Block 6 Flashcards

(54 cards)

1
Q

EXAMPLES OF CELL ADAPTATION

what is:
cells decrease in size or number

A

Atrophy

How well did you know this?
1
Not at all
2
3
4
5
Perfectly
2
Q

EXAMPLES OF CELL ADAPTATION

what is:
increase in cell size (not dividing)
- cells can increase size of organelles and
cytoplasm

A

Hypertrophy

How well did you know this?
1
Not at all
2
3
4
5
Perfectly
3
Q

EXAMPLES OF CELL ADAPTATION

what is:
increase in cell number (dividing)

A

Hyperplasia

How well did you know this?
1
Not at all
2
3
4
5
Perfectly
4
Q

EXAMPLES OF CELL ADAPTATION

what is
change in phenotype
- Ex. Cuboidal cells change to squamous cells

A

Metaplasia

How well did you know this?
1
Not at all
2
3
4
5
Perfectly
5
Q

EXAMPLES OF CELL ADAPTATION

what is:
disorganized and abnormal cell
growth
- Commonly associated with neoplasia

A

Dysplasia

How well did you know this?
1
Not at all
2
3
4
5
Perfectly
6
Q

EXAMPLES OF CELL ADAPTATION

what is:
disorganized and abnormal cell
growth
- Commonly associated with neoplasia

A

Dysplasia

How well did you know this?
1
Not at all
2
3
4
5
Perfectly
7
Q

INTRO TO NEOPLASIA

What is a neoplasm?

A

Pathological Process: Disorders of growth
“new growth” irreversible and unregulated proliferation of cells

How well did you know this?
1
Not at all
2
3
4
5
Perfectly
8
Q

What type of neoplasms are there?
2 what are they

A

Benign Neoplasms: “oma”
ex. Lipoma
*indolent
Malignant Neoplasms:
*aggressive
- Sarcoma: mesenchymal cell origin
- Carcinoma: epithelial cell origin

How well did you know this?
1
Not at all
2
3
4
5
Perfectly
9
Q

Oncology is?
Tumor is?
Cancer is?

A

Oncology - study of neoplasia
Tumor - “swelling”
Cancer - malignant

How well did you know this?
1
Not at all
2
3
4
5
Perfectly
10
Q

Neoplasia
vs.
neoplasm

A

Neoplasia (nee-oh-PLAY-zhuh) is the
uncontrolled, abnormal growth of
cells or tissues in the body, and the
abnormal growth itself is called a
neoplasm (nee-oh-PLAZ-m) or tumor.
It can be benign (bee-NINE) or
malignant.

How well did you know this?
1
Not at all
2
3
4
5
Perfectly
11
Q

what are:
Benign sounding designations attributed to malignant neoplasms:

A
  • Lymphoma, melanoma, mesothelioma, seminoma.
How well did you know this?
1
Not at all
2
3
4
5
Perfectly
12
Q

Hamartoma ?

A

disorganized but benign masses composes of cells indigenous to the
involved tissue (many involve blood vessels); has mutations; now considered
neoplasm.

How well did you know this?
1
Not at all
2
3
4
5
Perfectly
13
Q

Choristoma ?

A

a heterotopic rest of cells (e.g. normal adrenal gland tissue on the
surface of the liver). Example: dermoid.

How well did you know this?
1
Not at all
2
3
4
5
Perfectly
14
Q

COMPONENTS OF A NEOPLASM

2 Main Parts:
what are they?

A

Parenchyma - neoplastic cells
Stroma - connective tissue and vasculature

How well did you know this?
1
Not at all
2
3
4
5
Perfectly
15
Q

COMPONENTS OF A NEOPLASM

Parenchyma
how do they replicate?
are tehy epithelial
are they mesenchymal?

A

Parenchyma - neoplastic cells
- these cells are able to replicate without control or regulation
Can be epithelial - most organs, glands, mucosal and the
epidermis
Can be mesenchymal - connective tissue, endothelial
cells, muscle, bone marrow and blood

How well did you know this?
1
Not at all
2
3
4
5
Perfectly
16
Q

COMPONENTS OF A NEOPLASM

Stroma
how are they produced?
are they neoplastic?

A

Stroma Ǖ connective tissue and vasculature
Produced by neoplastic cell signaling
NOT neoplastic but works for the neoplastic cells

How well did you know this?
1
Not at all
2
3
4
5
Perfectly
17
Q

EPITHELIAL V. MESENCHYMAL CELLS

what are these?

A

Mesenchymal Cells

** spindle shaped** and will be separated
by lots of intracellular matrix (ICM)

How well did you know this?
1
Not at all
2
3
4
5
Perfectly
18
Q

EPITHELIAL V. MESENCHYMAL CELLS

what are these?

A

Epithelial Cells

**tightly packed **squamous, cuboidal
or columnar cells, not a lot of ICM

How well did you know this?
1
Not at all
2
3
4
5
Perfectly
19
Q

NAMING NEOPLASMS
Tissue of Origin:
fribroblasts
prefix?

A

fibro

How well did you know this?
1
Not at all
2
3
4
5
Perfectly
20
Q

NAMING NEOPLASMS
Tissue of Origin:
vascular endothelium
prefix?

A

hemongio

How well did you know this?
1
Not at all
2
3
4
5
Perfectly
21
Q

NAMING NEOPLASMS
Tissue of Origin:
glandular epithelial cells
prefix?

