Knee Fx Flashcards

(44 cards)

1
Q

imaging

Arthrogram:

A

Great for looking for tears in soft tissue inside and around a joint (cartilage/ menisci, labrum, tendons, ligaments, etc), often combined with CT/MRI

How well did you know this?
1
Not at all
2
3
4
5
Perfectly
2
Q

imaging

PET scan and bone scan

A

Used for monitoring all bones at once to see if there are multiple lesions; images are typically not very specific; PET can be used in a specific location or entire body and often combined with CT or MRI

PET scan monitors general metabolic activity with a tracer

Bone scan monitors osteoblast activity with a tracer (new bone formation)

How well did you know this?
1
Not at all
2
3
4
5
Perfectly
3
Q

MRI and CT

A

MRI : Great for soft tissue and bone changes (infection, inflammation, necrosis, etc); taken in slices like CT; can be distorted by metal

CT : Great for seeing bone and alignment issues in multiple slices; can result in 3-D reconstruction; not great for soft tissue

How well did you know this?
1
Not at all
2
3
4
5
Perfectly
4
Q
A
How well did you know this?
1
Not at all
2
3
4
5
Perfectly
5
Q
A
How well did you know this?
1
Not at all
2
3
4
5
Perfectly
6
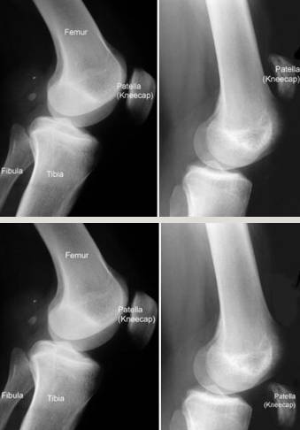
Q

Knee: Osteochondritis Dissecans (OCD)

etiology and common complaints

A

Etiology:
Subchondral necrosis and collapse with cartilage damage (AVN but on a smaller scale)
Hereditary, traumatic, or vascular in nature

Common symptoms/complaints:
Knee pain with locking/ popping

How well did you know this?
1
Not at all
2
3
4
5
Perfectly
7
Q

Knee: Osteochondritis dissecans

PE and test

A

Physical Exam:
Localize joint line tenderness
Occasionally will have effusion
Occasionally will have popping

Tests: start with X-Rays (knee – notch view) but MRI is needed to determine severity

How well did you know this?
1
Not at all
2
3
4
5
Perfectly
8
Q

Knee: Osteochondritis dissecans

Tx and pearls

A

Treatment:
Kids: more conservative tx like rest, cast, NWB x several months
Adults: stable – weight bearing restrictions, unstable surgical repair – drilling, screw fixation, resurfacing, joint replacement
Both require surgical removal if there is a loose body in the joint

Pearls:
Most common location of OCD in the knee is the posterior lateral aspect of the medial femoral condyle (70%), capitellum of humerus, talus

How well did you know this?
1
Not at all
2
3
4
5
Perfectly
9
Q

Knee: Bipartite Patella

etiology anf complaints

A

Etiology: lack of fusion of patella at growth area; results in patella that is in multiple pieces
Typically, only hurts if there is repetitive trauma but patient cannot recall a specific injury
Incidental finding on radiograph

Common symptoms/ complaints:
Typically, asymptomatic
Sometimes pain resulting from trauma

How well did you know this?
1
Not at all
2
3
4
5
Perfectly
10
Q

Knee: Bipartite Patella

PE and tests

A

Physical Exam:
TTP over patella if inflamed; otherwise, unremarkable

Tests:
X-rays: edges will often not be as sharp as fractures
MRI can help to visualize inflammation

How well did you know this?
1
Not at all
2
3
4
5
Perfectly
11
Q

Knee: Bipartite Patella

Tx and pearls

A

Treatment:
Rest
Immobilization
Physical Therapy
Sometimes fixation is needed (treat it like a fracture)

Pearls:
Bilateral in 50% of patients with the disease

How well did you know this?
1
Not at all
2
3
4
5
Perfectly
12
Q

Knee: Patellar Instability

etiology and presentation

A

Etiology:
Medial or lateral subluxation or dislocation of patella; often related to loose or torn retinaculum (MPFL) or muscle weakness

Presentation:
Depends on severity of injury
Pain, swelling, “kneecap popped out of socket”
Non-contact twisting injury w/ knee & foot externally rotated

How well did you know this?
1
Not at all
2
3
4
5
Perfectly
13
Q

Knee: Patellar Instability

PE and Dx

A

PE:
Chronic: sometimes can manipulate patella to sublux – patellar translation

Acute: Traumatic Effusion
If dislocated, it will be visible
TTP at medial* or lateral edge of patella

Diagnosis:
X-rays and MRI to see location, inflammation, loose bodies, MPFL tears

