Skin Flashcards

(34 cards)

1
Q

What are the different Layers of the Epidermis?

A

“Come Let’s get some Beers”
1. Stratum Corneum (anuclear cells)
2. Stratum Lucidum (only on palms and hands)
3. Stratum Granulosum
4. Stratum Sppinosum (incl. Langerhans Cells)
5. Stratum Basale
6. Basement membrane

How well did you know this?
1
Not at all
2
3
4
5
Perfectly
2
Q

What is the usual turnover time for the keratinocytes in the epidermis?

A

28-30 days

How well did you know this?
1
Not at all
2
3
4
5
Perfectly
3
Q

What cells are located in the Stratum Basale?

A
  1. Keratonocyte stem cells
  2. Melanocytes + Merkel cells
How well did you know this?
1
Not at all
2
3
4
5
Perfectly
4
Q

Which structures are located in the dermis?

A

Essentially collagen
Sits below the Basement Membrane
* Nerve cells
* Blood Vessels
* Sweat + Hair

How well did you know this?
1
Not at all
2
3
4
5
Perfectly
5
Q

What four epidermal inflammatory reaction patterns are known in the skin?

A
  1. Vesicolobullous
  2. Lichenoid
  3. Spongiotic
  4. Vasculitis
How well did you know this?
1
Not at all
2
3
4
5
Perfectly
6
Q

Name an example of a disease with Spongiotic inflammation?

A

Eczema

How well did you know this?
1
Not at all
2
3
4
5
Perfectly
7
Q

What are the characteristics of Spongiotic epidermal inflammation?

A
  1. Intraepidermal intercellular oedema (Lymphocyte-mediated cytokine reaction) –> can cause epidermal vesicles
  2. (Some infiltrating T-cells seen)
How well did you know this?
1
Not at all
2
3
4
5
Perfectly
8
Q

Name an example of a skin disease with Lichenoid inflammation?

A

Lichen Planus (Shiny, purple flat topped with white streak)
(Others include Erythema Multiforme, SJS, Toxic epidermal necrolysis)

How well did you know this?
1
Not at all
2
3
4
5
Perfectly
9
Q

What are the characteristics of Lichenoid epidermal inflammation?

A

Lymphocyte infiltration in epidermis and keratinocytes are being attacked around the BM
1. irregularly thickened epidermis
2. Degenerative Skin cells (–> attacked keratinocytes die and form blobs –> form Civatte bodies)
3. Band of inflammatory cells just below epidermis (epidermal junction)

How well did you know this?
1
Not at all
2
3
4
5
Perfectly
10
Q

Name an Example of a Psoriasiform Inflammatory reaction pattern?

A

Psoriasis (erythematous with silvery, white scale on surface)

How well did you know this?
1
Not at all
2
3
4
5
Perfectly
11
Q

What are the histopathological and patholgical characteristcs of a psoriasiform reaction pattern?

A

Increased Speed of epidermal cell turnover (as fast as 8 days)
* Thickened Epidermis (Psoriasiform hyperplasia)
* Nucleated cell in stratum cornium (scales)
* Neutrophil infiltration in scales

How well did you know this?
1
Not at all
2
3
4
5
Perfectly
12
Q

Name an Example of a disease with Vesiculobullous Inflammatory reaction pattern?

A

E.g. Bullous Pemphigoid and Pemphigus Vulgaris

How well did you know this?
1
Not at all
2
3
4
5
Perfectly
13
Q

Explain the pathophysiology of Vescculoboullous inflammatory reaction pattern?

A

Antibody attacking of intra-epithelial junctions

How well did you know this?
1
Not at all
2
3
4
5
Perfectly
14
Q

What are clinical and histopathological characteristics of Bullous pemphigoid?

A

IgG antibodies + Complement (C3) against epidermal basement membrane anti hemidesmosome antibodies (+ eosinohil infiltration)

  • elderly population
  • Large, tense bullae
How well did you know this?
1
Not at all
2
3
4
5
Perfectly
15
Q

What investigations can be done for diagnosis of Bullous Pemphigoid?

