Breast Flashcards

(40 cards)

1
Q

Explain the general structure of the breast

A

The breast parenchyma is made up of 10–20 lobes with interlobar stroma in between

Each lobe is made up of multiple lobules, which are drained by a single lactiferous duct that opens onto the surface of the nipple

The lactiferous sinus is the terminal dilation of the lactiferous duct

How well did you know this?
1
Not at all
2
3
4
5
Perfectly
2
Q

What are the components of a triple asessment of a breast lesions?

A
  1. Clinical exam
  2. Imaging (USS or Mammogram depending on age)
  3. Cytology (FNA) or Histology (core biopsy)
How well did you know this?
1
Not at all
2
3
4
5
Perfectly
3
Q

What is the gold-standard for diagnosing breast cancer?

A

Core biopsy histology

Then graded via cellular detail and code
B1 (normal)
B2 (benign)
B3 (uncertain)
B4 (suspicious) to
B5 (malignant).
* B5a = DCIS,
* B5b = invasive carcinoma

How well did you know this?
1
Not at all
2
3
4
5
Perfectly
4
Q

Name 2 common inflammatory diseases of the breast

A
  1. Acute Mastitis
  2. Fat necrosis
How well did you know this?
1
Not at all
2
3
4
5
Perfectly
5
Q

What is the aetiology of Acute mastitis?

A

Lactational: Milk stasis lead to infection with S.aureus

Non-lactational: keratinising squamous metaplasia block
lactiferous ducts leading to peri-ductal inflammation and rupture

How well did you know this?
1
Not at all
2
3
4
5
Perfectly
6
Q

What does FNA cytology show in acute mastitis?

A

shows an abundance of neutrophils

How well did you know this?
1
Not at all
2
3
4
5
Perfectly
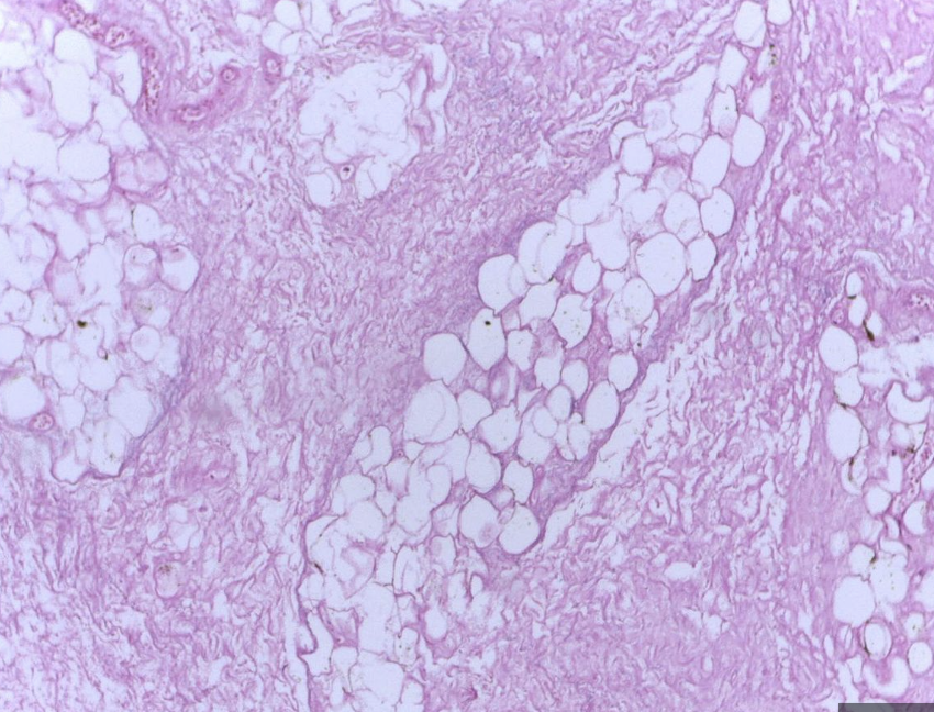
7
Q

What is Fat necrosis of the breast?

