A. risiko tahunan pendarahan adalah sekitar 3%
B. Berasosiasi dengan bruit kranial dan gagal jantung kongestif selama periode neonatal
C. hilangnya gen penekan tumor pada kromosom 22
D. lesi ini biasanya ditemukan pada parenkima otak normal
E. mencerminkan adanya varian anatomis ekstrim dari pasokan darah arteri kortikal

D
Lesi yang dijelaskan di bawah ini paling mungkin berasal dari pembuluh darah yang mana?
A. Arteri Serebral tengah aksesoris
B. Arteri Frontopolar
C. Arteri Temporal Anterior
D. Arteri Temporal Belakang
E. Lentikulostriata

C
A. Sindroma Blue rubber bleb nevus
B. Aneurisma Bena Galen
C. Fistula kavernus-karotid
D. Hemangioblastoma intracranial pada infant
E. Sinus Pericranii

B
Manakah yang merupakanmanifestasi fisik yang paling lazim dari kelainan yang ditunjukkan pada angiogram di bawah ini?
A. Sakit Leher
B. Servikal Bruit
C. Kelemahan atau mati rasa pada lengan
D. Disestesia
E. Kehilangan penglihatan sekejap

B
Tn X, 38 tahun riw gangguan sensoris pada ekstremitas kiri atas yang trasnsient setelah kecelakaan motor, CT Scan kepala tidak begitu jelas. Angiogram carotid internal kanan pasien (sudut AP) tampak di bawah ini. apa langkah pengelolaan selanjutnya yang paling tepat?
A. Perawatan Endovascular
B. Antikoagulasi
C. Agen-agen antiplatelet
D. Intervensi Bedah
E. Ulangi angiografi dalam jangka waktu 2 sampai dengan 3 bulan

B
Kelainanyang dijelaskan pada angiogram karotid intern servik di bawah ini?
A. Diseksi Arterial
B. Arteritis takayasu
C. Sindroma MARFAN
D. Displasia Fibromuskular
E. Mitokondrial

D
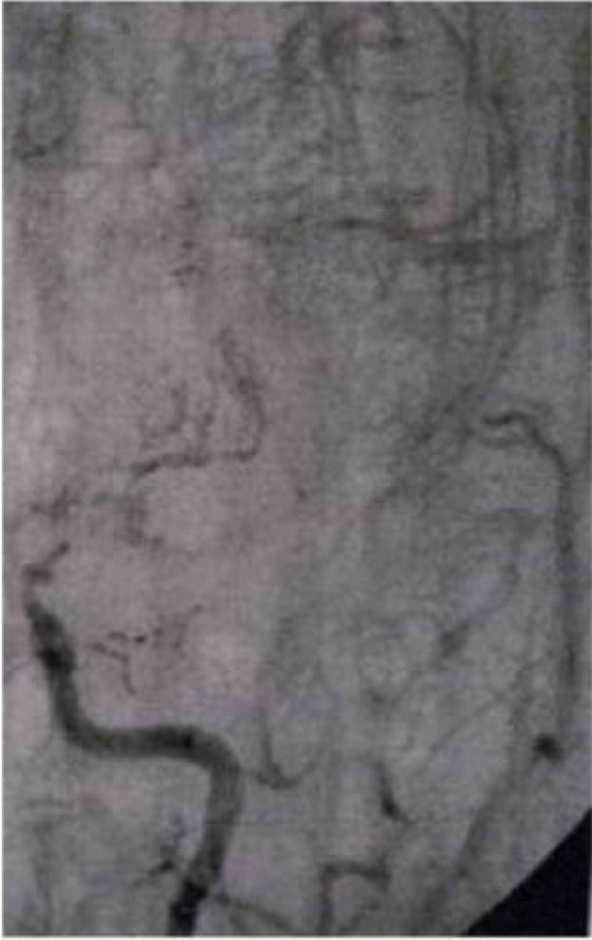
Neoplasma manakah yang ditunjukkan pada angiogram carotid luar (fase midarterial) di bawah ini?
A. Astrositoma
B. Papiloma Pleksus Karotid
C. Hemangioblastoma
D. Meningioma
E. Neurositoma sentral

D
Neoplasma intramedularis manakah yang ditunjukkan pada angiogram arteri vertebral fase arterial di bawah ini?
A. Astrositoma
B. Ependimoma
C. Hemangioblastoma
D. Meningioma
E. jawaban A, B, C dan D semuanya salah

C
A. Embolis
B. Metabolis
C. Kongenital
D. Hipoksia
E. Infeksi

Etiologi manakah yang paling mungkin berdasarkan lesi yang ditunjukkan oleh angiogram karotid internal lateral sebagai berikut (fase midarterial)?
A. Trauma
B. Kongenital
C. Infeksi
D. Diseksi
E. Aterosklerosis

C
Kelainan manakah yang dijelaskan oleh angiogram arteri karotid internal lateral di bawah ini?
A. Malformasi Arteriovenus
B. Angiitis primer dari SSP
C. Malformasi kavernous
D. Stroke Embolis
E. Moyamoya