How well did you know this?
1
Not at all
2
3
4
5
Perfectly
14
Q

Knee: Patellar Instability

Tx

A

Treatment:
Depends on severity
Obviously needs to be reduced if dislocated
PT for quad strengthening – 6 weeks
Rest

Surgical repair
MPFL repair/reconstruction
Tibial tubercle distalization

How well did you know this?
1
Not at all
2
3
4
5
Perfectly
15
Q

Knee: Patellar Tendon Rupture/ Quad Rupture

Etiology and complaints

A

Etiology:
Tension overload during activity (flexed or overload of extensor mechanism)
Quad tendon 2x more likely than patellar ligament rupture
Risk factors: previous injury, steroid injection, DM, SLE, RA, renal disease (weakening of collagen)

Common symptoms/ complaints:
Felt/hear a pop and noticed immediate visible abnormality
“Jumper’s knee” – sudden quad contraction with knee flexed

How well did you know this?
1
Not at all
2
3
4
5
Perfectly
16
Q

Knee: Patellar Tendon Rupture/Quad Rupture

PE and Tests

A

Physical Exam:
Patella – difficulty w/ knee flexion, patella alta
Quad – difficulty with straight leg raise, can’t extend knee, sulcus sign noted, patella baja
Possibly will have swelling and bruising
Hemarthrosis

Tests:
X-rays will show abnormal patellar positioning
MRI confirms tendon rupture – complete vs partial

How well did you know this?
1
Not at all
2
3
4
5
Perfectly
17
Q

Knee: Patellar Tendon Rupture/ Quad Rupture

PE and Tests

A

Treatment:
Immobilization in KI
Conservative tx w/ intact extensor mechanism
Operative: surgical repair of tendon – suture anchor, end to end, graft
Pearls:
Quad more often in over 40 y.o. patients
Patellar more often in under 40 y.o. patients (30-40yo)
Complications: knee stiffness/re-tear

How well did you know this?
1
Not at all
2
3
4
5
Perfectly
18
Q

Knee: Prepatellar Bursitis

Etiology and common complaints

A

Etiology:
Bursa anterior to the patella becomes inflamed due to overuse or direct trauma
Commonly in patient’s who do excessive kneeling – concrete, flooring
20% septic bursitis
“Housemaid’s knee”

Common symptoms/ complaints:
Pain, anterior swelling, mostly normal ROM

19
Q

Knee: Prepatellar Bursitis

PE and tests

A

Physical Exam:
Prepatellar edema
Fluctuance, +/- TTP over patella
Near full AROM
Tests:
Aspiration if concern for septic pre-patellar bursitis
X-Ray knee r/o joint effusion

20
Q

Knee: Prepatellar Bursitis

Tx

A

Treatment:
Rest, NSAIDs, aspiration followed by compression – steroids controversial
Occasionally will need surgical excision of the bursa

21
Q

Knee: Pes Anserine Bursitis

Etiology and common complaints

A

Etiology: inflammation of the pes anserine bursa
Remember it is deep to the gracilis, sartorius, and semitendinosus tendons at the lower medial knee

Common symptoms/ complaints:
Localized pain medial knee just below joint line
Mild swelling occasionally
Commonly seen in runner (hills/stairs)

22
Q

Knee: Pes Anserine Bursitis

PE and tests

A

Physical Exam:
Medial knee pain just 2-3cm below the joint line

Tests: Clinical findings

23
Q

Knee: Pes Anserine Bursitis

Tx and pearls

A

Treatment:
Rest
Modify activity
NSAIDs
Steroid injection (typically does not swell enough for aspiration because of compression from the tendons)
Rarely needs surgery

Pearls:
Often can be confused with medial joint arthritis or medial meniscus tear since it is tender in a similar location

24
Q

Knee: Baker’s Cyst (popliteal)

etiology and common complaints

A

Etiology:
Cyst forms (like a ganglion cyst) on the back of the knee (either from the joint or from one of the posterior tendon sheaths)
Commonly associated with intraarticular knee disorders (OA, meniscal tears due to excessive fluid formation)

