Adenoiditis Flashcards

(9 cards)

1
Q

Adenoiditis

A

Infección de las amígdalas faríngeas o adenoides

How well did you know this?
1
Not at all
2
3
4
5
Perfectly
2
Q

Es común en ________ y ocasiona __________

A

Niños
Obstrucción de las vías aéreas

How well did you know this?
1
Not at all
2
3
4
5
Perfectly
3
Q

Causas

A

Complicacio´n de ivas
Viral
Bacteriana

How well did you know this?
1
Not at all
2
3
4
5
Perfectly
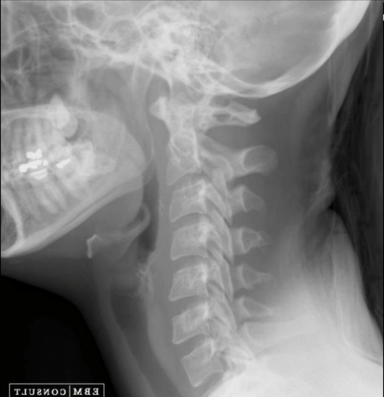
4
Q

¿Qué observas?

A

Una RX de cuello normal

How well did you know this?
1
Not at all
2
3
4
5
Perfectly
5
Q

Clínica

A

Boca abierta
Cara alargada
Mordida abierta
Hundimiento de pómulos
Respiración oral
Ronquido
Cuadro infeccioso

How well did you know this?
1
Not at all
2
3
4
5
Perfectly
6
Q

RX y qué encontramos

A

RX lateral de cuello con técnica blanda
- Obstrucción nasofaríngea
- Engrosamiento de adenoides

How well did you know this?
1
Not at all
2
3
4
5
Perfectly
7
Q

¿Qué señalan las estrellas?

A

Blanca - engrosamiento de adenides
Negra - estenosis de columna aérea

How well did you know this?
1
Not at all
2
3
4
5
Perfectly
8
Q

CT y qué observas

A

CT con reconstrucción sagital
Se ve oclusión de la nasofaringe

How well did you know this?
1
Not at all
2
3
4
5
Perfectly
9
Q

¿Qué observas?

A

Oclusión nasofaringe

How well did you know this?
1
Not at all
2
3
4
5
Perfectly