Block 3 Flashcards

(79 cards)

1
Q

WHAT IS INFLAMMATION?

A

Ending in “-itis”
Reaction of vascularized living tissues to injury

How well did you know this?
1
Not at all
2
3
4
5
Perfectly
2
Q

WHAT IS INFLAMMATION?

What is the goal of inflammation?

A

Defense mechanism that brings immune cells to affected areas,
stimulates repair and inactivates or destroy pathogens

How well did you know this?
1
Not at all
2
3
4
5
Perfectly
3
Q

WHAT IS INFLAMMATION?

Is inflammation always beneficial?

A

No. Prolonged inflammation may cause more harm to the tissue
than the inciting agent!
Ex. Crohn’s disease, asthma

How well did you know this?
1
Not at all
2
3
4
5
Perfectly
4
Q

WHAT IS INFLAMMATION?

What occurs with inflammation?

A

Accumulation of leukocytes, protein and fluid in the
extravascular tissue
Changes in vascular bed

How well did you know this?
1
Not at all
2
3
4
5
Perfectly
5
Q

WHAT IS INFLAMMATION?

5 Cardinal Signs:

A

redness- rubor
swelling-tumor
heat-calor
pain-dolor
loss of funtion

How well did you know this?
1
Not at all
2
3
4
5
Perfectly
6
Q

WHAT HAPPENS DURING INFLAMMATION?

Increased vascular permeability!
What happens when vascular permeability increases?

A

Leakage of protein-rich fluid (“exudate”) and leukocytes into the
extravascular space

How well did you know this?
1
Not at all
2
3
4
5
Perfectly
7
Q

WHAT HAPPENS DURING INFLAMMATION?

fluid with low protein, low specific gravity, due to hydrostatic/oncotic
pressure imbalances, translucent
(low nucleated cell count)

what is this?

A

Transudate

How well did you know this?
1
Not at all
2
3
4
5
Perfectly
8
Q

WHAT HAPPENS DURING INFLAMMATION?

opaque fluid commonly associated with inflammation
- high protein, high specific gravity, high nucleated cell count

what is this

A

Exudate

How well did you know this?
1
Not at all
2
3
4
5
Perfectly
9
Q

WHAT HAPPENS DURING INFLAMMATION?

accumulation of excess fluid in the interstitium or in body cavities
- tends to be a transudate: low protein, low specific gravity, low nucleated cell
count
- ex. hydrothorax

A

edema

How well did you know this?
1
Not at all
2
3
4
5
Perfectly
10
Q

WHAT HAPPENS DURING INFLAMMATION?

purulent inflammatory exudate
- WBCs, dead cells, and microbe
- (broken down nutrophils and other cells)

A

Pus

How well did you know this?
1
Not at all
2
3
4
5
Perfectly
11
Q

ACUTE INFLAMMATION

which cytokines are involved in acute inflamation?

A

TNFa, 1FN1

How well did you know this?
1
Not at all
2
3
4
5
Perfectly
12
Q

ACUTE INFLAMMATION

EF’N Acute inflamation refers to:

A
  1. Edema
  2. Fibrin - NOT FIBROSIS
  3. Neutrophils
How well did you know this?
1
Not at all
2
3
4
5
Perfectly
13
Q

ACUTE INFLAMMATION

What is fluid with few cells and high protein?

A

Fibrin

How well did you know this?
1
Not at all
2
3
4
5
Perfectly
14
Q

ACUTE INFLAMMATION

3 facts about Fibrin formation in extravascular areas

A

-confinces stimulous to an isolated area
-provides leukocytes with target
–framework for fibroblast and endothelial cell migration in wound healing

How well did you know this?
1
Not at all
2
3
4
5
Perfectly
15
Q

ACUTE INFLAMMATION

The first stage of acute inflamation is?
what happens?