Common symptoms/ complaints:
Swelling
Trouble with flexion
Not really painful

25
# Knee: Baker’s Cyst PE and Tests
Physical Exam: **No effusion of knee** Palpable “lump” due to localized swelling to posterior knee +/- swelling of lower leg **Reduced knee flexion** Tests: **MRI or ultrasound is absolutely needed to be sure it is not from a blood vessel (aneurysm)**
26
# Knee: Baker’s Cyst Tx and pearls
Treatment: Rest & monitor Modify activity Aspiration and steroid injection Surgical excision if painful, compressive vascular structures or conservative approach fails Pearls: Like other cysts, it might return
27
# Knee: ACL Tear Etiology and presentation
Etiology: Tear of ligament, usually because of twisting injury or direct blow to the knee Often because of sport injury – basketball. soccer Presentation: **Pain deep in knee (not always) Instability “Pop” in the knee Immediate swelling/effusion**
28
# Knee: ACL Tear PE and tests
Physical Exam: Effusion Little to no TTP **+ Lachman + Anterior drawer** “Quadriceps avoidance” – do not want to extend the knee Tests: MRI Lachman + Anterior drawer test +
29
30
# Knee: ACL Tear Tx
Treatment: Almost always need surgical repair (unless older and inactive) - Femoral/tibial tunnel, graft fixation - Bone-Patella-Bone autograft*, quad tendon/ham autograft, allograft - Repair associated damaged structures (meniscus/MCL) ACL brace during recovery controversial Physical therapy after surgery Pearls: Often associated with MCL or medial meniscus injury (50%)
31
# Knee: PCL Tear etiology and presentation
Etiology: Tear of the PCL related to **hyperextension or direct blow to flexed knee (dashboard or athletic injuries)** Presentation: Posterior knee pain, instability, swelling
32
# Knee: PCL Tear PE and tests
Physical Exam: Pain w/effusion Feeling of instability with posterior movement +posterior drawer +sag sign Tests: MRI + posterior drawer test
33
# Knee: PCL Tear Tx
Treatment: Usually does **not** require surgery (unlike ACL) unless the patient is an athlete Surgical intervention typically if multiple ligaments are compromised Can manage conservatively Rest, ice, bracing, PT – quad strengthening exercises 6-12 months for full recovery
34
# Knee: MCL Tear Etiology and common complaint
Etiology: Forceful valgus stress to lateral aspect of the knee (direct lateral blow to knee) Most common ligamentous injury Common in athletes – skiing, rugby, soccer, football Common symptoms/ complaints: Pain at medial knee Instability Edema
35
# Knee MCL tear PE and Tests
Physical Exam: Effusion Ecchymosis Medial joint line TTP Instability with valgus stress Tests: MRI +Valgus stress test
36
# Knee: MCL Tear Tx and pearls Incomplete vs complete
Treatment: Incomplete tear: NSAIDs, rest, PT, bracing with immobilization or hinged brace Complete tears will sometimes need surgery, depends on if it is isolated or unstable with other structures are damaged Pearls: Typically, will have medial meniscus or ACL damage Often not an isolated injury
37
# Knee: LCL Tear Etiology and presentation
Etiology: Varus stress to the medial knee tears the LCL **Traumatic blow to medial knee** Most often seen in **gymnasts and tennis** players Presentation: Pain/swelling along lateral knee Instability near full knee extension – difficulty using stairs & cutting/pivoting Swelling
38
# Knee: LCL Tear PE and test
Physical Exam: Effusion TTP over lateral joint line of knee Effusion Ecchymosis Pain with varus stress Tests: **MRI** – most tears are the fibular insertion **+ Varus stress test**
39
# Knee: LCL Tear Tx and Pearls
Treatment: **Incomplete tear**: NSAIDs, rest, PT, bracing with immobilization or hinged brace - Return to sports 6-8 weeks **Complete tears** will usually need surgery, depends on if it is isolated or other structures are damaged Pearls: Typically, will have other structures damaged Often not an isolated injury Failed PCL and ACL reconstructions will happen if there is an LCL injury that was missed and not repaired
40
# Knee: Lateral or Medial Meniscus Tear etiology and presentation
Etiology: Tear of the cup-like structure as a result of twisting or deep squat Acute sports injuries in younger patient Degenerative condition in older population Medial more common (except in ACL tears) Presentation: Pain Clicking/locking/pop Knee “giving out” sensation Delayed/intermittent swelling
41
# Knee: Lateral or Medial Meniscus Tear PE and tests
Physical Exam: Vague localized pain at joint line Delayed swelling +McMurray test Otherwise fairly normal Can occasionally get popping/locking reproducible when squatting Tests: MRI
42
# Knee: Lateral or Medial Meniscus Tear Tx
Treatment: Conservative: Rest, NSAIDs, PT Operative: if symptoms do not resolve or tear is very large Arthroscopy can be therapeutic and diagnostic Repair for large tears in outer third; debridement for other tears
43
# Knee: Chondromalacia Patella etiology and complaints
Etiology: Breakdown of the cartilage on the back of the patella and in the patellofemoral groove Limb malalignment, muscle weakness, patella maltracking Common symptoms/ complaints: Anterior knee pain with activity (especially squatting, prolonged sitting, and stairs)
44
# Knee: Chondromalacia Patella PE and Tests
Physical Exam: Peripatellar pain with patellar compression Insidious (vague) onset Patellar maltracking with ROM Crepitus with flexion and extension Tests: Clinical exam, radiographic findings: sunrise to show abnormal tracking, MRI to assess articular cartilage