Block 2 Flashcards

(177 cards)

1
Q

WHAT IS CELL INJURY?

A

Disruption of homeostasis stress or stimulus was too intense to adapt

How well did you know this?
1
Not at all
2
3
4
5
Perfectly
2
Q

WHAT IS CELL INJURY?

is it reversible?

A

Reversible or Irreversible

How well did you know this?
1
Not at all
2
3
4
5
Perfectly
3
Q

WHAT IS CELL INJURY?
name 6 causes

A

Many Causes:
Bacteria, fungi, viruses (infectious)
Hypoxia or anoxia
Immune-mediated diseases
Genetics
Aging
Toxicity

How well did you know this?
1
Not at all
2
3
4
5
Perfectly
4
Q

WHAT IS CELL INJURY?

If normal cell is stressed, what happens?

A

adaption

How well did you know this?
1
Not at all
2
3
4
5
Perfectly
5
Q

WHAT IS CELL INJURY?
if a normal cell is affected by an injurious stimulous what happens?

A

cell injury

How well did you know this?
1
Not at all
2
3
4
5
Perfectly
6
Q

WHAT IS CELL INJURY?
is a stressed cell is unable to adapt, what happens?

A

cell injury

How well did you know this?
1
Not at all
2
3
4
5
Perfectly
7
Q

WHAT IS CELL INJURY?
if the cell injury is mild and transient what happens?

A

it is reversible

How well did you know this?
1
Not at all
2
3
4
5
Perfectly
8
Q

WHAT IS CELL INJURY?
if the cell injury is severe and progressive, what happens?

A

Not reversible

How well did you know this?
1
Not at all
2
3
4
5
Perfectly
9
Q

WHAT IS CELL INJURY?
if the cell injury is irreversible what are the possible outcomes?

A

cell death
necrosis
apoptosis

How well did you know this?
1
Not at all
2
3
4
5
Perfectly
10
Q

WHAT IS CELL INJURY?
label 1-12

A
How well did you know this?
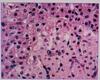
1
Not at all
2
3
4
5
Perfectly
11
Q

EXAMPLES OF CELL ADAPTATION

What is atrophy

A

cells decrease in size or number

How well did you know this?
1
Not at all
2
3
4
5
Perfectly
12
Q

EXAMPLES OF CELL ADAPTATION
what is hypertrophy

A

Hypertrophy: increase in cell size
- cells can increase size of organelles and
cytoplasm
*non-dividing

How well did you know this?
1
Not at all
2
3
4
5
Perfectly
13
Q

EXAMPLES OF CELL ADAPTATION
what is hyperplasia

A

increase in cell number
*dividing

How well did you know this?
1
Not at all
2
3
4
5
Perfectly
14
Q

EXAMPLES OF CELL ADAPTATION
what is metaplasia
example?

A

change in phenotype
- Ex. Cuboidal cells change to squamous cells

How well did you know this?
1
Not at all
2
3
4
5
Perfectly
15
Q

EXAMPLES OF CELL ADAPTATION
what is dysplasia
what is it commonly associated with?

A

disorganized and abnormal cell
growth
- Commonly associated with neoplasia

How well did you know this?
1
Not at all
2
3
4
5
Perfectly
16
Q

ATROPHY
What is it?
are the cells dead?
what kind of change is it, when does this occur?

A

Cell decreases in size
Viable cells - NOT DEAD … just adapting
Physiological change : after birth

from slide:
* a dimunation in the size of the cell, tissue, organs or part that was properly developed.

How well did you know this?
1
Not at all
2
3
4
5
Perfectly
17
Q

What can cause atrophy?
name 6 causes

A

What can cause atrophy?
- Denervation (loss of nerve supply)
- Decreased workload
- Ischemia
- Hypoxia
- Aging
- Poor nutrition Ǖ emaciation

How well did you know this?
1
Not at all
2
3
4
5
Perfectly
18
Q

ATROPHY
what is Serous Atrophy of Fat?
what causes it?
what happens?
where does it happen in the body?
what does it look like?

A

Ex. Serous Atrophy of Fat
- Due to starvation/malnutrition
- Animal mobilizes fat to compensate no stores left
- Heart, Bone marrow, perirenal
- fat turns to fluid/shiny

How well did you know this?
1
Not at all
2
3
4
5
Perfectly
19
Q

ATROPHY
hypoplasia v atrophy
explain

A

never achieved full size
v
decreased size due to decrease in cell number

How well did you know this?
1
Not at all
2
3
4
5
Perfectly
20
Q

Hypoplasia

A

From slide
*incomplete development or underdevelopment of an organ or tissue, it is less severe in degree that aplasia. It is a congenital condition.