A

Stages of Acute Inflammation:
1. Vasodilation - Release of histamine from mast cells, hyperemia: increase of arteriole-mediated engorgement of
oxygenated blood

How well did you know this?
1
Not at all
2
3
4
5
Perfectly
16
Q

ACUTE INFLAMMATION

what is hyperemia

A

increase of arteriole-mediated engorgement of
oxygenated blood

How well did you know this?
1
Not at all
2
3
4
5
Perfectly
17
Q

ACUTE INFLAMMATION

what is the second stages of Acute Inflammation?

A
  1. Increased Vascular Permeability- Leakage of plasma, antibodies and clotting factor
How well did you know this?
1
Not at all
2
3
4
5
Perfectly
18
Q

ACUTE INFLAMMATION

what is the third stage of acute inflamation?

A

Emigration of Leukocytes - Margination rolling adhesion migration chemotaxis

How well did you know this?
1
Not at all
2
3
4
5
Perfectly
19
Q

ACUTE INFLAMMATION

What is the 4th stage of acute inflammation

A

Phagocytosis - Neutrophils arrive first - engulf inciting agent, fuses with lysosome, produce ROS leading
to oxidative burst

How well did you know this?
1
Not at all
2
3
4
5
Perfectly
20
Q

ACUTE INFLAMMATION

What is the 5th stage of acure inflamation?

A

Termination - M2 macrophages central role: normal vascular permeability is restored and lymphatics drain
excess fluid

How well did you know this?
1
Not at all
2
3
4
5
Perfectly
21
Q

LEUKOCYTE ADHESION CASCADE

What is the 1st step?

A

Margination - moving towards periphery

How well did you know this?
1
Not at all
2
3
4
5
Perfectly
22
Q

LEUKOCYTE ADHESION CASCADE

What is the 2nd step?

A

Rolling - selectins allow for weak binding to
endothelium (slows down the leukocyte in
circulation)
*QB2 Integrins

How well did you know this?
1
Not at all
2
3
4
5
Perfectly
23
Q

LEUKOCYTE ADHESION CASCADE

What is the 3rd step?

A

Adhesion - **Integrins on the leukocyte firmly
bind **to ICAM on endothelium

How well did you know this?
1
Not at all
2
3
4
5
Perfectly
24
Q

LEUKOCYTE ADHESION CASCADE

What is the 4th step?

