Oído Flashcards

(24 cards)

1
Q

La mastoiditis es una ___________ de la otitis

A

complicación

How well did you know this?
1
Not at all
2
3
4
5
Perfectly
2
Q

¿Cómo se le llama a una otitis media + mastoiditis?

A

Otomastoiditis

How well did you know this?
1
Not at all
2
3
4
5
Perfectly
3
Q

¿Qué es Bezold?

A

Absceso por mastoiditis

How well did you know this?
1
Not at all
2
3
4
5
Perfectly
4
Q

La opacificación de las celdillas mastoideas significa:

A

Que la infección es crónica y el cuerpo comienza a formar hueso

How well did you know this?
1
Not at all
2
3
4
5
Perfectly
5
Q

El colesteatoma destruye:

A

Huesesillos del oido y mastoides

How well did you know this?
1
Not at all
2
3
4
5
Perfectly
6
Q

Cuadro clínico de otitis media

A

Pérdida unilateral auditiva de origen conductivo
● Obstrucció del tubo de Eustaquio
● Masa incidental del oído medio
● A menudo posterior a IVAs (infección de vías aéreas superiores) mal tratada

How well did you know this?
1
Not at all
2
3
4
5
Perfectly
7
Q

A qué edades se suele presentar la otitis media

A

4 a 20 años

How well did you know this?
1
Not at all
2
3
4
5
Perfectly
8
Q

Mejor estudio de imagen para otitis media

A

TC

How well did you know this?
1
Not at all
2
3
4
5
Perfectly
9
Q

¿Qué esperamos encontrar en una TC de otitis media?

A

Masa bien definida en oído medio y erosiones osiculares (de los huesesillos)

How well did you know this?
1
Not at all
2
3
4
5
Perfectly
10
Q

Diagnóstico

A

Otitis media

How well did you know this?
1
Not at all
2
3
4
5
Perfectly
11
Q

¿Cuándo esta indicada la RM en otitis media? ¿Qué diferencias hay entre secuencias?

A

En complicaciones
T1 - se ve masa hipointensa en oído medio
T2 - masa hiperintensa en oído y mastoides

How well did you know this?
1
Not at all
2
3
4
5
Perfectly
12
Q

Sospecha diagnóstica

A

Otitis media

How well did you know this?
1
Not at all
2
3
4
5
Perfectly
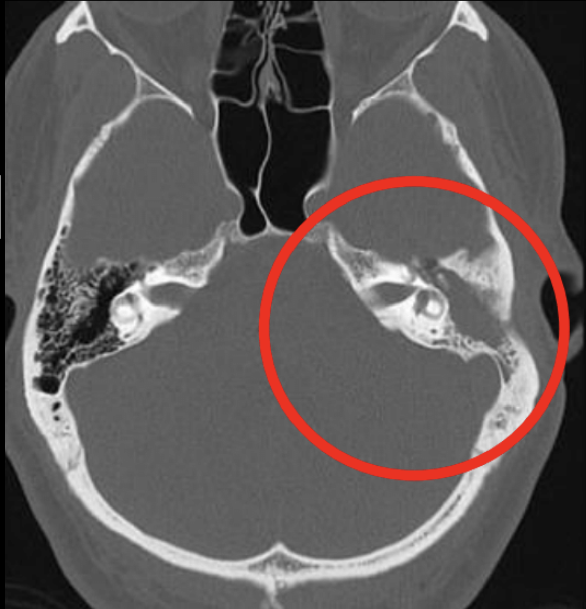
13
Q

¿Qué es la mastoiditis?

A

Infección de la apófisis mastoides que puede ser crónica o aguda

How well did you know this?
1
Not at all
2
3
4
5
Perfectly
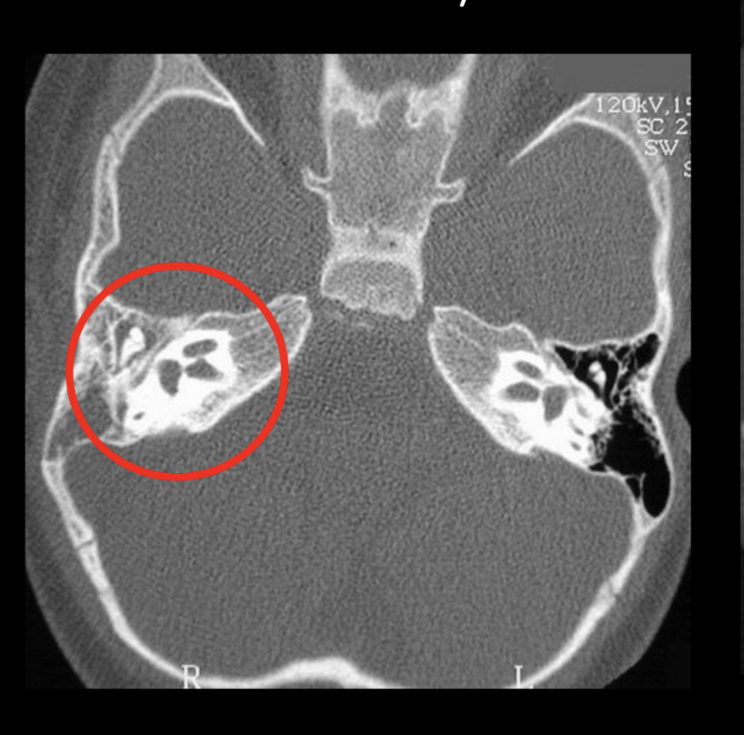
14
Q

