Doppler Flashcards

(24 cards)

1
Q

¿Para qué sirve?

A

Para evaluar vascularidad en tiempo real

How well did you know this?
1
Not at all
2
3
4
5
Perfectly
2
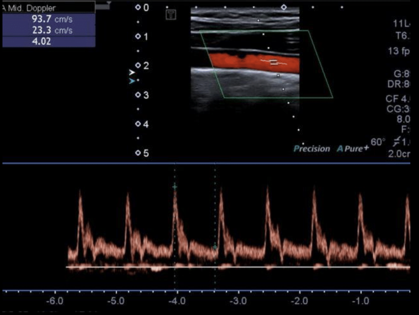
Q

Efecto doppler

A

Cambio en la frecuencia del sonido emitido por un cuerpo en movimiento

How well did you know this?
1
Not at all
2
3
4
5
Perfectly
3
Q

OJO

A

No es lo mismo encontrar una bola y picarle al botón del doppler para ver si tiene vasos, a realmente hacer un doppler que es el análisis de lo que capta el doppler

How well did you know this?
1
Not at all
2
3
4
5
Perfectly
4
Q

Indicaciones

A
How well did you know this?
1
Not at all
2
3
4
5
Perfectly
5
Q

¿En qué situaciones se pide doppler arterial de extremidades?

A
How well did you know this?
1
Not at all
2
3
4
5
Perfectly
6
Q

Clínica de patología arterial

A
How well did you know this?
1
Not at all
2
3
4
5
Perfectly
7
Q

Hallazgos de doppler arterial

A

Placas de ateroma
Ausencia ed flujo
Cambios en la onda

How well did you know this?
1
Not at all
2
3
4
5
Perfectly
8
Q

¿Cómo se le llama a la onda normal del flujo?

A

Trifásica

How well did you know this?
1
Not at all
2
3
4
5
Perfectly
9
Q

¿Onda anormal o trifásica?

A

Anormal

How well did you know this?
1
Not at all
2
3
4
5
Perfectly
10
Q

Indicaciones para doppler venoso

A

TVP
Insuficiencia venosa (várices)

How well did you know this?
1
Not at all
2
3
4
5
Perfectly
11
Q

Clínica de un problema venoso

A
How well did you know this?
1
Not at all
2
3
4
5
Perfectly
12
Q

Hallazgos del doppler en sistema venoso

A

Vaso no compresible
Vena ecogénica
Ausencia de flujo

*Imagen arriba es normal, abajo es anormal

How well did you know this?
1
Not at all
2
3
4
5
Perfectly
13
Q

Qué ves?

A

Trombosis venosa

How well did you know this?
1
Not at all
2
3
4
5
Perfectly
14
Q

¿Cómo se mide el reflujo venoso?

A

Se le pide al paciente que haga valsalva y en el doppler se invierte el flujo

How well did you know this?
1
Not at all
2
3
4
5
Perfectly
15
Q

Factores que afectan el aspecto de las ondas

A

Contracción cardiaca
Distensibilidad vascular (estenosis)
Resistencia vascular (remificaciones)

How well did you know this?
1
Not at all
2
3
4
5
Perfectly
16
Q
A

x = tiempo (segundos)
y = velocidad (cm)
positivo = por encima de la línea
negativo = por debajo de la línea

17
Q

Usos del doppler en arteria oftálmica

A

Embarazadas, para evaluar riesgo de preeclampsia

Riesgos en pacientes con falla cardiaca

18
Q

Uso de doppler en carótidas

A

EVC
Vértigo
Síncope

19
Q

Doppler en renal

A

Estenosis e hipertensión renal

20
Q

Doppler en aorta abdominal y cava

A

Aneurismas
Trombosis

21
Q

Doppler en vena porta

22
Q

Doppler en venas ováricas

A

Sx de congestión pélvica

23
Q

Doppler en arterias uterinas

A

Riesgo de preeclampsia

24
Q

Doppler en plexo pampiniforme (testículos)