EVC Flashcards

(45 cards)

1
Q

3 signos principales para detectar EVC

A

Cara caída
No poder levantar brazos
Dificultad del habla

How well did you know this?
1
Not at all
2
3
4
5
Perfectly
2
Q

Tipos de EVC

A

Isquémico
Hemorrágico

How well did you know this?
1
Not at all
2
3
4
5
Perfectly
3
Q

Tipo de EVC más común

A

Isquémico (80%)

How well did you know this?
1
Not at all
2
3
4
5
Perfectly
4
Q

Qué es ictus

A

Deficit neurológico de inicio súbito generalmente de causa vascular

How well did you know this?
1
Not at all
2
3
4
5
Perfectly
5
Q

Epidemiología de la EVC

A

Es la 2da causa de muerte a nivel mundial
3ra causa de incapacidad

How well did you know this?
1
Not at all
2
3
4
5
Perfectly
6
Q

Mecanismo de EVC isquémico

A

Se obstruye el flujo al cerebro

How well did you know this?
1
Not at all
2
3
4
5
Perfectly
7
Q

Tipo de necrosis que causa el EVC isquémico

A

Necrosis licuefactiva

How well did you know this?
1
Not at all
2
3
4
5
Perfectly
8
Q

Qué es la penumbra

A

Es el área de tejido cerebral con poco FSC, de 10 a 22 ml por 100gr de tejido

How well did you know this?
1
Not at all
2
3
4
5
Perfectly
9
Q

Qué es el core

A

El centro de la lesión donde ya no hay nada de irrigación. Es irreversible.

How well did you know this?
1
Not at all
2
3
4
5
Perfectly
10
Q

Cuáles son las fases del EVC isquémico

A

Hiperaguda
Aguda
Subaguda
Crónica

How well did you know this?
1
Not at all
2
3
4
5
Perfectly
11
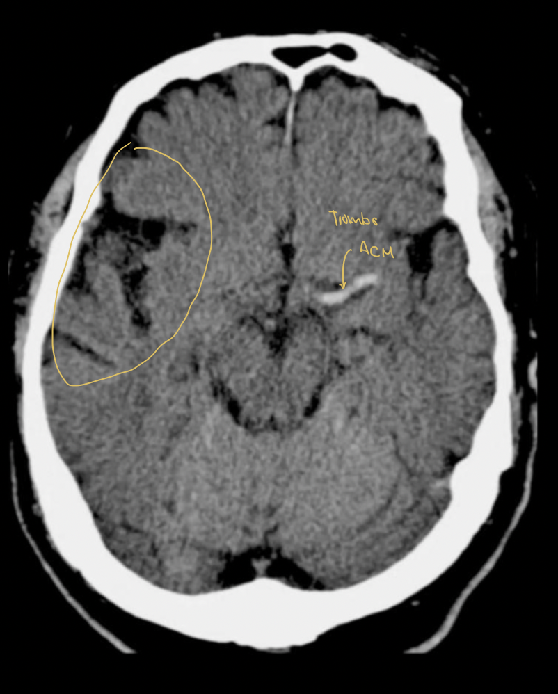
Q

Características del EVC isquémico en fase hiperaguda

A

De 0 a 6 hrs
En 60% de los casos la TC sin datos de ACM (arteria cerebral media) hiperdensa
Signo de la cinta insular

How well did you know this?
1
Not at all
2
3
4
5
Perfectly
12
Q

Qué es el signo de la cinta insular

A

Pérdida de diferenciación de la sustancia gris y blanca en una TC vista en el EVC isquémico en fase hiperaguda

