Oído Flashcards

(20 cards)

1
Q

Clínica de otitis media

A
  • Pérdida unilateral auditiva conductiva
  • Obstrucción del tubo de Eustaquio
  • Masa incidental del oído medio
How well did you know this?
1
Not at all
2
3
4
5
Perfectly
2
Q

Cuál es la causa más frecuente de otitis media

A

Por infección de vías superiores mal tratada

How well did you know this?
1
Not at all
2
3
4
5
Perfectly
3
Q

Mejor estudio de imagen y clave diagnóstica de otitis media

A
  • TC
  • Masa bien definida en oído medio (densidad intermedia) + erosiones osiculares
How well did you know this?
1
Not at all
2
3
4
5
Perfectly
4
Q

A que se asocia la otitis media

A

Se asocia a mastoiditis

How well did you know this?
1
Not at all
2
3
4
5
Perfectly
5
Q

Cuál es tu diagnóstico?

A

Otitis media

How well did you know this?
1
Not at all
2
3
4
5
Perfectly
6
Q

La RM está indicada en las complicaciones de la otitis media, ¿Coque veras en la secuencia T1 y T2?

A

T1: masa hipointensa en oído medio
T2: masa híper intensa en oído y mastoides

How well did you know this?
1
Not at all
2
3
4
5
Perfectly
7
Q

Diagnóstico probable

A

Otitis media

How well did you know this?
1
Not at all
2
3
4
5
Perfectly
8
Q

¿Que es la mastoiditis?

A

Infección de apófisis mastoides que puede ser crónica o aguda

How well did you know this?
1
Not at all
2
3
4
5
Perfectly
9
Q

Complicación de mastoiditis

A

Resorción ósea y desmineralización

How well did you know this?
1
Not at all
2
3
4
5
Perfectly
10
Q

Clave en imagneología para dx de mastoiditis

A

Opacificación de celdillas mastoideas+ colección de líquido (pus o moco)

Si es crónico vemos efecto esclerodiploico que es mastoides osificada

How well did you know this?
1
Not at all
2
3
4
5
Perfectly
11
Q

Complicaciones de la mastoiditis

A

Abscesos que pueden extenderse a fosa posterior y fosa craneal media

How well did you know this?
1
Not at all
2
3
4
5
Perfectly
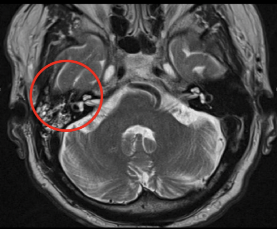
12
Q

Dx de la siguiente imagen

A

Matoiditis

How well did you know this?
1
Not at all
2
3
4
5
Perfectly
13
Q

Para que sirve la RM en mastoiditis y específicamente en T2

A
  • Hiperseña
  • Captación de contraste
How well did you know this?
1
Not at all
2
3
4
5
Perfectly
14
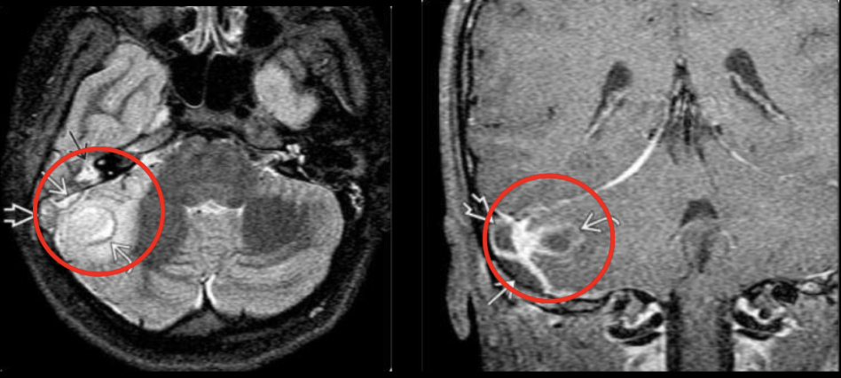
Q

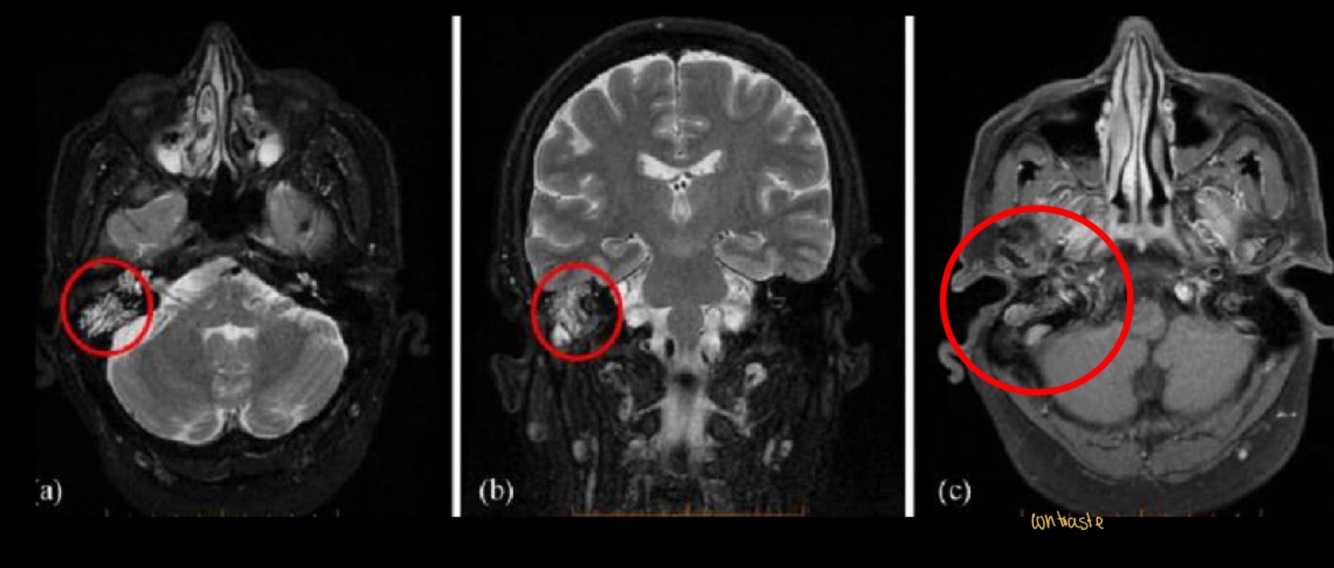
De que enfermedad se trata y qué complicacion está presentando

