Thyroid nodules/hyperthyroid Flashcards

(41 cards)

1
Q

Thyroid Nodules

General

A

Disordered growth ofthyroid cells that form a lump or amass
Discrete nodule or a multinodular goiter

Extremely common
Palpated by the patient or clinician or discovered incidentally on imaging studies

Palpable nodule in 4-7% of adults in the United States
90% are benign adenoma, colloid nodules, or cysts
Primary thyroid malignancy
Metastatic malignancy

Prevalence increases with age
♀>♂

How well did you know this?
1
Not at all
2
3
4
5
Perfectly
2
Q

thyroid nodule

Individuals Risk for Malignant nodules(6)

A

Male
Young age (< 30 years old)
History of head-neck radiation
Family history of thyroid cancer
Personal history of another malignancy
Large, firm, solid solitary nodule or “cold” nodule
Associated cervical lymphadenopathy

How well did you know this?
1
Not at all
2
3
4
5
Perfectly
3
Q

thyroid nodules

Clin Man

A

Asymptomatic

Symptoms:
Nodule or multinodular goiter that is visible
Anterior neck discomfort
Hoarseness
Dysphagia
Ipsilateral recurrent laryngeal nerve palsy
Hypothyroidism
Hyperthyroidism

How well did you know this?
1
Not at all
2
3
4
5
Perfectly
4
Q

thyroid nodule

incidental finding

A

Thyroidnodules often present as an incidental finding on radiologic tests obtained for different purposes:
Carotid ultrasound
Neckor chest CT
PET

No symptoms or observable lesion by exam → thyroid cancer needs to be ruled out

How well did you know this?
1
Not at all
2
3
4
5
Perfectly
5
Q

Thyroid nodule

Whenever to do further testing

A

Nodule ≥ 1 cm requires further testing

Nodules < 1 cm in a patient at high risk for thyroid cancer requires further testing

All thyroid nodules should be initially evaluated with a thyroid ultrasound

Nodules ≥ 1 cm and/or high-risk patient
TSH and free T4
May be low, normal, or high
Majority of patients are euthyroid

How well did you know this?
1
Not at all
2
3
4
5
Perfectly
6
Q

thyroid nodule

Ultrasound

benign and high-risk features(5)

A

Thyroid ultrasound
Determinesnodule size and characteristics (including adjacent structures)

Benignfeatures:
Purelycystic, without solid components

High-risk features:
Solid
Hypoechoic - indicated a solid mass of dense tissue
Microcalcifications
Irregular margins
Extrathyroidal extension

can also assess vasculature

How well did you know this?
1
Not at all
2
3
4
5
Perfectly
7
Q

thyroid nodule

Radionuclide thyroid scan

A

Performed when TSH levels are low
Goal is to examine if the nodule is functioning
Nonfunctioning – cold nodule
Iodine uptake less than surrounding tissue
Fine-needle aspiration biopsy (FNAB)

Hyperfunctioning – hot nodule
Iodine uptake more than surrounding tissue
Likely benign

How well did you know this?
1
Not at all
2
3
4
5
Perfectly
8
Q

thyroid nodule

Fine-needle Aspiration (FNA) Biopsy

indications

A

Best method for assessing for malignancy

Indications:
≥ 1 cm nodule and:
Elevated/normal TSH + suspicious ultrasound findings
Low TSH + suspicious ultrasound findings + cold or indeterminatenodule(s)
Largenodule ≥ 1.5 cm

Thyroidnodule of any size with risk factors:
Young age
Family historyofthyroid cancer
History ofradiation

How well did you know this?
1
Not at all
2
3
4
5
Perfectly
9
Q

thryoid nodule

Tx of a Benign lesion

A

Repeat ultrasound every 6 months initially
Stable lesion – repeat ultrasound yearly
Repeat FNA biopsy if growth occurs
> 2 mm of growth per year – higher likelihood of malignancy

Suppression therapy with levothyroxine
Nodules < 2 cm and/or ↑ TSH
Starting dose of 50 mcg PO daily