What is its typical clinical presentation?

A

Inflammatory reaction to damaged adipose tissue

Typical presentation in

  • obese, middle aged women presenting with
  • painless breas mass, mammographic lesion
  • (can mimic carcinoma with skin tethering, nipple retraction)
How well did you know this?
1
Not at all
2
3
4
5
Perfectly
8
Q

What are causes of Fat necrosis of the breast?

A

Causes – trauma, radiotherapy, surgery, nodular panniculitis

How well did you know this?
1
Not at all
2
3
4
5
Perfectly
9
Q

What are histological findings of fat necrosis on cytology?

A

Cytology – empty fat spaces , histiocytes and giant cells

How well did you know this?
1
Not at all
2
3
4
5
Perfectly
10
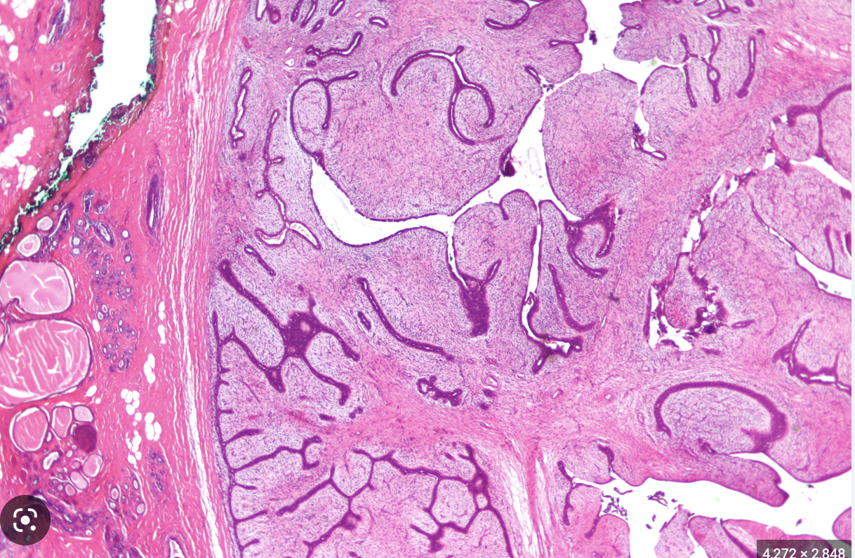
Q

What is a Fibroadenoma?

What are the cytological and histological finding?

A

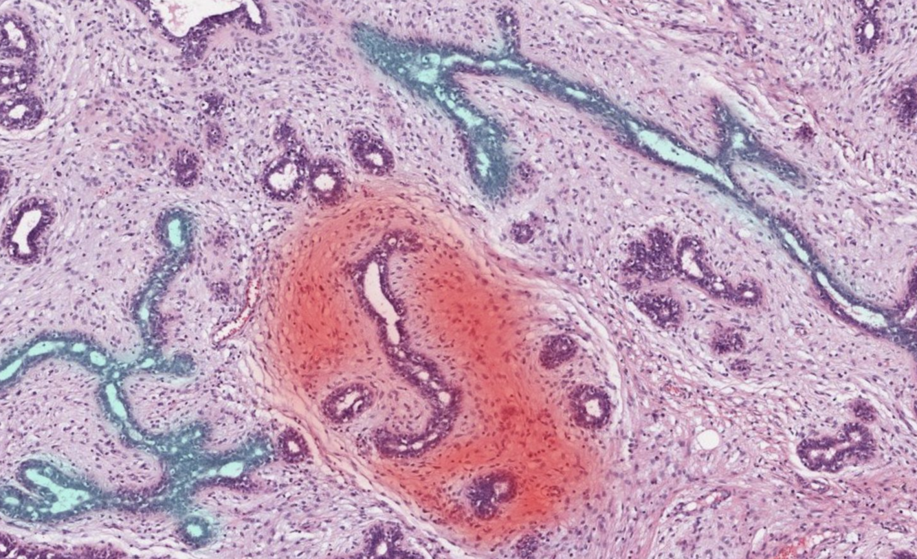
Most common cause of breast lump, especially in young women

Benign condition arising from fibro (stromal) and glandular (adenomal) epithelium

On Cyology
* FNA cytology – branching sheets of epithelium (green overla)
* Multinodular mass of expanded intralobular stroma (red overlay)

How well did you know this?
1
Not at all
2
3
4
5
Perfectly
11
Q

What is the clinical appearance of a fibroadenoma on examination?

