Celiac Flashcards

(13 cards)

1
Q

Small intestin

Circular Folds

A

Also known as plicae circulares

Deep ridges in the mucosa and submucosa from the start of the duodenum to the mid-ileum

Help facilitate absorption by causing the chyme to spiral through the small intestine

How well did you know this?
1
Not at all
2
3
4
5
Perfectly
2
Q

small intestine

Villi

A

Hairlike vascularized projections found within the circular folds

Increase the surface area of the mucosal epithelium

Capillary bed composed of an arteriole, a venule, and a lacteal

Absorption
Occurs by diffusion and active transport
Carbohydrates (glucose) and proteins (amino acids) → venule
Lipids (fatty acids and glycerol) → lacteal

How well did you know this?
1
Not at all
2
3
4
5
Perfectly
3
Q

Small intestine

Microvilli

A

Smaller villa found on the villi that create a brush border
200 million microvilli per square millimeter
Contains enzymes that complete the digestion of carbohydrates and proteins

How well did you know this?
1
Not at all
2
3
4
5
Perfectly
4
Q

Celiac Disease

general

A

Immunologically mediated disease in genetically susceptible individuals caused by intolerance to gluten
Results in mucosal inflammation and villous atrophy of the small bowel → malabsorption
Affects 1 in 200 individuals
♀>♂
Bimodal age distribution (more common in childhood):
8‒12 months of age
3rd to 4th decades of life

How well did you know this?
1
Not at all
2
3
4
5
Perfectly
5
Q

celiac

etiology

A

Etiology:
Sensitivity to the gliadin fraction of gluten
Protein found in wheat, barley, and rye

How well did you know this?
1
Not at all
2
3
4
5
Perfectly
6
Q

Celiac

S/Sx

A

Abnormal stools (diarrhea)
Children: soft, bulky, clay-colored and foul-smelling
Adults: bulky, foul-smelling, floating stool (steatorrhea)
Abdominal cramping and/or distention
Weight loss and muscle wasting
Failure to thrive in infants and children

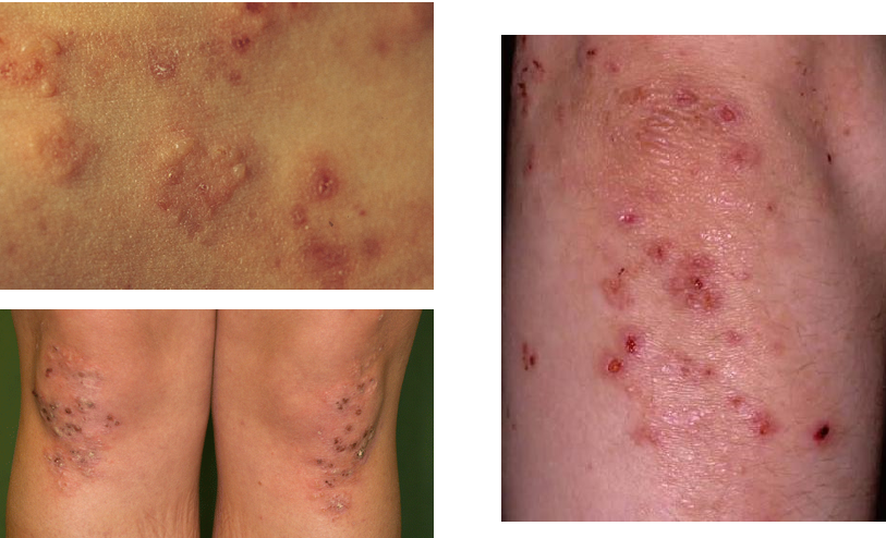
Dermatitis herpetiformis (10%)
Intensely pruritic papulovesicular rash in a symmetrical distribution over the extensor surfaces of the elbows, knees, buttocks, and scalp

Anemias → impaired iron and folate absorption

Osteoporosis, osteopenia, osteomalacia →defective calcium transport and vitamin D deficiency

How well did you know this?
1
Not at all
2
3
4
5
Perfectly
7
Q

celiac

labs and Dx

A

Clinical suspicion
Family incidence
Iron deficiency without obvious gastrointestinal bleeding

Serologic markers
Used for screening, diagnosis, and monitoring dietary adherence
Patients must be on a gluten-containing diet when used for screening or diagnosis
Anti-tissue transglutaminase (tTG) antibody – preferred
Total IgA- paired with tTG
IgA anti-endomysial antibody (EMA)
IgAdeamidatedgliadin peptide (DGP)
Anti-gliadin antibody

Positive test → small-bowel biopsy
All are negative → celiac disease is highly unlikely

How well did you know this?
1
Not at all
2
3
4
5
Perfectly
8
Q

celiac

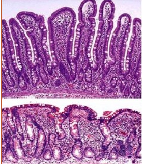
Small-bowel biopsy

A

Taken from the lower portion of the duodenum
Mucosal inflammation
Lack of or shortening of the villi (villous atrophy)

How well did you know this?
1
Not at all
2
3
4
5
Perfectly
9
Q
A

DGP: deamidated gliadin peptide
EMA: anti-endomysial antibody
tTG: tissue transglutaminase
ULN: upper limit of normal

How well did you know this?
1
Not at all
2
3
4
5
Perfectly
10
Q

celiac

Histocompatibility testing

A

Looks at proteins called human leukocyte antigens (HLAs) on the surface of almost all cells in the body
HLA-DQ2 or HLA-DQ8
Seen in >95% of celiac patients
Not specific for celiac disease
Testing that fails to show either can effectively rule out celiac disease

How well did you know this?
1
Not at all
2
3
4
5
Perfectly
11
Q

celiac

Evaluation of Malabsorption

A

HIGH fecal fat bc cant absorb

How well did you know this?
1
Not at all
2
3
4
5
Perfectly
12
Q

celiac

Tx

A

Gluten-free diet

Avoiding foods containing wheat, rye, or barley
Consultation with a dietitian
Response to the diet is usually rapid (symptoms resolving within 2 weeks)

Supplements to replace deficiencies
Corticosteroids and immunosuppressantsto control symptoms of refractory disease

How well did you know this?
1
Not at all
2
3
4
5
Perfectly
13
Q

celiac

complications

A
How well did you know this?
1
Not at all
2
3
4
5
Perfectly