upper extremity 2 Flashcards

(30 cards)

1
Q

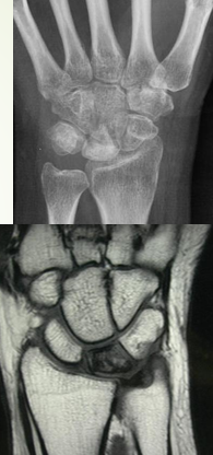
Wrist: Kienbock Disease

general and common complaint

A

Pathophysiology: AVN/osteonecrosis of the lunate > leads to collapse
Causes: result of trauma/injury, abnormal vascular diseases OR by unequal radius and ulna lengths

Common symptoms/ complaints:
Pain
stiffness

How well did you know this?
1
Not at all
2
3
4
5
Perfectly
2
Q

Wrist: Kienbock Disease

PE/Tests

A

Physical Exam:
Pain with wrist motion, especially weighted (pushup type of activity)
Mild dorsal swelling
TTP over lunate

Tests:
X-rays
MRI

How well did you know this?
1
Not at all
2
3
4
5
Perfectly
3
Q

Wrist: Kienbock Disease

Tx

A

Treatment:
Surgery
IF there is no collapse/minimal bone inflammation, possibility to halt the progression by joint leveling (osteotomy)
Arthrodesis, proximal row carpectomy or joint replacement; no longer using implant to “hold position” after taking out the lunate

How well did you know this?
1
Not at all
2
3
4
5
Perfectly
4
Q

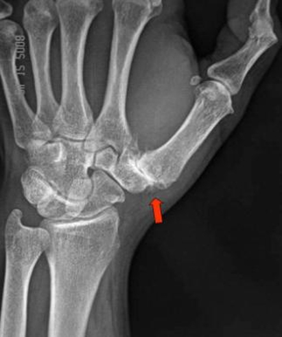
Dislocation of a digit

general

A

Pathophysiology: when the bones of the finger or thumb are forced out of their normal position
Causes involve trauma such as a direct blow or a fall. Can also occur if there is a problem with the ligaments
Previous injuries to the hand/fingers increase the risk of further injury

Symptoms include:
Pain/stiffness
deformity

How well did you know this?
1
Not at all
2
3
4
5
Perfectly
5
Q

Dislocation of a finger/thumb

PE/ Tests

A

Physical exam:
Obvious deformity
Pain
Inability to use the digit/joint

Testing: Xray will be needed, possible MRI

How well did you know this?
1
Not at all
2
3
4
5
Perfectly
6
Q

Dislocation of a digit

Tx

A

Treatment for a dislocated finger or thumb
Reduction
as soon as possible
The longer the joint or digit is dislocated the more difficult it is to reduce

Xray and Splinting after reduction
Avulsion fracture is typical
Surgery

How well did you know this?
1
Not at all
2
3
4
5
Perfectly
7
Q

Hand: Trigger Finger

general

A

Pathophysiology: tenosynovitis of flexor tendon sheath at A1 pulley, causes a knot or swollen area/difficulty sliding through the sheath

Causes are hand strain, repetitive motion, women w/DM

Common symptoms/ complaints:
Catching/locking of finger, usually in flexion
Pain during flexion/extension of the digit

How well did you know this?
1
Not at all
2
3
4
5
Perfectly
8
Q

trigger finger

PE/tests

A

Physical Exam:
TTP over the volar MCP joint (area of the knot)
Catching or locking at the A-1 pulley of the finger while flexing at the PIP joint
If locked-DO NOT FORCE UNLOCK

Tests: none needed

How well did you know this?
1
Not at all
2
3
4
5
Perfectly
9
Q

trigger finger

Tx

A

Treatment:
NSAIDs/splinting may provide relief if early
Steroid injection into the area
Surgical release of A1 pulley

Misc:
Typically related to diabetes if occurring in multiple fingers

How well did you know this?
1
Not at all
2
3
4
5
Perfectly
10
Q

Hand: Dupuytren Contracture

general

A

Pathophysiology: thickening and contracting of the fibrous tissue within the palmar fascia, especially at the 4th and 5th flexor tendons
Cause is unknown: hereditary

Common symptoms/ complaints:
Puckered skin
Flexion contracture of fingers

How well did you know this?
1
Not at all
2
3
4
5
Perfectly
11
Q

Dupuytren Contracture

PE/Test

A

Physical Exam:
Palpable cord in the palm and proximal end of finger
Skin puckering and nodules
Flexion contracture of finger(s)

Tests: none needed

How well did you know this?
1
Not at all
2
3
4
5
Perfectly
12
Q

Dupuytren Contracture

Tx

A

Treatment:
Can delay progression with PT/massage
Nothing until function is significantly decreased
Can try collagenase injection
Surgical removal of fascial cords