Mejor estudio de imagen para mastoiditis

A

TC

How well did you know this?
1
Not at all
2
3
4
5
Perfectly
15
Q

Complicaciones de la mastoiditis

A

Abscesos que involucren al esternocleidomastoideo (BEZOLD) o que se extiendan a la fosa posterior o craneal media

How well did you know this?
1
Not at all
2
3
4
5
Perfectly
16
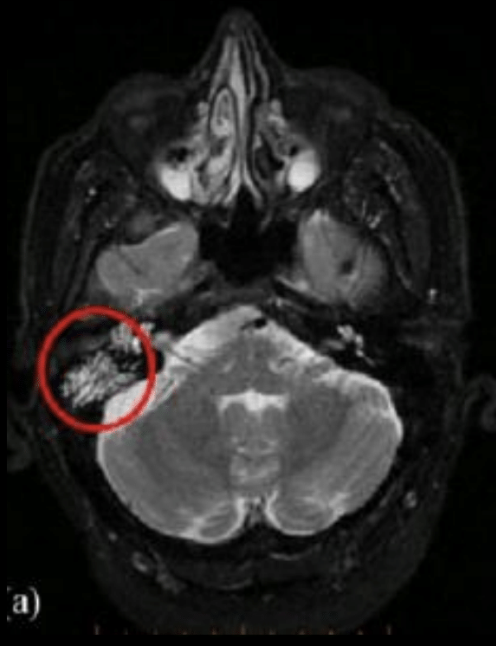
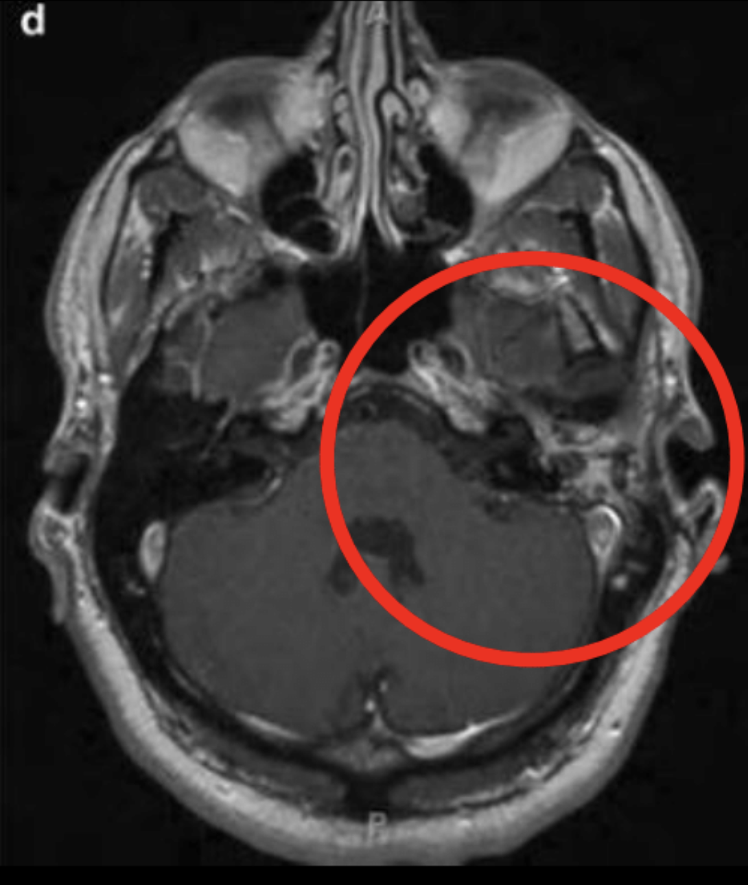
Q

Sospecha diagnóstica

17
Q

¿Para qué nos sirve la RM en otomastoiditis? ¿Qué ves en la imagen?

A

Para ver extensión intracraneal
Veo meningitis por la infección

18
Q

¿Qué es el colesteatoma?

A

neoplasia de teijdo epidérmico que crece en el interior del conducto auditivo

19
Q

V/F El colesteatoma es maligno

A

Falso, es benigno pero tiene comportamiento maligno

20
Q

El colesteatoma genera

A

Destrucción de hueso y cadena osicular

21
Q

Cuadro clínico del colesteatoma

A

Dolor retroauricular
Sordera
Cefalea
Meningitis

22
Q

¿Qué estudio es el único que puede diagnosticar colesteatoma en etapas tempranas?

A

RM de difusión

23
Q

Diagnóstico

24
Q

Diagnóstico