Why is prompt evaluation essential? (3)
–Deformation of cartilage
–Adaptation (modelling) of bone rapidly in response to (abnormal) biomechanical forces
–Failure to treat quickly may adversely affect adult conformation and athletic potential
Give 2 reasons lameness treatment is challenging in foals (3)
–Thin skin → rapid development of pressure sores under bandages/casts (irritation)
–Small hooves, thin wall → difficult to attach shoes
–Manipulation/physical therapy may be resented
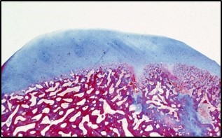
Whats the problem here?

There is very little bone
Joint: carpus
Problem with the ossification
What is the development and re-modeeling of bone influenced by?
Mechanical forces
Name an effect of inappropriate mechanical forces? (2)
–Initiate pathology
–Reduce effectiveness of treatments
How can angular limb defority result from foal lameness?
Foal is uncomfortable weight bearing on one limb they may become dependant on the contra lateral limb = angular limb deformity
What are the 4 types of juvenile osteochondral conditions?
–Osteochondrosis/-itis /-dissecans
–Subchondral cystic lesions
–Physeal dysplasia
–Cuboidal bone collapse
Name 4 developmental orthopaedic diseases
What is the difference between angular limb deformities and flexural limb deormity?
ALD is a problem with the angle of the limb and how bone grows, a FLD is related to soft tissues and contractions of flexor tendons
What is the dissecans form of OCD?
Bone fragments detached
Name 3 things contributing to DOD (5)
–Rapid growth (e.g. soft tissue doesn’t grow as fast as the bone= flexural limb deformity)
–Overnutrition (maternal and foetal)
–Unbalanced nutrition
–Genetic predisposition (polygenic)
–Biomechanical forces – act on the normal joint but will also act on the abnormal joint e.g. angular limb deformity
With the failure of endochrondral ossification, what is the cartilage necrosis assocaited with?
Necrotic cartilage canal blood vessels
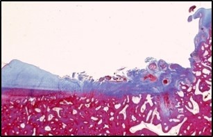
What does this show?

Osteochondrosis
Cartilage necrosis forms the OCD. Result of necrotic cartilage blood canals
What is this?

Osteochondritis
What is the realtionship between orthopaedic disease and exercise? (2)
Increased risk with:
What is the relationship between diet and orthopaedic disease (4)
Increased risk with:
–Excessive digestible energy
–Excessive dietary phosphorus
–Copper deficiency or low Cu:Zn ratio (lysyl oxidase)
–Concentrate during gestation
What is seen radiographically with thickened cartilage?
Radiographically evident as defect in subchondral bone contour
What may happen with the fragment in Intra-articular cartilage fragments (OCD)?
Fragment may detached and May ossify after separation
What does subchondral bone cysts normally follow on from? (2)
Following on from ischaemic chondronecrosis lesion
Also secondary to trauma
Label
What are the 3 main predilection sites of orthopaedic disease in horses?
Femoropatellar joint (stifle):
A) What is the most common OCD place?
B) What are the 3 places it occurs?
C) Where is the most common site for the cystic form?
A) The lateral trochlear ridge
B) Lateral and medial femoral trochlear ridges, Lateral femoral condyle of the distal femur is the predilection site facet of patella
C) Medial
What are the 3 sites of OCD in the Tarsocrural (tibiotarsal) joint (tarsus)?
–Distal intermediate ridge of tibia
–Medial malleolus of tibia
–Lateral & medial trochlear ridges of talus
What are the 2 OCD sites in the fetlock joint?
–Midsagittal ridge of Mc/Mt III
–Condyles of Mc/Mt III