Appendicitis/cholecystitis Flashcards

(44 cards)

1
Q

Peritoneum

general

regions and folds

A

Broad serous membranous sac surrounded by connective tissue that holds the digestive organs within the abdominal cavity in place

Composed of two regions:
Parietal peritoneum: lines the abdominal wall
Visceral peritoneum: envelops the abdominal organs

Five major peritoneal folds:
Greater omentum, lesser omentum, falciform ligament, mesentery, mesocolon

Watery fluid acts as a lubricant to minimize friction between surfaces

How well did you know this?
1
Not at all
2
3
4
5
Perfectly
2
Q

Appendix

general

A

Also referred to as the vermiform appendix or cecal appendix

Finger-like, blind-ended tube extending from the cecum in the right lower quadrant

How well did you know this?
1
Not at all
2
3
4
5
Perfectly
3
Q

Appendix

functions

A

Contains lymphoid tissue and is a primary site for IgA production, which is vital for maintaining homeostasis of the intestinal flora

Rich in biofilms and continuously sheds healthy bacteria into the intestinal lumen
Can be used as a replacement bladder

How well did you know this?
1
Not at all
2
3
4
5
Perfectly
4
Q

appendix

Position of the free-end of the appendix is highly variable and can be categorized into seven main locations:

A

Pre-ileal– anterior to the terminal ileum –1 or 2 o’clock
Post-ileal– posterior to the terminal ileum – 1 or 2 o’clock
Sub-ileal– parallel with the terminal ileum – 3 o’clock
Pelvic– descending over the pelvic brim – 5 o’clock
Subcecal– below the cecum – 6 o’clock
Paracecal– alongside the lateral border of the cecum – 10 o’clock
Retrocecal– behind the cecum – 11 o’clock

Variable location of the appendix causes variations in the clinical presentation, making diagnosis challenging

How well did you know this?
1
Not at all
2
3
4
5
Perfectly
5
Q
A

retrocecal most common

How well did you know this?
1
Not at all
2
3
4
5
Perfectly
6
Q

Acute Appendicitis

general

A

Acute inflammation of the vermiform appendix
One of the most common causes of acute abdominal pain in adults and children
Affects ~6% of the population
Commonly occurs between 10-30 years of age

Most common:
Acute surgical problem in the pediatric population
Non-obstetric surgical emergency during pregnancy

How well did you know this?
1
Not at all
2
3
4
5
Perfectly
7
Q

appendicitis

Etiology

A

Luminal obstruction
Fecalith
Lymphoid hyperplasia
Tumors (benign or malignant)

How well did you know this?
1
Not at all
2
3
4
5
Perfectly
8
Q

appendicitis

patho

A

Obstruction of appendiceal orifice

Mucus accumulation and luminal distention:
Bacterial overgrowth (aerobes andanaerobes):
Escherichia coli
Peptostreptococcus
Pseudomonas
Bacteroides fragilis

Increase in transmural pressure →thrombosisand occlusion of small vessels

Ischemiaandnecrosis(gangrene)

Eventualperforation
Perforation contained by the greater omentum → appendiceal abscess
Perforation into the abdominal cavity → peritonitis

How well did you know this?
1
Not at all
2
3
4
5
Perfectly
9
Q

appendicitis

Classic signs

A

Appear in < 50% of patients
McBurney point tenderness
Psoas sign
Obturator sign
Rovsing sign

How well did you know this?
1
Not at all
2
3
4
5
Perfectly
10
Q

appendicitis

classic symptoms

A

Abdominal pain
Periumbilical pain that later migrates to the RLQ (24 hours)
Localized rigidity
↑ pain with cough or movement
Low-grade fever
Nausea/vomiting
Anorexia → dehydration

How well did you know this?
1
Not at all
2
3
4
5
Perfectly
11
Q

appendicitis

McBurney Point

A

Point on the lower right quadrant of the abdomen at which tenderness is maximal in cases of acute appendicitis