A

Mastoiditis con invasión a SNC con un absceso que provoca una meningitis

How well did you know this?
1
Not at all
2
3
4
5
Perfectly
15
Q

¿Qué es el colesteatoma?

A
  • Neoplasia de tejido epidérmico que crece en el interior del conducto auditivo
  • Es benigno pero de comportamiento maligno
How well did you know this?
1
Not at all
2
3
4
5
Perfectly
16
Q

A qué afección se debe el colesteatoma

A

Complicación de ostomastoiditis

17
Q

Clínica del colesteatoma

A
  • Dolor retroauricular
  • Sordera
  • Meningitis
  • Destruye hueso y cadena osicular
18
Q

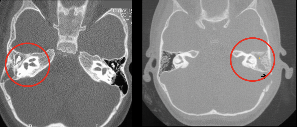
Qué estudio diagnostica el colesteatoma y cuál es la mejor pista

A

TC Y RM
Pista: Masa que destruye el hueso

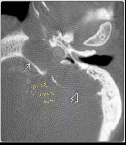
19
Q

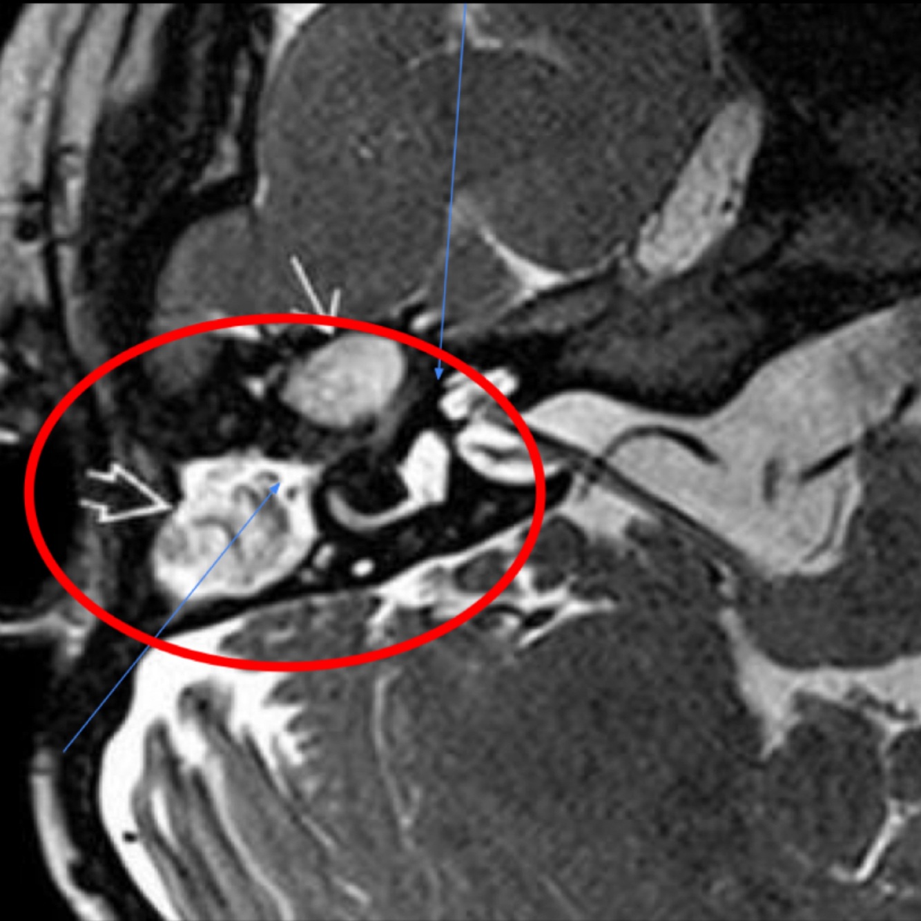
Diagnóstico probable

20
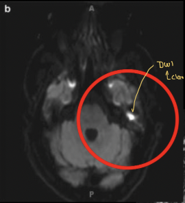
Q

Enfermedad que con la secuencia en T2 tipo DWi se muesta una lesión hipertensa