How well did you know this?
1
Not at all
2
3
4
5
Perfectly
10
Q

thyroid nodules

Other treatments for benign lesions that are greater than 3cm or toxic (hyper)

A

Radiofrequency ablation for lesions ≥ 3 cm

Radioiodine therapy for hyperthyroid patients with toxic thyroid adenomas or multinodular goiter

How well did you know this?
1
Not at all
2
3
4
5
Perfectly
11
Q

thryoid nodule

Tx of Cancerous lesion

A

Total thyroidectomy

How well did you know this?
1
Not at all
2
3
4
5
Perfectly
12
Q
A
How well did you know this?
1
Not at all
2
3
4
5
Perfectly
13
Q

Goiter

general

A

Chronic enlargement of the thyroid gland due to non-neoplastic growth
Can be an overall enlargement or irregular cell growth that forms one or more nodules

How well did you know this?
1
Not at all
2
3
4
5
Perfectly
14
Q

Goiter

Types (3)

A
  • Toxic – associated with hyperthyroidism
  • Nontoxic – associated with euthyroidism
  • Hypothyroid – commonly seen in Hashimoto’s thyroiditis
How well did you know this?
1
Not at all
2
3
4
5
Perfectly
15
Q

Hypothalamic-Pituitary-Thyroid Axis

A

Complex neuroendocrine web that determines the set point of thyroid hormone production

Negative feedback

How well did you know this?
1
Not at all
2
3
4
5
Perfectly
16
Q

Production of Thyroid Hormones

A

Two biologically active thyroid hormones:
Tetraiodothyronine (T4 or thyroxine)
Triiodothyronine (T3)
Most metabolically active

Derived from modification of tyrosine (amnio acid)

How well did you know this?
1
Not at all
2
3
4
5
Perfectly
17
Q

Hyperthyroidism

general
Typical age of onset

A

Excessivethyroid hormones (T4 and T3) produced and released by thethyroid gland

♀>♂
Typical age of onset is 20-40 years of age

18
Q

hyperthyroid

causes

A

Causes:
Increased synthesis of thyroid hormones
Excessive passive release of thyroid hormones
Extrathyroidal source
Pituitary adenoma (secondary hyperthyroidism)

19
Q

Toxic multinodular goiter

general
More common in?

A

Second most common cause of hyperthyroidism in the United States (15% of cases)
Thyroid has multiple hyperfunctioning areas
More common in elderly patients (>50 years)
More common in patients that smoke
Highest incidence is in iodine-deficient area

20
Q

Graves Disease

general

A

Most common cause of hyperthyroidism in the United States (60-80% of cases)

Autoimmune disorder in whichantibodiesagainst thethyroid-stimulating hormones (TSH) receptors cause thethyroidgland to hyperfunction (primary hyperthyroidism)

Thyroid develops diffuse hypertrophy and hyperplasia of the follicular cells with lymphoid infiltrates (toxic goiter)

21
Q

Graves Disease

RF(6)

A

Female
Family history of thyroid disease
Personal or family history of an autoimmune disease
Under the age of 40
Stress
Smoking

22
Q
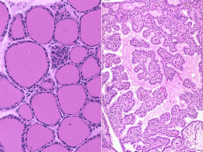
A

Left: normal thyroid

Right: thyroid of a patient with hyperthyroidism; irregular follicles that have decreased colloid (the fluid within the follicles that contains thyroglobulin)

23
Q

Graves’ disease

Clin Man

A

Variable: Asymptomatic → thyroid storm

Palpitations/Tachycardia
Heat intolerance/diaphoresis (vasodilation)
Weight loss due to increased metabolic rate
Exophthalmos/preorbital edema/excessive lacrimation
Fine tremors and hyperreflexia
Diarrhea
Weakness of proximal muscles
Psychosis/anxiety
Goiter
-Graves – smooth, symmetric, nontender with a thrill or bruit on auscultation (due to increased blood flow)
Pretibial myxedema
-Swelling over the tibia with the skin assuming a peau d’orange appearance

