Cardiac Flashcards

(45 cards)

1
Q

Explain the pathogenesis of Atherosclerosis

A
  1. Endothelial injury causes accumulation of LDL
  2. LDL enters intima and is trapped in sub-intimal space
  3. LDL is converted into modified and oxidized LDL causing inflammation
  4. Macrophages take up ox/modLDL via scavenger receptors and become** foam cells**
  5. Apoptosis of foam cells causes inflammation and cholesterol core of plaque
  6. Increase in adhesion molecules on endothelium due to inflammation results in more macrophages and T cells entering the plaque
  7. Vascular smooth muscle cells form the fibrous cap, segregating thrombogenic core from lumen
How well did you know this?
1
Not at all
2
3
4
5
Perfectly
2
Q

What are the cellular components of an atheroscelrotic plaque?

A
  1. Macrophages (with injestion of LDL turn into Foam Cells)
  2. Lymphocytes (T>B) : involved in inflammatory process and progession of plaque formation
  3. Smooth muscle cells
How well did you know this?
1
Not at all
2
3
4
5
Perfectly
3
Q

What sites of the aorta are most predisposed to the development of atheromas?

Why?

A
  1. More common in abdominal than thoracic aorta

More common in origins (ostia) of major branches → turbulent blood flow has low/oscillatory shear stress, which is atherogenic

How well did you know this?
1
Not at all
2
3
4
5
Perfectly
4
Q

What is the definition of stable and unstable angina?

A

Stable: pain on exertion, predictable, relieved by rest (~70% vessel occlusion)

Unstable: pain at rest also. High likelihood of impending infarction (usually >90% occluded)

How well did you know this?
1
Not at all
2
3
4
5
Perfectly
5
Q

What is Prinzmetal angina?

A

Rare, due to coronary artery spasm rather than atherosclerosis (seen in young, japanese women, associated with cocaine use or other vasospastic conditions)

How well did you know this?
1
Not at all
2
3
4
5
Perfectly
6
Q

How does a atherrosclerotic plaque rupture lead to MI?

A

Higher risk in unstable atherosclerotic plaques (thin, fibrous cap (often weakened due to inflammation and metalloproteases secreted by macrophages) with thick lipid core)

Rupure –> superimposed platelet activation → thrombosis and vasospasm → occlusive intracoronary thrombus overlying disrupted plaque

How well did you know this?
1
Not at all
2
3
4
5
Perfectly
7
Q

What is the difference between a plaque rupture and atheroma erosion?

A

Rupture: exposure of lipid core of plaque into lumne, usually associated with formation of red thrombus

Erosion: exposes prothrombogenic subendothelial basement membrane (usually leads to formation of white plaque

How well did you know this?
1
Not at all
2
3
4
5
Perfectly
8
Q

When does cardiac ischaemia lead to irreversible cell damage?

A

Usually after 20-30 minutes after ischaemia

How well did you know this?
1
Not at all
2
3
4
5
Perfectly
9
Q

Which cardiac vessle is the most common site of MIs?

A

50% in LAD

40% in RCA
(and 20% in LCx)

How well did you know this?
1
Not at all
2
3
4
5
Perfectly
10
Q

What part of the heart is supplied by the LAD?

A

ant wall LV, ant septum, apex

How well did you know this?
1
Not at all
2
3
4
5
Perfectly
11
Q

What parts of the heart are supplied by the LCx?

A

lat LV not apex

How well did you know this?
1
Not at all
2
3
4
5
Perfectly
12
Q

What part of the heart is supplied by the RCA?

A

lat LV not apex

How well did you know this?
1
Not at all
2
3
4
5
Perfectly
13
Q

What histological changes are seen 1-6h post-MI?

A

None

How well did you know this?
1
Not at all
2
3
4
5
Perfectly
14
Q

What histological changes are seen 6-24h after an MI?

