Bone/Soft tissue Malignancy Flashcards

(47 cards)

1
Q

What is a sarcoma?

A

Malignant Connective tissue tumor

How well did you know this?
1
Not at all
2
3
4
5
Perfectly
2
Q

What is the eipdemiology of malignant bone tumours?

A

Generally young adults/chidlren

How well did you know this?
1
Not at all
2
3
4
5
Perfectly
3
Q

What is the most common site of bone tumours?

A

Generally around knee, but different for different types of tumours

How well did you know this?
1
Not at all
2
3
4
5
Perfectly
4
Q

What is the initial investigation in an suspected bone tumour?
What are the expected findings?

A

X-Ray

  • Lytic features
  • extention of bone into soft tssue
How well did you know this?
1
Not at all
2
3
4
5
Perfectly
5
Q

What is the gold-standard for diagnosis of sarcomas?

A

Biopsy
- core Needle biopsy under radiological guidance

How well did you know this?
1
Not at all
2
3
4
5
Perfectly
6
Q

What are differentials for bone tumours?

A
  • fibrous dysplasia
  • Metaphyseal fibrous cortical defect
How well did you know this?
1
Not at all
2
3
4
5
Perfectly
7
Q

What is fibrous dysplasia?

A

Genetic mutation causing fibrous, weak tissues being layed down instead of mature bone

How well did you know this?
1
Not at all
2
3
4
5
Perfectly
8
Q

What is the epidemiology of Fibrous dysplasia

A

Usually F>M (because of McCune Albright syndrome is 10:1 F:M)
Presentation
- <10 if McCUne Albright syndrome (polyostic)
- 20-30 if single bone involved

How well did you know this?
1
Not at all
2
3
4
5
Perfectly
9
Q

What is McCune Albright syndrome?

A

A genetic syndrome caused by a G-protein activating mutation and subsequent continuous stimulation of endocrine functions

Causes Café au lait spots, fibrous dysplasia + endocrine dysfunctions

How well did you know this?
1
Not at all
2
3
4
5
Perfectly
10
Q

What is the commonest site of lesions in Fibrous dysplasia?

A

Can be any bone
More common
- Rib + proximal femur

How well did you know this?
1
Not at all
2
3
4
5
Perfectly
11
Q

X-ray shows a soap bubble osteolysis and Shepherd’s crook deformity - what disease is it likely to be?

A

Fibrous dysplasia

Shepherd’s crook deformity: coxa varus angulation of the proximal femur, classically seen in femoral involvement

How well did you know this?
1
Not at all
2
3
4
5
Perfectly
12
Q

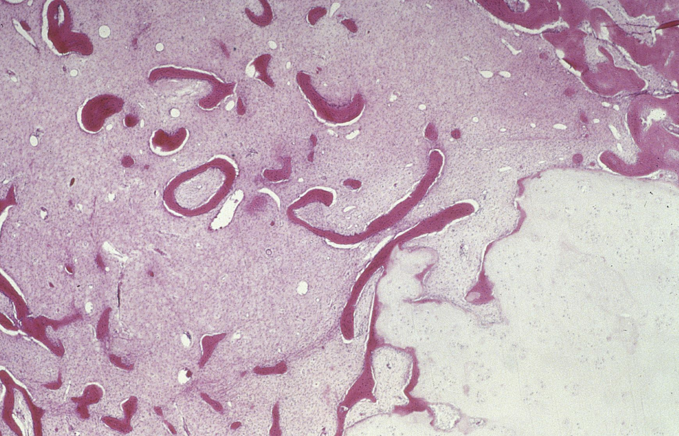
A Bone histology shows chinese letters - what is the likely diagnosis going to be?

A

Fibrous dysplasia

How well did you know this?
1
Not at all
2
3
4
5
Perfectly
13
Q

What is an osteochrondroma?

A

Benign bone and Cartilage tumour
Most common benign bone tumours

How well did you know this?
1
Not at all
2
3
4
5
Perfectly
14
Q

What is the preferred site of osteochondroma?

A
How well did you know this?
1
Not at all
2
3
4
5
Perfectly
15
Q

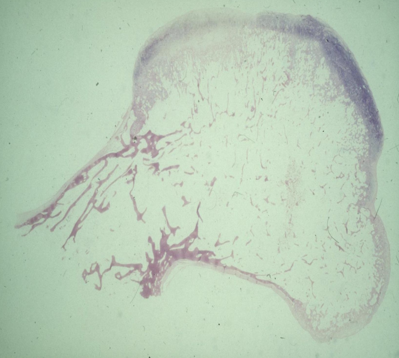
Bone histology of a lesions shows

Cartilage capped “mushroom” bony outgrowth - what is the diangosis?

A

Osteochondroma

Show’s normal bone covered by cartilage

How well did you know this?
1
Not at all
2
3
4
5
Perfectly
16
Q

What is and enchondroma?

