahun mengalami sakit kepala hebat dan ‘racoon eyes’. Adanya ekimosis periorbital pada pasien dengan trauma kepala merupakan tanda dari?
A. Ablasio retina
B. Perdarahan subdural
C. Fraktur basis kranii
D. Hematom parenkimal
E. Jejas okular
C
Di antara karakteristik-karakteristik genetika di bawah ini, karakteristik manakah yang berasosiasi dengan glioblastoma sekunder yang disebabkan oleh perkembangan anaplastik dari astositoma grade rendah (berlawanan dengan glioblastoma de novo)?
A. Hilangnya heterozigositas 19q
B. Amplifikasi gen CDK4
C. Amplifikasi gen reseptor faktor pertumbuhan epidermal (EGFR)
D. Mutasi-mutasi p53
E. Hilangnya heterozigositas 9p
C
Pria 36 tahun dengan demam, sakit kepala, kacau prilaku dan menunjukan kejang fokal. CT-scan normal. Pasien terlalu lelah untuk melakukan MRI. Cairan serebrospinal menunjukan pleositosis limfositik sedang dan peningkatan sel merah dengan peningkatan protein ringan. Stain and counter immune electrophoresis normal. Apakah langkah selanjutnya dalam evaluasi dan tatalaksana pasien ini?
A. Sedasi untuk percobaan ulang MRI
B. Biopsi otak
C. Pemberian asiklovir
D. Pengobatan kortikosteroid
E. EEG
C
Paralisis upward, dan disosiasi respon pupil dengan cahaya dekat, retraksi nistagmus konvergen dan retraksi palpebra patologis paling sesuai dengan kelainan apa?
A. Kiste porensepalis lobus temporal
B. Hidrosepalus
C. Meningioma falx dengan ukuran 3 cm
D. Adenoma Hipofise
E. Malformasi arteri-vena lobus okipital
B