Block 5 Flashcards

(111 cards)

1
Q

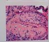
PULMONARY EDEMA

what is it and what is it associated with?

A

Accumulation of fluid in interstitium and alveoli of the lungs
Associated with Left-Sided Congestive Heart Failure (CHF)

How well did you know this?
1
Not at all
2
3
4
5
Perfectly
2
Q

PULMONARY EDEMA

Left-Sided Congestive Heart Failure (CHF)
why?

A

heart can’t pull blood back from lungs bc left side has failed.
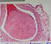
-increased hydrostatic pressure
-transudate

How well did you know this?
1
Not at all
2
3
4
5
Perfectly
3
Q

Left-Sided Congestive Heart Failure (CHF)
Gross Appearance:

(yes is is gross btw)

A

Gross Appearance:
- Lungs are expanded, heavy and wet
- Froth in airways on cut surface
- Congestion of blood (reddish areas)

How well did you know this?
1
Not at all
2
3
4
5
Perfectly
4
Q

what is:

Most commonly will result from CHF

Resulting in thickness of the alveolar walls

Possible fibrosis (scar formation)

Presence of siderophages
- alveolar macrophages filled with hemosiderin
- *b/c RBc’s staying there and breaking down.
- Perl’s Stain

A

CHRONIC PULMONARY EDEMA

How well did you know this?
1
Not at all
2
3
4
5
Perfectly
5
Q

CEREBRAL EDEMA

what is it?
what does it look like?
what causes it?

A
  • Edema of the brain
  • narrow sulci and flattened gyri
    What could cause this?
  • inflammation
  • trauma
  • obstruction of venous outflow
How well did you know this?
1
Not at all
2
3
4
5
Perfectly
6
Q

CEREBRAL EDEMA

histology?
consequences?
hint what is cerebral coning, what is cerebral herniation?

A

Histology: Virchow-Robin spaces are expanded

Consequences:
Cerebellar coning - Herniation of the cerebellum
through the foramen magnum
Cerebral herniation - Herniation of caudal
cerebral cortex beneath the tentorium cerebelli

How well did you know this?
1
Not at all
2
3
4
5
Perfectly
7
Q

HYPEREMIA V. CONGESTION

increase of arteriole-mediated engorgement of
oxygenated blood
- active process

what is this?

A

Hyperemia

How well did you know this?
1
Not at all
2
3
4
5
Perfectly
8
Q

HYPEREMIA V. CONGESTION

venous engorgement of non-oxygenated blood
- passive process

what is this?

A

Congestion

How well did you know this?
1
Not at all
2
3
4
5
Perfectly
9
Q

HYPEREMIA V. CONGESTION

Physiological?
Pathological?

A

Physiological: Exercising, blushing (neurovascular), digestion
Pathological: Inflammation

How well did you know this?
1
Not at all
2
3
4
5
Perfectly
10
Q

GROSS APPEARANCE OF HYPEREMIA

Name 4

A

Reddening of tissue

Swelling

Warm to the touch

Tends to be localized

How well did you know this?
1
Not at all
2
3
4
5
Perfectly
11
Q

GROSS APPEARANCE OF CONGESTION

name 4

A

Darker in color - red/blue/black
(cyanotic)

Tissue is usually cooler in temperature

Well ooze blood when the surface is cut

Often wet

How well did you know this?
1
Not at all
2
3
4
5
Perfectly
12
Q

Acute congestion
vs
chronic congestion

what are the differences?

A

Acute: Engorged capillaries, +/- edema

Chronic:
hypoxia (decreased oxygen b/c deox blood staying in vessels. No room for oxygenated blood to come in), cellular atrophy, cellular degeneration/necrosis

How well did you know this?
1
Not at all
2
3
4
5
Perfectly
13
Q

Pulmonary ? no idea what crossing out the word congestion is supposed to mean?

so what is this picture?
what caused it?
what is the pathomecanism?
what do you expect to see under histology?

