Block 8 Flashcards

(48 cards)

1
Q

PIGMENTS & TISSUE DEPOSITS

what 2 things can cause neoplasia?

A

Germline Mutations
Acquired Somatic Mutations

How well did you know this?
1
Not at all
2
3
4
5
Perfectly
2
Q

Germline Mutations:

how is it passed? example
is it predisposed? example

A

Germline Mutations:
Passed through sperm/ova
Ex. Pediatric cancer
Familial Predispositions
Ex. Bernese Mountain Dogs - Histiocytic Sarcomas

How well did you know this?
1
Not at all
2
3
4
5
Perfectly
3
Q

Acquired Somatic Mutations:
how is it acquired?
who gets it?

A

Acquired Somatic Mutations:
* Not passed in germline, occurs in individual cells and their
progeny (descendents)
* Accumulate over time
* Seen in geriatric patients

How well did you know this?
1
Not at all
2
3
4
5
Perfectly
4
Q

How Can DNA be altered?
name 3

A

How Can DNA be altered?
* Spontaneous
* Ionized Radiation: UV, Gamma and X-rays
* Oncogenic viruses

How well did you know this?
1
Not at all
2
3
4
5
Perfectly
5
Q

RADIATION

UV radiation forms what?
what happens to the DNA?
who gets it? where? why?

A

UV radiation forms pyrimidine dimers in
DNA

-** overwhelms DNA** repair mechanisms. Ionizing Radiation breaks DNA strands ex. X-rays
Microwaves are NON ionizing radiations.
** Seen commonly in cats and cows - eyes and ears
- not a lot of melanin to protect DNA
ex. Squamous Cell Carcinoma

How well did you know this?
1
Not at all
2
3
4
5
Perfectly
6
Q

wht is this?

A

MDx: Cutaneous Squamous Cell Carcinoma

Etiology: UV Radiation

How well did you know this?
1
Not at all
2
3
4
5
Perfectly
7
Q

what is this?

A

MDx: Ocular Squamous Cell Carcinoma

Etiology: UV Radiation

How well did you know this?
1
Not at all
2
3
4
5
Perfectly
8
Q

CHEMICAL CARCINOGENS
Name 2

A

Urothelial Carcinoma (TCC)
Hepatic Carcinoma

How well did you know this?
1
Not at all
2
3
4
5
Perfectly
9
Q

Urothelial Carcinoma (TCC)
chronic….what?
contains…. what?
example?

A

Chronic bracken fern ingestion
Contains ptaquiloside (a carcinogen)
“Bovine enzootic hematuria”

How well did you know this?
1
Not at all
2
3
4
5
Perfectly
10
Q

CHEMICAL CARCINOGENS

what is this?

A

Urothelial Carcinoma (TCC)
Chronic bracken fern ingestion
Contains ptaquiloside (a carcinogen)
“Bovine enzootic hematuria”

How well did you know this?
1
Not at all
2
3
4
5
Perfectly
11
Q

CHEMICAL CARCINOGENS

What is Hepatic Carcinoma
example?

A

Ingestion of Aflatoxin
- found in moldy food
- diotoxins, nirosamines, polycystice aromatic hydrocarbons (cigarettte smoke)

How well did you know this?
1
Not at all
2
3
4
5
Perfectly
12
Q

CHEMICAL CARCINOGENS
Name 3 Mechanisms

A

-Genotoxic- directly damages DNA
-Cytotoxic-increased cell proliferation foe to cell injury
-mitogenic-increased cell proliteration w/o cell injury

How well did you know this?
1
Not at all
2
3
4
5
Perfectly
13
Q

ONCOGENIC VIRUSES

who gets them?
examples?
what do they “have” and what does it cause?

A

Seen frequently in younger animals

FeLV, BoLV- leukemias and lymphomas (retroviruses)

Have their own oncogenes
- Cause uncontrolled proliferation and can insert mutations into the genome

How well did you know this?
1
Not at all
2
3
4
5
Perfectly
14
Q

what is this?

