Pneumonia Flashcards

(36 cards)

1
Q

pneumonia

General

A

Common, inflammatory disease affecting the alveoli of the lungs (parenchyma)
Most often caused by infection - bacteria, virus, fungi or parasite

Epidemiology:
Accounts for more than 800,000 hospitalizations in the United States annually
Most common cause of death due to infection in the United States

More common in winter and in colder climates
Higher incidence and mortality rate in advanced age

How well did you know this?
1
Not at all
2
3
4
5
Perfectly
2
Q

pneumonia

classifications of community acquired and Nosocomial

A

Community-acquired pneumonia (CAP):
Pneumonia acquired outside of the hospital setting or within 48 hours of admission to the hospital

Nosocomial pneumonia:
Pneumonia acquired in the hospital settings
Encompasses hospital-acquired pneumonia(HAP) andventilator-associated pneumonia(VAP)

HAP refers to pneumonia acquired ≥48 hours after hospital admission

VAP refers to pneumonia acquired ≥48 hours after endotracheal intubation or within 48 hours of extubation

How well did you know this?
1
Not at all
2
3
4
5
Perfectly
3
Q

pneumonia

Aspiration pneumonia

A

Pneumonia in the setting of increased risk of aspiration such as poor gag/cough reflex or a critically ill status

How well did you know this?
1
Not at all
2
3
4
5
Perfectly
4
Q

pneumonia

atypical pneumonia and clinically characterized by

A

Type of community-acquired pneumonia caused by atypical organisms

(Mycoplasma pneumoniae,Chlamydia pneumoniae, and respiratory viruses)

and is clinically characterized by milder symptoms with no lobar infiltrates on x-ray

How well did you know this?
1
Not at all
2
3
4
5
Perfectly
5
Q

pneumonia

Patho

Lobar vs interstitial pneumonia

A

Exposure to a pathogen via inhalation, aspiration, contiguous or hematological mechanism
Proliferation of the microbe in the lower airways and alveoli
Local response of the alveolar epithelial cells release cytokines into the surrounding tissue to recruit neutrophils to the site of inflammation
Inflammatory response varies depending on the type of invading pathogen

  • Lobar pneumonia:
    Accumulation of neutrophils and plasma exudate from capillaries into alveoli specific to a lung lobe
    Clinically: productive cough, hypoxemia, dyspnea, consolidation on CXR
  • Interstitial pneumonia:
    Accumulation of infiltrates in the alveolar walls
    Clinically: dry cough, hypoxemia, dyspnea

Systemic cytokines release as a response to the invading microbe leads to a disruption in the hypothalamic thermoregulation → fever, chills/rigors

How well did you know this?
1
Not at all
2
3
4
5
Perfectly
6
Q

Community-acquired pneumonia (CAP)

general
Pathogens

A

Transmission: from person to person by droplets in the air
Pneumococci bacteria are common inhabitants of the human respiratory tract

Common pathogens:

Bacterial
Typical: Streptococcus pneumoniae, Haemophilus influenzae, Chlamydia pneumoniae, Group A streptococci, Moraxella catarrhalis, anaerobes, and aerobic gram-negative bacteria; Community-acquired methicillin-resistantS. aureus(CA-MRSA)…increasing incidence since 2000

Atypical: Legionella, Mycoplasma pneumoniae, Chlamydia pneumoniae, and Chlamydia psittaci

Viral
Rhinoviruses, Coronaviruses, Respiratory syncytial virus, Adenoviruses, Influenza viruses, Metapneumovirus, Parainfluenza viruses

Fungal
Histoplasma capsulatum (histoplasmosis), Coccidioides immitis (coccidioidomycosis)
Pneumocystis jirovecci → immunosuppressed and HIV patients

(only 60% of cases do we know the pathogen)

How well did you know this?
1
Not at all
2
3
4
5
Perfectly
7
Q

CAP

RF

A

Age > 65 years and < 2 years
Immunosuppression
Chronic conditions (especially cardiopulmonary diseases)
Reduced gag/cough reflex
Smoking
Living in crowded conditions
Institutionalized (nursing homes, group homes)
Alcoholism
Long term corticosteroid use

