Órbita Flashcards

(33 cards)

1
Q

¿Qué es la orbitopatía tiroidea y qué la causa?

A
  • Enfermedad de graves
  • Enfermedad autoinmune asociada con disfunción de tiroides
How well did you know this?
1
Not at all
2
3
4
5
Perfectly
2
Q

Px llega con edema periorbital, dolor, ojo seco, retracción del párpado, ¿de qué enfermedad es esta clínica

A

Clínica de orbitopatía tiroidea

How well did you know this?
1
Not at all
2
3
4
5
Perfectly
3
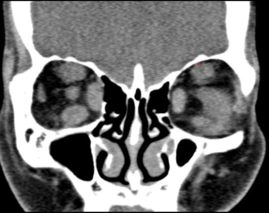
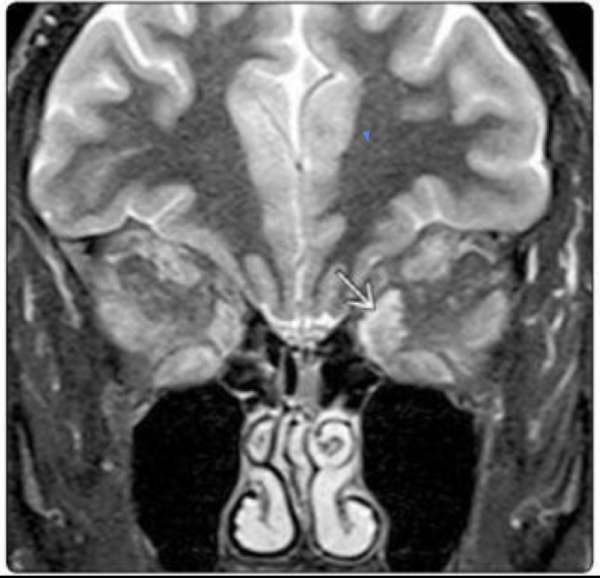
Q

Clave en imagen para diagnosticar la orbitopatía tiroidea

A

Agrandamiento BILATERAL de los músculos extraoculares

How well did you know this?
1
Not at all
2
3
4
5
Perfectly
4
Q

Hallazgos que podemos encontrar en una TC de orbitopatía tiroidea

A
  • Agrandamiento de los músculos extraoculares
  • Áreas de baja densidad debido a depósitos de glucosaminoglicano
  • Exoftalmos
  • Nervio óptico estirado
How well did you know this?
1
Not at all
2
3
4
5
Perfectly
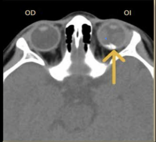
5
Q

¿qué enfermedad sospechas?

A

orbitopatía tiroidea

How well did you know this?
1
Not at all
2
3
4
5
Perfectly
6
Q

¿Qué características esperas encontrar en una RM en secuencia T1 en la enfermedad de orbitopatía tiroidea?

A

Agrandamiento de músculos extraoculares

How well did you know this?
1
Not at all
2
3
4
5
Perfectly
7
Q

¿Qué características esperas encontrar en una RM en secuencia T2 en la enfermedad de orbitopatía tiroidea?

A
  • Aumento de señal en músculos extraoculares en fase agudas
  • Diámetro disminuido del nervio óptico
How well did you know this?
1
Not at all
2
3
4
5
Perfectly
8
Q

¿qué enfermedad sospechas?

A

Orbitopatía tiroidea

How well did you know this?
1
Not at all
2
3
4
5
Perfectly
9
Q

Protusión anormal de uno o dos globos oculares, debido a una alteración que ocupa el espcaio de la órbita, esto es?

A

Exoftalmos

How well did you know this?
1
Not at all
2
3
4
5
Perfectly
10
Q

Causa más común de exoftalmos

A

Orbitopatía tiroidea

How well did you know this?
1
Not at all
2
3
4
5
Perfectly
11
Q

Clínica de exoftalmos

A
  • Edema palpebral
  • Dolor retroocular
  • Diplopía
How well did you know this?
1
Not at all
2
3
4
5
Perfectly
12
Q

Cómo se diagnostíca exoftalmos y cuál es el valor normal de la prueba

A

Exoftalmometría
Normal 16-17 mm

How well did you know this?
1
Not at all
2
3
4
5
Perfectly
13
Q

Gold standard para exoftalmos

A

RM

How well did you know this?
1
Not at all
2
3
4
5
Perfectly
14
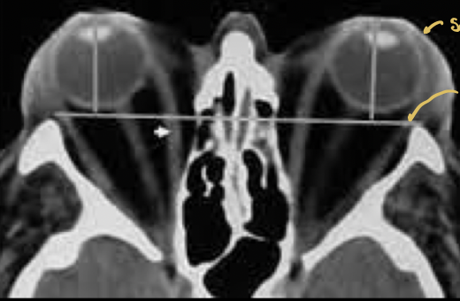
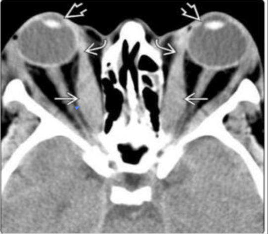
Q

