EPOC Flashcards

(15 cards)

1
Q

¿Cuáles son los dos px característicos de EPOC?

A
  • Enfisema pulmonar (soplador rosado)
  • Bronquitis crónica (abotargado azul)
How well did you know this?
1
Not at all
2
3
4
5
Perfectly
2
Q

¿A qué costilla debe llegar el diafragma en insuflasión?

A

10-11

How well did you know this?
1
Not at all
2
3
4
5
Perfectly
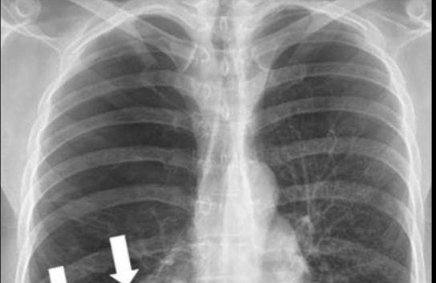
3
Q

Carácterísticas de la RX en enfisema

A
  • Aplanamiento del diafragma
  • Disminución de marcas broncovasculares periféricas.
  • Hiperlucidez pulmonar
  • Bullas
  • Corazón en gota
How well did you know this?
1
Not at all
2
3
4
5
Perfectly
4
Q

¿De qué nos habla un aplanamiento de las costillas y aumento de los espacios intercostales?

A

ENFISEMA

How well did you know this?
1
Not at all
2
3
4
5
Perfectly
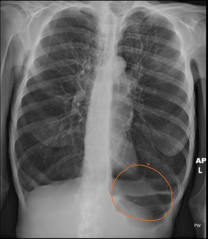
5
Q

Esta lesión es característica de enfisema pulmonar, ¿cuál es y por qué piensas que es esta?

A

Bullas, paredes delgadas e irregulares

How well did you know this?
1
Not at all
2
3
4
5
Perfectly
6
Q

Esta aplanamiento del diafragma con sobreposición del pulmón con el colon nos habla de que enfermedad

A

Enfisema pulmonar

How well did you know this?
1
Not at all
2
3
4
5
Perfectly
7
Q

¿Qué nos permite la TC en EPOC?

A
  • Distinguir distribución (paraseptal, centrolobulillar y panlobulillar)
  • Engrosamiento bronquial
  • Atrapamiento del aire
How well did you know this?
1
Not at all
2
3
4
5
Perfectly
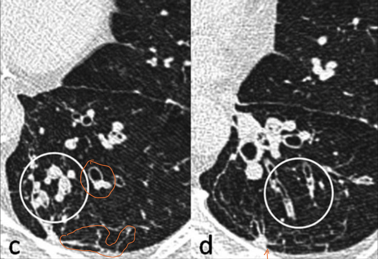
8
Q

¿Patrones de distribución que tiene el EPOC?

A
How well did you know this?
1
Not at all
2
3
4
5
Perfectly
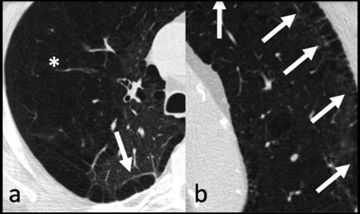
9
Q

Patrón que podemos ver

A

Centrolobulillar

How well did you know this?
1
Not at all
2
3
4
5
Perfectly
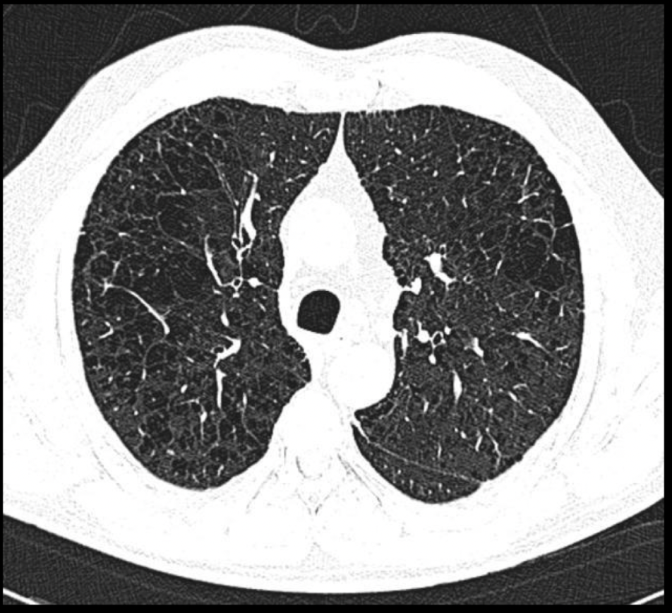
10
Q

Patrón que podemos ver

A

Paraseptal

How well did you know this?
1
Not at all
2
3
4
5
Perfectly
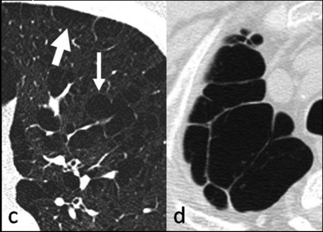
11
Q

Patrón que podemos ver

A

Panlobulillar

How well did you know this?
1
Not at all
2
3
4
5
Perfectly
12
Q

Patrón visible en rx y TC en bronquitis crónica

A
  • Patrón intersticial grueso
  • Imágenes en riel
  • Manguitos peribronquiales
How well did you know this?
1
Not at all
2
3
4
5
Perfectly
13
Q

¿Qué patrón es, qué signo es y de qué enfermedad es?

A
  • Bronquiectasia
  • Rieles de tren
  • Bronquitis crónica
How well did you know this?
1
Not at all
2
3
4
5
Perfectly
14
Q

¿Qué signo es y que enfermedad lo tiene?

A

Manguito peribronquial
Bronquitis crónica

How well did you know this?
1
Not at all
2
3
4
5
Perfectly
15
Q

¿Qué signos encuentras que te indican de una bronquitis crónica?

A
How well did you know this?
1
Not at all
2
3
4
5
Perfectly