2/3 of the way between umbilicus and ASIS (2/3 down) on right side

How well did you know this?
1
Not at all
2
3
4
5
Perfectly
12
Q

appendicitis

psoas sign

A

An increase in pain caused by passive extension of the right hip joint while applying counter resistance to the right hip (asterisk)
Indicates a retrocecal orientation of the appendix

can also be done by having them attempt to raise right leg against resistance

How well did you know this?
1
Not at all
2
3
4
5
Perfectly
13
Q

appendicitis

obturator sign

A

Pain caused by passive internal rotation of the flexed right thigh

better for more anterior position of appendix

How well did you know this?
1
Not at all
2
3
4
5
Perfectly
14
Q

Appendicitis

Rovsing sign

A

Palpation of the left lower quadrant of the abdomen followed by quick release causes increased pain felt in the right lower quadrant

rebound/ referred tenderness

How well did you know this?
1
Not at all
2
3
4
5
Perfectly
15
Q

appendicitis

Clinical Dx

A

can be made if classic symptoms and signs are present

How well did you know this?
1
Not at all
2
3
4
5
Perfectly
16
Q

appendicitis

Labs

A

Atypical or equivocal findings:
Labs:

Pregnancy test
Perform on all females of reproductive age
CBC
Leukocytosis (12,000-15,000/mcL) with left shift

How well did you know this?
1
Not at all
2
3
4
5
Perfectly
17
Q

appendicitis

imaging

A

Ultrasound - children and pregnant women

Contrast-enhanced CT scan of the abdomen and pelvis unless contraindicated

Laparoscopy
Can be used for diagnosis and definitive treatment of appendicitis

How well did you know this?
1
Not at all
2
3
4
5
Perfectly
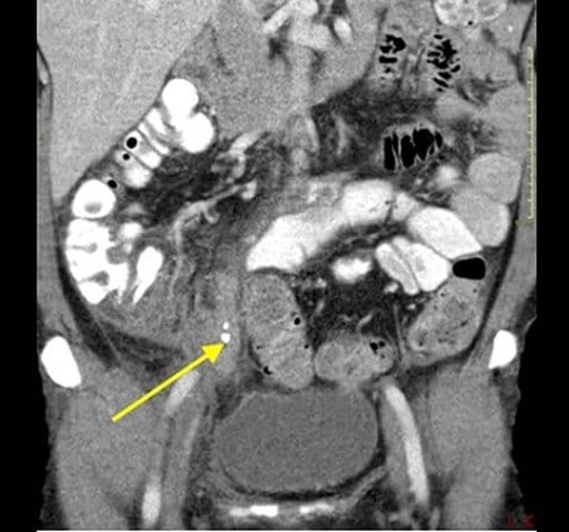
18
Q
A

Enlarged appendix with an appendicolith (yellow arrow)

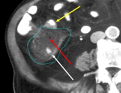
19
Q
A

Appendicolith (white arrow) with a large abscess (dashed blue line) containing a foci of air (red arrow)

20
Q

appendicitis

A

The Alvarado score is the best studied clinical decision rule in adults and children

Imaging is not required for diagnosis if theAlvarado scoreis very low (< 4) or high (> 7)
Interpretation:
0–4: Appendicitis is less likely
5–6: Appendicitis is possible; imaging evaluation needed
7–8: Appendicitis is probable → surgical consultation
9–10: Appendicitis is highly likely → surgical consultation

21
Q

Appendicitis

Supportive Tx

A

NPO
IV fluids
Analgesics: NSAIDs or opioids
Nausea/vomiting control

22
Q

appendicitis

Abx

A

30-60 minutes prior to incision
First-generationcephalosporin or fluoroquinolone + anaerobic coverage
cefazolin- metronidazole
ciprofloxacin–metronidazole

23
Q

appendicitis

Surgical Tx

A

Open or laparoscopic appendectomy
Open – lower rate of intraabdominal infections
Laparoscopic – lower rate of wound infections

Pericolic abscess formation
Drain the abscess by ultrasound-guided percutaneous catheter or by open operation (with appendectomy to follow)

