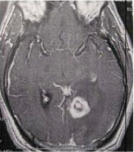
Tn X, 35 th dengan riwayat AIDS dibawa dengan status mental menurun dan demam derajat rendah. MRI T1-tertimbang aksial dengan kontras di bawah ini menunjukkan kelainan apa?
A. Limpoma SSP
B. Leukoensepalopati Multifokal Progresif
C. Kriptokokoma
D. Tuberkuloma
E. Toksoplasmosis

E
Seorang bayi prematur menunjukkan infantil spasms begitu masuk ke unit gawat darurat neonatal. MRI T2-tertimbang pasien di bawah ini?
A. Displasia Kortikal
B. Porensepali bilateral
C. Holoprosensepali
D. Infeksi Sitomegalovirus kongenital
E. Hidranensepali

D
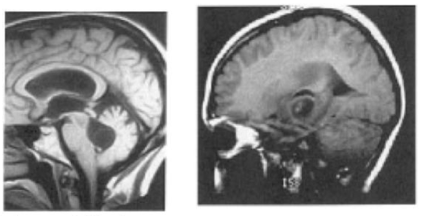
perhatikan gambar! diagnosis manakah yang paling mungkin (MRI T1-tertimbang)
A. Ensepalitis Herpes simpleks
B. Meningitis Bacterial
C. Glioma Ganas
D. Kokidiodomikosis
E. Limpoma

A
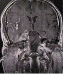
Gambar ini menunjukkan MRI Potongan koronal pada pasien dengan lesi massa. meskipun MRI tidak mendiagnosis, manakah patogen yang sering menunjukkan gambaran tersebut?
A. Aspergillus
B. Histoplasma
C. Cryptococcus
D. Macromycosis

A
A. meningitis purulen
B. Cedera otak traumatis
C. Stroke Emnolis
D. Infark aliran air
E. A,B,C dan D salah

A
Apa yang ditunjukkan oleh fotomikrograf di bawah ini
A. Plak Sklerosis Majemuk
B. Astrositoma Pilositik
C. Limpoma
D. Abses Serebral
E. Infark Embolis

D
Seorang pasien dengan sakit kepala dan demam dan hemiparesis ringan kiri, hasil laboratorium awal normal kecuali peningkatan ringan sel darah putih. gambar ini menunjukkan gambaran MRI otak dengan peningkatan T1-weighted. manakah diagnosis yang paling mungkin
A. Bacterial Abscess
B. Cysticercosis
C. Multiple metastasis
D. Toxoplasmosis

A
A. Hemangioblastoma
B. Juvenile pilocytic astrocy toma
C. Cysticercosis
D. Medulloblastoma
E; Growing skull fracture

C
A. Aneurysmal subarachnoid hemorrhage
B. Bacterial meningitis
C. Contusion
D. HSV-1
E. Subdural Hematoma

D