A
  1. Immunoglourescence (–> linear deposit of IgG at dermal-epidermal junction)
    Histology: Bullae between dermis and Epidermis
How well did you know this?
1
Not at all
2
3
4
5
Perfectly
16
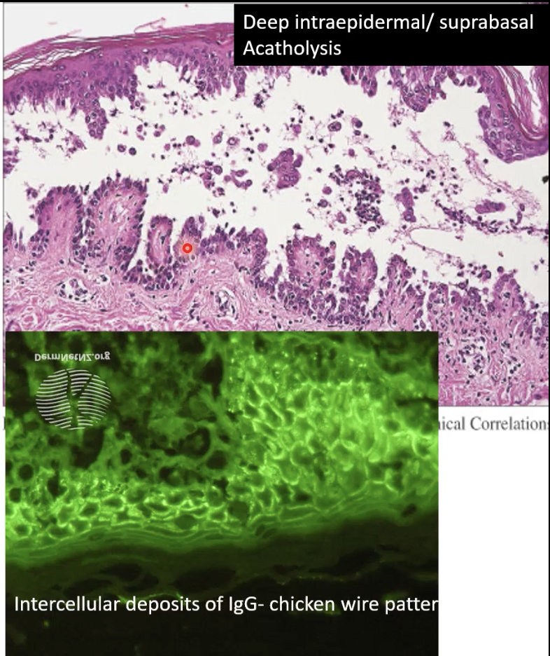
Q

What are clinical and histopathological characteristics of Pemphigus Vulgaris?

A

Intra-epidermal pathology (IgG antibodies attacking intra-epidermal cell junctions in stratum spinosum) –> intra-epidermal bullae and “Chicken-wire pattern in intra-epidermal blistering”

  • more flaccid, easier rupturing blisters
  • including mucous membranes
17
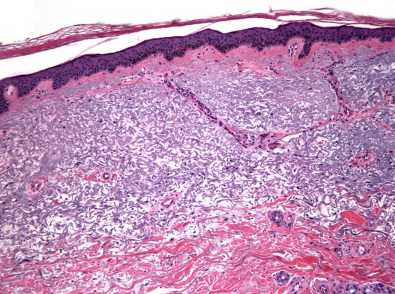
Q

How does sun damage histologically manifests?

A

Top layer of dermis has disintegrated elastic fibres

18
Q

Name examples of benign skin tumours

A
  1. Seborrhoeic cyst (squamous cyst filled with keratine)
  2. Seborrhoeic keratosis (bening peoliferation of epdiermis)
19
Q

What is the clinical presentation of a Basal cell carcinoma?

A

Rolled, pearly-edge, central ulcer, telangiectasia (Rodent ulcer description)

Bening but can invade locally and can disfigure

(Associated with PTCH mutations)

