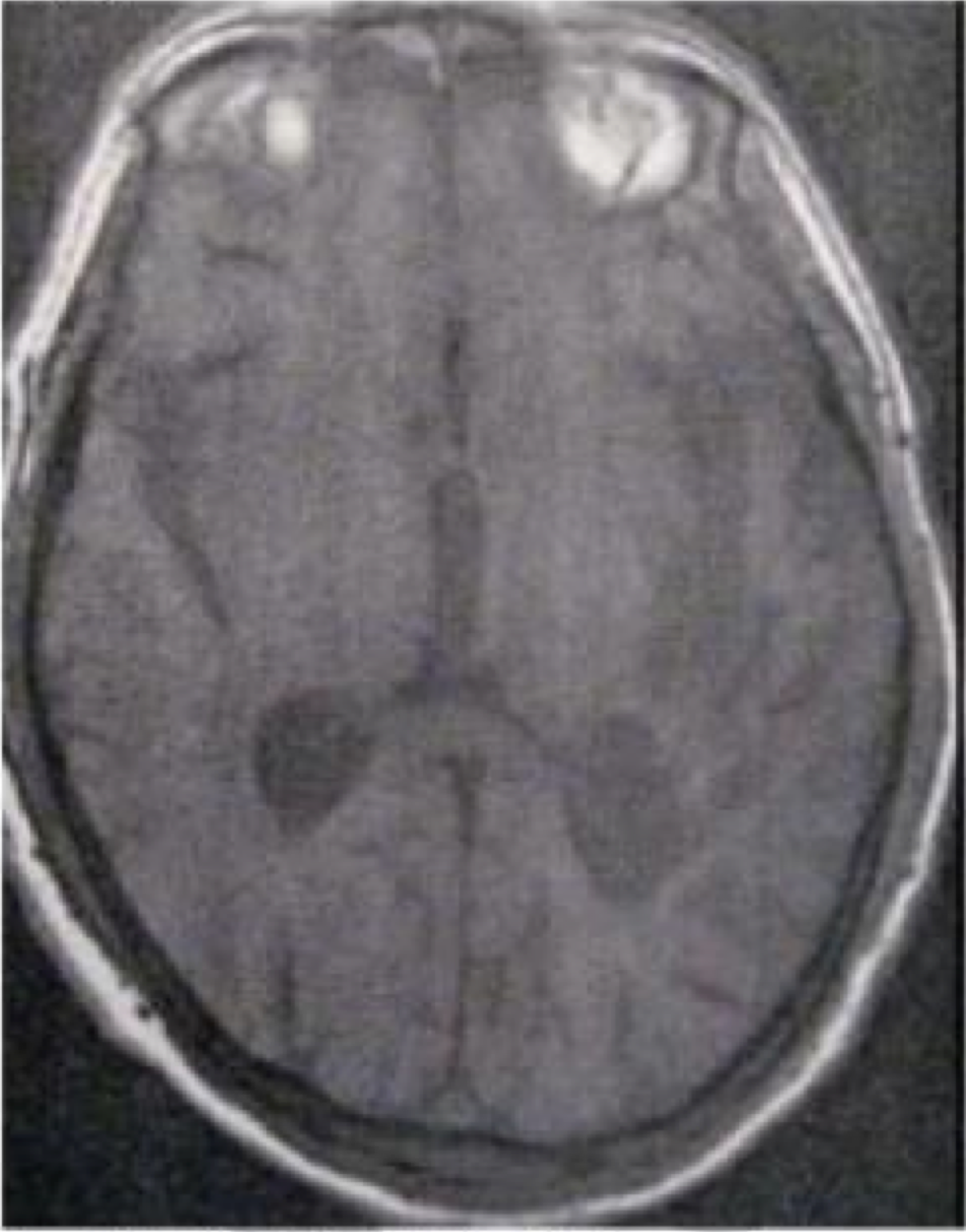
Kelainan manakah yang ditunjukkan oleh MRIT-1 terimbang non kontras di bawah ini?
A. Plak Multiple Sclerosis
B. Infark Akut
C. Infark Kronis
D. Astrositoma
E. A, B, C dan D semuanya salah