A

loss of nuclei, homogenous cytoplasm necrotic cell death

How well did you know this?
1
Not at all
2
3
4
5
Perfectly
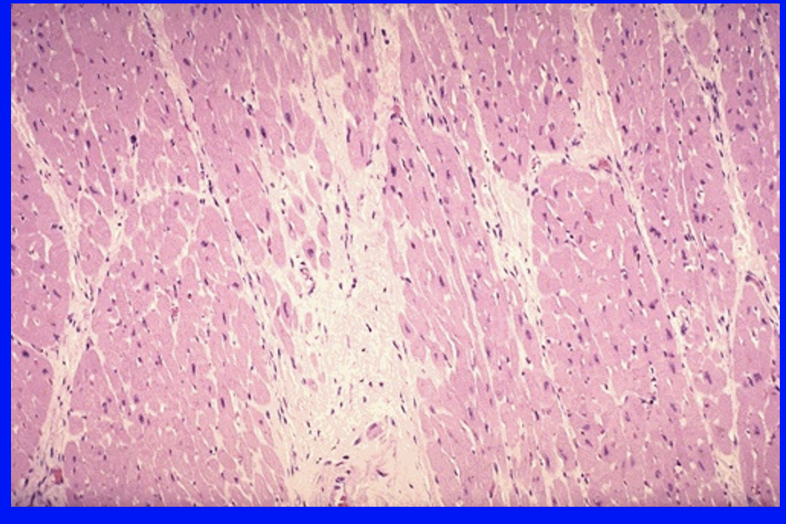
15
Q

What histoloigical changes are seen 1-3 days post-MI?

A

Infiltration of polymorphs then macrophages (clear up debris)

How well did you know this?
1
Not at all
2
3
4
5
Perfectly
16
Q

What histological changes are seen 1-2 weeks post-MI?

A

granulation tissue, new blood vessels, myofibroblasts, collagen synthesis

How well did you know this?
1
Not at all
2
3
4
5
Perfectly
17
Q

What histological changes are seen >2 months after anMI?

A

strengthening, decellularising scar

How well did you know this?
1
Not at all
2
3
4
5
Perfectly
18
Q

What are common causes of Heart failure?

A
  • Ischaemic heart disease
  • Myocarditis
  • Hypertension
  • Cardiomyopathy (dilated)

Others include
* Valve disease
* Arrhythmias

How well did you know this?
1
Not at all
2
3
4
5
Perfectly
19
Q

How does heart failure lead to fluid overload?

A

Via 2 mechanisms

  1. (Show sx of fluid overload): Reduced in Cardiac function –> increased central venous pressure –> signs of increased pressure in lungs (oedema) or liver (nutmet liver)
  2. Decreased Cardiac output –> Decreased Arterial Pressure –> activation of RAS –> increased Salt+Water retention –> fluid overload
20
Q

What is cardiomyopathy?

What is the most common sub-type of cardiomyopathy?

A

Cardiomyopathy are diseases of the heart muscle

The most common sub-type is Dilatead cardiomyopathy

21
Q

How does dilated cardiomyopathy lead to heart failure?

A

In dilated cardiomyopathy muscle wall is too thin and leads to **systolic dysfunction due to decreased LV contractility and reduced EF ** –> initially LV then RV heart failure

22
Q

What is the aetiology of dilated cardiomyopathy?

A

Pathophysiology: causative factors lead to decreased myocardial contractility –> increase in pressure remain output –> cardiac remodeling

Primary: Idiopathic (+some very rare gene defects)

Secondary

  • alcohol
  • Thyroid disease
  • Haemochomatosis
  • Viral myocarditis

+ and many others

23
Q

How does hypertrophic cardiomyopathy lead to Heart failure?

A

Thickened myocardium –> smaller ventricle –> Diastolic dysfunction –> heart failure

24
Q

What is the aetiology of hypertrophic cardiomyopathy?

A

Primary
HCO (Autosomal dominant, most common hereditary heart diseaes)
Storage diseases