How well did you know this?
1
Not at all
2
3
4
5
Perfectly
8
Q

CAP

Clin Man

A

Cough:
Productive (mucoid, purulent, or blood-tinged sputum)
Nonproductive (mostly with atypical pneumonias)
Gross hemoptysis suggests CA-MRSA

Dyspnea:
Mild to severe
Often exertional
Pleuritic chest pain

Nonspecific symptoms:
Fever, palpitations, chills, rigors, night sweats, fatigue, nausea, vomiting, headache, myalgia, arthralgia

Pneumonia in the elderly may present with confusion

How well did you know this?
1
Not at all
2
3
4
5
Perfectly
9
Q

Pneumonia

Physical exam findings

A

Physical examination:
Increased respiratory rate and use of accessory muscles
Increased tactile fremitus and dullness to percussion: consolidation
Auscultation: crackles or bronchial sounds

How well did you know this?
1
Not at all
2
3
4
5
Perfectly
10
Q

Pneumonia

Dx

imaging and labs

A

Suspicion based on clinical presentation

Imaging:
CXR: gold standard for diagnosis
CT scan of the chest
Obtained when there is high clinical suspicion and the CXR does not reveal an infiltrate

Labs: only for pts being admitted not outpatient
Moderate to severe pneumonia or likely infection with MRSA orPseudomonas aeruginosa
CBC with differential
BMP
ABGs
Blood cultures: hypoxia and respiratory acidosis
12% of all patients hospitalized with pneumonia have bacteremia (S. pneumoniae)
Sputum culture
Urine testing for Legionellaantigen and pneumococcal antigen (severely ill)

How well did you know this?
1
Not at all
2
3
4
5
Perfectly
11
Q

pneumonia

Procalcitonin (PCT)

she does not endorse it

A

Procalcitonin (PCT)
Newer biomarker for the early detection of systemic bacterial infections
Data
Positive correlation between high serum levels of PCT and patients with positive findings for bacterial infection and sepsis
Levels increased 6-12 hours followinginitial bacterial infections
Levels increased steadily in the 2-4 hours following the onset of sepsis
Serum levels of PCT did not elevate in viral infections
Serum levels of PCT would decrease following the administration of appropriate antibiotic therapies

Procalcitonin is NOT endorsed as a way to determine who gets antibiotics
American Journal of Respiratory and Critical Care Medicine
Recommend that empiric antibiotic therapy be initiated in adults with clinically suspected and radiographically confirmed CAP regardless of initial serum procalcitonin level

How well did you know this?
1
Not at all
2
3
4
5
Perfectly
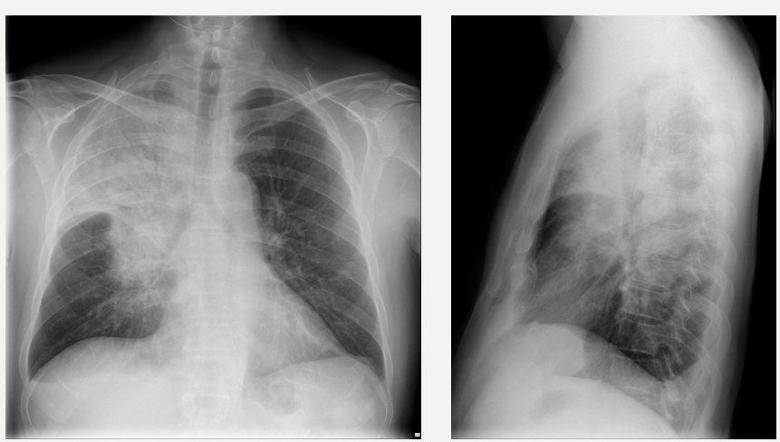
12
Q

Pneumonia

CXR
Multi lobar, cavitating

A

Findings generally cannot distinguish one type of infection from another

Multilobar infiltrates
S. pneumoniae or Legionella infection

Interstitial pneumonia
Increased interstitial markings and subpleural reticular opacities that increase from the apex to the bases of the lungs
Viral or mycoplasmal etiology