A

What could cause this? Left Sided CHF
What is the pathomechanism? Increased Hydrostatic Pressure
What do you expect to see under histology? Siderophages

How well did you know this?
1
Not at all
2
3
4
5
Perfectly
14
Q

HEPATIC CONGESTION

omg this is so nasty–check out the photo and…

What could cause this?
What is the pathomechanism?
What is another name for this appearance?

A

What could cause this?
Right Sided CHF
What is the pathomechanism?
Increased Pressure, Hypoxia and Necrosis
What is another name for this appearance?
Nutmeg liver

How well did you know this?
1
Not at all
2
3
4
5
Perfectly
15
Q

WHAT IS HEMORRHAGE?

define
what does external and internal refer to?
why is this NOT the same as hypermia/congestion?

A

Blood escapes from the vasculature

Can be external or internal - in other words,
within the tissue or body cavities

Remember this is NOT the same as
hyperemia/congestion - these are within the
vasculature

How well did you know this?
1
Not at all
2
3
4
5
Perfectly
16
Q

CLASSIFICATION

due to a small defect in
the vessel wall or RBCs passing through vessel wall due to
increased capillary permeability (ex. Inflammation)
Other examples: congestion, hypoxia,

what is this called?

A

Hemorrhage by Diapedesis:

How well did you know this?
1
Not at all
2
3
4
5
Perfectly
17
Q

CLASSIFICATION

due to a substantial tear in the
vasculature
Ex. trauma, blood vessel necrosis, neoplasia invasion into
the vessel

what is this called?

A

hemorrhage by Rhexis

How well did you know this?
1
Not at all
2
3
4
5
Perfectly
18
Q

HEMORRHAGE & CLASSIFICATION

which is internal which is external?

A

Hemothorax
left=external
right=internal

How well did you know this?
1
Not at all
2
3
4
5
Perfectly
19
Q

PETECHIAE

what are they?
describe

A

Small pin-point hemorrhages
~1-2 mm in size
Commonly seen on the skin, mucosal and serosal surfaces

left=smallintestine of cow
right=abomasum of cow

How well did you know this?
1
Not at all
2
3
4
5
Perfectly
20
Q

PURPURA

what are they
describe

A

Kidneys-dog
Larger in size than petechiae
~3mm-1cm in size
Commonly seen on the skin, mucosal and serosal surfaces

How well did you know this?
1
Not at all
2
3
4
5
Perfectly
21
Q

ECCHYMOSES

what is this?
describe

A

Larger in size than purpura
** ~1-2cm in size**
Seen in bruises or small hematomas

left=sucutaneous tissue
right=large intestine of cow

How well did you know this?
1
Not at all
2
3
4
5
Perfectly
22
Q

AGONAL HEMORRHAGES in Heart

what causes this appearance?

A

Terminal hypoxia

left=epicardium
2 right=endocardium

How well did you know this?
1
Not at all
2
3
4
5
Perfectly
23
Q

SUFFUSIVE & PAINTBRUSH HEMORRHAGE

what is this?
describe

A

left=suffusive
-continuous and larger than ecchymoses

right=paint-brush
looks like red paint was hastily applied by a paint brush

How well did you know this?
1
Not at all
2
3
4
5
Perfectly
24
Q

HEMATOMA

what is this?
describe

A

left=splenic hematome
right=ovarian hematoma
Accumulation or pockets of blood
Can be caused by trauma (ex. Spleen)
Surrounded by a capsule

