EVC Flashcards

(34 cards)

1
Q

¿Porqué puede haber hemorragia en un EVC por isquemia?

A

Por reperfusión: la permeabilidad de los capilares dañados aumenta y hay sangrado.

How well did you know this?
1
Not at all
2
3
4
5
Perfectly
2
Q

Mecanismo del EVC isquémico

A

Tromboembolismo o disección arterial - disminución de perfusión (penumbra) - interrupción del flujo sanguíneo - necrosis licuefactiva

How well did you know this?
1
Not at all
2
3
4
5
Perfectly
3
Q

Hasta el 60% de las TC serán normales en la fase ___ del EVC isquémico

A

Hiperaguda (0-6hrs)

How well did you know this?
1
Not at all
2
3
4
5
Perfectly
4
Q

¿Qué significa el signo de la ACM (arteria cerebral media) hiperdensa?

A

Que se ocluyó por un trombo

How well did you know this?
1
Not at all
2
3
4
5
Perfectly
5
Q

¿Qué es el signo de la cinta insular?

A

La pérdida de la diferenciación de la sustancia gris y blanca

How well did you know this?
1
Not at all
2
3
4
5
Perfectly
6
Q

Datos de imagen importantes en la fase aguda

A

Se borran los surcos y giros por “efecto de masa” causado por el edema

How well did you know this?
1
Not at all
2
3
4
5
Perfectly
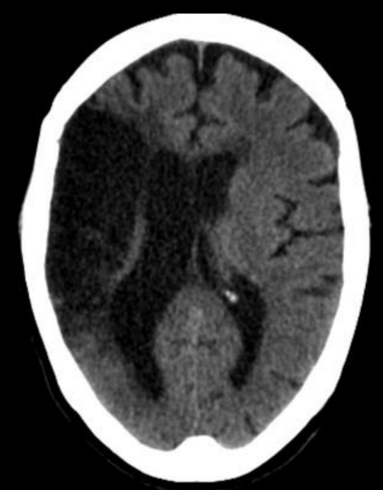
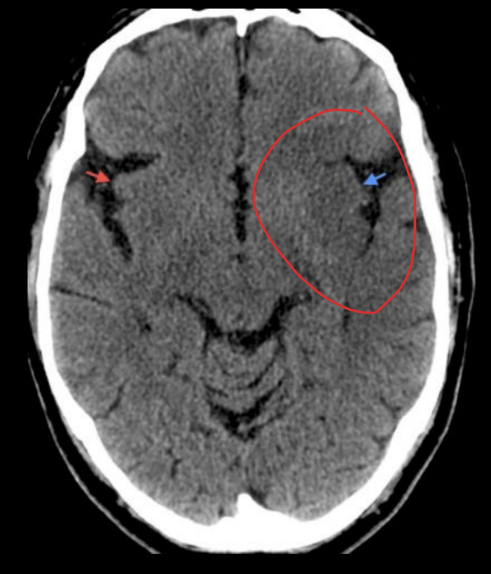
7
Q

¿Qué fase es? ¿Qué signo ves?

A

Fase aguda, efecto de masa

How well did you know this?
1
Not at all
2
3
4
5
Perfectly
8
Q

En la fase aguda puede haber complicaciones derivados del efecto de masa, tales como:

A

Herniación de estructuras

How well did you know this?
1
Not at all
2
3
4
5
Perfectly
9
Q

¿Cuándo comienza y cuánto dura la fase aguda?

A

7 -24 H

How well did you know this?
1
Not at all
2
3
4
5
Perfectly
10
Q

¿Cuándo comienza y cuánto dura la fase subaguda?

A

24 a 72 horas

How well did you know this?
1
Not at all
2
3
4
5
Perfectly
11
Q

En la fase subaguda la lesión se ve:

A

Mayor hipodensidad
Menor edema

How well did you know this?
1
Not at all
2
3
4
5
Perfectly
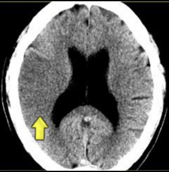
12
Q

¿Qué fase es?¿Porqué?