Cavitating pneumonia
S. aureus, fungal, or mycobacterial etiology

How well did you know this?
1
Not at all
2
3
4
5
Perfectly
13
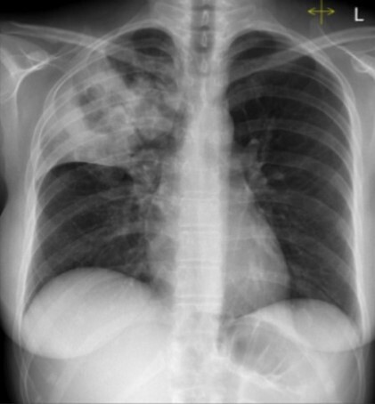
Q
A

RUL and RML pneumonia (multi lobar)

How well did you know this?
1
Not at all
2
3
4
5
Perfectly
14
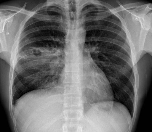
Q
A

Fevers, productive cough and hemoptysis. Recent intravenous drug use. No history of travel or exposure to tuberculosis.

Right middle lobe consolidation with an associated cavitating lesion.

Community acquired methicillin resistant staphylococcus aureus pneumonia

How well did you know this?
1
Not at all
2
3
4
5
Perfectly
15
Q

Pneumonia Severity index (PSI)

A

First and most validated risk prediction rule for pneumonia
Estimates mortality risk and helps to guide decisions regarding hospitalization
Based on a combination of patient demographics, comorbidities, physical examination findings, and laboratory and imaging studies

should use in decision making but probably not for test

How well did you know this?
1
Not at all
2
3
4
5
Perfectly
16
Q

Pneumonia Severity index (PSI)

A

should use in decision making but probably not for test

17
Q

Pneumonia

CURB-65

A

Alternate assessment tool for pneumonia
Easier to use in the clinical setting because it requires fewer inputs than the PSI

18
Q

pneumonia

Severe CAP – ICU admission

A

Intensive Care Unit admission is required for patients who:
At least 1 of the following:
Hypotension (SBP ≤90 mm Hg) that is unresponsive to volume resuscitation → requiring vasopressors
Respiratory failure requiring mechanical ventilation

3 or more of the following:
Respirations ≥ 30/min,
PaO2/FiO2≤ 250
Multilobar pneumonia
Confusion
Blood urea nitrogen ≥ 20 mg/dL
WBC < 4,000 cells/µL
Platelet < 100,000/µL
Hypothermia
Hypotension requiring aggressive fluid management

19
Q

pneumonia

Tx
Normal and with comorbidities

outpatient

A

80% of cases are treated as outpatients

Initial antibiotic treatment for outpatients with CAP:
No comorbidities or risk factors for MRSA orP. aeruginosa:
Amoxicillin OR Doxycycline

With comorbidities (congestive heart disease, chronic lung disease, malignancy, cerebrovascular disease, renal disease, liver disease):

  • Amoxicillin/clavulanate (or cephalosporin) AND macrolide (or doxycycline) OR
  • Respiratory fluoroquinolone (levofloxacin, moxifloxacin, gemifloxacin)
21
Q

pneumonia

Tx
Severe/non severe/MRSA/p.aeruginosa
| inpatient

A

20% of patients are treated as inpatients

Initial antibiotic treatment for inpatients with CAP:
Antibiotics should be initiated ≤ 4 hours after presentation
Nonsevere (non-ICU):
β-lactam and macrolide OR
Respiratory fluoroquinolone

Severe (ICU):
β-lactam and macrolide (preferred) OR
β-lactam and respiratory fluoroquinolone

Empiric coverage for MRSA includes vancomycin or linezolid

Empiric coverage forP. aeruginosa includes piperacillin-tazobactam, cefepime, ceftazidime, aztreonam, meropenem, or imipenem

22
Q

pneumonia

duration of Abx therapy

A

At least 5 days; longer duration for more severe infection

Based on improvement of vital signs, mentation, ability to eat, and the patient’s overall clinical condition

If a patient fails to improve in 72 hours, another cause, antibiotic resistance or development of complications like empyema should be suspected