How well did you know this?
1
Not at all
2
3
4
5
Perfectly
25
# HEMORRHAGIC DIATHESIS what is this? describe
Increased tendency to hemorrhage from insignificant injuries -i.e. not trauma Platelet disorders and coagulation disorders
26
# SUBDURAL & EPIDURAL HEMORRHAGE what is bleeding between the dura matter and skull vs. bleeding between the arachnoid matter and the dura matter
AH HA! the first is epidural the second is subdural
27
what do we call this? what could cause this?
Hemoperitoneum Incomplete detachment of trophoblasts in uterus postpartum
28
what do we call this? what can this lead to?
Hemopericardium Cardiac tamponade 2 fatal complication from pressure on the heart
29
What do we call this? What could cause this?
Hemothorax Spirocerca lupi - causes vasculitis and loss of integrity of the vascular wall ĺ aortic rupture
30
identify and describe
Hyphema Between the cornea and the iris Cat w/ FIP
31
identify and describe
Hem(blood)arthrosis(arthritis=joints) In the joint space
32
identify and describe
Epistaxis Bleeding from the nose
33
identify and describe
Hem(blood)optysis(spitting) Coughing up blood Can be mixed with mucus
34
identify and describe-poop terms
Hema(blood)tochezia(pooping) Fresh blood in the stool Bright red *lower GI tract b/c blood isn't digested
35
what is Hematemesis
Hema(blood)temesis(vomiting) Vomiting blood
36
identify and describe poop terms
Melena (black) Tarry blood in the stool Very dark red
37
# RESOLUTION OF HEMORRHAGE What is resolution dependent on?
**The amount of hemorrhage present** ex. Smaller hemorrhages have the ability to be reabsorbed while larger hemorrhages will require phagocytosis and degradation of RBCs Organizing hematomas may form and contain a mass of RBCs and fibrin encapsulated in connective tissue - will eventually become phagocytized by macrophages
38
# RESOLUTION OF HEMORRHAGE what is this?
Aural Hematoma
39
# RESOLUTION OF HEMORRHAGE Bruising Colors: purple= green= yellow/orange=
Bruising Colors: Hemoglobin (purple) is converted to bilirubin(green) and eventually hemosiderin(yellow/orange)
40
# Hemorrhage: Clinical significance generally dependent upon.....? explain hemorrhagic shock
(volume and rate) Profuse blood loss --> acute anemia --> hypovolemic shock --> death - Anemia due to repeated small hemorrhages. E.g.: parasites *chronic anemia
41
# Hemorrhage: Clinical significance Determined by....? explain compressive effects when can it be fatal?
the location and severity e.g.: - Hemorrhage in the brain or heart (pericardium) can be fatal. - Mechanical compression of organs due to a hematoma
42
# HEMOSTASIS what is it? hint: blood
Main physiological response to vascular damage - helps prevent blood loss by sealing injured vessels - keeps the blood fluid inside the vasculature (i.e. no clots!)
43
# HEMOSTASIS How does hemostasis work? first step is....
1. Injury vascular endothelium leads to reflex vasoconstriction (via endothelin)
44
# HEMOSTASIS How does hemostasis work? 1. Injury vascular endothelium leads to reflex vasoconstriction (via endothelin) 2. second stage is....
2. Primary Hemostasis: Platelets (thrombocytes) - Adhesion, activation and aggregation
45
# HEMOSTASIS How does hemostasis work? 1. Injury vascular endothelium leads to reflex vasoconstriction (via endothelin) 2. Primary Hemostasis: Platelets (thrombocytes)- Adhesion, activation and aggregation 3. third stage is.....
3. **Secondary Hemostasis:** Coagulation cascade - consists of the intrinsic and extrinsic pathways - Leads to thrombin formation - **Thrombin converts fibrinogen into fibrin**
46