A

Papillomaviruses: papillomas and carcinomas

MDx: Esophageal Fibropapilloma
Etiology: Bovine Papillomavirus

How well did you know this?
1
Not at all
2
3
4
5
Perfectly
15
Q

what is this?

A

Marek’s Disease: herpesvirus
- leads to many lymphoproliferative diseases
- MDx: Lymphoma
Etiology: Herpesvirus (Marek’s Dz)

How well did you know this?
1
Not at all
2
3
4
5
Perfectly
16
Q

CHRONIC INFLAMMATION

is it bacterial or parasitic?
what can it cause? why?

A

either

Can lead to carcinogenesis
- believed that inflammatory cytokines stimulate cell
proliferation

How well did you know this?
1
Not at all
2
3
4
5
Perfectly
17
Q

what is this?

A

Spirocerca lupi - Esophageal Sarcoma

How well did you know this?
1
Not at all
2
3
4
5
Perfectly
18
Q

what is this?

A

Helicobacter spp. - Gastric carcinoma and lymphoma

How well did you know this?
1
Not at all
2
3
4
5
Perfectly
19
Q

CHRONIC INFLAMMATION

what is Biliary carcinoma?

A

Liver flukes

How well did you know this?
1
Not at all
2
3
4
5
Perfectly
20
Q

CHRONIC INFLAMMATION

Why does spaying decreast the risk of cancers?

A

B/C Hormones can also cause neoplasia (prolonged and increased numbers)

21
Q

CONSEQUENCES OF NEOPLASIA

A

Direct Damage on tissue or organ

22
Q

CONSEQUENCES OF NEOPLASIA

What is Paraneoplastic syndrome?

Is it direct or indirect?
at what point does it indicate neoplasia?
what effect on the body?

A

Paraneoplastic Syndrome:
- Indirect!
-Often the first CS of neoplasia
-Generalized effect on the body Ǖ not due to metastasis
Ex. Endocrine organ tumors

23
Q

CONSEQUENCES OF NEOPLASIA

What is Hyperadrenocorticism Multiple Melanoma?

A

cushing’s Dz
Petuitary Adenoma

24
Q

CONSEQUENCES OF NEOPLASIA

What is wrong with this dog?

A

Cachexia: loss of fat and muscle w/o decrease in metabolic rate
- Increasing caloric intake has no effect