Secondary
HTN
Aortic Stenosis
Amyloidosis

25
What is the differnce between Hypertrophic - and Hypertrophic-Obstructive Cardiomyopathy?
Hypertrophic obstructive cardiomyopathy (HOCM) occurs when hypertrophy of the interventricular septum and systolic anterior movement (SAM) of the mitral valve leaflet results in the left ventricular outflow tract (LVOT) obstruction
26
What is genetic HCM? What gene mutation is most commonly affected?
Hypertrohic cardiomyopathy is a genetic autosomal dominant condition 70% are HOCM , 30% HCM (non-onbstructive) Usually caused by mutation in βMHC (β-myosin) gene, but other mutations can also be causative
27
What is restrictive cardiomyopathy? What are some causes of restrictive cardiomyopathy?
Stiffness of the myocardium resulting in decreased diastolic function Many aetiologies Can be sub-devided into **1. Infiltrative** (e.g. Sarcoid, Amyloidosis) **2. Storage**(e.g. haemochromatosis, iron overload) **3. Endomyocardial**(e.g. endomyocardial fibrosis autoimmune disease)
28
What is acute rheumatic fever? What systems are invovled in the development of rheumatic fever?
Multi-system inflammatory disease occuring 2-4 weeks after untreated group A streptococcus infection (GAS) Systems involved are 1. Heart (pericarditis, valvular disorders) 2. Joints: arthritis 3. Skin: erythema marginatum, subcutaneous nodules 4. CNS: Encephalopathy
29
What is rheumatic heart disease?
Rheumatic heart disease refers to two clinical entities: 1. Acute pancarditis as a sequela of GAS infection 2. Chronic cardiac valvular changes as a complication of acute rheumatic fever (usually mitral valve)
30
What is the epidemiology of Acute rheumatic fever?
Peak incidence 5-15 years Less common in the UK now, more common in resource-limited countries
31
What is the pathophysiology of acute rheumatic fever?
Not well understood thought to be molecular mimicry of GAS myosins: development of antibodies against streptococcal M protein → cross-reaction of antibodies with nerve and myocardial proteins (most commonly myosins) due to molecular mimicry → type II hypersensitivity reaction → acute inflammatory sequela
32
How is acute rheumatic fever diagnosed?
1. Evidence of recent GAS infection (throat culture, antigen or antibody testing) 2. Diagnosis via revised Jones criteria (2 Major or 1 Major + 2 Minor)
33
What is the treatment of acute rheumatic fever?
1. Antibiotics agains Group A strep: penicillin V, benzylpenicillin (erythromycin in allergy) 2. Suppression of inflammatory process: NSAIDs (Naproxen) + Prevention with monthyl IM penicillin injections until 10 years after episode OR age of 21
34
How is a sore throat in children due to confimred Group A strep treated?
Has to be treated with abx due to risk of Rheumatic fever: **Phenoxymethylpenicillin** (Given for 5 to 10 days), alternative Clarithromyci If penicillin allergy Avoid amoxicillin because it may cause a widespread maculopapular rash if the tonsillitis is due to infectious mononucleosis
35
Acute rheumatic fever can lead to formation of valvular vagitations due to molecular mimicry. What would the characteristics of the vegetation be?
Small, warty vegetations found along the lines of closure of valve leaflet - ‘verrucae’.
36
A pathologcy cardiac specimin shows Large, irregular masses on valve cusps, extending into the chordae. What is the most likely diagnosis?
Typical presentation of Infective endocarditis --> Colonisation or invasion of heart valves or mural endocardium by microbe
37
What is the most common pathogen causing infective endocarditis? What are the most common valved affected by infective endocarditis?
Most common, regardless of valve: Staph Aureus, other associated with specific risk factors Most common valves: Mitral and aortic, unless IVDU where right side more common
38
What are the diagnostic criteria for diagnosing Infective endocarditis?
Duke Criteria, diganosis when * 2 major * 1 major + 3 minor * 5 minor Major * Positive blood culture growing typical IE organisms or 2 positive cultures >12hrs apart * Evidence of vegetation/abscess on echo or new regurgitant murmur Minor * Risk factor (e.g. prosthetic valve, IVDU, congenital valve abnormalities) * Fever >38 * Thromboembolic phenomena * Immune phenomena * Positive blood cultures not meeting major criteria
39
What antibiotc treatemet is give in infective endocarditis?
Flucloxacillin for MSSA, rifampicin + vancomycin + gentamicin for MRSA. (S. aureus IE is very nasty so make sure there is cover for this If subacute (usually due to other organims, incl. Strep viridans, staph epidermis): Benzylpenicillin + gentamicin; or vancomycin for 4 weeks.
40
What are the most common causes of Aortic stenosis?
1. Calcificaton (old age, aortic sclerosis) 2. Bicuspic aortic valve (congenital)
41
What are causes of aortic regurgitation?
* Infective endocarditis * dissecting aortic aneurysm * LV dilation * connective tissue disease e.g. Marfans, Ank Spon
42
What is the main cause of mitral stenosis?
Rheumatic fever
43
What are the main cases of mitral regurgitation?
Infective endocarditis, connective tissue disease, post-MI, rheumatic fever, left ventricular dilation (functional MR)
44
What are some causes of pericarditis?
1. idiopathic 2. Infectious (usually viral, esp. coxacie B) 3. Miocardial infarction: 1-3 days after as reaction, or weeks to month after (Dresslers syndrome) 4. Others (e.g. uraemia, radiation etc.)
45
What are clinical findings of acute pericarditis?
Pleuritic chest pain, improved on sitting and leaning forward + pericardial friction rub on ausculation +/- pericardial effusions