How well did you know this?
1
Not at all
2
3
4
5
Perfectly
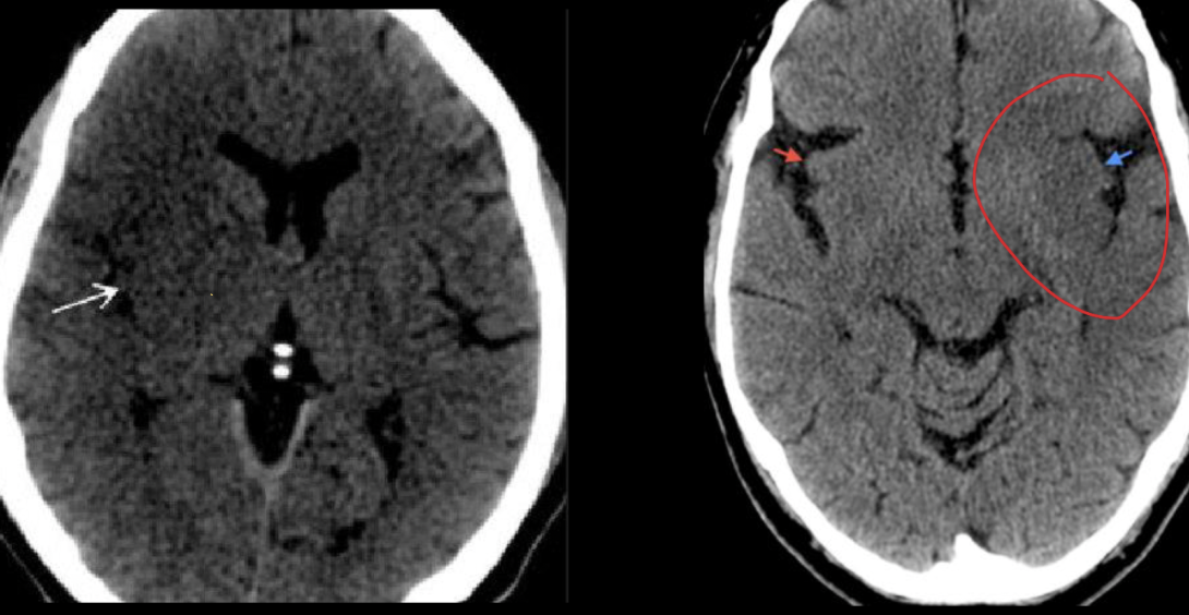
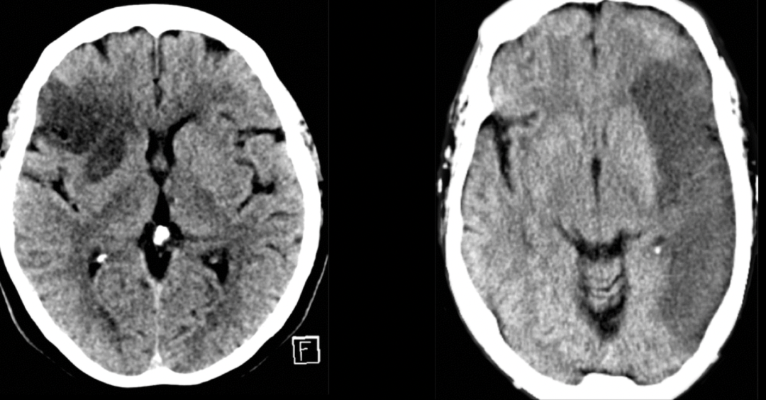
13
Q

Diagnóstico:

A

EVC isquémico en fase hiperaguda

How well did you know this?
1
Not at all
2
3
4
5
Perfectly
14
Q

Diagnóstico

A

EVC isquémico en fase hiperaguda

How well did you know this?
1
Not at all
2
3
4
5
Perfectly
15
Q

Características de la fase aguda del EVC isquémico

A

De 7 a 24hrs
Edema, borramiento de giros y efecto de masa

How well did you know this?
1
Not at all
2
3
4
5
Perfectly
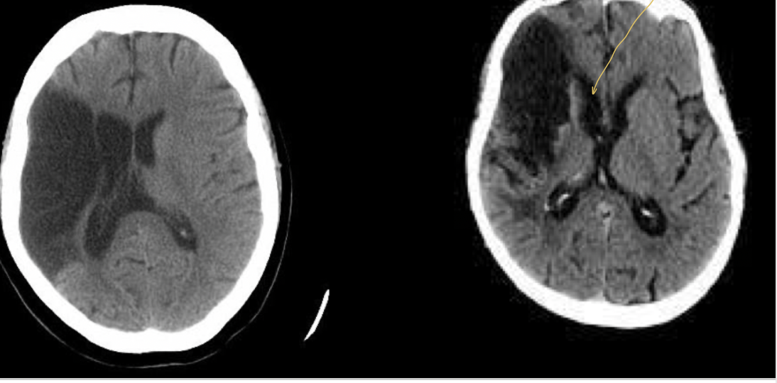
16
Q

Diagnóstico:

A

EVC isquémico en fase aguda

How well did you know this?
1
Not at all
2
3
4
5
Perfectly
17
Q

Características del EVC isquémico en fase subaguda

A

De 24 a 72hrs
Menos edema pero mucha hipodensidad

How well did you know this?
1
Not at all
2
3
4
5
Perfectly
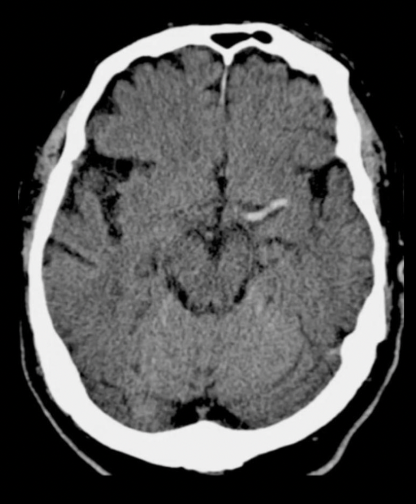
18
Q

Diagnóstico:

A

EVC isquémico en fase a subaguda (24 a 72 h)

How well did you know this?
1
Not at all
2
3
4
5
Perfectly
19
Q

Características del EVC isquémico en fase crónica

A

De meses a años
Encefalomalacia
Hipodensidad a nivel de líquido
Efecto de masa negativo-retracción de ventrículos

