What is a rebreathing bag and how can it be used to check lung function?
What must selection of further diagnostic tests be based on?
Must be based on the diagnostic goals
What does arterial blood gas analysis test?
Which artery can you use to measure arterial blood gas analysis commonly?
transverse facial artery
With arterial blood gas analysis, what levels of mmHg mean you have hhypoxia and hypercapnia?
What is a nasopharyngeal swab suitable for?
What is nasopharyngeal swabs useful for finding?
How can you perform a guttural pouch aspirate or wash?
What can be seen here?
What does this mean?

can see chondroid – if you see this, means horse has strangles!!! Almost exclusively strep equi equi virus
Name some methods of respiratory sampling
How can you perform a endoscopically guided tracheal aspirate?
Why is it not sterile?
What are the advantages of endoscopically guided tracheal aspirate?
What are the disadvantages of endoscopically guided tracheal aspirate?
How much you interpret results of bacterial culture from an edoscopically guided tracheal aspirate?
How can you perform a transtracheal wash?
Stab incision
15 blade
What are some advantages of transtacheal aspirate?
What are some advantages of transtacheal aspirate?
What can you do with a transtracheal wash sample?
What are you looking for on tracheal cytology?
What is often normal?
From a transtracheal wash.
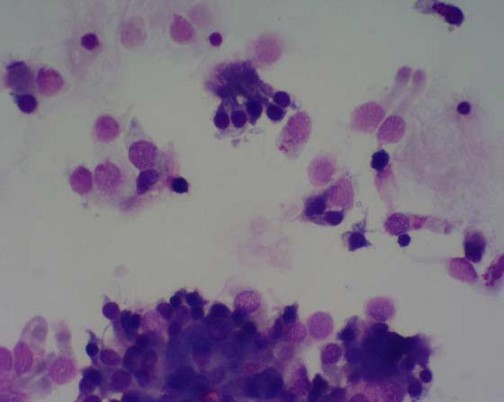
What can be seen here?

Bacterial Pneumonia TTW Gram + Cocci
Extraellular and lots of intracellular bacteria
Degenerate neutrophil
Evidence of bacterial pneumonia
Cell numbers don’t matter – reflection of how much saline gone in and got back, not interested in counts – just general observations
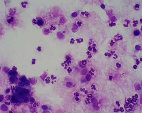
What is show here from a trans tracheal wash aspirate?

Ciliated columnar epithelial cells
If they lost cilia, might be thinking of viral diseases – but might be processing artefact as well
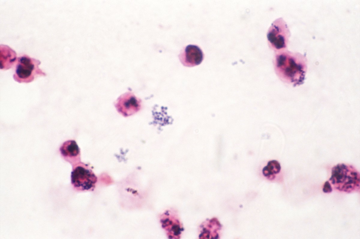
From a trans tracheal aspirate sample - what can you see?
Diagnosis?

Healthy Neutrophils
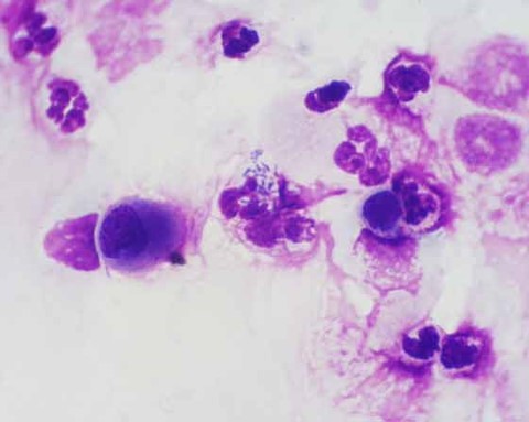
What is wrong with these neutrophils?

Degenerate Neutrophils
Some macrophages in here with foamy cytoplasm as well
How can you perform a blind bronchoalveolar lavage?
•