How well did you know this?
1
Not at all
2
3
4
5
Perfectly
21
Q

Aplasia

A

from slide
*lack of development of an organ or tissue

How well did you know this?
1
Not at all
2
3
4
5
Perfectly
22
Q

Hypotrophy =abiotrophy

A

from slide
*progressive loss of viatilty of certain tissues (you have something written here, but I cant read it..see slide 5) or organs, leading to disorders or loss of function; applied especially to degenerative hereditary diseases of late onset.

How well did you know this?
1
Not at all
2
3
4
5
Perfectly
23
Q

HYPERTROPHY

A

Increase in cell size leading to increase in size of the tissue or organ

How well did you know this?
1
Not at all
2
3
4
5
Perfectly
24
Q

HYPERTROPHY
What cells commonly undergo hypertrophy?
examples?

A

CELLS WITH LITTLE REPLICATION
- Neurons, cardiac and skeletal muscle, bone, cartilage and smooth muscle

How well did you know this?
1
Not at all
2
3
4
5
Perfectly
25
HYPERTROPHY Why wouldn't we see this in cells that repliate often?
- They can just increase in numbers (hyperplasia) if they are dividing all the time!
26
HYPERTROPHY Physiologic Hypertrophy
exercise, pregnancy *bigger cells!
27
HYPERTROPHY Pathologic Hypertrophy
Pathologic Hypertrophy: cardiac hypertrophy associated with CHF - Disturbance in aortic outflow (any other pathology) - Left ventricle compensates through hypertrophy to increase muscle to help get blood out
28
Hypertrophy: Mechanisms *this is a graph see answer.
29
HYPERTROPHY Concentric what is it? what happens to the ventricle/ventricle chamber? what is Hydrotropic cardiomyopathy (HCM) and what animal?
**Concentric: **Thickening of wall and smaller chamber - Hypertrophic growth of ventricle - Decrease amount of volume of ventricle chamber - Dysfunction of diastolic filling **Hypertrophic cardiomyopathy (HCM)** seen frequently in cats
30
HYPERTROPHY Eccentric what is it? what happens to the ventricles/systolic function? what is dilated cardiomyopathy DCM and what animal?
**Eccentric: **Thinning of wall and larger chamber - Dilation of ventricle without thickening of the ventricles - Decreased systolic function **Dilated Cardiomyopathy (DCM) in Dogs**
31
Hypertrophy explain example of how adaptation to stress can progress to functionally significant cell injury if the stress is not relieved?
Cardiac hypertrophy (different causes/mechanisms) * limit beyond which enlargement of muscle mass is no longer able to cope with the increased burden →several regressive changes occur in the myocardial fibers ( e.g. lysis and loss of myofibrillar contractile elements) * extreme cases →myocyte death
32
Hypertrophy Physiological causes of hypertrophy (2)
-increased workload, e.g. the bodybuilder's skeletal muscle. -ormone stimulation, e.g. the pregnant uterus (smooth muscle hypertrophy)
33
Hypertrophy pathological causes of hypertrophy (2)
-increased resistance e.g.cardiac muscle hypertrophy as a result of working against an increaded peripheral resistance in hypertention (high blood pressure) -physical obstruction, e.g. bladder smooth muscle hypertrophy in outflow obstruction caused by an enlarged prostate gland.
34
These are images of 2 turkey poult hearts taken at post mortem. left is normal. what is happening on the right?
35
This image shows the brain from 2 kittens. which on is abnormal, and what is the vell process?
36
HYPERPLASIA what is it what happens?
An increase in number of cells in an organ or tissue Seen in cells that divide frequently
37
HYPERPLASIA Physiologic explain example
Physiologic: mammary glands, bone marrow (only normal in young animals) Ex. mammary glands get bigger during pregnancy for breastfeeding, after hepatectomy (liver removal), hepatocytes can replicate to form new liver tissue
38
HYPERPLASIA Pathologic explain example
Pathologic: excessive hormones or growth factors Ex. gingival hyperplasia, epidermal thickening (repeated irritation) *thyroid gland
39
Hyperplasia labile cells what are they? where are they? do they become hyperplastic?
Those that routinely proliferate in normal circumstances, such as those of the **epidermis, intestinal epitheliem and bone marrow** cells. readily become Hyperplastic +++
40
Hyperplasia Permanent cells what are they? do they become hyperplasic?