# HEMOSTASIS How does hemostasis work? 1. Injury vascular endothelium leads to reflex vasoconstriction (via endothelin) 2. Primary Hemostasis: Platelets (thrombocytes) - Adhesion, activation and aggregation 3. Secondary Hemostasis: Coagulation cascade - consists of the intrinsic and extrinsic pathways - Leads to thrombin formation - Thrombin converts fibrinogen into fibrin 4. fourth stage is....
4. Fibrinolysis - breaking down the clot *Coagulation factors are plasma protiens produced mainly by the liver
47
# HEMOSTASIS What happens at the end of the cascade?
* Clot is stabilized by fibrin * Contraction of fibrin-platelet clot * Reduces size of the clot to restore normal blood flow
48
# HEMOSTASIS How can coagulation fail?
* Hepatic diseases - Why? Liver is where coagulation factors are produced * Nutritional deficiencies - Vitamin K * Lack of clotting factors ex. Hemophilia * Toxins - Warfarin toxicosis(anti-coagulation meds--what I took) * Platelet defects - thrombocytopenia * Bacterial invasion during the formation of the clot - leads to prolonged healing
49
# THROMBOSIS what is it? where?
Inappropriate activation of the normal hemostatic process: - Solid mass (thrombus) is formed within the cardiovascular system - May occlude the vascular lumen
50
# THROMBOSIS What makes up a clot?
RBCs, Platelets and Fibrin
51
# THROMBOSIS What makes a thrombus different than a PM clot?
Adhered to the vascular wall, dry, firm and friable * know thrombus is adheredto vascular
52
what is this?
THROMBOSIS Pulmonary Artery - Cow
53
what is this?
THROMBOSIS Renal Artery - Cow
54
# VIRCHOW'S TRIAD what does this refer to?
3 components contribute to the formation of a thrombus:
55
who is the"Father of Modern Pathology"
Rudolf Ludwig Carl Virchow
56
# VIRCHOW'S TRIAD 3 components contribute to the formation of a thrombus: what are they?
1. **Endothelial Injury** Damage to the vessel wall: infectious (viral, bacterial, parasitic), neoplasia, inflammation 2. **Alterations in Blood Flow** Turbulence or stasis 3. **Hypercoagulability** Increase in coagulation factors OR decrease in coagulation inhibitors
57
# Pathogenesis Alterations in vascular endothelium what is * VASCULITIS
* VASCULITIS (arteritis and phlebitis) caused by bacteria, viruses parasites, neoplasia or trauma
58
# Pathogenesis Alterations in blood flow what is * Stasis
* Stasis * Congestion * Vessel occlusion e.g.. prolonged recumbency in surgery or post operatively
59
# Pathogenesis Alterations in blood flow what is * Turbulence
* Aneurysms * Branching vessels * Cardiac developmental anomalies
60
# Pathogenesis Alterations in blood constituents what happens here? hint: before surgery (me) they put me on blood thinners (warfarin) why?
* ↑ in coagulation factors (or ↑ sensitivity to) (surgery, stress, inflammation) * ↓ in coagulation inhibitors e.g protein losing nephropathies (loss of AT III) *antithrombin 3 must have in order to prevent thrombin from turning fibrinogen--> fibrin clot
61
# CLASSIFICATION Based on: name 4
* **Type of vascular involvement**: - arterial, venous, lymphatic, capillary, cardiac **Location:** - wall (mural), valvular, lateral, canalizing (partial repair), occluding (intire endothelium) * **Infection** - septic: bacterial or parasitic (thrombi) involvement (w/parasites) - **aseptic: **no involvement of bacteria or parasites ** Color** - Red = venous (platelets, fibrin, leukocytes, Few rbc) - White = arterial (platelets, fibrin) - Mixed (pale and red thrombi - Laminated
62
# CLASSIFICATION what are laminated thrombi?
alternating layers of pale and red constituents--> change in blood flow speed
63
what is this?
Mural Thrombus - Cat
64
what is this?
Pulmonary Thrombosis - Dog w/ PLE *seen in dogs with severe renal glomerular disease-->protein losing nephropathy-->significant loss of antithrombin III, a major inhibitor of thrombin
65
what is this
