Generalidades Flashcards

(67 cards)

1
Q

¿Quién inventó los Rayos X y qué parte anatómica fue la primera en verse?

A

Wilhelm Conrad Röntgen
La mano de su esposa

How well did you know this?
1
Not at all
2
3
4
5
Perfectly
2
Q

Los rayos x se definen como: radiación ____, ____, _____ e _____

A

artificial, ionizante, electromagnética e invisible

How well did you know this?
1
Not at all
2
3
4
5
Perfectly
3
Q

Se dice que las radiografías son en ____ y por eso nombramos las estructuras como radiolúcidas o transparentes

A

negativo

How well did you know this?
1
Not at all
2
3
4
5
Perfectly
4
Q

Radioopaco =

A

blanco / denso

How well did you know this?
1
Not at all
2
3
4
5
Perfectly
5
Q

Radiolúcido =

A

negro / poco denso

How well did you know this?
1
Not at all
2
3
4
5
Perfectly
6
Q

¿A qué hace referencia un revelado en húmedo de los Rayos X?

A

Imágen plasmada en película fotosensible

How well did you know this?
1
Not at all
2
3
4
5
Perfectly
7
Q

Desventajas del revelado en húmedo:

A

Se degrada con el tiempo y es de menor calidad

How well did you know this?
1
Not at all
2
3
4
5
Perfectly
8
Q

Los Rayos X son de gran utilidad para visualizar

A

Huesos y órganos con gas

How well did you know this?
1
Not at all
2
3
4
5
Perfectly
9
Q

Los Rayos X no son de utilidad para visualizar:

A

Tejidos blandos

How well did you know this?
1
Not at all
2
3
4
5
Perfectly
10
Q

Situaciones en las que se indica Rayos X

A

Trauma y sistema musculoesquelético, abdomen agudo, tórax

How well did you know this?
1
Not at all
2
3
4
5
Perfectly
11
Q

Desventajas importantes de los Rayos X

A

Radiación
Apariencia normal no excluye patología
Abuso en niños

How well did you know this?
1
Not at all
2
3
4
5
Perfectly
12
Q

¿Qué es una fluoroscopía?

A

Rayos X contínuos como en video o película

How well did you know this?
1
Not at all
2
3
4
5
Perfectly
13
Q

La imagen de los fluoroscopios se dice que está en ____ a comparación de los Rayos X

A

Positivo

How well did you know this?
1
Not at all
2
3
4
5
Perfectly
14
Q

Desventaja principal de la fluoroscopía

A

Mucha radiación

How well did you know this?
1
Not at all
2
3
4
5
Perfectly
15
Q

Ventajas y usos de la fluoroscopía (4)

A

Estudios contrastados
Colocación de sondas, catéteres, etc
Administración de medicamentos o anestésicos
Uso en cirugía ortopédica

How well did you know this?
1
Not at all
2
3
4
5
Perfectly
16
Q

V/F El ultrasonido es un método solamente diagnóstico

A

F - también es terapéutico

How well did you know this?
1
Not at all
2
3
4
5
Perfectly
17
Q

¿Cuál es el principio de funcionamiento del USG?

A

Ondas sonoras que generan un eco al chocar con estructuras

How well did you know this?
1
Not at all
2
3
4
5
Perfectly
18
Q

V/F el USG es totalmente inocuo (no causa daño)

A

F - causa vibración, calentamiento, cavitaciones y formación de radicales libres

Sin embargo la exposición que se acostumbra no es suficiente para lograr estos efectos

How well did you know this?
1
Not at all
2
3
4
5
Perfectly
19
Q

Dos patologías en las que el US es una herramienta básica de dx:

A

patologías de vesícula y abdomen agudo

How well did you know this?
1
Not at all
2
3
4
5
Perfectly
20
Q

Regiones anatómicas en las que se dificulta mucho el uso de USG

A

Lugares en donde haya gas (vía aérea, colon)

How well did you know this?
1
Not at all
2
3
4
5
Perfectly
21
Q

Dos desventajas importantes del US

A

Artificios y campo de visión limitado

How well did you know this?
1
Not at all
2
3
4
5
Perfectly
22
Q

Define el funcionamiento del doppler

A

Igual que el US pero hay cambios en la frecuencia del sonido, por ser emitido por un cuerpo en movimiento

How well did you know this?
1
Not at all
2
3
4
5
Perfectly
23
Q

Mientras más cerca del doppler:

A

Mayor frecuencia y tono

How well did you know this?
1
Not at all
2
3
4
5
Perfectly
24
Q

Único método de imágen en donde se pueden ver las paredes de las arterias con claridad