Misc: AKA palmar fascial fibromatosis
Northern European descent, is more common in males, and has a hereditary predisposition
May also be linked to liver disease, alcoholism

How well did you know this?
1
Not at all
2
3
4
5
Perfectly
13
Q

Hand: Deformities Mallet Finger/Boutonniere Finger/Swan neck

general

A

Pathophysiology:
Rupture of extensor tendon or avulsion of tendon insertion at bone
Cause: result of direct trauma

Common symptoms/ complaints:
Injury resulting in deformity and limited function

How well did you know this?
1
Not at all
2
3
4
5
Perfectly
14
Q
A
How well did you know this?
1
Not at all
2
3
4
5
Perfectly
15
Q

Hand: Deformities Mallet Finger/Boutonniere/Swan neck

PE/Tests

A

Physical Exam:
Obvious where the injury or deformity lies
Pain
Inability to flex or extend at the affected joint (PIP/DIP)

Tests: x-ray and MRI to confirm/know extent of injury

How well did you know this?
1
Not at all
2
3
4
5
Perfectly
16
Q

Hand: Mallet/Boutonniere/Swan Neck Deformities

Tx

A

Treatment:
Splinting/stack splint
Can try splint and hope that it heals without surgery
surgical repair

Misc:
Avulsion tends to have better prognosis but all types of repairs have high chance of not returning to full ROM

17
Q

Gamekeeper Thumb/ Ligament Tear

general

A

Pathophysiology:
Traumatic rupture of UCL of thumb
Can be acute, single injury or repetitive trauma that finally ruptures

Common symptoms/ complaints:
Laxity, instability at MCP joint of thumb
Difficulty with pinching

Misc: AKA Skier or Gamekeeper thumb

18
Q

Hand:Gamekeeper Thumb/ Ligament Tear

PE/Tests

A

Physical Exam:
Instability of 1st MCP UCL
Poor grip/ pinch strength with thumb
Might have some discomfort and swelling over UCL

Tests: x-rays and MRI to confirm injury and look for avulsion fx

19
Q

Hand: Gamekeeper Thumb/ Ligament Tear

Tx

A

Treatment:
Might be able to use thumb spica brace/ splint/ cast for partial tears
Surgical repair with immobilization after surgery for complete rupture

20
Q

Hand: CMC Osteoarthritis

general

A

Pathophysiology: Mechanical and/or degenerative loss of articular cartilage of joint(s) hand; can happen at any joint but is most often seen (in the hand) at the 1st CMC
Causes: result from trauma or wear and tear
If at CMC, most likely in other joints MCP/PIP/DIP

Common symptoms/ complaints:
Joint pain/pain with activity
Grinding/crepitus
Swelling
Stiffness

21
Q

CMC Osteoarthritis

PE/Tests

A

Physical Exam:
Pain/stiffness at CMC
Swelling/erythema at site
Grind test—increased pain/crepitus

Tests: x-rays will confirm OA; can do specific CMC series
Joint space narrowing, sclerosis, osteophyte formation, subchondral cysts, misalignment/ malalignment

22
Q

Hand: Osteoarthritis

Tx

A

Treatment:
Topical creams, NSAIDs, Tylenol
Bracing???
Gentle exercise/PT
Steroid injection
Surgery

Misc:
Surgical repair has 2 options:
Arthrodesis
Joint replacement

23
Q

Hand: Raynaud’s Disease

general

A

Pathophysiology:
Reversible ischemia to fingers due to peripheral arteriole constriction related to cold or emotional stress
Causes: idiopathic primary, there is a secondary type that is more serious and are result of other health conditions

Common symptoms/ complaints:
Cold sensitivity
Red, white and blue discoloration

24
Q

Hand: Raynaud’s Disease

PE/Tests

A

Physical Exam:
Sharply demarcated color change when exposed to cold
This is visible-white, blue and red
Cold sensitivity/temperature change
Pain associated with it

Tests: not necessary

25
# Hand: Raynaud’s Disease Tx
Treatment: Stay warm! Don’t smoke Misc: More common in women
26
# Hand: Buerger’s Disease general
Pathophysiology: Digital ischemia caused by thrombosis and vasculitis of medium sized blood vessels (arteries and veins) Causes are unknown, tobacco use is associated with disease, genetics? Common symptoms/ complaints: Discoloration Pain and/ or numbness Skin changes (gangrene)
27
# Hand: Buerger’s Disease PE/Tests
Physical Exam: Pain/discoloration When dealing with hand disease, they often present when it is too late ie:gangrene already setting in Tests: Angiography Labs
28
# Hand:Buerger’s Disease Tx
Treatment: STOP SMOKING!!!!!! Surgical amputation Misc: AKA thromboangiitis obliterans More common in men and smokers
29
1. scaphoid Fx 2. buckle/torus fx 3. ulnar styloid fx
30