Saddle Thrombus - Located in the distal aorta - trifurcation w/ external iliac a. - Occludes blood flow to the hindlimbs - Animals will present with **hindlimbs that are cold to the touch** and neurological deficits
66
# OUTCOMES OF THROMBI what are the 4 outcomes?
**Embolization** - spreading of the clot to a different area **know an embolus is clott free in blood stream ** Recanalization** - Blood flow able to rearrange itself over the thrombus ** Epithelization** - epithelial cells wall off the thrombus ** Fibrosis** - scarring and eventual contraction of thrombus
67
OUTCOMES OF THROMBI what is this?
Recanalization Ǖ Blood flow able to rearrange itself over the thrombus
68
# THROMBUS V. POST MORTEM CLOTS (arterial thrombosis, venus thrombosis, PM which appears after death?
Pm Clot
69
# THROMBUS V. POST MORTEM CLOTS (arterial thrombosis, venus thrombosis, PM which is initiated by thromboplastin
PM-Clot
70
# THROMBUS V. POST MORTEM CLOTS (arterial thrombosis, venus thrombosis, PM 1. which is pale or white 2. which is red 3. wich is yellow(chicken fat) or red (currant jelly)?
1. Arterial 2. venus 3. clot
71
# THROMBUS V. POST MORTEM CLOTS (arterial thrombosis, venus thrombosis, PM which is elastic and moist
pm-clot
72
# THROMBUS V. POST MORTEM CLOTS (arterial thrombosis, venus thrombosis, PM which is small size (may be mural)
Arterial
73
# THROMBUS V. POST MORTEM CLOTS (arterial thrombosis, venus thrombosis, PM which is composed of: 1. platelets, fibrin 2. platelets, fibrin, and RBC 3. fibrin
1. arterial 2. venus 3. pm clot
74
# THROMBUS V. POST MORTEM CLOTS (arterial thrombosis, venus thrombosis, PM lamination is 1. present 2. not frequent 3. absent
1. arterial 2. venus 3. pmclot
75
# THROMBUS V. POST MORTEM CLOTS (arterial thrombosis, venus thrombosis, PM which one is not attached to intima (smooth surface)
pm-clot
76
# THROMBUS V. POST MORTEM CLOTS (arterial thrombosis, venus thrombosis, PM which is 1. partially organized 2. organized 3. not organized
1. arterial 2. venus 3. pm clot
77
# EMBOLISM what happens to cause an embolus?
Fragments of a thrombus are able to break off and lodge themselves at a distant site - Embolus
78
# EMBOLISM how do you get from lodging to necrosis?
Lodging --> Obstruction --> Local ischemia --> Infarction --> Necrosis
79
# EMBOLISM Emboli can be caused by other things as well! what are they? 95% are....
Emboli can be caused by other things as well! - Parasites, bacteria, fat embolism, neoplasia, gas - 95% of etiologies are thrombus **thromboembolism**
80
# EMBOLISM what is this?
Fat Embolism - complication of long bone fractures, osteomyelitis or surgery
81
what is this?
Tumor Embolism - tumors and neoplastic cells can cause an embolism
82
what is this?
Thrombotic Meningoencephalitis (TME) - Histophilus somni - vasculitis and thrombosis
83
what is this?
Parasitic Embolism - Dirofilaria immitis
84
# DISSEMINATED INTRAVASCULAR COAGULATION (DIC) is it a primary disease? systemic reaction to what? what gets depleted?
NOT a primary disease - **always secondary** - something else leads to this reaction!! Systemic reaction resulting in **generalized activation of the coagulation cascade** - Leads to depletion of **coagulation factors and severe uncontrolled bleeding** Ex. Extensive tissue injury, anaphylaxis, sepsis, neoplasia
85
# DISSEMINATED INTRAVASCULAR COAGULATION (DIC) 3 Main Steps:
1**. Increased blood coagulation**: something has caused the body to go into a hypercoagulable state 2. Decreased **platelets, fibrinogen and prothrombin**(fibrinogen all used up by non-necessary clots forming. see increased bleeding with injury and hemoragic syndrome): **consumption coagulopathy --> hemorrhagic syndrome** *diatheses (clinical disorders with increased bleeding tendencies) Diapedesis (when RBC's leave through small holes in intact blood vessels) 3. **Delayed fibrinolysis activation** in response to fibrin clot formation - leads to severe hemorrhagic syndrome