A

Doppler

How well did you know this?
1
Not at all
2
3
4
5
Perfectly
25
Aplicaciones del US terapéutico
Lesiones vasculares y/o superficiales
26
V/F El USG emite radiación
Falso
27
¿Cómo funciona la TC?
El tubo dispara Rayos X y gira para obtener distintos cortes
28
Mientras más detectores se usan en una TC:
Más rápido y menos radiación
29
¿Qué permite el ventaneo en la TC?
Escoger qué tipo de tejido quieres visualizar
30
Dos ventajas importantes de la TC:
Proporciona gran información anatómica y da información de la funcionalidad
31
Desventajas de la TC (3)
Artificios (metal) Mucha radiación Utilidad limitada en partes blandas
32
¿En quienes esta contraindicada la TC?
Embarazadas
33
Explica lo básico de cómo funciona la RM
34
Principio fundamental de la RM
Debe de haber la misma frecuencia para poder resonar
35
1 paso importante para poder hacer la RM:
Colocación de antena o bovina
36
Materiales comunes y seguros en la RM
Materiales no ferromagnéticos: Titanio, oro, aluminio, cobre, algunos brackets
37
¿Qué son las frecuencias de pulso en la RM y qué hacen?
Pulsos de ondas de radiofrecuencia que se repiten. Permiten controlar la recepción de la señal de la RM (frecuencia, (afecta la forma en la que vemos las imagenes)
38
Factores que determinan la frecuencia de pulso:
La potencia del campo magnético El fabricante La patología / condición/ estructura a evaluar Experiencia del Radiólogo
39
Características de las estructuras en secuencias T1 y T2 ?
T1 - lo más fiel a la anatomía- Líquido con señal baja (gris oscuro) T2 - líquido se ve con señal alta (blanco)
40
La RM es el único método de imagen que permite ver estas 3 cosas:
Médula Ósea Cartílago Estado de degradación de la hemoglobina
41
La RM de difusión es esencial en esta patología
Cáncer de próstata
42
¿Qué permite evaluar la tractografía? ¿Para qué se usa?
Tractos neuronales Para planear cirugías
43
¿Qué permite evaluar la espectroscopia?
Concentración de metabolitos tisulares -"biopsia in vivo"
44
¿Qué permite evaluar la BOLD RM?
Consumo de oxígeno y actividad cerebral regional al desempeñar una tarea
45
¿Qué permite evaluar el cartigram?
Detectar cambios bioquímicos en el colágeno
46
¿A qué nos referimos con efectos estocásticos en la protección radiológica?
Efectos que no dependen de un umbral o de una cantidad y se dan mucho tiempo después
47
¿A qué nos referimos con efectos determinísticos en la protección radiológica?
cuando se supera un umbral de dosis específico para un órgano o tejido
48
Define ALARA y di a qué se refiere
As Low as Reasonable Achievable Hace referencia a exponerse lo mínimo indispensable a la radiación. Costo-beneficio
49
NOM importante en la imagenología
NOM 229-SSA1-2002
50
¿Cuáles son las medidas de protección de la protección radiológica?
Tiempo, Distancia, Blindaje
51
Indicaciones de RM
Tejidos blandos, Neuro (enfermedades desmielinizantes)
52
La RM es básico en:
Sistema musculo-esquelético
53
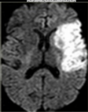
¿Qué método de imagen es este?
RM
54
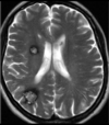
¿Qué método de imagen es este?
RM
55
¿Porqué nos sirve saber el estado de la hemoglobina en RM?
Para saber características de las hemorragias. Ej. cuándo ocurrió el sangrado
56
Secuencia de la RM que funciona captando el movimiento del agua
Secuencia de Difusión
57
¿Qué secuencia puede diagnosticar una isquemia cerebral en minutos?
Difusión
58
¿Qué método de imágen es esta? escribe el subtipo
RM de difusión
59
Secuencia que permite conocer la irrigación de un tejido
Secuencia RM de perfusión
60
¿Qué método de imagen es? escribe su subtipo
RM de perfusión
61
Ventajas importantes de RM
Gran detalle anatómico, alta sensibilidad y especificidad, no usa radiación ionizante
62
Desventajas de RM
Muchos artificios (mas que otros métodos de imagen), claustrofobia, costoso
63
¿Cómo se mide la fuerza del magneto de la RM? ¿Cual es la medida estándar?
Teslas 1.5
64
¿Quién es el padre de la TC?
Haunsfield
65
¿Quiénes son los padres de la RM?
Lauterbur y Mansfield
66
¿Quién es el padre del doppler y efecto doppler?
Doppler (apellido)
67
Materiales peligrosos dentro de una RM
Materiales ferromagnéticos o electromagnéticos: Acero, prótesis dentales, auxiliares auditivos, marcapasos, neuroestimuladores