such as n**eurons and cardiac and skeletal muscle**, myocytes, have very little capacity to regenerate or become hyperplastic in most situations +
41
Hyperplasia Stable cells what are they? examples? do they become hyperplastic?
such as **bone, cartilage and smooth musle**, are intermediate in their ability to become hyperplastic ++
42
what is Myostatin? what relevance in whippets and your dogs bella and bleue? lol
Myostatin : protein produced my myocytes that inhibits myocyte growth differentiation and growth Whippets can have a mutation of the myostatin gene which involves a two-base-pair deletion, and results in a truncated, inactive, myostatin protein
43
METAPLASIA what is it? what causes it? what result? what might it increase? where should you look for it?
**Change in phenotype** of an already differentiated cell (*what a cell looks like) - due to chronic irritation (stress) - may decrease function - increases chance of transforming into malignant/neoplastic cells - look for this on **histology!!**!
44
METAPLASIA is it reversible? if so, when? examples
**Reversible if the cause of irritation is removed** - Ex. Irritation to the lungs from smoking - Ex. **Vitamin A **deficiency in chickens
45
What is this? tissue? process? morphologial description? Aetiology?
Tissue : Chicken Oesophagus Process: metaplasia Morphological Description: severe multifocal mucous gland squamous metaplasia Aetiology : Vit A deficiency
46
DYSPLASIA what is it? what happens? what is it associated with?
Abnormal development (cell had not differentiated yet) Change in cell **shape, size and organization **- becomes disorganized Commonly affecting epithelial cells and *associated with neoplastic process*
47
what type of cell adaption is present? dog, liver
48
OTHER IMPORTANT TERMS TO KNOW Hypoplasia what is it? why? examples?
**Hypoplasia: **incomplete development or underdevelopment of a tissue/organ - Cells never fully developed/always have been small Ex. **Cerebellar Hypoplasia Ǖ Feline Panleukopenia Virus**
49
OTHER IMPORTANT TERMS TO KNOW Aplasia what is it?
Aplasia: lack of the development of an organ or tissue literally just didn't show up to the party
50
OTHER IMPORTANT TERMS TO KNOW Hypotrophy what is it?
Hypotrophy: progressive loss of function of tissue
51
what type of cell adaption is present?
52
This image shows the thyroid and patathyroid of a chicken. what is the cell adaption occurring?
53
This is an image of a kidney from a dog. What is the morphological diagnosis?
54
This is an image of a goats hear. What is the cell adaption occurring?
55
This is an image of a bovine abomasum. what is the cell adaption occuring?
56
This is an image of a cats stomach. Wha tis the process?
57
WHAT IS CELL INJURY? (yes this is a repeat, but with more info) what is it? is it reversible? what are the many causes (9) what are the 3 most common causes?
Disruption of homeostasis stress or stimulus was too intense to adapt Reversible or Irreversible Many Causes: Bacteria, fungi, viruses (infectious) Hypoxia or anoxia Immune-mediated diseases Genetics Aging Toxicity **Most common: oxygen deficiency infectious agents common/important immunological dysfunction**
58
Oxygen Deficiency what is hypoxia?
* Hypoxia: **partial reduction** in O2 (oxygen) delivery to a tissue
59
Oxygen Deficiency what is Anoxia
**no** O2 (oxygen)delivery to a tissue
60
Oxygen Deficiency what 4 things cause hypoxia/anoxia?
1 inadequate oxygenation of blood 2 reduced transport of O2 in blood 3 reduction in blood supply=ischema 4 blockage of the cell respiratory enzymes
61
Oxygen Deficiency what 4 things cause hypoxia/anoxia? 1- inadequate oxygenation of blood what happens?
heart failure respiratory failure
62
Oxygen Deficiency what 4 things cause hypoxia/anoxia? 2- reduced transport of O2 in blood what happens?
Anemia carbon monoxide toxicosis
63
Oxygen Deficiency what 4 things cause hypoxia/anoxia? 3 reduction in blood supply=ischema what happens?
Thrombosis
64
Oxygen Deficiency what 4 things cause hypoxia/anoxia? 4 blockage of the cell respiratory enzymes what happens?
**cyanide toxicosis**
65
What are the consequences of aortic thromboembolish in cats?
anoxic damage to muscles of the hind limbs
66
Infectious Agents Name 5
Viruses bacteria fungal (mycosis) protozoan metazoan parasites
67
Infectious Agents viruses what happens does the cell survive?