20
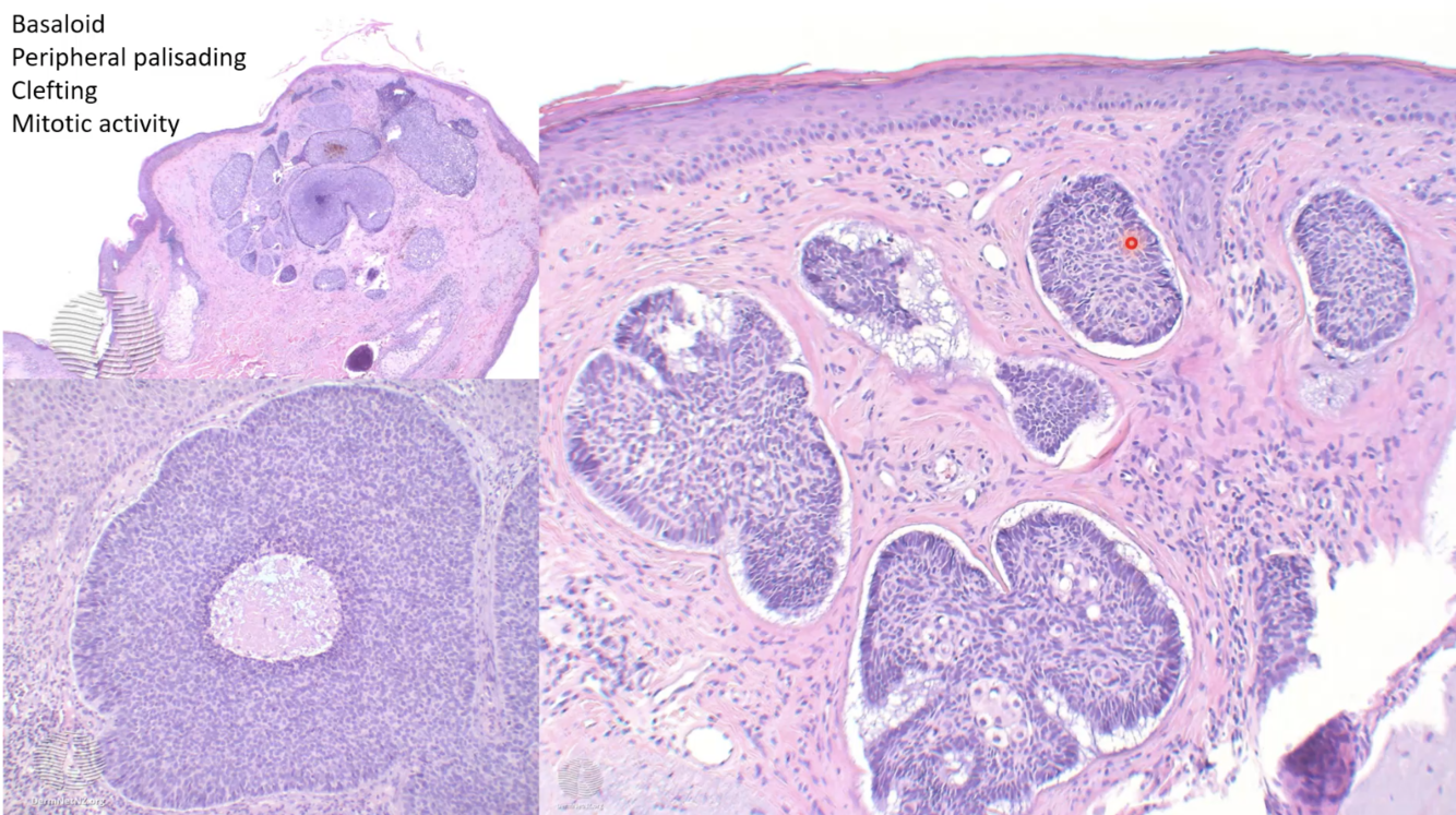
Q

What are histological changes in a BCC?

A

“Blue nests in dermis”

  • Cleft -artifact with peripheral palisading (cells at edge “stand” up in line)
  • Basaloid
  • Mitotic activity
21
Q

What is actinic keratosis? How does it clinically and histologically present?

A

Pre-malignant condition of SCC
1. Clinical: scaly appearance
2. Histologically: Epidermal atypia (only partial thickness)

22
Q

What is Bowen’s disease (skin) ? What are it’s histological characteristics?

A

Pre-malignant condition of SCC (SCC in situ)

  • Full-thickness epidermal abornmality, with intact Basement membrane
  • increased mitotic activity
23
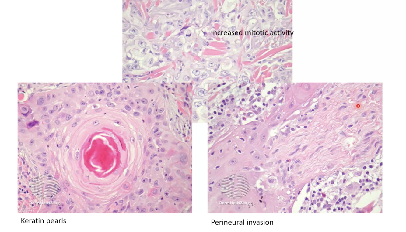
Q

What are the histological manifestations of SCCs?

A

Generally “Pink” due to Keratin production
1. Pleomorphic epithelial cells (arising from epidermis, extending to dermis)
2. Keraton Pearls (central keratinization surrounded by concentric layer of abnormal squamous cells)

24
Q

What are the histological features of Malignant melanoma ?

A
  • Disorganised (not well-spaced - asymmetry)
  • abnormal melanocytes (cellular atypia)
  • Pagetoid spread: abnormal ascending of melanocytes high into the dermis
25
What histological features are used for stageing and prognosis of Malignant melanoma?
Two big factors: * Breslow Thickness - Grannular layer until deepest mealoncytes in dermis * Ulcerations (presence/abscence) BRAF V600E mutations have specific treatment and can have better prognosis
26
How is an increased thickness in S. corneum / ↑keratin called?
Hyperkeratosis | Seen e.g. in Lichen Planus + Psoriasis
27
How is the presence of nuclei in s.corneum called?
Parakeratosis | Typcially seen in Psoriasis
28
How is and increase in thickness in the stratum spinosum called?
Acanthosis | Often senn in chronic dermatitis
29
What is intercellular oedema (in the epidermis on histology) called?
Spongiosis | Typcial for spongioid inflammation = eczema/ dermatisis
30
What does Lentiginous mean?
linear pattern of melanocyte proliferation within epidermal basal cell layer (reactive or neoplastic)
31
What is thickened skin on histology called?
Psoriaform
32
What is the definition of Stephen Jonson's syndrome?
Dermatological emergency; sheets of skin detachment (<10% body surface area in SJS and > 30% in TEN - Toxic epidermal necrolysis) Nikolsky sign positive; mucosal involvement prominent Nikolsky sign: is present when slight rubbing of the skin results in exfoliation of the outermost layer
33
What is dermatitis herpetiformis? Name the - pathophysiology - associated conitions - clinical presentaiton
Associated with coeliac's disease Itchy vesicles on extensor surfaces of elbows, buttocks (symmetrical, no mucosal involvement) IgA attack of basememt membrane--> supraepidermal bullae formation (bulloid inflammation pattern)
34
What are the extra-dermal changes in psoriasis?
Nail changes * Pitting * Onycholysis * Subungual Hyperkeratosis Arthritis (5-10%) * DIP disease * Arthritis multilans ‘telescoping’ [BUZZWORD] * spondylopathy * Symmetricalpolyarthritis