Asma Flashcards

(9 cards)

1
Q

Enferemedad que se caracteríza por contracción muscular, edema e infiltración mucosa bronquial e incremento de la secreción

A

Asma

How well did you know this?
1
Not at all
2
3
4
5
Perfectly
2
Q

¿Qué mecanismo patológico bronquial se debe el asma?

A

Hiperreactividad bronquial

How well did you know this?
1
Not at all
2
3
4
5
Perfectly
3
Q

Dos tipos de asma

A

Atópica y no atópica

How well did you know this?
1
Not at all
2
3
4
5
Perfectly
4
Q

Se puede diagnosticar asma mediante imagen?

A
  • No hace dx
  • 75% son normales
How well did you know this?
1
Not at all
2
3
4
5
Perfectly
5
Q

Si existe un patrón por imagen de asma, ¿cuál sería?

A
  • Patrón de hiperclaridad e hiperinsuflación
  • Engrosamiento bronquial
How well did you know this?
1
Not at all
2
3
4
5
Perfectly
6
Q

¿Cuáles son las compliaciones RX que puede tener el asma?

A
  • Consolidación y derreme pleural
How well did you know this?
1
Not at all
2
3
4
5
Perfectly
7
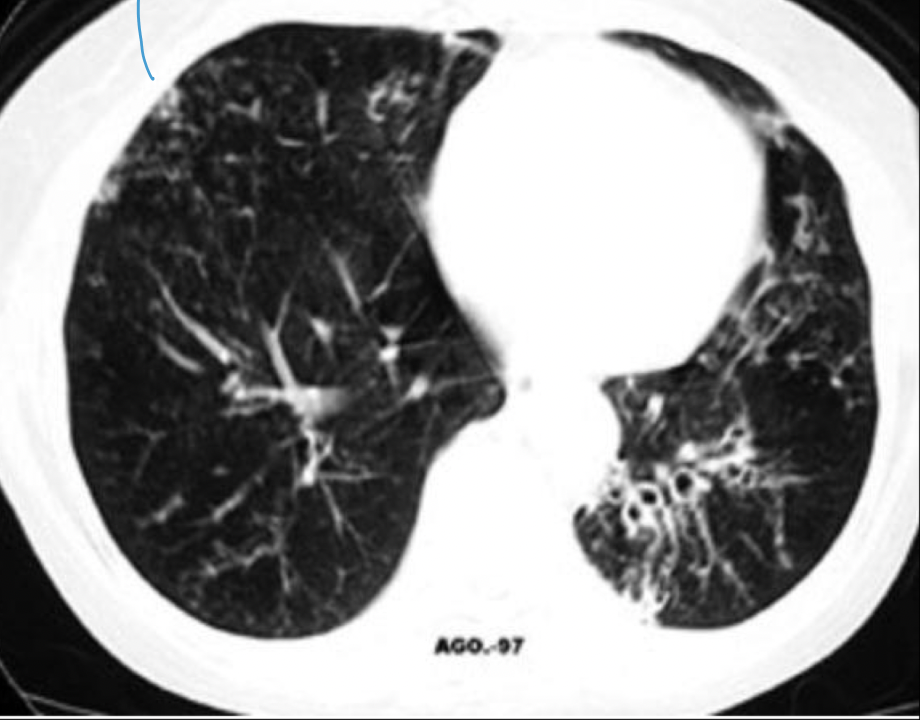
Q

¿Qué buscamos en una TC para asma?

A
  • Para enfermedades asociadas (aspergilosis, neumonía)
  • Hiperclaridad
  • Engrosamiento bronquial
  • Atrapamiento de aire
How well did you know this?
1
Not at all
2
3
4
5
Perfectly
8
Q
  • Hiperclaridad
  • Engrosamiento bronquial
  • Atrapamiento de aire

¿De qué enfermedad nos habla?

A

Asma

How well did you know this?
1
Not at all
2
3
4
5
Perfectly
9
Q

¿De qué nos hablan nódulos centrolobulillares en una persona con asma?

A

Hiperreactividad causada por aspergilliosis

How well did you know this?
1
Not at all
2
3
4
5
Perfectly