‒ Obligate intracellular “parasites”use host cell enzyme systems ‒ Cell survival depends on method viruses leave the cell
68
Infectious Agents Bacteria what are they? what happens?
‒ Toxins ‒ Overwhelming and uncontrolled replication
69
Infectious Agents Fungal (mycosis) what result?
Progressive, chronic inflammatory disease
70
Infectious Agents Protozoan what happens what result?
‒ Replicate in specific host cells -->cell destruction
71
Infectious Agents Metazoan parasites what happens?
‒ Inflammation, tissue distortion, utilization of host nutrients
72
Immune Dysfunction what happens?
Immune system fails to respond or Immune system over-responds or aberrant reaction
73
Immune Dysfunction Immune system fails to respond what happens? examples? what kind of defect? is it transient? what result? what kind of infection? treatment?
- Congenital defects: Severe Combined Immunodeficiency (SCIDS, Arabian foals) antigen receptors(lymphocytes) - Acquired defects - May be transient (but not always) : Results from damage to lymphoid tissue : Viral infections, Chemicals, Drugs
74
Immune Dysfunction Immune system over-responds or aberrant reaction what is it? what result? examples?
Immune system over-responds or aberrant reaction - Autoimmune diseases - Hypersensitivity reactions : anaphylaxis, Flea allergy dermatitis, Feline asthma
75
WHAT ARE THE MECHANISMS FOR CELL INJURY? name 6 *** Lots of these mechanisms overlap do not get too caught up in the nitty gritty details!
Depletion of ATP Mitochondrial change Loss of calcium homeostasis Oxidative stress Membrane permeability DNA and protein damage *** Lots of these mechanisms overlap do not get too caught up in the nitty gritty details!
76
WHAT ARE THE MECHANISMS FOR CELL INJURY? ATP DEPLETION why is ATD important? what happens if it is lost? how much is considered "lost"? What result? (name 3) why does it matter in each case?
Cells need ATP as their form of energy to carry out their functions **What happens if ATP is lost?** - 5-10% loss ĺ **VERY BAD** **Failure of the Na+/K+ Pump** Cell membrane damage ĺ loss of gradients (influx of Ca2+, H2O and Na+, Efflux of K+) Swelling of ER **Altered Cell metabolism** Consistently in a state of anaerobic glycolysis Build-up of lactic acid Depletion of glycogen stores **Detachment of Ribosomes** Decreased protein synthesis
77
MITOCHONDRIAL DAMAGE what 3 consequences and what result?
Damage to the mitochondria will lead to the formation of the **mitochondrial permeability transition pore** (MPTP) **What happens when the pore opens?** Membrane potential is lost - ATP depletion from failure of oxidative phosphorylation **Increased Reactive Oxygen Species (ROS)** Released from the mitochondria into the cytoplasm **Activation of Apoptosis** Apoptotic activating proteins leak out and cause programmed cell death
78
LOSS OF CALCIUM HOMEOSTASIS what is it?
Calcium is an ion found in higher concentrations extracellularly If too much calcium builds up intracellularly, different signaling cascades may occur
79
LOSS OF CALCIUM HOMEOSTASIS How can calcium accumulate? (2 ways)
How can calcium accumulate? Release from the ER or the mitochondria Damage from outside of the cell
80
LOSS OF CALCIUM HOMEOSTASIS What happens when calcium accumulates inside the cytoplasm?
What happens when calcium accumulates inside the cytoplasm? Activation of enzymes ĺ **phospholipases, proteases, endonucleases and ATPases* (EUHDNVGRZQ$73«OLN**(breaks down ATP...like girl c'mon seriously?) Opening of the **MPTP** leading to even more decreased ATP!
81
REACTIVE OXYGEN SPECIES (ROS) physiologic or pathologic?
Can be physiologic or pathologic
82
REACTIVE OXYGEN SPECIES (ROS) Can be physiologic or pathologic Physiologic -explain Pathological-explain
Physiologic Ǖ A byproduct produced by the mitochondria during cellular respiration Pathological Ǖ released by activated WBCs during inflammatory responses
83
REACTIVE OXYGEN SPECIES (ROS) how are ROS removed?
ROS are normally removed by scavenging mechanisms - Ex. Antioxidants like Vitamins A and E help remove ROS
84
REACTIVE OXYGEN SPECIES (ROS) how are ROS removed?
****ROS are normally removed by scavenging mechanisms - Ex. Antioxidants like Vitamins A and E help remove ROS
85
REACTIVE OXYGEN SPECIES (ROS) How can cell injury result from ROS?
