Filum Lemak
A. Filum Lemak dengan tethered cord
B. Ependimoma mikropapilaris
C. Saluran Sinus Dermal
D. Hematoma Epidural
E. Tumor Dermoid

A
A. Spondilolistesis Istmik
B. Osteomielitis/distis
C. Artritis rheumatoid
D. Herniasi piring Intervertebral
E. A, B, C dan E semuanya salah

B
mekanisme luka manakah yang paling tepat untuk kondisi yang ditunjukkan oleh CT Scan Aksial di bawah ini
A. Hiperfleksi
B. Hiperekstensi
C. Pemuatan Aksial
D. Fleksion/ Rotasi
E. Distraksi

A
Mekanisme cedera pada fracture di bawah ini (CT Scan Aksial)
A. Retak Dislokasi
B. Kompresi Aksial
C. Distraksi Fleksi
D. Hiperekstensi
E. semuanya salah

B
di antara ciri di bawah ini. manakah yang tidak berasosiasi dengan gangguan yang ditunjukkan pada CT Mielogram di bawah ini?

A. Urat Tethered
B. Sindroma Klippel-Feil
C. Malformasi Chiari I
D. Skoliosis
E. Spina Bifida
C
Lesi Apa yang dijelaskan pada angiograf servikal AP di bawah ini?
A. Granuloma Eosinopilik
B. Osteoblastoma
C. Osteoma Osteroid
D. Osteosarkoma
E. Osteokondroma

E
penampilan histologis neoplasma manakah pada MRI-T2 tertimbang sagital di bawah ini yang paling Mungkin?
A. Sel-sel biru kecil dengan mitosis dan nekrosis prominen.
B. himpunan sel dengan susunan fasikular selang-seling
C. sel-sel yang memanjang dengan proses-proses sitoplasmik prominen dan pleomorfisme menial
D. Gumpalan-gumpalan kuboid yang dipisahkan oleh matriks mukoid prominen
E. sel-sel mengandung lipid di dalam jaringan padat saluran vascular

D
Ciri manakah yang TIDAK berasosiasi dengan gangguan yang ditunjukkan pada foto di bawah ini
A. Instabilitas Kranioservikal
B. Lebih lazim pada laki-laki muda
C. Retak-retak patologis
D. HLAD15
E. Sakroilitis

D
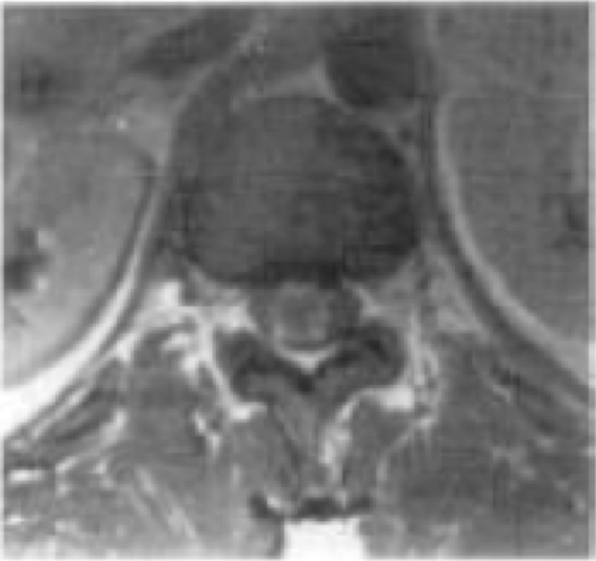
MRI T1-tertimbang dengan kontras aksial di bawah ini berlokasi di ruang piringan L3-4. struktur mana yang paling mungkin terkena kelainan yang ditunjukkan pada MRI ini?

A. Akar saraf L3
B. Akar saraf L4
C. A dan B
D. Bukan A dan B
A
Kelainan apakah yang ditunjukkan pada MR Scan T2 di bawah ini

A. Fragmen piring herniasi
B. Neurofibroma
C. Kista Sinovial
D. Osteosakroma
E. Kista Neurenteris
C
Diagnosis manakah yang paling mungkin pada gambar di bawah ini

A. Mielomeningocele
B. Sindroma regresi kaudal
C. Diastomielia
D. Spondilosis
E. Spondilolistesis
B
Manakah merupakan diagnosis yang paling mungkin pada seorang pasien dengan riwayat asma komplikasi dan MRI unenhance T1 sagital di bawah ini?

Granuloma Eosinopilik
B. Retak menyebar.
C. Hematoma Epidural
D. Lipomatosis Spinal
E. Osteomielitis
D
Perhatikan gambar diagnosis manakah yang paling mungkin

A. Retak adontoid
B. Disosiasi Atlanto-oksipital
C. Retak Hangman
D. Retak Kondilar
E. Disrupsi transverse Ligament
B
Ganggua manakah yang ditunnjukkanpada fotomikrograf kekuatan rendah di bawah ini?

A. Degenerasi gabungan sub-akut
B. Sklerosis majemuk
C. Taber Dorsalis
D. Sklerosis lateral amiotropik
E. Ataksia Friedreich
D
penyebab yang paling mungkin dari kelainan yang terdapat pada gambar T1-weighted di bawah ini adalah?

A. Neoplasia
B. Syrinx
C. Infarction
D. Hemorhage
E. Abscess
B
Pada pemeriksaan fisik pasien dengan syrinx pada daerah cervikal akan ditemukan
A. Third Nerve palsy
B. Calf Atrophy
C. Charcot Joints
D. Atrophy of the instrinsic hand muscles
E. Grasp Reflexes

D
Pasien ini mengeluhkan adanya ulkus pada jari-jari tangan pada kedua tangan. ulkus ini tidak nyeri dan tampak seperti bekas terbakar. kemungkinan letak lesi pada pasien ini adalah?
A. Posterior Column
B. Anterior Horn
C. Clarke’s Column
D. Spinothalamic tract
E. Spinocerebellar tract

D
Jenis lesi seperti ini kemungkinan terjadi pasca trauma leher bila terjadi

A. Hyperthermia
B. Hypothermia
C. Transient ISchemia
D. Contusion
E. Demyelination
D
Hasil pemeriksaan MRI postcontrast axial seperti di bawah ini didapatkan pada pasien
A. Acquired Immunodeficiency Syndrome (AIDs)
B. Chiari malformation
C. Disk Disease
D. Neurofibromatosis
E. Severe spinal coird trauma

A
Etiologi dari proses penyakit di bawah ini yaitu
A. Developmental
B. Iatrogenis
C. Infections
D. Neoplastic
E. Traumatic

A
Gambar berikut ini menunjukkan kelainan
A. Disk Herniation
B. Epidural Abscess
C. Meningioma
D. Metastasic disease
E. radiation change

B
Gambar berikut ini menunjukkan kelainan…
A. Has developmental cysts
B. Has multiple cafe au lait lesions
C. Is asymptomatic
D. Was recently diagnosed with lung cancer
E. Was thrown from Motorcycle

E
Gambar di bawah ini menunjukkan
A. Arachnoid cyst
B. Ependymoma
C. Lipomyelomeningocele
D. Meningioma
E. Neurenteric cyst

C
gambar di bawah ini menunjukkan
A. Disk Herniation
B. Diskitis
C. Ependymoma
D. Meningioma
E. Metastasic tumor

A