A

adeno

How well did you know this?
1
Not at all
2
3
4
5
Perfectly
22
Q

NAMING NEOPLASMS
Tissue of Origin:
osteoblasts
prefix?

23
Q

NAMING NEOPLASMS
Tissue of Origin:
keratinocytes/keratinizing squamous cells
prefix?

A

in benign=papilloma
if malignant=squmous cell carcinoma

24
Q

NAMING NEOPLASMS
Tissue of Origin:
lymphocytes
prefix?

A

lympho (lymphoma=lymphasarcoma)

25
NAMING NEOPLASMS Tissue of Origin: >1 cell lineage prefix?
teratoma (always benign)
26
NAMING NEOPLASMS Tissue of Origin: melanocytes prefix?
if benign=melanocytoma if malignant= (malignant) melanoma
27
NAMING NEOPLASMS Tissue of Origin: plasma cells prefix?
multiple myeloma (malignant)
28
NAMING NEOPLASMS Tissue of Origin: bone marrow prefix?
leukemia
29
NAMING NEOPLASMS Tissue of Origin: histiocytic cells prefix?
if benign=histiocytoma if malignant=histiocytic sarcoma
30
NAMING NEOPLASMS Tissue of Origin: lipocytes prefix?
if benign=lipoma if malignang=liposarcoma
31
How do you know if a neoplasm is benign or malignant? name 4
Differentiation Growth Rate Invasion Metastasis
32
How do you know if a neoplasm is benign or malignant? Differentiation Well Differentiated: ? Poorly Differentiated:?
Differentiation Well Differentiated: cells resemble the tissue of origin - **benign** Poorly Differentiated: cells look abnormal -**malignant**
33
How do you know if a neoplasm is benign or malignant? Growth Rate Benign: ? Malignant: ?
Growth Rate Benign: slow, progressive, normal mitotic figures Malignant: slow to rapid, erratic, abnormal mitotic figures
34
How do you know if a neoplasm is benign or malignant? Invasion: Benign: ? Malignant: ?
Invasion: Benign: no invasion, capsule often present Malignant: local invasion, usually no capsule present
35
How do you know if a neoplasm is benign or malignant? Metastasis: Benign: ? Malignant: ?
Metastasis: Benign: None Malignant: Frequent
36
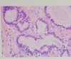
what is this?
Mammary Adenoma
37
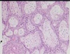
what is this
Mammary Adenocarcinoma
38
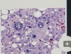
what is this?
Cutaneous Lipoma
39
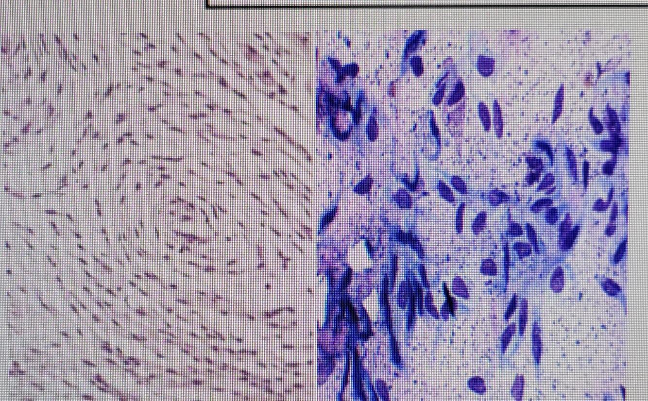
what is this?
Cutaneous Liposarcoma
40
adenoma, papilloma, and polyp are what?
benign epithelial tumors
41
“polyp” and “papilloma” are these the same or diferent?
sometimes used interchangeably
42
a tumor arising from glandular epithelium (e.g. sebaceous gland) or a tumor derived from nonglandular epithelial tissue that exhibits a tubular pattern microscopically is called?
“Adenoma”
43
refers to a benign, usually exophytic (“growing outward”), growth arising from a cutaneous or mucocutaneous surface.
“Papilloma”
44
is a grossly visible, benign epithelial tumor projecting from a mucosal surface (e.g. small intestine).
“Polyp”
45
loss of cellular differentiation +reversion to more primative cellular morphologic features; often indicates irreversible progression to neoplasia. Often hard to identify histologically. is?
anaplasia *the loss of mature and specialized features of the cell
46
# Characteristics we would see with a malignant neoplasm! variation in the size of the cell nucleus is?
Anisokaryosis
47
# Characteristics we would see with a malignant neoplasm! variation in the overall size of the cells is?
Anisocytosis
48
# Characteristics we would see with a malignant neoplasm! cells are variable in appearance is
Pleomorphic
49
# Characteristics we would see with a malignant neoplasm! nucleus is notably darker is?
Nuclear Hyperchromasia
50
karyolysis is? Pyknosis is? karyorhexis is?
nucleus fading nucleus shrinks nuclear fragmentation
51
High nucleus to cytoplasm ration Multiple nucleoli Abnormal mitotic figures refers to?
Anaplasia (I think?)
52
Enlarged organ -frequently in lymphoma Mass lesion Unique **Shapes:** polypoid, papillary nodular, cystic, pedunculated, **umbilicated **(rapid growth) Changes in** color** - frequently in melanoma Demarcation these are all gross features of what?
GROSS FEATURES OF NEOPLASIA
53
csirrhous response carcinoma
multiple nodules or bands or abundant fibrous connective tissue
54
Neoplasia is a result of an abnormality involving: A. Cellular respiration B. Membrane instability C. Organelle growth D. The cell cycle
IDK it doesn't say