Increased production causes oxidative stress and decreased scavenging
86
REACTIVE OXYGEN SPECIES (ROS) What can cause oxidative stress?
- radiation, toxins, inflammation, aging, degenerative diseases, etc.
87
REACTIVE OXYGEN SPECIES (ROS) Result:
**Membrane damage, oxidative modification of proteins, DNA damage**
88
Pathological sources of ROS name 4
* Inflammation (lecs to come) * Transition metals (ie. Iron, Copper) * Nitric oxide (NO) * Absorption of radiant energy
89
Pathological sources of ROS * Inflammation (lecs to come) explain
* Inflammation (lecs to come) * Rapid bursts of ROS produced by activated WBCs (esp. neutrophils) - generatessuperoxide anion (O2 *- )
90
Pathological sources of ROS * Transition metals (ie. Iron, Copper) explain
* Transition metals **(ie. Iron, Copper)** * Frequently donate or accept free electrons * **Catalyze free radical formation**
91
Pathological sources of ROS * Nitric oxide (NO) explain
* Nitric oxide (NO) * Important chemical mediator * Generated by endothelial cells, macrophages, neurons, and others * Can act as a free radical * Can be converted into peroxynitrite anion ONOO- , or NO2, or NO3
92
Pathological sources of ROS * Absorption of radiant energy
* H2O + **ionizing radiation ***OH + H
93
Neutralisation of ROS Removal of Free Radicals (4) ways
Spontaneous decay: O2 * + H2O O2 + H2O2 Enzymes Storage and transport proteins Antioxidants - Vitamin E, Vitamin A, glutathione
94
Neutralisation of ROS Removal of Free Radicals Spontaneous decay explain
O2 + H2O O2 + H2O2
95
Neutralisation of ROS Removal of Free Radicals Enzymes explain
Enzymes: catalase,superoxide dismutase, glutathione peroxidase ‒ Break down H2O2 and O2 ‒ Located near sites where oxidants are formed
96
Neutralisation of ROS Removal of Free Radicals Storage and transport proteins explain
Storage and transport proteins - transferrin, ferritin, ceruloplasmin ‒ **Bind reactive metals: Fe, Cu**
97
Neutralisation of ROS Removal of Free Radicals Antioxidants - Vitamin E, Vitamin A, glutathione
Antioxidants - Vitamin E, Vitamin A, glutathione ‒ Block initiation ‒ Inactivate (scavenge)
98
pathological effects:ROS (3)
lipid peroxidation in membranes oxidative modification of proteins lesions to DNA
99
pathological effects:ROS lipid peroxidation in membranes what does it lead to?
extensive membrane damage
100
pathological effects:ROS oxidative modification of proteins what does it lead to?
damage active sites, change conformation, enhance degradation -**generated by monamine oxidase (MOA) in outer nmitochondrial membrane**
101
pathological effects:ROS Lesions in DNA what does it lead to?
cell aging, malignant transformation -MOA: single or double stranded breaks, cross-linking of DNA strands, formation of adducts
102
MEMBRANE DAMAGE which membranes?
All membranes ĺ plasma membrane, mitochondrial membrane and lysosomal
103
MEMBRANE DAMAGE What can cause membrane damage? (5)
ROS Decreased synthesis of phospholipids Decreased production of ATP Increased breakdown of phospholipids ĺ Phospholipases! cytoskeletal abnormalities
104
MEMBRANE DAMAGE What can cause membrane damage? Decreased production of ATP explain
decreased phospholipid synthesis: secondary to defetive mitochondrial function and/or hpoxia decreased production of ATP--> decreaded phospholirid synthesis
105
MEMBRANE DAMAGE What can cause membrane damage? Increased breakdown of phospholipids ĺ Phospholipases! explain
increased phospholipid breakdown: activation of calcium dependent phospholipases accumulation of lipid breadksown products
106
MEMBRANE DAMAGE What can cause membrane damage? cytoskeletal abnormailites explain
-increased cytosolic calcium -->activation of proteases-->damage to cytoskeleton
107
MEMBRANE DAMAGE Plasma Membrane: explain
Plasma Membrane: loss of cellular contents ion and fluid (osmotic) imbalance
108
MEMBRANE DAMAGE Mitochondrial Membrane: explain
Mitochondrial Membrane: MPTP opening leads to the leakage of pro-apoptotic proteins
109
MEMBRANE DAMAGE Lysosomal Membrane explain
Lysosomal Membrane enzyme leakage leading to digestion of proteins and nucleic acids
110
Protein Damage explain
**Accumulation of misfolded proteins ‒ Genetic mutations ‒ Free radical damage Cells have repair mechanisms for misfolded proteins When overwhelmed proteins accumulated in the ER →“ER stress” initiates apoptosis**
111
