Órbita Flashcards

(34 cards)

1
Q

Orbitopatía tiroidea =

A

Enfermedad de Graves

How well did you know this?
1
Not at all
2
3
4
5
Perfectly
2
Q

¿Qué es la enfermedad de graves?

A

Enfermedad autoinmune orbital asociada con disfunción de la tiroides

How well did you know this?
1
Not at all
2
3
4
5
Perfectly
3
Q

Cuadro clínico de enfermedad de Graves

A

Edema periorbital
Dolor
Retracción del párpado
Ojo seco
Diplopía
Exoftalmos

How well did you know this?
1
Not at all
2
3
4
5
Perfectly
4
Q

Epidemiología de enfermedad de graves:

A

Se presenta en adultos, sobre todo en mujeres. En los hombres es más severo

How well did you know this?
1
Not at all
2
3
4
5
Perfectly
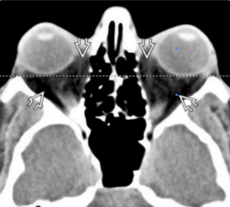
5
Q

¿Qué esperamos encontrar en estudio de imagen para enfermedad de Graves?

A

Agrandamiento bilateral de los músculos extraoculares y diametro disminuido en el nervio óptico por alargamiento

How well did you know this?
1
Not at all
2
3
4
5
Perfectly
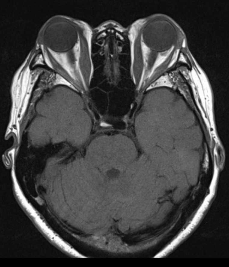
6
Q

Diagnóstico

A

Enfermedad de Graves

How well did you know this?
1
Not at all
2
3
4
5
Perfectly
7
Q

¿Cómo vemos los músculos en fase aguda de Graves, en secuencia T2 ?

A

Con aumento de señal

How well did you know this?
1
Not at all
2
3
4
5
Perfectly
8
Q

¿Cómo vemos los músculos en fase crónica de Graves, en secuencia T2 ?

A

Con disminución de señal

How well did you know this?
1
Not at all
2
3
4
5
Perfectly
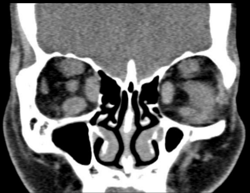
9
Q

Diagnóstico

A

Graves

How well did you know this?
1
Not at all
2
3
4
5
Perfectly
10
Q

Proptosis =

A

Exoftalmos

How well did you know this?
1
Not at all
2
3
4
5
Perfectly
11
Q

¿Porqué ocurre el exoftalmos?

A

Por una ocupación del espacio en la órbita

How well did you know this?
1
Not at all
2
3
4
5
Perfectly
12
Q

Causa más común de exoftalmos

A

Orbitopatía tiroidea

How well did you know this?
1
Not at all
2
3
4
5
Perfectly
13
Q

Cuadro clínico de exoftalmos

A

Edema palpebral
Dolor retroocular
Diplopia

How well did you know this?
1
Not at all
2
3
4
5
Perfectly
14
Q

Medida de diferencia en la exoftalmometría para decir que es anormal:

A

2mm

How well did you know this?
1
Not at all
2
3
4
5
Perfectly
15
Q

¿Cuál es el mejor estudio para exoftalmos?

A

RM

How well did you know this?
1
Not at all
2
3
4
5
Perfectly
16
Q

¿Qué signos observamos en TC y RM de exoftalmos?

A

Protrusión ocular anormal
Disociación del índice globo ocular-línea intercantal
- Masas ocupativas retrooculares

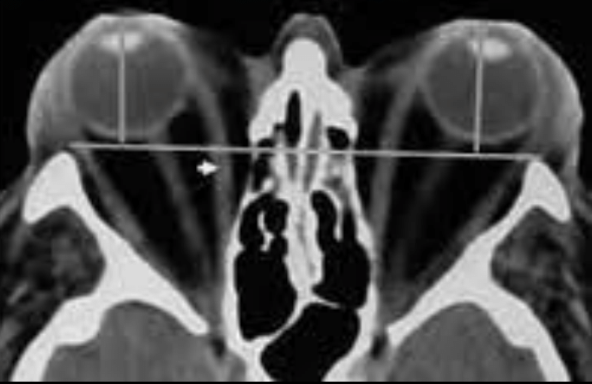
17
Q

¿Qué observas?

A

Aumento de grasa intraorbital y protrusión ocular

18
Q

Tumor maligno primario de la retina

A

Retinoblastoma

19
Q

Subtipos de retinoblastoma

A

Trilateral
Cuadrilateral

20
Q

Retinoblastoma trilateral se constituye por:

A

Retinoblastoma bilateral + tumor neoplásico intracraneal

21
Q

Retinoblastoma cuadrilateral se constituye por:

A

Retinoblastoma bilateral + tumor pineal + tumor supraselar

22
Q

Cuadro clínico de retinoblastoma

A

Leucocoria
Pérdida de visión
Estrabismo
Suele aparecer en niños de 18 meses

23
Q

Signo:

24
Q

¿Qué esperamos encontrar en los métodos de imagen para retinoblastoma?

A

Calcificaciones “machadas o punteadas” intraoculares

25
¿Para qué nos sirve la TC en retinoblastoma?
Para ver calcificaciones y el tumor con contraste
26
¿Para qué nos sirve la RM en retinoblastoma?
Mapeo del tumor Identificar hemorragia Evaluar implicaciones intra y extraoculares
27
¿Se puede usar US para retinoblastoma?
Si, se usa cuando no hay otra ocpión
28
Diagnóstico
Retinoblastoma
29
¿Qué es esto?
US de órbita, que señala un retinoblastoma y su zona de calcificaciones
30
Causa importante de ceguera:
Desprendimiento de retina
31
Tipos de desprendimiento de retina y sus causas:
Regmatógeno (más comun) - causado por traumatismo No regmatógeno - el tipo exudado por neoplasias y tipo traccional por retinopatía diabética
32
¿Cómo hacemos el Dx de desprendimiento de retina?
Fondoscopia US/TC RM
33
¿Qué estudio es y qué observas?
US observo desprendimiento de retina
34
¿Para qué nos puede servir una tc o una rm en desprendimiento de retina?
Para ver fluido subretiniano, neoplasias y trauma