A

Emigration -moving through the endothelium

How well did you know this?
1
Not at all
2
3
4
5
Perfectly
25
# LEUKOCYTE ADHESION CASCADE What is the 5th step?
Chemotaxis - leukocyte uses signals and migrates to the site of injury
26
# LEUKOCYTE ADHESION CASCADE What are: tethering, weak (E,P,L) mostly on the endothelium?
selectins
27
# LEUKOCYTE ADHESION CASCADE What are firmer (B1 and B2 integrins on leuocytes?
Integrins
28
# LEUKOCYTE ADHESION CASCADE what are: ICAM, VCAM, PECAM (on endothelum?
Immunoglobulin family
29
What do neutrophils & monocytes do once they are at the injury site?
- They express special receptors!
30
Toll-Like Receptors (TLRs)?
recognize microbial products when activated will produce cytokines
31
G protein-coupled receptors (GPCRs)?
recognize bacterial peptides and induces migration of more cells from blood & production of microbicidal substances
32
Opsonin Receptors?
Bind to particles covered by proteins/opsonins (antibodies, complement proteins) resulting in enhanced phagocytosis and intracellular killing
33
Cytokine Receptors
result in macrophage activation
34
# RECEPTOR ACTIVATION What happens to arachidonit acid when these special receptors are activated?
Production of arachidonic acid (causing pain and fear) metabolites from phospholipid cell membrane due to activation of phospholipase
35
# RECEPTOR ACTIVATION What happens to lysosomal enzymes when these special receptors are activated?
Degranulation and secretion of lysosomal enzymes and oxidative burst
36
# RECEPTOR ACTIVATION What happens to the secretion of cytokines when these special receptors are activated?
Secretion of cytokines will amplify and regulate the inflammatory response - mostly via activated macrophages
37
# RECEPTOR ACTIVATION What happens adhesion molecules when these special receptors are activated?
Expression of adhesion molecules on endothelial cells and leading to increased leukocyte avidity
38
# RECEPTOR ACTIVATION ? are usually the first to arrive
Neutrophils are usually the first to arrive
39
# RECEPTOR ACTIVATION Neutrophils are usually the first to arrive Then...
Neutrophils engulf and destroy injurious agents via phagocytosis -Internalize bacteria, foreign bodies, dead cells, - Fuse with lysosomes and digest contents -Oxidative burst produces reactive oxygen species (ROS - free radicals)
40
# TERMINATION How do we stop an acute inflammatory response? How are they controlled by the body?
Inflammatory responses are tightly controlled by the body
41
# TERMINATION How do we stop an acute inflammatory response? what about inflammatory mediators?
Inflammatory mediators have **short half- lives**/produced in very quick bursts... so they do not last long!
42
# TERMINATION How do we stop an acute inflammatory response? Eventually there will be a switch in what resulting in what?
Eventually there will be a **switch in production of pro-inflammatory mediators to anti- inflammatory molecules** such as lipoxins, cytokines and neural impulses that limit macrophage TNF production
43
# TERMINATION What PLAY A CENTRAL ROLE IN TERMINATION?
MACROPHAGES PLAY A CENTRAL ROLE IN TERMINATION
44
# TERMINATION MACROPHAGES PLAY A CENTRAL ROLE IN TERMINATION by doing these 3 things:
-pinocytose any excess edema fluid and proteins -phagocytose necrotic debris - produce **growth factors that initiate repair**
45
# IMPORTANT INFLAMMATORY CELLS what release histamine early response to inflammation
Mast cells
46
# IMPORTANT INFLAMMATORY CELLS what aid with coagulation
Endothelial cells
47
# IMPORTANT INFLAMMATORY CELLS Monocytes: where are they located? what can they form? they are what kind of presenting cell? what important role do they play?
Monocytes: **in the blood** (referred to as "macrophages" when in tissues) - can fuse and form **multinucleated giant cells** - chronic granulomatous inflammation - antigen presenting cells - i**mportant role in termination and recovery of inflammation**
48
# IMPORTANT INFLAMMATORY CELLS Name 3 GRANULOCYTES explain
Neutrophils: inflammation, phagocytes, granules that contain enzymes/ **acute inflammation response to bacteria** Eosinophils: allergies, fungi and **parasitic infections** Basophils: low in numbers - allergies and histamine
49
WHAT CELL TYPE IS THIS? WHAT ROLE DOES IT PLAY?
BASOPHIL: - very low in numbers - allergies and histamine - life span: ~2 weeks - activated by IL-1, IL-3, TNF, IgE
50
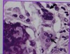