DNA damage: repair, apoptosis, senescence, cancer explain
**Radiation, cytotoxic anticancer drugs, hypoxia ‒ Direct damage ‒ Free radical damage Cells have repair mechanisms When overwhelmed initiates apoptosis**
112
REVERSIBLE V. IRREVERSIBLE CELL INJURY Reversible explain
Reversible Cell swelling (Hydropic Degeneration) Lipidosis (fatty change) Catch it early or its **GAME OVER**
113
REVERSIBLE V. IRREVERSIBLE CELL INJURY Irreversible explain
Irreversible Necrosis Apoptosis
114
REVERSIBLE V. IRREVERSIBLE CELL INJURY what are the possible 3 responses to cell injury explain
cells have a limited repertoure of responses to injury, depending on the celltype and the nature of teh injury 1-adaption (increase efficiency or productivity) 2-degeneration (diminished functinal capacity) 3-death
115
WHAT DO WE HAVE HERE? Type of cell injury? etiology? reversible or irreversible?
Ballooning Degeneration Swinepox Virus reversible
116
ACUTE CELL SWELLING what is it?
Can be called "hydropic degeneration" or ballooning degeneration (specifically in epidermis) Increase in the size and volume of the cell **"bulging"
117
ACUTE CELL SWELLING How does it happen (2)
How does this happen? Loss of ionic and fluid homeostasis Influx of fluid into the cell leading to cell swelling
118
ACUTE CELL SWELLING Causes (2)
Causes: Hypoxia - how does this cause it? (lack of oxygen which means lack of ATP) Toxins
119
ACUTE CELL SWELLING Which cells are commonly affected? (4)
Which cells are commonly affected? - Cardiomyocytes - Hepatocytes - Proximal Tubule epithelium - Neurons
120
GROSS APPEARANCE OF CELL SWELLING explain 3 features of this photo
- **Pale** in color (pallor) - Wet - Swollen with smooth edges find
121
Morphological changes of cellularswelling name 4
1.Plasma membrane alterations 2.Mitochondrial changes 3.Dilation of the ER 4. Nuclear alterations
122
Morphological changes of cellularswelling Plasma membrane alterations explain
1.Plasma membrane alterations,such as blebbing, blunting, and loss of microvilli
123
Morphological changes of cellularswelling Mitochondrial changes explain
2.Mitochondrial changes, including swelling and the appearance of small amorphous densities
124
Morphological changes of cellularswelling Dilation of the ER explain
3.Dilation of the ER, with detachment of polysomes; intracytoplasmic myelin figures may be present (see later)
125
Morphological changes of cellularswelling Nuclear alterations explain
4. Nuclear alterations, with disaggregation of granular and fibrillar elements
126
The initial change is hydropic degenerative change in cells is:
release of Ca from the endoplasmic reticulum
127
FATTY CHANGE LIPIDOSIS what is it, what does it look like
-presence of inrracytoplasmic fally vacculation -can be seen with cell swelling
128
FATTY CHANGE LIPIDOSIS Etiology: (3)
Etiology: hypoxia, toxicity or metabolic disorders **Abnormalities in the synthesis, utilization and/or mobilization of fat**
129
FATTY CHANGE LIPIDOSIS Pathogenesis:
Pathogenesis: impaired metabolism of Fatty Acids leads to the accumulation of lipids - formation of fat vacuoles
130
FATTY CHANGE LIPIDOSIS Which cell are more susceptible?
Which cell are more susceptible? Cardiac and skeletal muscle, liver (hepatic lipidosis), kidneys Liver is most central organ to lipid metabolism - all these cells need a ton of energy: use fats for energy
131
FATTY CHANGE LIPIDOSIS How does lipidosis occur? (3) what are the main causes? (5)
How does lipidosis occur? ** Excessive delivery of FFAs** from fat stores or diet **Decreased oxidation of FFAs** (not being oxidized into ketone bodies to be used!) **Impaired synthesis of Apoprotein** **Impaired combination of protein and triglycerides** to form lipoproteins (need to be in this form to be transported) ** Impaired release of lipoproteins** from hepatocytes main causes: hypoxia, toxicity, metabolic disorders
132
GROSS APPEARANCE name 4 characteristics of this picture
- Can be yellow/pale - Rounded edges - Greasy texture - Soft
133
HISTOLOGICAL APPEARANCE name 3 characteristics of this picture
Looks like fat! Large cytoplasmic vacuoles **DISPLACES THE NUCLEUS TO THE PERIPHERY**
134
HEPATIC LIPIDOSIS which animals