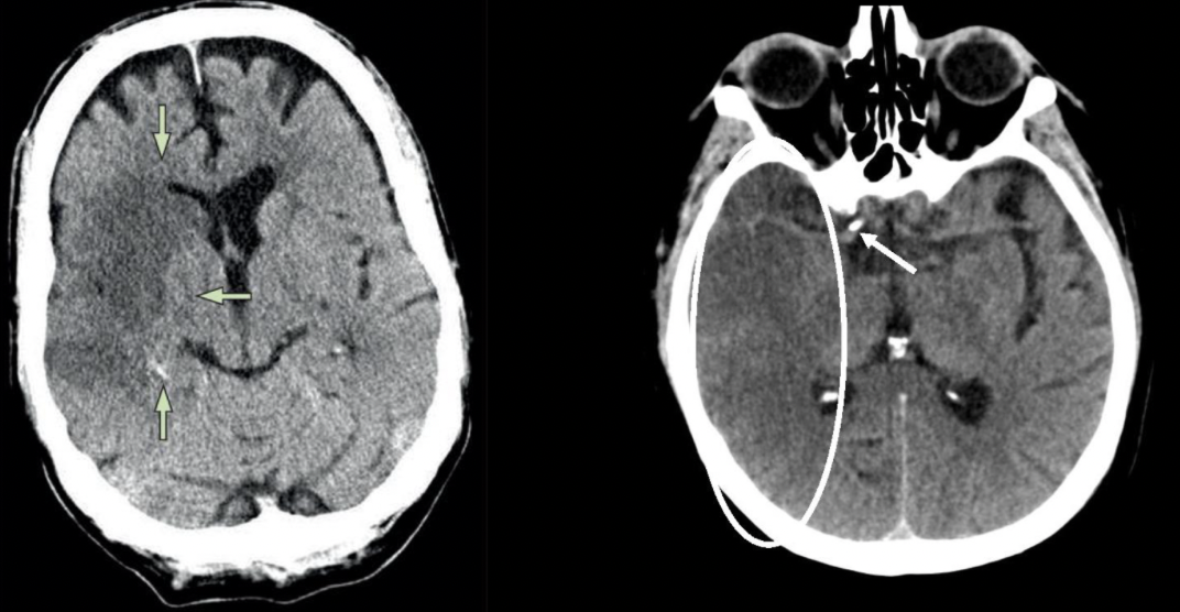
20
Q

Diagnóstico

A

EVC isquémicoen fase crónica

21
Q

Fase de EVC isquémico donde ves signo de la cinta insular

A

Fase hiperaguda

22
Q

Fase del EVC isquémico donde ves Encefalomalacia

A

Fase crónica

23
Q

Qué es encefalomalacia

A

Gliosis- cicatrización del cerebro

24
Q

Que es PERFUCT

A

Técnica de imagen usada en EVC isquémico para evaluar área de core y penumbra

25
Función de hacer angiotac en EVC isquémico
Ver el vaso ocluido
26
Estudio de imagen que tiene alta sensibilidad y especificidad en EVC isquémico en fase aguda
RM
27
Secuencia de difusión de EVC isquémico usados en RM
DWI ADC
28
Por qué se causa el EVC hemorrágico
Hemorragia parenquimatosa o subaracnoidea
29
Cómo se va la sangre fresca en TC
Hiperdensa
30
Causas del EVC hemorrágico
**Hipertensiva** Aneurisma (Px joven) Trombosis venosa Neoplasias MAV´s
31
Causa más común de EVC hemorrágico
Hipertensiva
32
En dónde tiene su hallazgo la causa hipertensiva en EVC hemorrágico
Ganglios basales 80% Cerebelo Tallo cerebral
33
Dx
EVC hemorrágico en ganglios basaeles
34
Signo que podemos ver en TC causado por HSA
Signo de falso realce
35
Dx y qué signo se puede ver
Hemorragia subaracnoidea Signo del falso realce
36
Para que usamos la escala de FISHER
Para medir el riesgo de vasoespasmo en EVC hemorrágico
37
Escala de FISHER
1- sin evidencia de sangrado 2- sangre con una capa menor a 1mm verticalmente 3- coágulo grueso con más de 1mm verticalmente 4- hematoma parenquimatoso
38
Diagnóstico
EVC hemorrágico
39
Estudio que no funciona para ver hemorragia aguda
RM
40
Estudio de imagen gold standard para EVC hemorrágico
TC
41
Estudio de imagen donde podemos ver el estado de degradación de la hemoglobina y residuos de EVC
RM
42
Algoritmo de dx por imagen para EVC hemorrágico
EVC> TC> hemorragia> angiografia o angiotac para ver causa> qx o embolización EVC> TC> sin hemorragia> Trombolisis> TC para evaluar conversión hemorragica> RM para ver residuos
43
TC vs RM en EVC
TC: buena para ver hemorragia RM: buena para ver isquemia
44
Tipo de EVC que se observa
Isquémico, ocurre cuando un coágulo bloquea el flujo de sangre hacia un área del cerebro
45
Tipo de EVC que se observa
Hemorrágico, ocurre por sangrado dentro o alrededor del tejido cerebral