A

Benign tumour originatign from cartilage

How well did you know this?
1
Not at all
2
3
4
5
Perfectly
17
Q

What is the most common site for Enchondromas?

A

Usually presents in Hands (45%)

How well did you know this?
1
Not at all
2
3
4
5
Perfectly
18
Q

What does histology of an enchondroma show?

A

Normal cartilage
Calcified matrix

How well did you know this?
1
Not at all
2
3
4
5
Perfectly
19
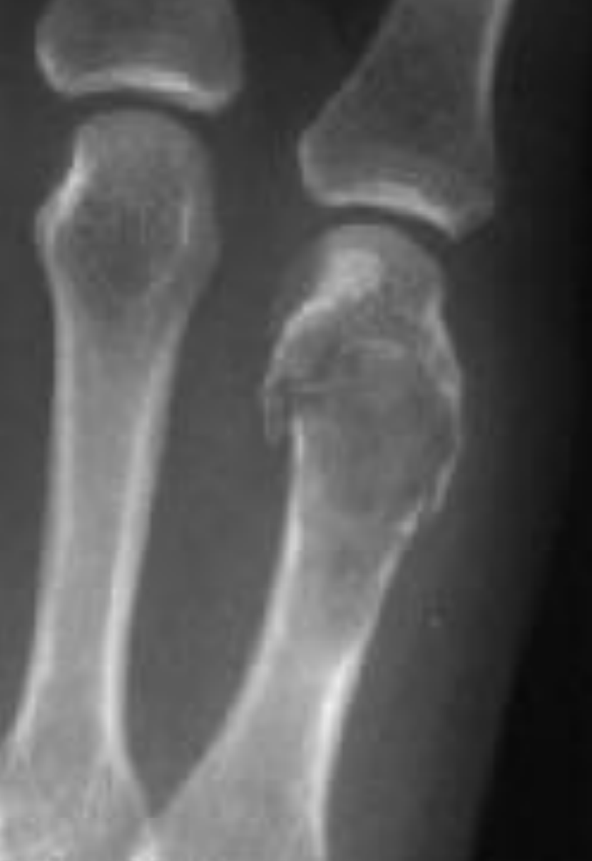
Q

X-ray shows a Lytic lesion
Cotton wool calcification
Expansile and O ring sign - what is the likely diagnosis?

A

Enchondroma
Can overall look malignant on X-ray

20
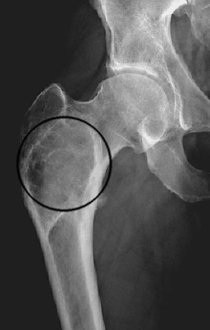
Q

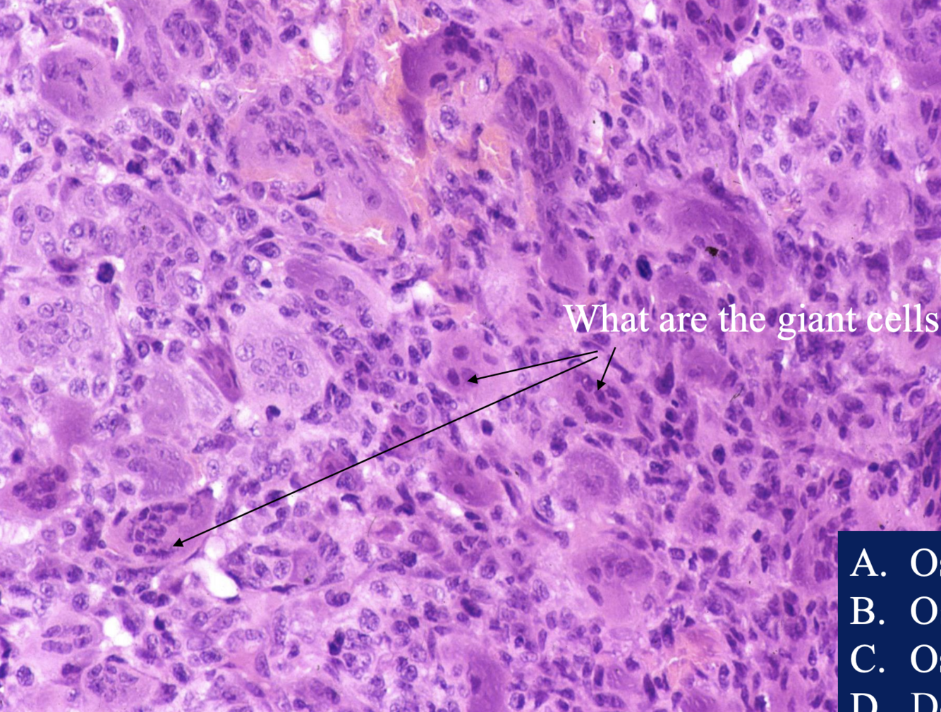
What is a Giant Cell tumour?
What is the epidemiology?

