What is EIPH?
Exercise induced pulmonary haemhorrhage
What are the clinical signs of EIPH? (5)
How do we diagnose EIPH? (2)
Endoscope
Cytology
What is the clinical significance of EIPH?
What is the pathogenesis of EIPH? (2 theories)
What is the CAPILLARY STRESS FAILURE THEORY?
Why does EIPH affect the CdD lobes?(3)
What predisposes a horse to EIPH? (5)
Age
Type of horse
How can we diagnose EIPH? (5)
What can be seen here?

EIPH
RBCs, haemoglobin within foamy macrophages – haemosiderinphages
What can be seen here?

EIPH
Lots of blood and coating walls of trachea
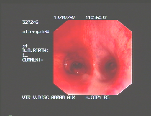
What is this?

Mild case of EIPH
How can we manage EIPH? (3)
What drugs can we use for EIPH and what 2 effects does it have?
What is the problem in the UK?
What is a nasal strip? What do they do?
Where can and can’t we use them?
•Hold nostrils open and widely used in eventing world, not allowed in racing in the UK at this point – can train with them though
What is the prognosis for EIPH?
What is the impact of EIPH on UK racing? (3)
What is the effect of EIPH on the ROW horse racing? (2)
What diseases are foals susceptible to? (3)
What diseases are weanlings susceptible to?
•Infectious causes (bacterial) & contagious
What disease are youn adults susceptibe to?
What disease are old horses susceptible to?
•Recurrent airway obstruction
IS URT more or less common than LRT?
What type of horse is it more common in?
What viral (3) and bacterial (1) disease is tehre of the URT?