23
Q

Pneumonia

Adjunctive measures in the treatment of CAP:

A

IV hydration
Oxygen therapy for hypoxemia
Vasopressors for shock
Mechanical ventilation for respiratory failure
Antipyretics
Thromboembolic prophylaxis
Smoking cessation counseling

24
Q

pneumonia

Prognosis

A

Short-term mortality is related to the severity of illness
Death due to pneumonia, progression to sepsis, or exacerbation of a coexisting condition
Mortality varies by the pathogen involved:
S. pneumoniae: most common cause of death
Gram-negative bacteria
CA-MRSA
Mortality is higher in patients who do not respond to initial empiric antibiotics

25
# pneumonia prevention | just know there are vaccines available. Dont memorize.
Some forms of community-acquired pneumonia are preventable with vaccination Two pneumococcal vaccines available: * 13-valent pneumococcal conjugate vaccine - PCV13 (Prevnar 13) Recommended for: Children 2 months to 2 years Adults ≥ 19 years with certain comorbidities Adults ≥ 65 years * 23-valent pneumococcal polysaccharide vaccine - PPSV23 (Pneumovax 23) Recommended for: All adults ≥ 65 years Any patient ≥ 2 years who has risk factors for pneumococcal infections (underlying heart, lung, or immune system disorders) Patients that smoke ## Footnote CDC recommends PCV13 for all infants as a series of 4 doses Give 1 dose at 2 months, 4 months, 6 months, and 12 through 15 months
26
## Footnote dont memorize.
27
28
# Hospital Acquired pneumonia general
Develops at least **48 hours after** hospital admission in patients not receiving mechanical ventilation Etiology: -Microaspiration of bacteria that colonize the oropharynx and upper airways in seriously ill patients* - Bacteremia or inhalation of contaminated aerosols (particles containing Legionella, Aspergillus, influenza virus) are less common
29
# hospital acquired Pneumonia pathogens
Vary significantly among institutions and can vary within institutions over short periods (month to month) Most significant pathogens: Enteric gram-negative bacilli → **Pseudomonas aeruginosa, Enterobacter species, Klebsiella pneumoniae, Escherichia coli Gram-positive cocci → MSSA and MRSA** MSSA, Streptococcus pneumoniae, and Haemophilus influenzae are most commonly implicated when pneumonia develops within **4-7 days of hospitalization**
30
# Hospital acquired pnuemonia General S/Sx
Generally, the same as CAP: Malaise Fever Chills/rigors Cough Dyspnea Chest pain
31
# hospital acquired pneumonia Dx
Imaging: CXR CT scan of the chest Gram stain and sputum culture Help to direct empiric therapy Pleural fluid culture Reliably identifies both pneumonia and the responsible organism
32
# hosp. acquired pneumonia Tx
Antibiotics that are chosen empirically based on: Local sensitivity patterns Patient risk factor for antibiotic-resistant pathogens Initial treatment with broad-spectrum antibiotics With results of cultures and antibiotic susceptibility testing antibiotics are changed to the narrowest regimen possible (single agent) Appropriate clinical response is expected within 48–72 hours
33
# pneumocystis pneumonia (PCP) general
Causative agent: Pneumocystis jirovecii is a yeast-like fungus Classically affects patients with AIDS **(AIDS-defining illness) CD4 ≤ 200 cells/μL → Trimethoprim-sulfamethoxazole (TMP-SMX) preventatively** Spread through airborne transmission 
34
# pneumocystis pneumonia (PCP) Clin Man Dry or productive cough?
Clinical presentation: insidious onset Fever Chills **Dry cough** Chest pain Shortness of breath
35
# pneumocystis pneumonia Dx
**Increased β-D-glucan (component of the fungal cell wall)** level Diffuse, bilateral infiltrates on chest imaging **Definitive diagnosis made with microscopy of induced sputum or specimens from bronchoalveolar lavage (BAL)**
36
# pneumocystis pneumonia Tx
1st line: trimethoprim-sulfamethoxazole (**TMP-SMX)** Moderate disease: Oral route is preferred, consider adding corticosteroids Severe disease: Use IV TMP-SMX plus  corticosteroids