A

Subaguda
Por la hipodensidad del edema

How well did you know this?
1
Not at all
2
3
4
5
Perfectly
13
Q

¿Qué es la encefalomalacia?

A

La lesión jala los ventrículos y el parénquima (como el efecto de una cicatriz) y no hay surcos ni cisuras por la necrosis licuefactiva

How well did you know this?
1
Not at all
2
3
4
5
Perfectly
14
Q

¿Cuándo comienza y cuánto dura la fase crónica?

A

A los meses y dura años

How well did you know this?
1
Not at all
2
3
4
5
Perfectly
15
Q

¿Qué fase es? ¿Porqué?

A

Fase crónica
Se observa encefalomalacia

How well did you know this?
1
Not at all
2
3
4
5
Perfectly
16
Q

¿Porqué es importante tomar varias TC a los px?

A

Para controlar que en la fase subaguda no haya hemorragia

17
Q

¿En qué fase nos sirve la RM y qué secuencia se usa?

A

Se usa la secuencia de difusión en la fase aguda para ver el infarto

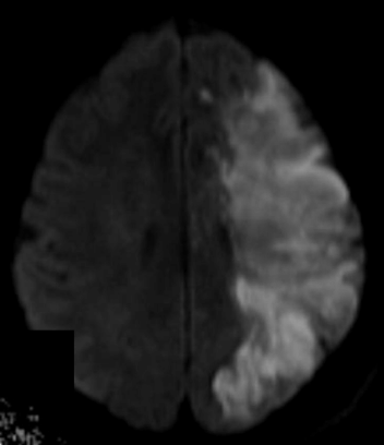
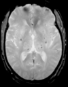
18
Q

En esta RM ¿qué parte es la infartada?

A

La hiperintensa

19
Q

¿Cuánto tiempo tardamos en hacer una RM de EVC?

20
Q

Dos presentaciones del EVC hemorrágico

A

Hemorragia parenquimatosa o subaracnoidea

21
Q

¿Cómo se ve la sangre fresca en TC?

22
Q

Causas de EVC hemorrágico

A

HTA
Aneurismas
Trombosis (EVC isqupemico)
Neoplasias
Angiopatías amiloides

23
Q

Tipo de EVC que se presenta en los ganglios basales de manera característica

A

EVC hemorrágico de etiología hipertensiva

24
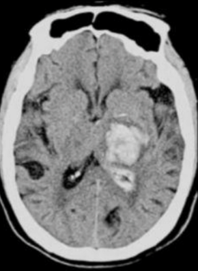
Q

¿Qué es?¿Porqué’

A

EVC hemorrágico - se ve la sangre hiperdensa y se encuentra en los ganglios basales

25
¿Qué es el signo del falso realce en la hemorragia subaracnoidea?
Los vasos del polígono de Wilis son visibles incluso sin contraste porque la sangre los rodea y se ve hiperdenso
26
¿Qué escala nos mide el riesgo de que el px sufra vasoespasmo después de una hemorragia?
Escala de FISHER
27
V/F los EVC isquémicos se pueden volver hemorrágicos y visceversa
V
28
¿Para qué nos sirve la angiotc en EVC hemorrágico?
Para buscar la causa como: aneurismas y MAVs
29
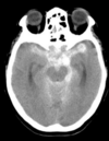
¿Qué signo observas?
Falso realce
30
V/F La RM sirve para hemorragia aguda
FALSO
31
¿Qué podemos observar en la RM?
Estado de la degradación de la hemoglobina
32
¿Qué estudio es?¿Qué ves?
RM, estado de la degradación de hemoglobina
33
Menciona los pasos que debes de seguir como médico cuando te llega un paciente con sospecha de EVC
34
Estudio de primera elección en EVC
TOMOGRAFÍA