25
# Acute Cholecystitis general and types
Inflammation of the gallbladder ♀ > ♂ Peak incidence is 40-50 years Types: **Calculous** - 95% Gallbladder inflammation as a complication of cholelithiasis (gallbladder) **Acalculous** – 5% Gallbladder inflammation due to gallbladder stasis and ischemia More common in critically ill and/or immunocompromised patients | calc is due to stone. Acalc no stone
26
# cholecystitis RF (6 F's)
pregnancy or hormone therapy older age natice american/hispanic obesity:rapid gain or loss Diabetes
27
# cholecystitis patho
Cystic duct **obstruction** leads to bile stasis Stasis triggers the **release of inflammatory enzymes that damage the gallbladder mucosa** Mucosal damage causes **more fluid to be secreted into the gallbladder** lumen than is absorbed leading to an increase in intraluminal pressure Increased pressure results in distention which further the release of inflammatory mediators (**prostaglandins and lysolecithin**) As inflammation increases, mucosal damage worsens leading to **ischemia**
28
# cholecystitis complications Bacterial classification
Bacterial infection can ensue (gram-negative bacteria: E. coli, Enterococcus, Klebsiella) Complications: gangrene (20%) and perforation (20%)
29
# cholecystitis S/Sx Boas sign
Abdominal pain Severe, sudden right upper quadrant pain Often **triggered by a fatty meal** Duration > 6 hours Radiation of pain to the right lower scapula (**Boas’ sign**) Nausea/Vomiting (75%) Fever – low grade **Murphy’s sign**
30
# cholecystitis Murphy’s sign
Develops within 2-3 hours Deep inspiration exacerbates pain during palpation of the RUQ subcostal region and halts inspiration
31
# cholecystitis Dx and labs
Acute cholecystitis should be suspected based on signs and symptoms Labs Performed, but **not diagnostic** CBC: leukocytosis with left shift (12,000-15,000/cmL) Lipase: > 3x normal suggests common bile duct obstruction Liver tests: Elevation of bilirubin and alkaline phosphatase should raise suspicion for complications (cholangitis, choledocholithiasis) Mild elevation of alanine aminotransferase (ALT) and aspartate aminotransferase (AST) 
32
# cholecystitis imaging
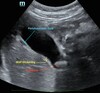
Diagnostics Ultrasound Ultrasonographic Murphy’s sign (elicited with US probe pressing on the abdomen)  HIDA
33
# cholecystitis US findings
Findings: Gallbladder wall thickening > 4 mm Gallbladder wall edema Pericholecystic fluid Presence of gallstones Air in the GB wall (indicative of gangrene)
34
# cholecystitis Hepatobiliary iminodiacetic acid (HIDA) scan or cholescintigraphy
Performed if the ultrasound is equivocal 4 hour fast prior to the procedure Uses a radioactive tracer to access the filling of the gallbladder If the cystic duct is not obstructed, the tracer will be excreted in the bile
35
# cholecystitis CT scan of abdomen and pelvis
Used to identify extrabiliary abnormalities or complications of acute cholecystitis best for when suspecting complications not your "go to study"
36
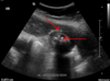
Acute cholecystitis on ultrasound. The closed arrow points to gallbladder wall thickening. Open arrow points to stones in the gallbladder.
37
Acute cholecystitis with the fat stranding around the enlarged gallbladder.
38
# Cholecystitis Tx | supportive and Abx
**Hospital admission** Supportive care NPO IV Hydration Antiemetics NG tube placed for vomiting or if an ileus is present **Analgesics** NSAIDs (ketorolac) or opioids **Antibiotics** Initiated to treat possible infection Empiric coverage directed against gram-negative bacteria Ceftriaxone 1-2 grams IV every 12-24 hours plus metronidazole 500 mg IV every 8 hours- **best for pregnant or child** Piperacillin/tazobactam (Zosyn) 3.375-4.5 grams IV every 6 hours
39
# cholecystitis surgical Tx
Cholecystectomy Definitive treatment Early cholecystectomy (within 24-48 hours) is preferred Approach: Laparoscopic is the standard of care (lower risk of infection, shorter hospital stay). Open surgery: reserved for complicated cases
40
# Chronic cholecystitis General
Long-standing gallbladder inflammation resulting from gallstones and prior episodes of acute cholecystitis Gallbladder becomes fibrotic and contracted Not able to concentrate bile or empty normally
41
# Chronic cholecystitis S/Sx
Recurrent biliary colic, usually without fever RUQ pain is often less intense
42
# Chronic cholecystitis Dx and Tx
Diagnosis Ultrasound Treatment: Laparoscopic cholecystectomy
43
# cholecystitis Key points
* Acute cholecystitis is most often caused by gallstones (95%) * In older patients, symptoms of cholecystitis may be nonspecific (malaise, anorexia, vomiting) and fever may be absent * **Diagnosed via ultrasound and, if results are equivocal, by HIDA scan** * Surgery (cholecystectomy) within **24-48** hours of admission (early) is preferable
44
# cholecystitis First line treatments include (5)
fasting, intravenous fluids, analgesics, antiemetics, and antibiotics