A

Usually singls, unilateral 1-5cm mass

Solitary, well-defined, nontender, rubbery, and mobile mass

Can change size with menstrual cycle

How well did you know this?
1
Not at all
2
3
4
5
Perfectly
12
Q

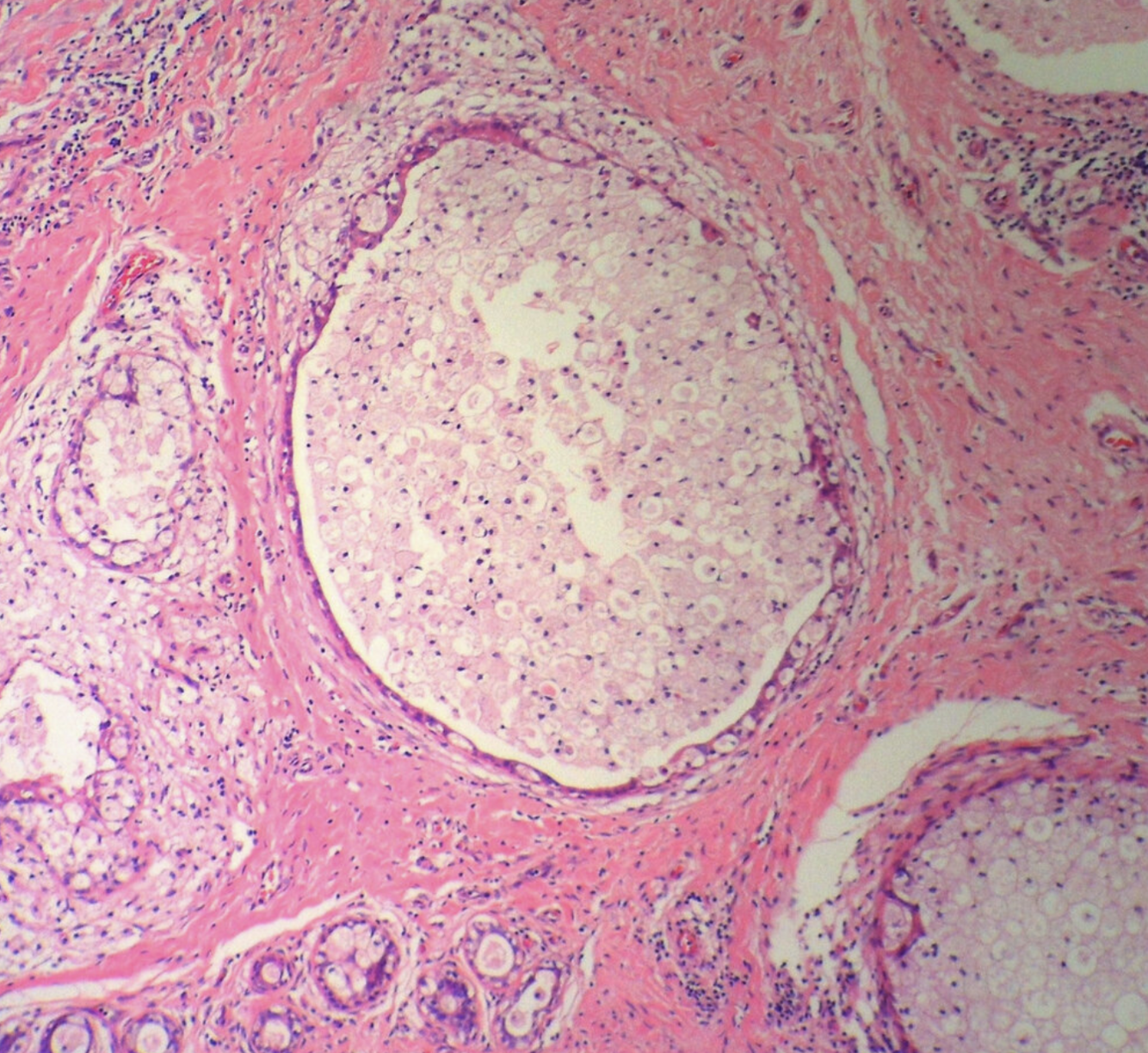
What is the most common clinical presentation of a breast cyst?