86
# INFARCTION what is it, what causes it?
A localized area of **ischemic necrosis** - **Caused by occlusion of arterial blood supply **or venous drainage - thrombosis, embolism or vascular occlusion
87
# INFARCTION Where do we commonly see infarction?
- Kidneys, lungs and intestines
88
# INFARCTION Gross Appearance:
* **Wedge-shaped** * Ill-defined and red (early) * Becomes lighter and paler with time
89
# INFARCTION Characteristics differ with: name 4
**Characteristics differ with:** Nature of the vascular supply Oxygen content at the time of infarction Rate of the development of the occlusion Vulnerability of affected organ/tissue to hypoxia
90
# INFARCTION what is it?
Renal Infarction - Cat
91
# INFARCTION what is it?
Renal Infarction - Cow
92
# TYPES OF INFARCTS name the 4 types
1. Red Infarct 2. Pale Infarcts 3. Septic Infarct 4. Venous Infarction
93
# TYPES OF INFARCTS Red Infarct: name 3 characteristics
* Acute * Contains a lot of RBCs * Seen commonly in organs with dual blood supply
94
# TYPES OF INFARCTS Pale Infarcts: name 3 characteristics
* Does not contain RBCs * Red zone surrounding periphery * S**tarts red** but gets paler over time
95
# TYPES OF INFARCTS Septic Infarct: name 2 characteristics
* Mostly from bacterial/septic infected thromboembolus * Can be opportunistic bacteria making its way into necrotic tissue
96
TYPES OF INFARCTS Venous Infarction: name 2 characteristics
* From venous obstruction: commonly from twisting of vessels * Seen occasionally from obstruction of the vena cava or portal vein - Dogs: severe heartworm infection -Ruminants: rupture of hepatic abscesses
97
# TYPES OF INFARCTS identify
98
# TYPES OF INFARCTS identify
99
# TYPES OF INFARCTS identify
100
# TYPES OF INFARCTS identify
101
Cardiovascular collapse - Acute reduction of effective circulating blood volume - Inadequate perfusion of cells and tissues with blood what is it?
shock
102
# SHOCK Regardless of pathology, hypoperfusion may be caused by:
- Decreased Cardiac Output - Decreased Blood Volume
103
# SHOCK Leads to....
Leads to **hypotension,** impaired perfusion, hypoxia and DEATH AQ
104
# TYPES OF SHOCK name 4
1. Cardiogenic Shock 2. Hypovolemic Shock 3. Blood Maldistribution 4. Septic Shock
105
# TYPES OF SHOCK - inability of the heart to maintain adequate cardiac output what is it called?
Cardiogenic Shock
106
# TYPES OF SHOCK - **decreased blood volume** usually due to *fluid loss* - blood, dehydration, vomiting and diarrhea what is it called?
Hypovolemic Shock
107
# TYPES OF SHOCK - decrease in peripheral vascular resistance - results in pooling of blood in peripheral tissue caused by vasodilation what is it called
Blood Maldistribution
108
# TYPES OF SHOCK - endotoxin producing gram negative bacteria activate complement and WBCs to produce cytokines ĺ leads to vasodilation, DIC and more complement activation what is it called
Septic Shock
109
# STAGES OF SHOCK -attemps to maintain adequate cerebral and coronary bloos supply-->blood redistribution is called
1-initial nonprogressive stage (compensated and reversible) *body able to compensate
110
# STAGES OF SHOCK -patient suffers other stress of risk factor besides the persistence of the shock--> progressive deterioration
2-progressive stage (decompensated) *body unable to compensate can be ok with supportive therapy
111
# STAGES OF SHOCK -severe cell/tissue injury -despite therapy and control of ethilogic agent--> no recovery -irreversible shock leading to death
3- irreversible stage (decompensated) *not even supportive therapy can help