25
# CONSEQUENCES OF NEOPLASIA What is this?
Cerebral Atrophy - SECONDARY to oligodendroglioma
26
# Tumor necrosis * Pathogenesis ? * Secondary? why is this relevant?
* Pathogenesis – Secondary to inflammation in the tumor – Trauma of the tumor – Tumor ‘outgrows’ its blood supply * Secondary inflammatory response and liberation of cytokines (ex: TNF-α) may impact the host’s health * Have to take this in to consideration when sampling a tumor for diagnosis
27
# HYPERTROPHIC OSTEOPATHY what is it?
Periosteal new bone growth: deposited bone on the bone! - Bones appear thicker on radiographs
28
HYPERTROPHIC OSTEOPATHY Why is this important?
Seen frequently in dogs and cats** with space occupying thoracic lesions** Ex. Spirocerca lupi - mass in esophagus Seen with **endocrinopathies** -ex. Hypercalcemia of malignancy
29
HYPERTROPHIC OSTEOPATHY 90% of cases in the dogs are due to what?
apocrine gland adenocarcinoma of the anal sac
30
# HYPERTROPHIC OSTEOPATHY 2 main mechanisms by which cancer can lead to hypercalcemia?
1-local action on bone as may (multiple myeloma or carcinomas) that metastasize to bone 2-tumors that secrete humoral factors that stimulate bone resorption (PTHrP)
31
# How are these two lesions related in this dog: A. Hypergastrinemia B. Hyperhistaminosis C. Hyperviscosity syndrome D. These are unrelated (coincidental) lesions
b
32
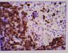
what are these disgusting pictures?
excessive histomine=acidity leads to digested blood
33
This is an example of : A. Cancer cachexia B. Ectopic hormone production C. Paraneoplastic syndrome D. Nodular dermatofibrosis
c
34
# DIAGNOSIS - CYTOLOGY name 4 advantages
1Quick and cheap - fine needle aspirate (FNA) 2Less invasive than histology 3Can determine benign v. malignant 4 Can see epithelial cell, mesenchymal cell or round cell tumor
35
# DIAGNOSIS - CYTOLOGY what is this?
epithelial cells
36
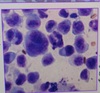
# DIAGNOSIS - CYTOLOGY what is this?
Round cells *aggressice b/c many cells different size multi nucleaus
37
DIAGNOSIS - CYTOLOGY ROUND CELL TUMORS: name the 5 characteristics (please help me learn this)
Plasma Cell Histiocytoma Mast Cell Lymphoma Transmissible venereal (TVT) *spread beyond the original host via physical transplantation following direct physical contact between animals of the same species *Tasmanian devils have a transmissable face tumor * mouth and face * fighting/facial biting Severe viral induced tumors (papilloma)-multiple species
38
Cytology results: ‘few reactive spindle cells’, inconclusive. What is the next best step? A. Exise and monitor and biopsy B. Culture for infectious organisms C. Histological examination of a biopsy D. Stage for metastasis
a Incisional vs **excisional?** Anything special you would do before sending to lab?
39
# DIAGNOSIS - MARGIN ASSESSMENT what do you use? Margins can be clean or dirty based on what? what is an important indication of prognosis? Do clean margins guarantee complete excision?
Use surgical Ink based on absence or presence of tumor cells Completeness of excision is an important indication of prognosis Remember: clean margins **do NOT** guarantee complete excision
40
# DIAGNOSIS - HISTOPATHOLOGY what does it do?
Helps examine **cell morphology** and **criteria of malignancy**
41
# DIAGNOSIS - HISTOPATHOLOGY what are features of anaplasia?
- features of anaplasia, degree of differentiation, invasion, mitotic rate
42
DIAGNOSIS - HISTOPATHOLOGY What is the difference between incisional biopsy and excisional biopsy? which is most common? which requires you remove the tumor no matter what?
**Incisional Biopsy**: diagnosis might affect surgical removal plan **Excisional Biopsy:** diagnosis will NOT affect surgical removal plan Removing the tumor... **no matter what! - Most common**
43
DIAGNOSIS - HISTOPATHOLOGY Name 2 example?
SPECIAL STAINS: Mast Cell Tumors: Toluidine Blue Amelanotic Melanoma: Fontana Masson's
44
DIAGNOSIS - IMMUNOHISTOCHEMISTRY what do you use? what does it detect? why do you do it? when do you use it?
Uses dye-labelled antibodies to **detect proteins expressed by neoplasm** Helps improve accuracy of diagnosis - used in **poorly differentiated neoplasms**
45
DIAGNOSIS - IMMUNOHISTOCHEMISTRY SPECIAL STAINS: Name 2 examples
SPECIAL STAINS: Sarcomas: Vimentin and Desmin Carcinomas: Cytokeratin
46
# DIAGNOSIS - IMMUNOHISTOCHEMISTRY What is a sentinel lymph node? Can there be more than one?
_ the first lymph node to which cancer cells are most likely to spread from a primary tumor. there can be more than one.
47
# DIAGNOSIS - IMMUNOHISTOCHEMISTRY what is this?
Canine Lymphoma - immunohistochemically positive for CD3 (brown color), indicating a T lymphocyte neoplasm.
48
# PROGNOSIS AND CLINICAL STAGING Tumors can be staged or graded what is grading? what is staging?
Grading: Describing the cells and morphology under a microscope - usually requires a block of tissue -Are they normal? Abnormal? Staging: Gives an indication of the extent of tumor growth and spread - Used as a prognostic factor - Size of tumor, depth of invasion, regional lymph node involvement, extent of metastasis