Upper GI Flashcards

(22 cards)

1
Q

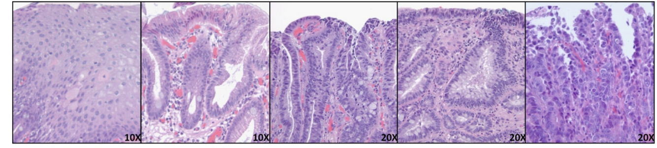
What are the normal histological characteristics of the Oesophagus?

A
  1. Squamous stratified epithelium (no goblet cells) in upper Part
    then

Z -line/ squamo-columnar junction

then Columnar epitheium

How well did you know this?
1
Not at all
2
3
4
5
Perfectly
2
Q

Recall the different anatomical parts of the stomach

A
How well did you know this?
1
Not at all
2
3
4
5
Perfectly
3
Q

What are the normal histological features of the body of the stomach?

A

No goblet cells

How well did you know this?
1
Not at all
2
3
4
5
Perfectly
4
Q

What is the normal histology of the gastric antrum?

A

Non-specialised glands (compared to specialised glands in body)

(still no goblet cells)

How well did you know this?
1
Not at all
2
3
4
5
Perfectly
5
Q

What are the normal histological features of the duodenum?

A
How well did you know this?
1
Not at all
2
3
4
5
Perfectly
6
Q

What is the commonest cause of oesophagitis?

A

Reflux (= GORD)

How well did you know this?
1
Not at all
2
3
4
5
Perfectly
7
Q

What are some of the complications of Reflux oesophagitis?

A
  • ulceration
  • haemorrhage
  • perforation
  • stricture
  • Barrett’s oesophagus
How well did you know this?
1
Not at all
2
3
4
5
Perfectly
7
Q

What is Barrett’s oesophagus?

What is the main complication?

A

Replacement of squamous epithelium by
metaplastic columnar epithelium (in 10% of patients with symptomatic GORD)

2 types:
without goblet cells: gastric metaplasia
with goblet cells: intestinal type metaplasia (even higher risk of Cancer)

Main risk : development of Cancer

How well did you know this?
1
Not at all
2
3
4
5
Perfectly
8
Q

Explain the asociation between Barrets Oesophagus and Oedophageal adenocarcinoma

A

Metaplasia (Barret’s) can lead to –> Dysplasia –> Cancer

Therefore adenocarcinoma usually seen in distal 1/3 of oesophagus

(Adenocarcinoma more common thatn squamous cell in developed countries)

How well did you know this?
1
Not at all
2
3
4
5
Perfectly
9
Q

What is the most common oesophageal cancer in developing countries?

What are the risk factors?
What is the main location this is found?

A

Squamous cell oesophageal carcinoma

Usually in middle 1/3 (50%), Upper 1/3. 20%, lower 1/3 30%

Associated with Alcohol and Smoking, more common in Afro-carribbeans

How well did you know this?
1
Not at all
2
3
4
5
Perfectly
10
Q

What is the main aetiological difference between acute vs. chronic gastritis?

A

Acute = due to an acute insult
Chronic = chornic or persistent insult

How well did you know this?
1
Not at all
2
3
4
5
Perfectly
11
Q

What are the main causes of acute gastritis?

A

Chemical

  • aspirin/NSAIDs
  • alcohol
  • corrosives

Infection
e.g. Helicobacter
pylori

How well did you know this?
1
Not at all
2
3
4
5
Perfectly
12
Q

What are the main causes of chronic gastritis?

A
  • Autoimmune (antiparietal antibodies etc. body)
  • Bacterial (H. pylori; antrum )
  • Chemical (NSAIDs, bile reflux; antrum )
How well did you know this?
1
Not at all
2
3
4
5
Perfectly
13
Q

What pattern od disease does Helicobacter pylori usually produce?

A

Causes chronic gastritis +/- activity
* +/- ulcers

How well did you know this?
1
Not at all
2
3
4
5
Perfectly
14
Q

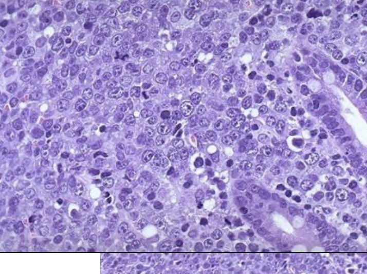
Explain the relationship between chronic H.pylori infection and cancer

A

H.pylori infection causes and 8x risk of non-cardia gastric cancers (incl. adenocarcinoma) due to

  1. Ulcers –> malignancy
  2. MALT –> lymphoid tissue in stomach and risk of MALT lymphoma
How well did you know this?
1
Not at all
2
3
4
5
Perfectly
15
Q

What is the definition of a gastruc ulcer? How does it differn from an erosion?

A

Breach though the muscularis mucosa into submucosa

(a erosion does not breach through the muscularis mucosa)

16
Q

What investigations should be done in all gastric ulcers?

A

Biopsy and histology to exclude malignancy

(If non-malignant: ulcer biopsy shows Punched out lesions with rolled margins)

17
Q

What are the main differnet types of gastric carcinomas?

A

> 95% of gastric carcinomas are Adenocarcinomas

can be
1. Intestinal (well-differentiated, goblet cells present –> following intestinal metplasia or)
2. Diffuse (poorly differentiated, no gland formation)

18
Q

What is MALT lymphoma of the Stomach associated with?

A

Chronic inflammation (particularly H.pylori) causes chronic antigen stimmulation

19
Q

How can gastritis/ gastric H.pylori infection cause duodenal disease?

A

Increased acid
production in the
stomach which spills
over into duodenum

20
Q

How many cases of Duodenitis also have duodenal ulcers present?

A

Usually if left untreated, many progress to ulcer

73.5% progress to ulcer,
mainly erosive
duodenitis (biopsy –
neutrophils)

21
Q

What are the characteristics of MALT associated with Coeliacs?

A

MALToma associated with Coeliac is
* in the duodenum
* T-cell origin
* (Enteropathy Aassociated T-cell Lymohoma -EATL (is thechniacally different form MALT, as EATL usually high-grade non-Hodgekin lymphoma, MALT arises from a different location and is usually low-grade non-Hodgekin lymphoma)