C
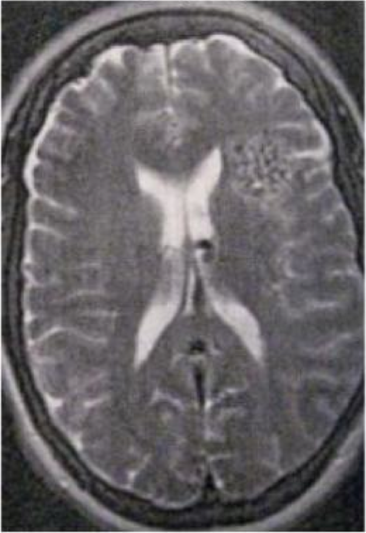
Manakah yang merupakan pola keturunan dari gangguan pada MRI T1-tertimbang aksial nonenhance di bawah ini?
A. Dominan Autosomal
B. Resesif autosomal
C. Rantai-X
D. Sporadis
E. Mitokondrial

A
Kelainan apa yang ditunjukkan pada MRI T2-aksial di bawah ini?
A. Malformasi Arteriovenus
B. Oligodendroglioma
C. malformasi Kavernus
D. Plask Sklerosis majemuk
E. Hemangioblastoma

A
Berapa taksiran usia hematoma pada CT scan aksial nonkontras di bawah ini?
A. Hiperakut
B. Akut
C. Sub-akut di awal
D. Kronis
E. Sub-akut di akhir

A
Oksihaemoglobin
A. Hiperakut : Sampai dengan 4-6 jam
B. AKut : interval 7-72 jam
C. Subakut dini : interval 4-7 hari
D. Subakut akhir : interval 1-4 minggu
E. Subkronis dini : mingguan sampai bulanan
F. Subkronis lambat : bulanan sampai tahunan
A
Deoksihaemoglobin Ekinosit
A. Hiperakut : sampai dengan 4-6 jam
B. Akut : interval 7-72 jam
C. Subakut dini : interval 4-7 hari
D. Subakut Akhir : Interval 1-4 minggu
E. Subkronis dini : mingguan sampai bulanan
F. Subkronis lambat : bulanan sampai tahunan
B
Methemoglobin Ekstraselular
A. Hiperakut : sampai dengan 4-6 jam
B. Akut : interval 7-72 jam
C. Subakut dini : interval 4-7 hari
D. Subakut akhir : interval 1-4 minggu
E. Subkronis dini : mingguna sampai bulanan
F. Subkronis lambat : bulanan sampai tahunan
D
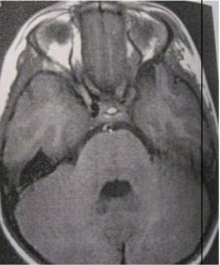
Bayi, 4 bulan dibawa dengan makrosepali. CT Scan Axial tidak enhance di bawah ini menunjukkan kelainan apa
A. Pineoblastoma
B. Malformasi Vein Gallen
C. Sinus Pericranii
D. Malformasi Kavernus
E. Teratoma

B
Berapa taksiran umur hematoma yang dijelaskan pada MRI T2 tertimbang aksial tanpa pertegasan

A. Hiperakut
B. Akut
C. Subakut di awal
D. Subakut di Akhir
E. Kronis
C
T. X, 58 tahun datang dengan sakit kepala hebat dan hemiparesis sebelah kiri. diagnosisnya adalah….

A. Perdarahan Hipertensif
B. Aneurisma Arteri serebral tengah yang pecah
C. Angiopati amilid
D. Vaskulitis
E. Malformasi venus-arterial yang pecah
A
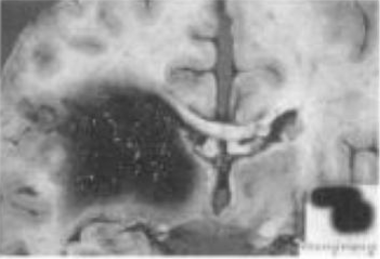
Kelainan manakah yang ditunjukkan pada MRI T2 aksial di bawah ini