Seen frequently in mini horses Also seen in ruminants and cats
135
HEPATIC LIPIDOSIS Physiologic in Ruminants what are they why? when?
**Physiologic in Ruminants:** Undergo small amounts of hepatic lipidosis to form ketone bodies to keep up with their energy requirements ** Pregnancy toxemia and early lactation** -very high energy requirements
136
HEPATIC LIPIDOSIS Pathological what happens?
Pathological: obesity (fat accumulation), starvation causing mobilization of fat (liver gets overwhelmed processing all the fat and it can accumulate in the liver) and diabetes also causes mobilizationof triglycerides
137
HEPATIC LIPIDOSIS what result?
Can be fatal: Death of hepatocytes is irreversible - liver dysfunction
138
WHAT HAPPENS WHEN CELL INJURY IS NO LONGER REVERSIBLE?
Necrosis: cell death from irreversible injury by hypoxia, ischemia and direct cell membrane injury
139
WHAT HAPPENS WHEN CELL INJURY IS NO LONGER REVERSIBLE? What do you see morphologically?
Plasma membrane damage *does not stay intact* Swelling of the mitochondria and lysosomes *as well as cell* **USUALLY ACCOMPANIED BY INFLAMMATION UNLIKE APOPTOSIS ***cell shrink/membrane intact* * **If you can see inflammation (redness/swelling) you can assume its necrosis!!**
140
NECROTIC CHANGES 5 changes when do they occur? how long do they occur?
Biochemical alterations occur first! Ultrastructural changes - occur in <6 hours Histological Changes - 6-12 hours Gross changes - 1-2 days Loss of Cell Nuclei Karyolysis: nuclear fading 3 Pyknosis: nucleus shrinks 1 Karyorhexis: nuclear 2 fragmentation *you have gotten skinn/shrink. I can pick you up* Know the attached chart!
141
GROSS APPEARANCE - NECROSIS 3 Characteristic MDx? Inflammation? Etiology? disease name?
Pale Soft Visible zone of inflammation MDx: hepatitis, multifocal coalescing, Inflammation yes Etiology: histomonas meleagridis Disease Name:"blackhead"
142
HISTOLOGICAL APPEARANCE - NECROSIS name 4
**Losing basophilia**, binding of eosin to denatured proteins **turns pick** **Enzyme digested organelles **- Vacuolation and moth-eaten appearance **Calcification **may occur
143
COAGULATIVE NECROSIS where is it seen? why?
Mainly seen in liver, heart, kidney, skeletal muscle Why? Response to h**ypoxia or ischemia** Can be a response to toxic injury **Always think of INFARCTS: local areas of coagulative necrosis**
144
COAGULATIVE NECROSIS Histology?
Histology: Necrotic cells are surrounded by phagocytic WBCs - neutrophils and macrophages
145
LIQUEFACTIVE NECROSIS what is it how does it occur? name 4 can they overlap?
Unique to** CNS** due to high presence of lipids in the brain - Dead cells digested and are transformed into a mass of liquid (PUS!!!) Leukoencephalomalacia: Leukomyelomalacia: Polioencephalomalacia: Poliomyelomalacia: **All of these can overlap!**
146
LIQUEFACTIVE NECROSIS Leukoencephalomalacia white or gray matter where
Leukoencephalomalacia: necrosis of **white **matter of the **brain**
147
LIQUEFACTIVE NECROSIS Leukomyelomalacia white or gray matter? where
Leukomyelomalacia: necrosis of **white** matter of the **spinal cord**
148
LIQUEFACTIVE NECROSIS Polioencephalomalacia: white or gray matter where
Polioencephalomalacia: necrosis of **grey** matter of the** brain**
149
LIQUEFACTIVE NECROSIS Poliomyelomalacia white or gray matter where
Poliomyelomalacia: necrosis of **grey **matter of the **spinal cord**
150
WHAT DO WE HAVE HERE? etiology?
Etiology? Thiamine (B1) deficiency Lead poisoning Polioencephalomalacia
151
WHAT DO WE HAVE HERE? Etiology?
Etiology? Ingestion of Moldy corn containing Fusarium verticilioide Leukoencephalomalacia
152
WHAT DO WE HAVE HERE? Etiology?
Etiology? Equine herpesvirus 1 Rabies (lyssavirus) West Nile Virus (Flavivirus) Poliomyelomalacia
153
GANGRENOUS NECROSIS what is it? how does it start? where and why?
**Usually begins as coagulative necrosis** - affects distal extremities - **Frostbite****
154
GANGRENOUS NECROSIS name 2 bacterial infection?
**Dry gangrene**: no bacterial infection- tissue appears very dry **Wet gangrene**: bacterial infection that makes tissue appear wet - mastitis goat (wet); Clostridium novyi
155
CASEOUS NECROSIS what is it? what is it associated with? examples? histology?
