Manakah yang merupakan manajemen yang paling lazim atas luka yang ditunjukkan pada rekonstruksi CT 3D di bawah ini?
A. Reseksi Bedah
B. Radiasi terfokus
C. Kemoterapi
D. Steroid IV
E. Observasi

E
DI antara gejala neurologis di bawah ini, manakah yang paling mungkin ditunjukkan oleh pasien dengan CT Scan kontras di bawah ini?
A. Pusing-pusing dan lesu
B. Hemiparesis Kiri
C. Hemianopsia Homonimus kanan
D. Hemianopsia Temporal Bilateral
E. Afasia reseptif

B
Nn. X, 21 tahun dengan riwayat 2 minggu hidung tersumbat dan sakit kepala frontal, demam, leukositosis, dan bingung. bedasarkan hasil MRI T1 dengan kontras aksial di bawah ini, langkah apakah yang paling tepat mengelola kondisi ini?
A. Pemberian Antibiotik spektrum luas IV
B. Pemberian Steroid IV
C. Lumbar Puncture
D. Pengangkatan bedah darurat
E. Observasi UGD dengan Pengulangan CT Scan dalam 24 jam

D
Bayi, 8 minggu dibawa dengan perabaan massa kulit kepala, lesi apa yang ditunjukkan pada foto di bawah ini
A. Cephal Hematom
B. Dermoid
C. Granuloma Eosinopilik
D. Osteosarkoma
E. Kista Tulang Aneurisma

A
Tn X, 44 tahun dengan melanoma kutanus post reseksi lokal dan terapi radiasi. pasien datang dengan keluhan sakit kepala berat di frontal disertai dengan ambulasi. langkah yang paling tepat selanjutnya
A. Biopsi Meningeal
B. Ulangi Lumbar Puncture
C. Patch Darah Epidural
D. Angiografi Serebral
E. jawaban A, B, C dan D semuanya salah

C
Perhatikan gambar di bawah ini. Apa diagnosisnya?
A. Granuloma eosinopilik
B. Tumor Sel besar
C. Hemangioma
D. Foramen Parietal
E. Osteosarkoma

D
DI antara ciri-ciri di bawah ini, manakah yang tidak berasosiasi dengan gangguan yang ditunjukkan pada MRI T2 sagital di bawah

A. Prevalensi tertinggi di kalangan penduduk Jepang
B. 70 persen Kasus melibatkan sumsum servik
C. Lazim ada bersam-sama mielopati progresif
D. Radikulopati C5 merupakan komplikasi yang lazim dai pendekatan bedah depan
E. Lazim diidentifikasi pada X-ray polos spinal
E
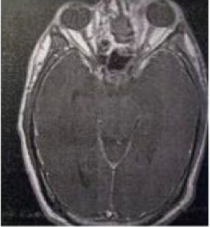
Pendekatan bedah manakah yang akan paling tepat untuk psien dengan tinnitus ringan dan kelainan sebagaimana yang ditunjukkan oleh enhance T1-weighted pada MRI
A. Retrosigmoid
B. Translanirintin
C. Fossa Media
D. Fossa Infratemporal Transpetrosal
E. Transkoklear

C
Seorang laki-laki usia 38 tahun dengan riwayat 2 hari sakit kepala parah, fotopobia, dan emesis. Hasil pemeriksaan pasien secara neurologik intak. hasil CT digambarkan di bawah ini. Hal apa yang TIDAK perlu dilakukan pada pengelolaan entitas ini?
A. Angiografi
B. Pemantauan Jantung
C. Pemantauan Elektrolit
D. Terapi Hiperdinamis
E. Pemantauan Hidrosepalus

E
Etiologi kelainan manakah yang paling mirip dengan yang ditunjukkan di bawah ini?
A. Naiknya tekanan intracranial
B. Penyakit Aterosklerotik
C. Infeksi SSP
D. Gangguan Neurodegeneratif
E. A, B, C dan D semuanya salah

A
Apa yang ditunjukkan oleh spesimen kasar di bawah ini
A. Sklerosis Majemuk
B. Kern Ikterus
C. Nekrosis Laminar
D. Zat abu Heterotopic
E. emboli Lemak

C
Pendekatan apa yang paling memungkinakan untuk digunakan dalam rangka memperileh paparan bedah ini
A. Trans-Sylvian pterional
B. Subtemporal
C. Suboksipital Garis tengah
D. Fossa Infra temporal
E. Transpetrous Prasigmoid

E
Anak dengan HIV-positif menunjukkan regresi perkembangan engan pelemahan motorik dan kognitif dengan kombinasi tanda piramidal dan sereberal, gambar ini adalah CT kepala pasien. apakah implikasi dari temuan pada CT tersebut?
A. Basal Ganglia Calcification seen in some children with HPE
B. Basal Ganglia Calcification as an Incidental finding to HPE
C. Calcification due to toxoplasmosis
D. Hemorrhage

A
Pasien dengan gambar ini diduga memiliki penyakit adanya lesi “port-wine stain” di wajah
A. Advanced age and lobar hemorrhage
B. Alcoholism and prone to falls
C. Port-Wine stain on the face
D. Retinal Angiomas
E. Subungual Fibromas

C
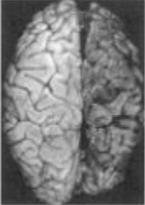
Perhatikan gambar, diagnosis manakh yang paling mungkin?
A. Penyakit metastasis
B. Sklerosis Majemuk
C. Infark Lakuna Majemuk
D. Penyakit Canavan
E. Penyakit Alexander

B
Pasien dengan gambaran seperti ini diduga kuat memiliki penyakit
A. Congestive Heart Failure
B. Fever and Chills
C. Headaches
D. Hemiparesis
E. Subarachnoid Hemorrhage

C
Gambar di bawah ini menunjukkan penyakit
A. Bacterial Meningitis
B. Candidiasis
C. Neuritic Plaques
D. Neurofibrillary tangles
E. Pick’s Bodies

C