THIS GROSS IMAGE IS SHOWING AN INFLUX OF WHICH CELL TYPE?
NEUTROPHIL: - **first cells to arrive during inflammation** - acute response against **bacteria** - major phagocytic role - contain granules
51
# NEUTROPHILS Neutrophils have what that contain what?
Neutrophils have specific granules that contain important enzymes and molecules
52
# NEUTROPHILS what are Lactoferrin
Lactoferrin: chelates/binds to iron *this is b/c bacteria need iron
53
# NEUTROPHILS what breaks down cell calls?
Lysozyme
54
# NEUTROPHILS what allows for migration through clots
Plasminogen Activation
55
# NEUTROPHILS Neutrophils also have ? which contain potent enzymes
Neutrophils also have primary or azurophilic granules, which contain potent enzymes
56
# NEUTROPHILS Converts H2O2 to HClO (which is extremely toxic against microbes!)
Myeloperoxidase
57
# NEUTROPHILS punch holes in cell membranes
Defensins self defense-->punch
58
# NEUTROPHILS bactericidal permeability-increasing protein
BPI
59
# EOSINOPHILS Bone marrow production stimulated by ?
IL 5/GM-CSF
60
# EOSINOPHILS Attracted by ?
eosinophilic chemotactic factor (mast cells), IgE, histamine
61
# EOSINOPHILS Important in ?
allergic and parasitic conditions
62
# EOSINOPHILS Important in ?
allergic and parasitic conditions
63
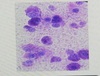
WHAT CELL TYPE IS THIS? WHAT ROLE DOES IT PLAY IN INFLAMMATION?
MONOCYTE: - monocyte in the blood/macrophage in tissues - involved in **chronic inflammation** - major role in **recovery from inflammation** - longer life span
64
WHAT IS PICTURED HERE? WHAT IS ITS SIGNIFICANCE?
MULTINUCLEATED GIANT CELL: - syncytial cells formed by the fusion of 2+ macrophages - **chronic granulomatous inflammation** - formation requires an assortment of inflammatory cytokines
65
WHAT CELL TYPE IS PREDOMINATING HERE? WHAT IS THEIR SIGNIFICANCE?
LYMPHOCYTES: - T and B cells: plasma cells, memory cells, cytotoxic cells - seen with **chronic inflammation** - viral infection
66
WHAT CELL TYPES ARE DISPLAYED HERE? WHAT ROLE DO THESE CELLS PLAY IN INFLAMMATION?
MAST CELLS: - **initiation of inflammation** - release histamine - vasodilation
67
# COMPLEMENT SYSTEM Inflammatory processes are capable of activating what?
Inflammatory processes are capable of activating complement proteins (ex. C3) that are circulating in the blood
68
# COMPLEMENT SYSTEM activation stimulated by what 4 things?
activation stimulated by **antibodies, microbes, endotoxins, venom**
69
# COMPLEMENT SYSTEM How?
- Ag-Ab complexes - Contact with microbial surface molecules complements the ability of antibodies and phagocytic cells to remove pathogens from an organism
70
# 4 TYPES OF ACUTE INFLAMMATION what are they?
Suppurative/Purulent Fibrinous Serous Catarrhal/Mucoid/Mucopurulent
71
# 4 TYPES OF ACUTE INFLAMMATION Identify the acute inflamation that: - thick fluid with mucus - throughout the **GI tract or respiratory tract**
Catarrhal/Mucoid/Mucopurulent
72
# 4 TYPES OF ACUTE INFLAMMATION Identify the acute inflamation that: - fluid with low cells and high protein - fibrin is protein!! - **NOT THE SAME AS "FIBROUS":** this would imply chronic inflammation
Fibrinous
73
# 4 TYPES OF ACUTE INFLAMMATION identify the acute inflamation that: - transudate - low number of cells and protein
Serous
74
# 4 TYPES OF ACUTE INFLAMMATION Identify the acute inflamation that: - infiltration of n**eutrophils** - high protein - think of gross nasty pus!
Suppurative/Purulent
75
WHAT ARE THE POTENTIAL OUTCOMES OF ACUTE INFLAMMATION?
**Resolution** - return to normal state Formation of an **abscess** **Healing by fibrosis - scar formation** Progression to **chronic inflammation** - failure to eliminate
76
WHICH TYPE OF ACUTE INFLAMMATION IS SEEN HERE?
Type of acute Inflammation: Serous Transudate or Exudate: Transudate Pathology Terminology: Hydrothorax Cells:Low Protein:Low
77
WHICH TYPE OF ACUTE INFLAMMATION IS SEEN HERE?
Type of acute Inflammation: Suppurative Transudate or Exudate:Exudate Pathology Terminology:Encephalitis Cells:High Protein:High
78
WHICH TYPE OF ACUTE INFLAMMATION IS SEEN HERE?
Type of acute Inflammation:Fibrinous Transudate or Exudate:Exudate Pathology Terminology:Pleuritis Cells: low Protein:high
79
WHICH TYPE OF ACUTE INFLAMMATION IS SEEN HERE?
Type of acute Inflammation:Catarrhal/Mucoid Transudate or Exudate:Exudate Pathology Terminology:Catarrhal Rhinitis (MCF) Cells:High Protein:High