A

Breast mass presenting in peri-menopausal women (singls or mutliple, unilateral or bilateral)

Might change during menstrual cycle

O/E
- well demarcated
- painless
- fluctuant/mobile masss + painless transillumniable
- +/- clear nipple discharge

How well did you know this?
1
Not at all
2
3
4
5
Perfectly
13
Q

What is breast duct ectasia?

A

Chronic inflammatory process leading to dilation of terminal (subarolar) lacifrous ducts due to stasis of secretions (blockage)

How well did you know this?
1
Not at all
2
3
4
5
Perfectly
14
Q

What is a common presentation of duct ectasia?

A

Peri- or postmenopausal smoking woman presents with
1. Tender, fixed (subareolar) mass
2. Nipple inversion
3. Firm, thick yellow- green-white nipple discharge (+/- local abscess)

How well did you know this?
1
Not at all
2
3
4
5
Perfectly
15
Q

What are the cytolgical and histological findings of breast duct ectasia?

A

Cytology of nipple discharge: proteinaceous material and macrophages (buzzword)

Histology
Duct dilatation, periductal inflammation, proteinaceous material in side the duct

How well did you know this?
1
Not at all
2
3
4
5
Perfectly
16
Q

What is the most common breast lesion with nipple discharge?

What is it?

A

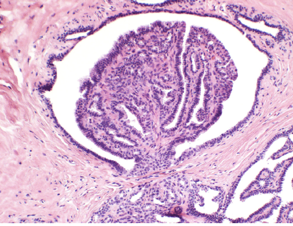
Intaductal Papilloma

Benign papillary tumour arising within the duct system of the breast (from the laciferous ducts)

How well did you know this?
1
Not at all
2
3
4
5
Perfectly
17
Q

What is the clinical presentation of an intraductal papilloma?

A

Clinically presents with a sub-areolar mass +/- bloody nipple discharge

18
Q

What are the
1. Radiological findings of Mammogram
2. Cytology and
3. histology

of intraductal papilloma?

A
  1. Not seen on mammogram.
  2. Cytology of nipple discharge – branching papillary groups of epithelium
  • Histology – papillary mass within a dilated duct lined by epithelium
19
Q

What is a radial scar?

What is the apearance on mammogrphy and histological findings?

A

Benign sclerosing lesion – central scarring surrounded by proliferating glandular tissue in stellate pattern

  • Usually presents as a stellate mass on mammography, closely mimicking carcinoma
  • Lesions >1 cm are sometimes called “complex sclerosing lesions”
  • Histology – central, fibrous, stellate area [BUZZWORDS]
20
Q

What are fibrocystic chages of the breast? What is the epidemiology, clinical presentation and histology?

A

Presentation: changes according to menstrual cycle (hormone responsive), lumpiness in breasts

  • Occurs in 1/3rd of pre-menopausal women

Histology – dilated large ducts which may become calcified

21
Q

What is Usual epithelial hyperplasia of the breast?

What is the risk of progression to a carcinoma?

A

Not formally considered a precursor lesion to invasive breast carcinoma

although slightly 1-2% increased risk of carcinoma

22
Q

What is Flat epithelial atypia a.k.a. atypical ductal carcinoma?

What is the risk of developing breast cancer?

