Lower GI Flashcards

(28 cards)

1
Q

What are some of the congenital dosorders of the lower GI tract?

A
  1. Failure of development of lumen: atresia (=no connection/ no communication of 2 parts of bowel) /stenosis
  2. Duplication
How well did you know this?
1
Not at all
2
3
4
5
Perfectly
2
Q

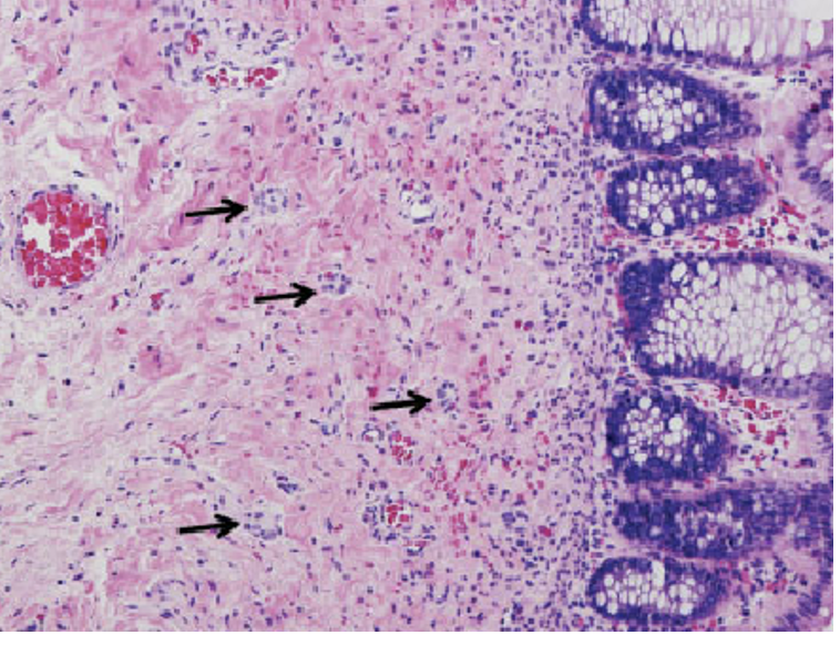
What site does Hirschsprung’s diasese originate from?

What is the patholgoy?

A

Starts in the rectum which fails to dilate + spreds more proximally (during surgery: resection with frozen sections)

Absence of ganglion cells in the submucosal and myenteric plexuses (picture pointing to ganglions, would be abscent in hhirschsprung’s)

How well did you know this?
1
Not at all
2
3
4
5
Perfectly
3
Q

What is the main site of volvuli in children and adults?

A

Volvulus = Complete twisting of a loop of bowel at mesenteric base around vascular pedicle

Small bowel (infants)
Sigmoid colon (elderly)

How well did you know this?
1
Not at all
2
3
4
5
Perfectly
4
Q

What are the main causes of acute colitis?

A
  • Infection
  • Drug/toxin (especially antibiotic)
  • Chemotherapy
  • Radiation
How well did you know this?
1
Not at all
2
3
4
5
Perfectly
5
Q

What are the main causes of chronic colitis?

A

Crohn’s
Ulcerative colitis
TB

How well did you know this?
1
Not at all
2
3
4
5
Perfectly
6
Q

What are the main pathogens causing infectious colitis?
(go over mmost common)

A
  • Viral e.g. CMV (partiuclarl in immunsoupressed / with IBD), Norovirus, Adenovirus
  • Bacterial - most common)e. g. Salmonella, Campylobacter, C-diff
  • Protozoal e.g. Entamoeba hystolytica
  • Fungal e.g. candida
How well did you know this?
1
Not at all
2
3
4
5
Perfectly
7
Q

What is pseudomembranous colitis?

How is it diagnosed?

A

Antibiotic associated colitis
–> then caues acute colitis with pseudomembrane formation (pseudomembrane = infalmmatory protein exotoxins formed by C-diff )

Caused by protein exotoxins of Clostridiumdifficile –> detection ofC-diff toxin makes diagnosis

How well did you know this?
1
Not at all
2
3
4
5
Perfectly
8
Q

What is the usual inflammation seen in patients with Ischaemic colitits?

A

Depending on the degree of ischaemia,can be:
Mucosal, mural, transmural (perforation)

Usually occurs in segments in “watershed” zones, e.g. splenic flexure (SMA and IMA) and the rectosigmoid (IMA and internal iliac artery)

How well did you know this?
1
Not at all
2
3
4
5
Perfectly
9
Q

What are the pathological/histological feature of Crohn’s disease?

A
  • Whole of GI tract can be affected (mouth to anus)
  • ‘Skip lesions’
  • Cobble.stone appearance (because normal parts of mucosa shine through)
  • Transmural inflammation –>
  • Fissure/ sinus/fistula formation
  • Non-caseating granulomas
How well did you know this?
1
Not at all
2
3
4
5
Perfectly
10
Q

What are some of the common extra-intestinal manifestations of Crohn’s disease?

A

Arthritis
Uveitis
Stomatitis/cheilitis

Skin lesions

  • Pyoderma gangrenosum
  • Erythema multiforme
  • Erythema nodosum
How well did you know this?
1
Not at all
2
3
4
5
Perfectly
11
Q

What are the pathological/histological feature of UC?