A. Oligodendroglioma
B. Telangiektasia Kapilaris
C. Malformasi Cavernous
D. Angioma Venus
E. Koriokarsinoma
C
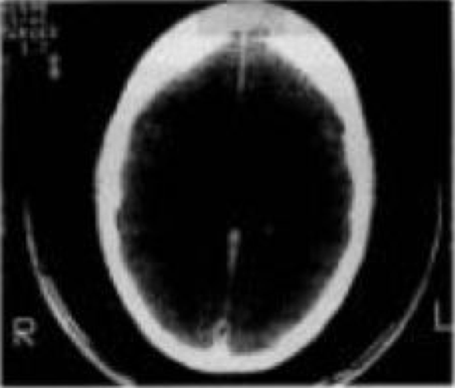
Temuan pada CT Scan di bawah ini paling sejalan dengan
A. Cedera kepala tertutup parah
B. Neurokistoserkosis
C. Kekerasan pada anak
D. Keracunan karbonmonoksida
E. Infeksi Kriptokokal

D
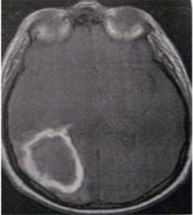
Gambar berikut ini menunjukkan…
A. Abscess
B. Artifact
C. Hemangioblastoma
D. Infarct
E. Metastasis

D
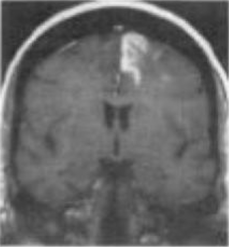
Gambar berikut ini menunjukkan penyakit…
A. AVM
B. Low-grade Astrocytoma
C. Multiple Sclerosis
D. Normal CT
E. Sagital Sinus Thrombosis

E
berikut ini adalah gambar dari penyakit…
A. Arteriovenous malformation (AVM)
B. Cavernous Hemangioma
C. CBM
D. Metastatic carcinoma
E. Tuberculoma

B
Kontusio
A. Aneurisma subarachnoid hemorrhage
B. Bacterial meningitis
C. Contusion
D. HSV-1
E. Subdural hematoma

C
A. Amyloid Angiopathy
B. Duret’s Hemorrhage
C. GMB
D. Hypertensive hemorrhage
E. Melanoma

D
berikut ini adalah gambar yang menunjukkan…..
A. cedera kepala tertutup parah
B. Neurokistoserkosis
C. Kekerasan pada anak
D. Keracunan karbonmonoksida
E. Infeksi Kriptokokal

D
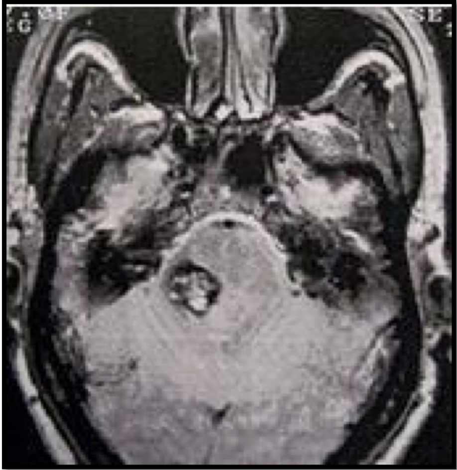
seorang perempuan usia 42 tahun dibawa ke bagian gawat darurat dalam keadaan berkunang-kunang dan citra MRI T2-weighted sebagaimana yang ditunjukkan pada gambar di bawah ini. diagnosis manakah yang paling mungkin?
A. Ganglioma lobe Temporal
B. Tumor neuroepiteliel disembrioplastis
C. Kista epidermoid
D. Aneurisma
E. Neurokistiserkosis

D
Temuan yang ditunjukkan pada CT Scan di bawah ini paling mungkin terjadi
A. pecahnya aneurisma berry
B. Infeksi
C. Diseksi arteri karotid ekstradural
D. Trauma
E. Pemberian Kontras

D
Apa yang ditunjukkan oleh gambar EKG di bawah ini
A. Infarksi miokardial
B. Hiperkalemia
C. Torsades des pointes
D. Toksisitas digoxin
E. Atrial Flutter

A
Kelainan apakah yang ditunjukkan oleh EKG di bawah ini???
A. Torsades des pointes
B. Hiperkalemia
C. Toksisitas digoksin
D. Blok jantung derajat pertama
E. Takikardia arterial multifokal

B