24
Q
A

Left, top: exophthalmos
Left, bottom: pretibial myxedema
Right: multinodular goiter

25
# Graves Disease` Labs TSH, t3/t4, anything else?
↓ TSH (Graves and toxic multinodular goiter) ↑ T4 and T3 ↑ thyrotropin receptor antibodies (Graves disease)
26
# Graves Radioactive Iodine Uptake (RAIU) and Thyroid Scan
Helps to determine the cause of hyperthyroidism Uptake is a percentage of an radioactive iodine (I-123) tracer dose taken up by the thyroid at 24 hours High uptake = Graves disease or toxic multinodular goiter Thyroid scan shows the distribution of the radiotracer Homogeneous = Graves disease Multiple areas of accumulation = toxic multinodular goiter | cant use during pregnancy
27
# Graves Ultrasound
Ultrasound of the thyroid gland Detect diffuse enlargement, solitary or multiple nodules, and increased vascularity of the gland Primary imaging modality used during pregnancy and lactation
28
# graves Beta blockers
Used to control adrenergic symptoms (palpitations, tremor, heat intolerance) Very useful in those with impending thyroid storm Propranolol (**nonselective**) Immediate release: 10-40 mg PO every 8 hours Extended release: 80-160 mg PO once daily Atenolol (**selective**) 25-100 mg PO once or twice daily **Safer for use in patients with asthma or COPD**
29
be prepared to pick depending on underlying issues. if someone has lung issue, use selective blocker | propanolol typically used for treating.
30
# graves Antithyroid medication and protocol before initiation
Inhibit oxidation and organic binding of  thyroid iodide by inhibiting thyroid peroxidase Inhibiting extrathyroidal conversion of T4 → T3 Requires a baseline CBC and liver function before initiation (agranulocytosis) Monitoring - Free T4 and T3 obtained 4 weeks after initiation and every 4-8 weeks with dosage adjustments
31
# graves Antithyroid medications And dosages
**methimazole** (Tapazole) 10-30 mg PO QD Preferred except during the first trimester of pregnancy (birth defects) **propylthiouracil (PTU)** 100 mg PO TID **Used in the 1st trimester of pregnancy and in thyroid storm Black box warning from the FDA** (severe liver damage) - once in 2-3rd trimester then switch back to methimiazole
32
# graves Radioactive iodine (I-131) ablation of the thyroid
**Most common treatment in the United States** Capsule or solution of sodium iodine-131 (I-131, radioactive iodine (RAI)) taken orally  I-131 concentrates in the thyroid → progressive thyroid cell destruction
33
# graves Radioactive iodine (I-131) ablation of the thyroid Contraindications
Contraindicated in pregnancy and breastfeeding Most patients develop permanent hypothyroidism between 2-6 months after radioactive iodine ablation and require thyroid hormone replacement
34
# graves Total thyroidectomy is preferred when
Preferred in patients with compressive symptoms and those with contraindications to radioactive iodine ablation or failure with antithyroid medication
35
# Thyroid Storm General
Rare, life-threatening emergency More unbound thyroid hormone in the blood Tissues might become more sensitive to the thyroid hormone Body might become more sensitive to catecholamines → activating the sympathetic nervous system Occurs in patients previously undiagnosed or inadequately treated for hyperthyroidism
36
# thryroid strom precipitating factors
Precipitating factors: major stress (surgery, childbirth), trauma, illness, taking too much thyroid hormone
37
# thyroid strom clin man
**Fever** Delirium Nausea and vomiting Anxiety → seizures Cardiovascular manifestations: atrial fibrillation with rapid ventricular response, **hypotension**
38
# thyroid storm Tx
Supportive therapy – oxygen, airway maintenance Antithyroid medication (TPU/methimazole) Propranolol to control adrenergic symptoms Oral or IV sodium iodide to decrease thyroid hormone release Glucocorticoids to block the conversion of T4 to T3 Plasmapheresis Blood plasma is removed, thyroid hormone can be removed, and the remaining plasma is returned to the patient
39
40
# Hypothalamic-Pituitary-Thyroid Axis
41