A

It is a borderline-malignant tumour (of bone, derived from the bone marrow) (usually locally agressive, but even though can metastasise, does not have to)

Usually in 20-40yo
F>M

21
Q

What are histological findings of a Giant cell tumour?

A

Osteoclasts and stromal cells (stromal cells are the malignant cells, but many osteoclasts giant cells seen)

“Soap bubble appearance”

“Giant multi-nucleate osteoclasts (Arrow)

22
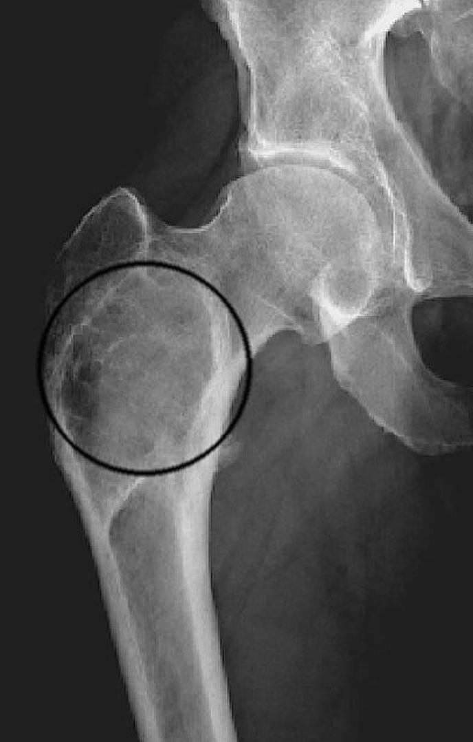
Q

What is the x-ray appearance of a giant cell tumour?

A

Lytic/lucent lesions right up to articular surface (usually non-invasive)

23
Q

What is the usual distribution of metastatis bond tumours?

A

Usually do not go below the elbow or below the knee
It depends on the age group + primary malignancy

24
Q

What is the site distribution of Giant cell tumour?

A

Commonest Knee-epiphesis

25
What are 5 common adult tumours that metastasis to bone?
Breast Prostate Lung Kidney Thyroid
26
What are 5 common childhood tumours that metastasise to bone?
* Neuroblastoma * Wilm’s tumour * Osteosarcoma * Ewings * Rhabdomyosarcom
27
What is the site predelection of Osteosarcoma?
Majoirty ends of long bones (lower femur
28
What is the epidemiology of osteosarcomas?
Peak in adolescencse (75% <20)
29
What are histological findings of osteosarcomas?
Malignant mesenchymal cells ALP +ve Replacement of bone marrow with trabecular bone
30
What are x-ray findings of osteosarcomas?
Elevated periosteum (Codman’s triangle- image) Sunburst appearance
31
What factors are used for the classification of osteosarcomas?
1. Site within bone 2. Differentiation 3. Multicentricity 4. Primary or secondar (metastasised)
32
What is the prognosis of Osteosarcomas?
Overall poor - 5 year survival <60%
33
What is the epidemiology of a chondrosarcoma?
Malignant cartilage producing tumour Usually >40
34
What is the site preference of chondrosarcomas?
Axial skeleton Femur/tibia/ pelvis
35
What are X-ray findings of chondrosarcomas?
Lytic lesion with fluffy calcification
36
What is the prognosis of chondrosarcoma diagnosis?
70% 5y survival (depends on grade & size)
37
What is the histological presentation of chondrosarcomas?
Malignant chondrocytes (proliferation of cartilage)
38
What is an Ewing's sarcoma?
High malignant small round cell tumours (arising from neuroectodermal cells)
39
What is the epidemiology of ewin's sarcoma?
Usually young (<20)
40
What is the site of ewing's sarcoma?
Usually in long bones + pelvis
41
What is the x-ray appearance of Ewin's sarcoma?
Onion skinning of periosteum
42
What is the histological appearance of ewing's sarcoma? What molecular test are doing to confirm the diagnois?
Sheets of small round cells CD99 +ve T 11:22 translocation A lot of other small-cells tumours will need to be excluded by immunohystophenotyping before diangosis
43
What is a tumour of fat?
Liposarcoma
44
What in an osteoma? What ist the histological appearance?
Bony outgrowths attached to normal bone Histologically:normal bone
45
What is Gardner syndrome?
GI polyps + multiple osteomas + epidermoid cysts
46
What is an osteoid osteoma?
Small benign bone forming lesion, Histologically is normal bone (arising from osteoblasts) night pain relieved by aspirin
47
What are common x-ray findings in Osteoid osteomas?
Central nidus (luscent) with sclerotic rim (opaque) ‘Bull’s-eye’