A

4x risk of developing carcinoma

Histology: Multiple layers of epithelial cells and lumens moreregular and round with punched out areas

23
Q

What is a phylloids tumor?

How does it present and how should it generally be managed?

A

Arise from interlobular stroma (like fibroadenomas – can arise within existing
fibroadenomas) with increased cellularity and mitoses

  • Present >50yrs as palpable mass
  • Low grade or high grade lesions. Mostly relatively benign, but can be locally aggressive therefore –>
    excised with wide local excision/mastectomy to limit local recurrence.
  • Histology: “branching”/”leaf-like fronds”/”artichoke appearance”
24
Q

What is the normal screening programme for breast cancer in the UK?

A

Screening: 47 to 73yr old women invited every 3 years for mammography (looks for
abnormal areas of calcification or a mass within the breast)

25
What is the most common breast cancer?
80% of Breast cancers are Invasive 20% are Ductal carcinoma in situ Out fo the invasieve cancers 1. **Invasive ductal carcinoma (80%)** 2. Invasive lobular carcinoma (10%)
26
What are the characteristics of Breast Carcinoma in situ? How are most of them detected?
Neoplastic epithelial proliferation limitedt to ducts/ lobules by basement membrane Ductal: detected on Mammogram with microcalcification Lobular: incidental findings as no changes on mammography
27
What is the risk of ductal carcinoma in situ to progress to invasive breast carcinoma?
Up to 40 % of DCIS can progress to invasive breast cancer if left untreated
28
What are histological findngs of DCIS?
Ducts filled with atypical epithelial cells
29
What are typical hisoligcal findings of DCIS?
* Enlarged ducts lined with atypical epithelium * Neoplastic cells within ductal lumen * Intact basal membrane Microcalcifications
30
How are the invasive breast carcinomas classified?
Generally classified into different sub-groups 1. Invasive ductal: 80% of cancers, no further sub-classification possible Other subgroups if they are possible 1. Invasive lobular: 10% of all breast cancers, less agressive than invasive ductal 2. Tubular carcinoma: less common, well-formed tubules on
31
What is a common histological findinsg of invasice ductal carcinoma?
Big, pleiomorphic cells [BUZZWORD] – invasive cells move intro stroma No further differentiation possible
32
What are histological characteristics of invasive tubular carcinoma?
cells aligned insingle file chains/ strands
33
How does receptor testing in breast cancer is relevant? What receptor positivity is associated with * good progonsis * bad prognosis?
ER/PR (Estrogen / Progesterone receptors): good prognosis because can respond to tamoxifen HER2 positive: might be possible for targeted therapy, but still worse prognosis Triple negative (ER/PR and HER2) associated with bad prognosis
34
What is he msot important factor in prognosis of breast cancer?
status of the axillary lymph nodes
35
What receptor status do most 1. low-grade 2. High-grade breast cancers usually have? How does that change treatment
Low grade: usually ER/PR +ve, HER2- --> Tamoxifen High grade: usually ER/PR-ve, HER2 +ve: Herceptin Triple negative: 10-15% of cancers, usually more agressive
36
What is Herceptin/trastuzumab?
Targeted therapy for HER2 positive breast cacncer : monoclonal Ig to Her2 (direct toxic effect on myocardium, must monitor LVEF)
37
What is the MOA of tamoxifen?
mixed agonist/antagonists of oestrogen at its receptor
38
After what 3 criteria are breast cancers graded?
Nuclear pleomorphism Tubule formation Mitotic activity
39
What are BRCA genes? What is the inheritence? What are the clinical characteristics?
TSG --> can be mutated with autosomal dominant inheritence Increased risk of * breast, ovarian and prostate cancers (5-10% of breast cancers are BRCA +ve) * risk of developing breast cancer if BRCA +ve up to 85%
40
What is pagets disease of the nipple?
a rare type of breast cancer that affects the lactiferous ducts and the skin of the nipple and areola Proliferation of malignant glandular epithelial cells (in situ carcinoma) in the nipple areolar epidermis.