Qué esperas ver en una TC por exoftalmos

A
  • Disociación índice globo ocular-línea intercigomática
  • Aumento de grasa intraorital
How well did you know this?
1
Not at all
2
3
4
5
Perfectly
15
Q

Qué esperas ver en una RM de exoftalmos

A
  • Disociación índice ocular-línea intercantal
  • Masas ocupativas retroocular
How well did you know this?
1
Not at all
2
3
4
5
Perfectly
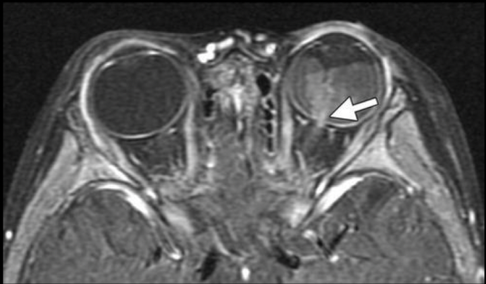
16
Q

¿qué es el retinoblastoma?

A

Tumor maligno primario de la retina

17
Q

Cuantos subtipos de retinoblastoma existen

A
  • Unilateral: un solo ojo
  • Bilateral: Dos ojos
  • Trilateral: retinoblastoma bilateral + tumor pineal
  • Cuadrilateral: retinoblastoma bilateral + tumores pineales y supraselares (hipotalamo)
18
Q

Paciente de 18 meses con leucocoria, pérdida de visión, estrabismo. Diagnóstico?

A

Retinoblastoma

19
Q

Clave en imagen para dx de retinoblastoma

A
  • Calcificaciones intraoculares
20
Q

El USG es útil para dx de retinoblastoma?

A

Sí, podemos ver lesiones hiperecogénica con calcificaciones

21
Q

¿Qué esperas ver en una TC por retinoblastoma?

A
  • Calcificación “manchada” o punteada
  • Capta contraste
  • Tumor trilateral
22
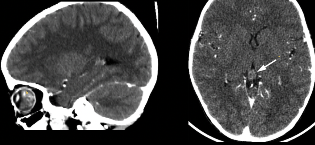
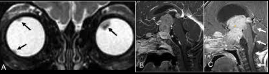
Q

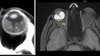
¿de qué enfermedad nos habla la siguiente imagen?

A

Retinoblastoma trilateral

23
Q

¿qué nos permite ver RM en retinoblastoma?

A
  • Evaluar implicaciones intra y extra oculares
  • Identificar hemorragia retinal
24
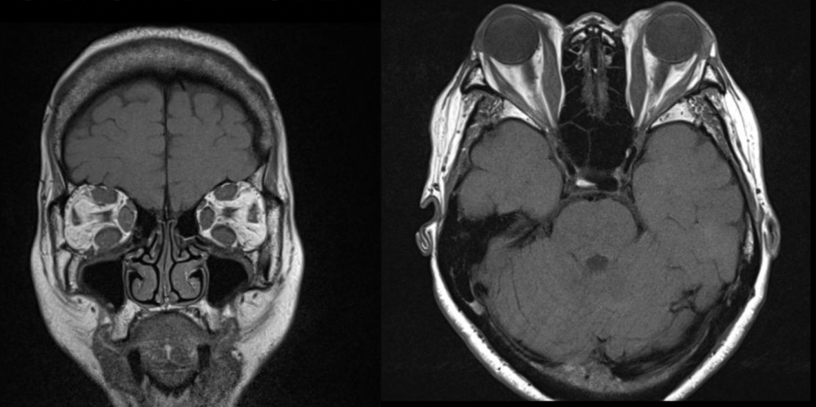
Q

¿de qué enfermedad nos hablan las siguientes imagenes?

A

Retinoblastoma cuadrilateral

25
Dos tipos de desprendimiento de retina
Regmatógeno No regmatógeno
26
Características del desprendimiento regmatógeno
* más común * causado por traumatismos
27
Características del desprendimiento de retina no regmatógeno
* Exudativo por neoplasias * Traccional por retinopatía diabética
28
Como diagnosticar desprendimiento de retina
* Fondoscopia * US/TC * RM para evaluar neoplasias
29
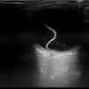
Que estudio es y que se puede ver
USG que muestra retina doblada y brillante
30
De qué enfermedad sospechas?
Desprendimiento de retina
31
Que podemos ver en una RM y TC en desprendimiento de retina
* Hipersensidad * Fluido subretiniano * Neoplasias
32
Cuál es tu diagnóstico
Desprendimiento de retina
33