D
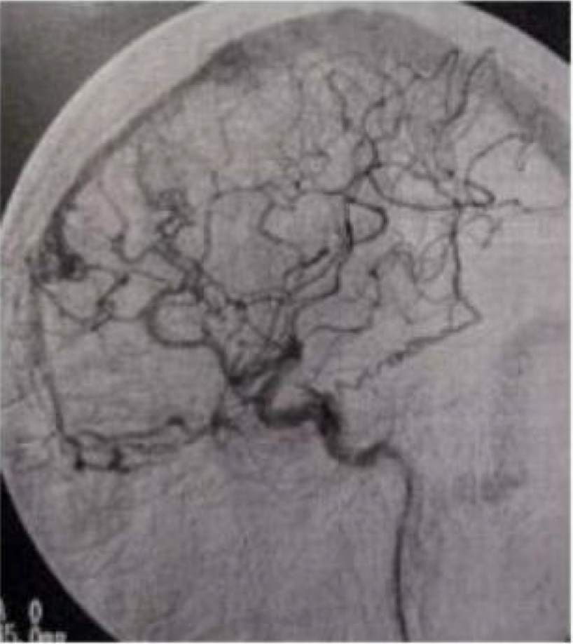
Kelainan manakah yang ditunjukkan pada angiogram AP arteri karotid kiri
A. Oklusi embolik akut
B. Diseksi arterial
C. Malformasi Arteriovenous dural
D. Moyamoya
E. Vaskulitis

D
Dengan apakah pembuluh (tanda panah) pada angiogram karotid internal lateral ini lazimnya berasosiasi?

B
Pengelolaan manakah yang paling tepat untuk lesi yang ditunjukkan pada angiogram karotid internal lateral di bawah ini?
A. Ulangi angiografi dalam waktu 6-12 bulan
B. Antikoagulasi Oral
C. Tidak diperlukan perawatan lebih lanjut
D. Perlakuan bedah segera
E. Tindak lanjuti MRA dalam jangka waktu 6-12 bulan

D
Apa yang ditunjukkan pada angiogram lateral di bawah ini?
A. Aneurisma
B. Fistula arterial-venus dural
C. Malformasi Kavernous
D. Arteri Hipoglosal persisten
E. Arteri Intersegmental proatlantal

A
Sirkulasi fetal persisten manakah yang tampak dalam angiogram karotid interna posisi lateral ini
A. Arteri trigeminal primitif
B. arteri otis persisten
C. Arteri Hipoglossal persistent
D. Arteri intersegmental proatlantal
E. Salah semua

A
Gambar berikut inimenunjukkan NBR bab 6 no. 49.JPG?
A. Aneurysm
B. AVM
C. Infarct
D. Normal Angiogram
E. Persistent trigeminal artery

C
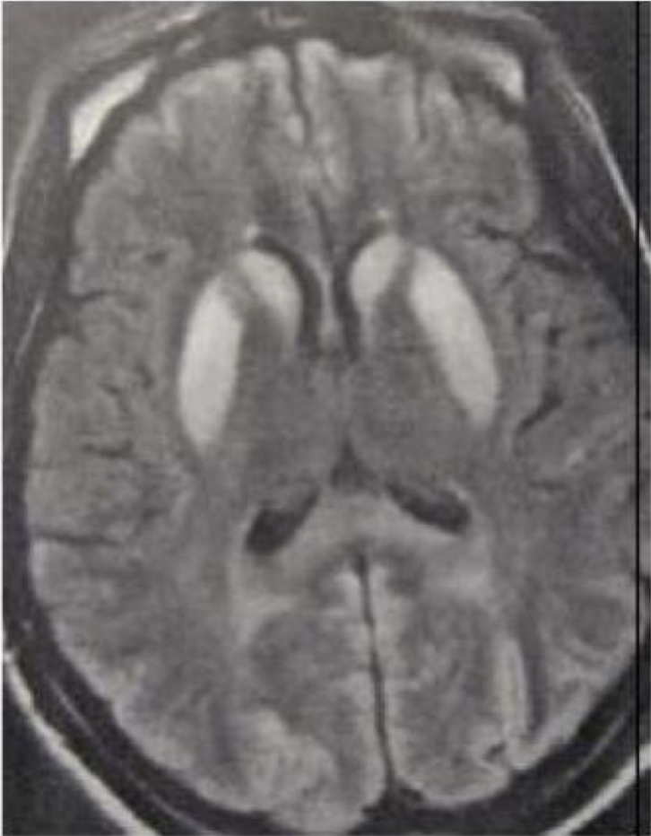
Gambar di bawah ini menunjukkan penyakit ?
A. AVM
B. Carotid Occlusion
C. Dural AVM
D. Meningioma
E. Moyamoya disease

D
Pengobatan terbaik pada pasien dengan kejadian iskemia multipel dan ditampilkan dengan angiogram yaitu?
A. Carotid endarterectomy
B. Encephalomyosynangiosis
C. Heparinization
D. Superficial temporal artery to middle cerebral artery bypass
E. no treatment

C
di bawah ini adalah gambar dari?
A. Fetal origin of the posterior cerebral artery
B. Moyamoya disease
C. Persistent acoustic artery
D. Persistent hypoglossal artery
E. Persistent Trigeminal Artery

A
Seorang laki-laki berusia 42 th menjalani prosedur neuroradiologis intervensional terapeutik. apa yang ditunjukkan oleh angiogram di bawah ini
A. pecahnya aneurismal intra-prosedural
B. Perfusi arteri serebral tengah yang buruk
C. Arteri tentorial yang membesar dan memasok malformasi arterial-venus pontin lateral
D. Fistula Arteri-vena dural
E. Fistula karotid-kavernous tipe II

A
Temuan proses patologis apakah yang tampak pada angiogram di bawah ini dan perlu terapi segera?
A. drainase vena kortikal retrograde
B. pengumpan artero meningeal majemuk
C. pasokan arteri karotid dalam dan luar berganda
D. Stroke embolik
E. Oklusi sinus venus

A