A
  • Involves rectum and colon in continuous fashion
  • May see mild ‘backwash ileitis’ and appendiceal involvement but small bowel and proximal GI tract not affected.
  • Inflammation confined to mucosa
  • Bowel wall normal thickness
  • Shallow ulcers
How well did you know this?
1
Not at all
2
3
4
5
Perfectly
12
Q

What are the mmain complications of UC?

A

Severe haemorrhage
Toxic megacolon
Adenocarcinoma (20-30 x risk)

How well did you know this?
1
Not at all
2
3
4
5
Perfectly
13
Q

What are some of the extra-intesinal features of UC?

A
  • Arthritis
  • Myositis
  • Uveitis/iritis
  • Erythema nodosum, pyoderma gangrenosum
  • Primary Sclerosing Cholangitis (5.5% in pancolitis –> risk of cholangiocarcinoma)
How well did you know this?
1
Not at all
2
3
4
5
Perfectly
14
Q

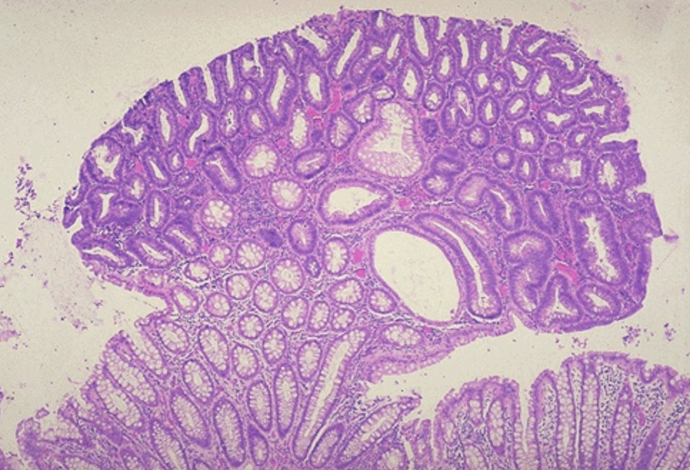
What are the 2 different types of polyps that occur in the bowel?

A

1.non-neoplastic
–> hyperplastic and Sessile Serrated Lesions (SSL risk factor for adenomas as they may show dysplasia)
–> Inflammatory and Hamaromaous (e.g. Peutz Jeghers)

2. Neoplastic
–> Tubular adenoma
–> tubulovillous adenoma
–> villous adenoma

How well did you know this?
1
Not at all
2
3
4
5
Perfectly
15
Q

What is a Sessile Serrated Lesion in the lower GI tract?

A

Non-neoplastic polyp that shows

  • Hyperplastic polyp with architectural abnormalities
  • May show dysplasia (borderline neoplastic)
How well did you know this?
1
Not at all
2
3
4
5
Perfectly
16
Q

What is the definition and epidemiology of lower GI adenomas?

A

Excess epithelial proliferation + dysplasia

20-30% prevalence before age 40
40-50% prev. after age 60

17
Q

What are the different types of Neoplastic polyps (Adenoma) in the lower GI tract?

A

-> Tubular adenoma
–> tubulovillous adenoma
–> villous adenoma

18
Q

What are the histological characteistics of a tubular adeonoma?

A

Flat surface
Glands

19
Q

What are the characteristics of a villous adenoma?

A

Villous surface –> irregular surface

20
Q

What are the characteristics of tubulo-villous adenoma?

A

some mixed components

21
Q

What characteristics in a single adenoma incrase the risk that it might be a carcinoma/ progress?

A

Size (>1cm)
Proportion of villous component (high)
Degree of dysplasia (high)

22
Q

Explain the adenoma carcinoma sequence in the development of colon cancer

A

multiple factors/ evidence that it is likely that carcinomas derive from adenomas

23
Q

Name some familial syndromes that pre-dispose to development of colon cancer?

A
  • Hereditary non polyposis colon cancer –> mutation in DNA repair)

Familial adenomatous polyposis
* Gardner’s
* Turcot

24
Q

What are the characteristics of FAP?

(Epidemiology, genetic mutation, prognosis )

A

Autosomal dominant - average onset is 25 years old
Mutation in APC tumour suppressor gene (on chromosme 5q21)

Causing: Adenomatous polyps, mostly colorectal

  • Minimum 100 polyps, average ~1,000 polyps
  • virtually 100% will develop cancer within 10 to 15 years –> prophylactic excision of colon
  • 5% periampullary Ca
25
What is Gardner's syndorme and Turcot syndrome?
FAP + extra-intestinal symptoms Gardner: osteomas desmoid tumors Turcot: Brain
26
What is Lynch syndrome? What is the pathophysiology + inheritence pattern?
Lynch syndrome = Hereditary Non-polyposis Colorectal Cancer (HNPCC) * Autosomal dominant mutation in t least 1 of 4 DNA mismatch repair genes involved --> not in itself oncogenic, but become cancerous because oncogenic umutations don't get repaired * May have polyps --> usually develop colorectal cancer at early age (in splenic flexure) * Other extra-colonic cancers: endometrium, prostate, breast, stomach * 3-5% of all colorectal cancers due to * Numerous DNA replication errors
27
What is the most common colon cancer? What is the epidemiology + risk factors
98% colorectral carcinoma Peak incidence : 60-79 years If < 50yrs consider familial syndrome Western population Generic risk factors * IBD * adenoma * low fibre-diet, lack of exercise
28
What is the new staging system of colorectal carcinoma
Now only normla TNM stageing used