MAVS Flashcards

(14 cards)

1
Q

Que son las MAVS

A

Comunicaciones entre arterias y venas sin intervención de capilares

How well did you know this?
1
Not at all
2
3
4
5
Perfectly
2
Q

Primera causa de hemorragia entre los 15 y 30 años

A

MAV´s

How well did you know this?
1
Not at all
2
3
4
5
Perfectly
3
Q

Clínica de las MAVS

A

EVC
Px joven
Hombres
Normotensos

How well did you know this?
1
Not at all
2
3
4
5
Perfectly
4
Q

Características que ves en una MAV no rota

A

Hallazgo, cefalea y convulsiones

How well did you know this?
1
Not at all
2
3
4
5
Perfectly
5
Q

Características que ves en una MAV rota

A

Cefalea, convulsión, hemiparesia y coma

How well did you know this?
1
Not at all
2
3
4
5
Perfectly
6
Q

Hallazgos que ves en una MAV en CT

A

Sangre en caso de que esté rota

How well did you know this?
1
Not at all
2
3
4
5
Perfectly
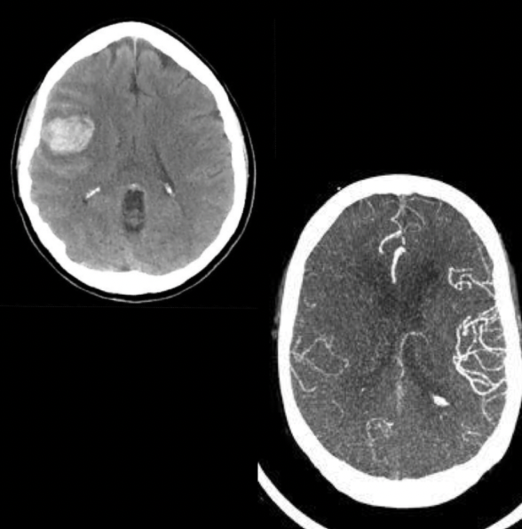
7
Q

Diagnóstico

A
  • MAVs intraparenquimatosas (izq.) y subaracnoidea
How well did you know this?
1
Not at all
2
3
4
5
Perfectly
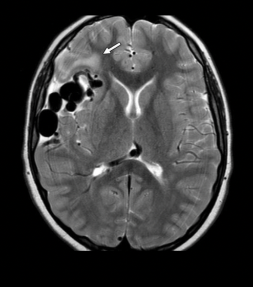
8
Q

Hallazgos que ves en una MAV en RM

A

“Maraña en vasos”
Masa con “vacíos de señal”

How well did you know this?
1
Not at all
2
3
4
5
Perfectly
9
Q

Estudio de imagen gold standard para MAV

A

Angiografía

How well did you know this?
1
Not at all
2
3
4
5
Perfectly
10
Q

Cómo clasificamos la MAV

A

Clasificación de SPETZLER-MARTIN

How well did you know this?
1
Not at all
2
3
4
5
Perfectly
11
Q

Qué evalúa la clasificación de SPETZLER MARTIN

A

La morbimortalidad del tratamiento quirúrgico

How well did you know this?
1
Not at all
2
3
4
5
Perfectly
12
Q

Cómo es la clasificación de SPETZLER MARTIN

A

1-3»> tx qx con menos complicaciones
4 y 5»> sin tx qx por morbimortalidad alta

How well did you know this?
1
Not at all
2
3
4
5
Perfectly
13
Q

Clasificación de SPETZLER MARTIN

A

Ver imagen (pp cabeza y cuello diapo 101)

How well did you know this?
1
Not at all
2
3
4
5
Perfectly
14
Q

Tx para MAVS

A

Embolización
Cirugía

How well did you know this?
1
Not at all
2
3
4
5
Perfectly