Caseous = **CHEESE** - White necrotic debris Associated with bacteria that can replicate in phagosomes Ǖ hard for body to get rid of! Ex. **Mycobacterium,** Cornyebacterium pseudotuberculosis Ex. **Tuberculosis** Histology: Eosinophilia of necrotic area with a rim of inflammatory cells -** NO NEUTROPHILS**
156
FAT NECROSIS name 4
Enzymatic Necrosis Traumatic Necrosis of Fat Abdominal Fat Necrosis Saponification
157
FAT NECROSIS Enzymatic Necrosis where? why? how?
Enzymatic Necrosis **- Pancreas**, commonly following repeated pancreatitis - Lipases become activated and destroy surrounding adipocytes
158
FAT NECROSIS Traumatic Necrosis of Fat what? why? ex.
Traumatic Necrosis of Fat: - Trauma to tissue can lead to necrosis of surrounding fat Ex. Surgery, Dystocia (difficult birth)
159
FAT NECROSIS Abdominal Fat Necrosis what? where?
- idiopathic or possibly related to vitamin E deficiency - seen in the omentum, mesentery and retroperitoneum - may cause intestinal stenosis *(narrowing)* in extreme cases (lumen of intestines becomes narrow)
160
FAT NECROSIS Saponification what?
Saponification: Fat necrosis where calcium deposits in an injured area
161
FIBRINOID NECROSIS f I D what is it? appearance?
Antigen antibody complexes accumulate and deposit in the walls of arteries following immune reactions (**TYPE III HYPERSENSITIVITY)** - **Fibrinoid = Fibrin + Antigen-Antibody** complexes Looks like fibrin on histology - very strandy!
162
APOPTOSIS Programmed cell death 4 steps
**Programmed cell death** - Cells will activate enzymes to degrade **their own DNA and proteins** - apoptotic cells break up into fragments, called **apoptotic bodie**s, which contain portions of the cytoplasm and nucleus - **plasma membrane stays intact**
163
APOPTOSIS inflamation?
**No inflammation!! - make sure you know this!**
164
APOPTOSIS physiological? pathological?
Physiological: **embryogenesis**, thymus involution Pathological: Viral infection, Extensive DNA damage, accumulation of misfolded proteins
165
WHAT DO WE SEE? (4)
**Cell shrinkage** with increased cytoplasmic density ** Pyknosis:** chromatin condensation Formation of **cytoplasmic blebs and apoptotic bodies** Phagocytosis of apoptotic cells by adjacent healthy cells
166
APOPTOTIC PATHWAYS name 3
Intrinsic Pathway Cytochrome C Extrinsic Pathway
167
APOPTOTIC PATHWAYS Intrinsic Pathway explain
Intrinsic Pathway -** major mechanism of apoptosis** - increased mitochondrial permeability and release of pro-apoptotic molecules (death inducers)
168
APOPTOTIC PATHWAYS Cytochrome C explain
- Cytochrome C:released into cytoplasm to initiate suicide - "point of no return"-->activation of **caspases** **Initiators:** Caspases 8 and 9 **Executioners:**Caspases 3 and 6
169
APOPTOTIC PATHWAYS Extrinsic Pathway explain
Extrinsic Pathway - Initiated by death receptors (TNFs) 2 present on every cell! - some substances bind to these receptors, bind and activate caspases
170
APOPTOSIS - HISTOLOGY How do cells look when they undergo apoptosis?
- Shrinkage - **Plasma membrane remains** intact - - Increased density of cytoplasm
171
REMOVAL OF APOPTOTIC BODIES Apoptotic Bodies 3 characteristics
- Edible for phagocytes - **Expressed phospholipids** in the outer layer of the membrane in order to be identified by macrophages - May become coated with natural antibodies & proteins of the complement system
172
REMOVAL OF APOPTOTIC BODIES Apoptotic Cells 3 characteristics
- secrete substances that recruit phagocytes - some express **thrombospondin,** which is easily identified by phagocytes) - macrophages may produce proteins that bind to apoptotic cells for engulfment
173
DISORDERS W/ APOPTOSIS Too Little Apoptosis what happens?
Too Little Apoptosis **Mutation in p53 gene**(tumor suppresor gene) Defective apoptosis and increased abnormal cell survival Leads to proliferation of neoplastic cells and thus, **neoplasia is a common consequence**
174
DISORDERS W/ APOPTOSIS Too Much Apoptosis?
Too Much Apoptosis: Neurodegeneration and ischemia
175
CASE REVIEWS Remember: Morphologic Diagnosis (MDx) (3)
-pathological process location **distribution(must, duration and severity (optional)**
176
CASE REVIEWS Remember: Etiologic Diagnosis (Edx) (3)
-pathologic process location **cause**
177
CASE REVIEWS
distribution<--locally, extensive, process<--necrotizing hepitatis-->organ/location Edx: Clostridial Hepatitis